Ophthalmic surgeons must be knowledgeable of the potential surgical complications that may occur during retinal surgery, the associated risk factors, and appropriate timely management. Certain patient populations may be at risk for specific complications. For example, anticoagulated individuals may be at increased risk for hemorrhage with retrobulbar anesthesia as well as suprachoroidal hemorrhage with prolonged intraocular surgical procedures. It is helpful to categorize complications as preprocedural, intraoperative, and postoperative. New techniques and therapeutic agents may be associated with novel previously unreported complications. Importantly, surgical complications can occur even under ideal circumstances. Recognition of complications and timely management can be vision saving.
PREPROCEDURAL COMPLICATIONS RELATED TO RETROBULBAR ANESTHESIA
Retrobulbar block has been the gold standard for ocular akinesia and anesthesia for retinal surgery. Complications related to this technique are rare but can have permanent visual sequelae, as with ocular perforation, and can even be life threatening as with brainstem anesthesia.
Fortunately, ocular perforation is rare with an estimated incidence of 1 in 13,428 for retrobulbar blocks and 1 in 16,224 for peribulbar blocks.1,2 The most important risk factors for ocular perforation are axial myopia and the presence of staphyloma in the posterior pole. In one series of 20 eyes with inadvertent globe perforation, 45% of perforations occurred in eyes with an axial length greater than 26 mm.3 Highly myopic eyes have thinner sclera and a greater antero-posterior diameter compared to emmetropic eyes, which may account for the greater risk. In a large series of 50,000 retrobulbar injections, eyes with posterior staphyloma sustained needlestick injuries in 1 of 160 injections compared to 0 in 44,000 eyes without staphyloma.1 While there is no evidence that the use of sharp needles increases the risk of ocular perforation when compared to blunt needles, many surgeons prefer blunted needles to reduce this hypothetical risk.2,4 Most evidence indicates that perforations are caused by ophthalmologists and nonophthalmologists at similar rates and there are no definitive studies evaluating the role of operator experience.5,6
The clinical signs of ocular perforation from retrobulbar anesthesia are variable. Sudden pain and/or loss of vision have been reported acutely during the block. Both hypotony and increased intraocular pressure (IOP) have been noted. There may be an absent red reflex. Vitreous hemorrhage (Figure 1) and retinal detachment can develop immediately or may not be noted until later in the postoperative period.
Awareness and recognition of ocular perforation can help avoid further complications. When a perforation is suspected, the eye should be gently inspected with indirect ophthalmoscopy. It is not advised to explore the sclera since the needle entry site is small and self-sealing. Sterile air can be injected into the vitreous cavity to restore IOP. Retinal holes can be treated intraoperatively or postoperatively with laser retinopexy or cryotherapy.
Two other rare but serious complications of retrobulbar block are retrobulbar hemorrhage and brainstem anesthesia. Occasionally, retrobulbar hemorrhage is so severe that it requires a lateral canthotomy to relieve the pressure. Brainstem anesthesia can develop immediately after the block and cause apnea, seizure, and cardiac arrest. One series of 5,235 retrobulbar injections reported 14 cases of brainstem anesthesia, a rate of 0.3%.7 For a retrobulbar block given in the clinic setting, it is advisable to have an anesthesiologist available to treat and monitor the patient if this complication occurs.
INTRAOPERATIVE COMPLICATION: SUPRACHOROIDAL HEMORRHAGE
Suprachoroidal hemorrhage (SCH) is the accumulation of blood in a potential space that exists between the choroid and sclera, the suprachoroidal space. The reported incidence of SCH in vitrectomy ranges between 0.17% and 1.9%, with a higher rate in more complex vitrectomy cases.8,9 SCH has been reported to occur in 1% of scleral buckle procedures.10
Systemic risk factors for SCH include advanced age, systemic hypertension, diabetes mellitus, intraoperative tachycardia, arteriosclerosis, and anticoagulation.11 Ocular risk factors include high myopia, glaucoma, previous vitrectomy, pseudophakia, and aphakia.12 Intraoperative risk factors for SCH include a sudden drop in IOP, Valsalva maneuvers, and increased blood pressure.13
Intraoperative maneuvers that confer a higher risk of SCH include broad posterior scleral buckling, cryotherapy, external drainage of subretinal fluid, slippage of infusion cannula into the suprachoroidal space, and prolonged surgical time.14 The mechanism depends on the patient risk factors. Acute intraoperative hypotony can lead to a sudden change in transluminal vascular pressure which can lead the to rupture of the small arteries crossing the suprachoroidal space resulting in SCH. Suprachoroidal hemorrhage can affect visual outcomes in a variety of ways including subretinal hemorrhage, vitreous hemorrhage, glaucoma, persistent ocular hypotony, retinal breaks, retinal detachment, and expulsion of intraocular contents if the eye has an open wound.15
Taking steps to prevent SCH is key. Preoperatively, all modifiable risk factors, including blood pressure, anticoagulation status, prior ocular inflammation, or high IOP should be optimized to lower the risk of SCH. Intraoperatively, avoiding slippage of the infusion cannula into the suprachoroidal space is paramount. Stabilizing the infusion line with tape and taking care when indenting the sclera near the infusion cannula can help prevent slippage. The surgeon should refrain from placing the infusion cannulas on the horizontal (3 and 9 o’clock) to decrease the chance of injuring the posterior ciliary vessels. Abrupt decreases in IOP should be avoided. During the drainage of subretinal fluid in scleral buckling, the surgeon can apply gentle external pressure to the globe to prevent the eye from becoming hypotonous. Sterile air can be injected if a large amount of subretinal fluid was drained to maintain IOP.
Clinical signs of intraoperative SCH include sudden rise in IOP, shallowing of the anterior chamber, loss of red reflex, anterior movement of the iris-lens diaphragm, and hemorrhage into the subretinal space or vitreous. In some cases, a dark brown convexity can be visualized at the pars plana. Prolapse of vitreous, blood, or retina through the sclerotomies or a corneal wound can also be indicative of SCH.
If SCH is suspected, the surgeon must act quickly. First, check the tip of the infusion cannula. If the tip of the infusion line cannot be visualized in the vitreous cavity, a second infusion line should be placed through a different sclerotomy site and the other infusion line should be clamped. The sclerotomies should be closed with plugs to allow stabilization of the IOP. Indirect ophthalmoscopy can be helpful to assess the SCH. Once the SCH appears to have stabilized, the sclerotomy sites and any corneal wounds should be sutured closed. If the patient is undergoing general anesthesia, a smooth extubation of the patient should be discussed with the anesthesiologist to avoid any Valsalva maneuvers.
The postoperative management of SCH depends on the severity and location of the SCH. Localized SCH not involving the posterior pole can be managed conservatively with topical and systemic steroids. If the SCH involves the macula or is associated with a retinal detachment, vitreous hemorrhage, or vitreous incarceration to the wound, surgical intervention may be considered. The timing is important as liquefaction of the clot occurs between 7 days and 14 days from the onset of SCH. Liquefaction can be evaluated by ultrasound. Once liquefaction has begun, the SCH can be drained surgically, usually through the sclerotomies made in the prior vitrectomy.
The prognosis of cases of SCH depends on location, severity, and associated complications. Cases with massive or expulsive hemorrhage may have severe vision loss, while localized SCH not involving the posterior pole can have good outcomes. Most cases with poor visual outcomes have extensive kissing choroidals, associated retinal detachment, and 360° SCH. For severe SCH cases, 12% to 86% became NLP despite secondary intervention.14,16
POSTOPERATIVE COMPLICATION: ELEVATED INTRAOCULAR PRESSURE
Elevated IOP can occur in the acute or chronic postoperative period and can be classified based on clinical examination as open or closed angle, as well as primary or secondary. It is important to understand the mechanism of elevated IOP to treat correctly.
The use of intraocular tamponade agents in vitrectomy is a risk factor for an increase in IOP. Intraocular gas (perfluorocarbon) will increase IOP in up to 59% of eyes depending on the type, volume and concentration of gas used.17 Intraocular pressure elevation can be caused by intraocular gas expansion, which achieves maximum expansion in the first 24 to 72 hours. To prevent this complication in the operating room, the surgeon should confirm the correct gas concentration for desired effect (usually nonexpansile) and leave the IOP physiologic at the end of surgery.18 Other risk factors include older age and concomitant circumferential scleral buckling.19 Intraocular pressure elevation is transient with the highest mean values 2 to 4 hours postoperatively and can last for up to 1 week after surgery.20
When dealing with elevated IOP due to an enlarging gas bubble, topical antihypertensive and systemic medications may help. Of note, intravenous mannitol does not work well in vitrectomized eyes. In cases where there is a gas overfill unresponsive to medications or if the gas expansion is producing secondary angle closure, the gas volume may need to be reduced with a vitreous tap via the pars plana, performed in a sterile fashion in the outpatient clinic or operating room. One method is performed at the slit lamp. It involves placing a 1cc syringe with the plunger removed on a 30-gauge needle through the pars plana superotemporally for 2 seconds so the IOP equilibrates with the atmosphere.
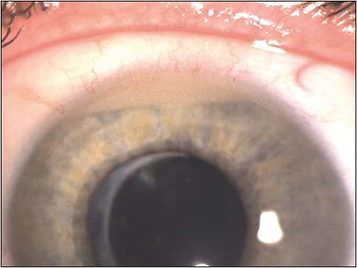
Intravitreal silicone oil (SO) is associated with IOP elevation in both the acute and long-term postoperative periods with an incidence ranging from 2.2% to 56%.21 Consider the clinical examination to best determine the cause. In the acute postoperative period, a SO overfill or an absent inferior iridectomy in an aphakic patient may reveal anterior chamber narrowing, while late onset IOP elevation with an open angle may result from silicone oil emulsification (Figure 2).21,22 Intraocular pressure elevation can be prevented by using higher viscosity SO as it is less likely to emulsify and by ensuring that the eye is not overfilled.23,24 If the volume of SO needs to be reduced, this should be performed in the operating room with a larger gauge instrument.
Scleral buckling can cause angle-closure glaucoma. The risk of angle closure is estimated to be 1.4% to 4.4% and is associated with pre-existing narrow angles, use of an encircling band, high myopia, older age, placement of band anterior to the equator, and postoperative choroidal detachment.25,26 The vortex veins can be obstructed by the scleral buckle, leading to congestion and anterior rotation of the ciliary body which pushes the lens-iris diaphragm forward, inducing angle closure.
Angle closure can be prevented by avoiding anterior placement of the scleral buckle and ensuring adequate perfusion at the end of surgery. In the postoperative period, cycloplegics can be used to shift the lens-iris diaphragm posteriorly to open the angle. Topical steroids can reduce swelling of the ciliary body and prevent peripheral anterior synechiae formation. Iridotomy is not useful as pupillary block is not the mechanism of angle closure. Laser iridoplasty can be helpful in opening up the angle.
CONCLUSION
No matter how skilled the surgeon or how rare the complication is, all surgeons experience complications. Knowledge of the risk factors, prompt recognition of the signs, and learning how to manage these issues when they arise is essential for optimal patient care. RP
REFERENCES
- Edge R, Navon S. Scleral perforation during retrobulbar and peribulbar anesthesia: risk factors and outcome in 50,000 consecutive injections. J Cataract Refract Surg. 1999;25(9):1237-1244. doi:10.1016/s0886-3350(99)00143-1
- Davis DB 2nd, Mandel MR. Efficacy and complication rate of 16,224 consecutive peribulbar blocks. A prospective multicenter study [published correction appears in J Cataract Refract Surg 1994 Nov;20(6):673]. J Cataract Refract Surg. 1994;20(3):327-337. doi:10.1016/s0886-3350(13)80586-x
- Duker JS, Belmont JB, Benson WE, et al. Inadvertent globe perforation during retrobulbar and peribulbar anesthesia. Patient characteristics, surgical management, and visual outcome. Ophthalmology. 1991;98(4):519-526. doi:10.1016/s0161-6420(91)32262-0
- Waller SG, Taboada J, O’Connor P. Retrobulbar anesthesia risk. Do sharp needles really perforate the eye more easily than blunt needles? Ophthalmology. 1993;100(4):506-510.
- Wearne MJ, Flaxel CJ, Gray P, Sullivan PM, Cooling RJ. Vitreoretinal surgery after inadvertent globe penetration during local ocular anesthesia. Ophthalmology. 1998;105(2):371-376. doi:10.1016/s0161-6420(98)93640-5
- Petersen WC, Yanoff M. Complications of local ocular anesthesia. Int Ophthalmol Clin. 1992;32(4):23-30. doi:10.1097/00004397-199223000-00002
- Hamilton RC, Gimbel HV, Strunin L. Regional anaesthesia for 12,000 cataract extraction and intraocular lens implantation procedures. Can J Anaesth. 1988;35(6):615-623. doi:10.1007/BF03020350
- Sharma T, Virdi DS, Parikh S, Gopal L, Badrinath SS, Mukesh BN. A case-control study of suprachoroidal hemorrhage during pars plana vitrectomy. Ophthalmic Surg Lasers. 1997;28(8):640-644.
- Piper JG, Han DP, Abrams GW, Mieler WF. Perioperative choroidal hemorrhage at pars plana vitrectomy. A case-control study. Ophthalmology. 1993;100(5):699-704. doi:10.1016/s0161-6420(93)31586-1
- Hawkins WR, Schepens CL. Choroidal detachment and retinal surgery. Am J Ophthalmol. 1966;62(5):813-819. doi:10.1016/0002-9394(66)91903-9
- Lavinsky F, Moisseiev J, Levkovitch-Verbin H. The surgical management of massive intraoperative and postoperative suprachoroidal hemorrhage: anatomic and functional outcomes. Arq Bras Oftalmol. 2013;76(4):212-214. doi:10.1590/s0004-27492013000400003
- Speaker MG, Guerriero PN, Met JA, Coad CT, Berger A, Marmor M. A case-control study of risk factors for intraoperative suprachoroidal expulsive hemorrhage. Ophthalmology. 1991;98(2):202-210. doi:10.1016/s0161-6420(91)32316-9
- Romero Aroca P, Salvat Serra M, Mendez Marin I. Révision et description de 8 cas cliniques d’hémorragie choroïdienne [Suprachoroidal bleeding: review and description of eight cases]. J Fr Ophtalmol. 2003;26(2):164-168.
- Tabandeh H, Sullivan PM, Smahliuk P, Flynn HW Jr, Schiffman J. Suprachoroidal hemorrhage during pars plana vitrectomy. Risk factors and outcomes. Ophthalmology. 1999;106(2):236-242. doi:10.1016/S0161-6420(99)90062-3
- Tabandeh H, Flynn HW Jr. Suprachoroidal hemorrhage during pars plana vitrectomy. Curr Opin Ophthalmol. 2001;12(3):179-185. doi:10.1097/00055735-200106000-00006
- Lakhanpal V, Schocket SS, Elman MJ, Dogra MR. Intraoperative massive suprachoroidal hemorrhage during pars plana vitrectomy. Ophthalmology. 1990;97(9):1114-1119. doi:10.1016/s0161-6420(90)32448-x
- Chang S, Lincoff HA, Coleman DJ, Fuchs W, Farber ME. Perfluorocarbon gases in vitreous surgery. Ophthalmology. 1985;92(5):651-656. doi:10.1016/s0161-6420(85)33985-4
- Kanclerz P, Grzybowski A. Case series of inappropriate concentration of intraocular sulfur hexafluoride. Case Rep Ophthalmol. 2018;9(2):405-410. Published 2018 Aug 31. doi:10.1159/000492746
- Chen PP, Thompson JT. Risk factors for elevated intraocular pressure after the use of intraocular gases in vitreoretinal surgery. Ophthalmic Surg Lasers. 1997;28(1):37-42.
- Chen CJ. Glaucoma after macular hole surgery. Ophthalmology. 1998;105(1):94-99.
- Ichhpujani P, Jindal A, Jay Katz L. Silicone oil induced glaucoma: a review. Graefes Arch Clin Exp Ophthalmol. 2009;247(12):1585-1593. doi:10.1007/s00417-009-1155-x
- Valone J Jr, McCarthy M. Emulsified anterior chamber silicone oil and glaucoma. Ophthalmology. 1994;101(12):1908-1912. doi:10.1016/s0161-6420(94)31084-0
- Petersen J, Ritzau-Tondrow U. Chronisches glaukom nach silikonölimplantation: zwei ole verschiedener viskosität im vergleich [chronic glaucoma following silicone oil implantation: a comparison of 2 oils of differing viscosity]. Fortschr Ophthalmol. 1988;85(6):632-634.
- Gedde SJ. Management of glaucoma after retinal detachment surgery. Curr Opin Ophthalmol. 2002;13(2):103-109. doi:10.1097/00055735-200204000-00009
- Sebestyen JG, Schepens CL, Rosenthal M. Retinal detachment and glaucoma. tonometric and gonioscopic study of 160 cases. Arch Ophthalmology. 1962;67(6):736-745.
- Kreiger AE, Hodgkinson BJ, Frederick AR Jr, Smith TR. The results of retinal detachment surgery. Analysis of 268 operations with a broad scleral buckle. Arch Ophthalmol. 1971;86(4):385-394. doi:10.1001/archopht.1971.01000010387005







