As pediatric retina specialists, we are commonly asked for the pearls of the most common diseases. In this article, we want to highlight 5 pearls of 5 commonly seen diseases in pediatric retina.
FAMILIAR EXUDATIVE VITREORETINOPATHY
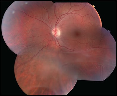
Familiar exudative vitreoretinopathy (FEVR) is characterized by incomplete vascularization of the peripheral retina (Figure 1).1 Pearls for treating FEVR include the following:
- In the presence of prematurity, angiography can be useful in making the diagnosis. Remember that FEVR is similar to retinopathy of prematurity that never goes away.2
- Widefield angiography is key for diagnosis. The presenting eye is important, but the fellow eye, which may seem to be unaffected, provides critical clues to confirm the diagnosis.
- Genetics are important, but 50% of all FEVR cases have no known mutation.3
- Widefield angiography is recommended for the family. If there is a known mutation, then do genetics for the family before they also become your patients.
- Perform angiography-guided laser treatment and consider anti-VEGF for the eyes with avascularity and leakage.
STICKLER SYNDROME
Stickler syndrome is the most common cause of inherited rhegmatogenous retinal detachment (Figure 2).4 Pearls for treatment of Stickler syndrome include the following:
- Look at the patient: usually the key to the diagnosis can be done by observation alone!
- Get a good family history.
- Evaluate the vitreous and look for radial lattice.
- Perform genetic testing.
- Think about doing prophylactic surgery to the “unaffected” eye of a child who presents with a retinal detachment. Options include scleral buckle with laser, 360 laser, or cryotherapy.
X-LINKED RETINOSCHISIS
X-linked retinoschisis (XLRS) is an inherited disorder of the retinoschisin protein that prevents the retinal cells from binding together (Figure 3). Pearls for treatment of XLRS include the following:
- Most cases present with macular schisis (split at the inner nuclear layer),5 but some do not. Performing a comprehensive peripheral exam is critical. Retinal neovascularization and vitreous hemorrhage may occur.6
- Take a good family history.
- Genetics is crucial.
- Look at the entire family clinically or with genetic studies.
- Less is more in these cases! It is better in some of these cases to start in a stepwise fashion. Consider starting with scleral buckle.
CHORIORETINAL COLOBOMA
Chorioretinal coloboma is caused by the failure of choroidal or retinal tissue to fully form before birth (Figure 4). Pearls for treatment of chorioretinal coloboma include the following:
- It can be unilateral or bilateral (think of CHARGE syndrome in bilateral disease).
- Optical coherence tomography and fundus photography help determine if there is a functional fovea.
- Widefield angiography is important to look for choroidal neovascular membranes and avascularity of the retina.7
- Ultrasonography helps to look for retrobulbar cysts. The presence of a retrobulbar cyst increases the chances of retinal detachment in the patient’s lifetime.8
- Retinal detachments can be tractional, exudative, rhegmatogenous, or a combination of these. Understanding this is imperative for the successful repair of coloboma in these patients.
PERSISTENT FETAL VASCULATURE
Persistent fetal vasculature (PFV) is responsible for 5% of childhood blindness in the United States. It is the failure of fetal vasculature, specifically the hyaloid vasculature, to undergo normal involution (Figure 5).9,10 Pearls for treatment of PFV include the following:
- If there is unilateral cataract in a newborn, think PFV.
- Perform imaging. It is important to obtain an ultrasound of the affected eye, and widefield angiography in these patients can help identify changes in the fellow eye, which may seem unaffected. Many times, it may look like PFV, but it is not.
- Persistent fetal vasculature comes in a wide range of severities from very mild to very abnormal. It can affect the anterior segment, posterior segment, or both.
- If the difference between the eyes is more than 3.5 mm, then the result may be light perception vision.11
- Spend time in the discussion with the patient’s family and be clear of what expectations to have.
CONCLUSION
The most important diagnostic skill in many pediatric retinal cases is observation. Many times, the diagnosis is right in front of our eyes: height, flexibility, facial features, or simply the similarities or differences to the rest of the family in the room. Once we make a diagnosis and start treating the patient, many times the entire family becomes our patients as well. RP
REFERENCES
- Yonekawa Y, Capone A, Chan RVP. Familial exudative vitreoretinopathy. In: Torres Soriano ME, Garcia-Aguirre G, Gordon M, Graversen VK, eds. Ophthalmology: Current and Future Developments, Vol. 2: Diagnostic Atlas of Retinal Diseases. Bentham Science Publishers;2017:125-129.
- John VJ, McClintic JI, Hess DJ, Berrocal AM. Retinopathy of prematurity versus familial exudative vitreoretinopathy: report on clinical and angiographic findings. Ophthalmic Surg Lasers Imaging Retina. 2016;47(1):14-19.
- Gilmour DF. Familial exudative vitreoretinopathy and related retinopathies. Eye (Lond). 2015;29(1):1-14.
- Snead MP, McNinch AM, Poulson AV, et al. Stickler syndrome, ocular-only variants and a key diagnostic role for the ophthalmologist. Eye (Lond). 2011;25(11):1389-1400.
- Gregori NZ, Berrocal AM, Gregori G, et al. Macular spectral-domain optical coherence tomography in patients with X linked retinoschisis. Br J Ophthalmol. 2009;93(3):373-378.
- Berenberg T, Van Tassel S, Chan RVP. Juvenile x-linked retinoschisis: a comparison of imaging modalities and review of angiographic findings. Retina. 2016;36(12):e117-e119.
- Shapiro MJ, Chow CC, Blair MP, Kiernan DF, Kaufman LM. Peripheral nonperfusion and tractional retinal detachment associated with congenital optic nerve anomalies. Ophthalmology. 2013;120(3):607-615.
- Venincasa VD, Modi YS, Aziz HA, et al. Clinical and echographic features of retinochoroidal and optic nerve colobomas. Invest Ophthalmol Vis Sci. 2015;56(6):3615-3620.
- Chen C, Xiao H, Ding X. Persistent fetal vasculature. Asia Pac J Ophthalmol (Phila). 2019;8(1):86-95.
- Yonekawa Y, Capone A, Chan RVP. Persistent fetal vasculature. In: Torres Soriano ME, Garcia-Aguirre G, Gordon M, Graversen VK, eds. Ophthalmology: Current and Future Developments, Vol. 2: Diagnostic Atlas of Retinal Diseases. Bentham Science Publishers; 2017; 130-134.
- Sisk RA, Berrocal AM, Feuer WJ, Murray TG. Visual and anatomic outcomes with or without surgery in persistent fetal vasculature. Ophthalmology. 2010;117(11):2178-2183.







