Peripheral exudative hemorrhagic chorioretinopathy (PEHCR) is a peripheral retinal degenerative disorder characterized by retinal pigment epithelial detachment (PED), subretinal and sub-retinal pigment epithelial (RPE) hemorrhage or exudates, and/or a fibrotic mass lesion(s) outside of the macula.1 The exact etiology of PEHCR is unknown; however, PEHCR shares features of both age-related macular degeneration (AMD) and polypoidal choroidal vasculopathy (PCV).1-3
Because of the peripheral location, PEHCR lesions are often asymptomatic and may not be seen on cursory dilated fundus exam. Once identified, lesions may be dark and elevated, raising concern for a choroidal melanoma (CM). Retinal physicians are tasked with the differentiation of PEHCR lesions, and key multimodal imaging and exam findings assist in the differentiation.4-6
Below is discussion of imaging features of 3 patients with PEHCR who were originally referred to the ophthalmic oncology service with a presumed diagnosis of choroidal melanoma.
CASE 1
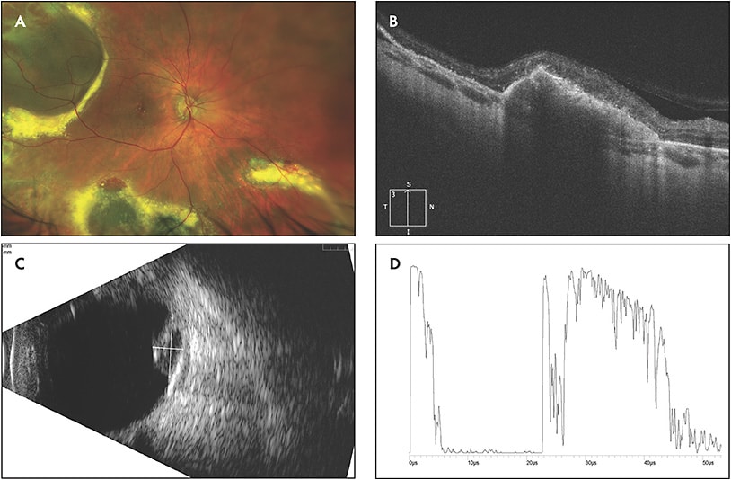
An 89-year-old female presented with a past medical history (PMH) of coronary artery disease, hypertension, and diabetes mellitus and a past ocular history (POH) of pseudophakia and dry AMD in both eyes presented with unilateral peripheral retinal exudates and hemorrhages in the right eye (OD). She was asymptomatic with a best-corrected visual acuity (BCVA) vision of 20/40 OD and 20/30 in the left eye (OS). Fundus exam findings of the right eye showed PEHCR in different stages of development. Observed were a large temporal lesion with surrounding exudation, 2 inferior lesions with surrounding heme and exudate, and a late stage inferonasal lesion with a crystalline appearance. Fine macular drusen were also appreciated (Figure 1A). The left eye had macular drusen and peripheral RPE alterations without exudate or hemorrhage. Optical coherence tomography (OCT) scans through the right eye lesions were consistent with large hemorrhagic PED (Figure 1B). Ultrasonography of the largest temporal lesion revealed a thickened dome-shaped membrane with moderately dense submembrane opacities and a plaque-like area of high reflectivity beneath the elevated membranes. No choroidal excavation or orbital shadowing was present (Figure 1C). Additional smaller multilobulated lesions were present inferiorly and inferonasally. A-scan of the peripheral temporal lesion showed low internal reflectivity (Figure 1D).
CASE 2
A 72-year-old female with a PMH of HTN and POH of glaucoma suspect, pseudophakia, epiretinal membrane, and nonexudative macular degeneration in both eyes initially was asymptomatic with a BCVA of 20/40 in both eyes. Posterior exam of the right eye revealed multilobulated pigmented and nonpigmented retinal lesions, the largest located inferotemporally and another lesion located inferiorly with pigmented hemorrhage and associated drusen (Figure 2A). The left eye exhibited macular drusen and inferotemporal RPE changes. Angiography of the right eye revealed large areas of blockage in areas of hemorrhagic PED with a focus of hyperfluorescence (Figure 2B), which corresponded to polyp-like hypercyanescence on late phase of the ICG (Figure 2C). An OCT scan through the temporal lesion confirmed the presence of multilobulated PED with overlying hemorrhage and subretinal fluid (Figure 2D). Ultrasonography revealed subretinal, multiple lobulated lesions anterior to the equator (Figure 2E).
CASE 3
A 86-year-old male with a PMH of vascular disease (history of transient ischemic attack) and POH of cataracts and end-stage exudative AMD with resultant disciform scar in the right eye and nonexudative macular degeneration in the left eye presented with new symptoms of photopsia in his right eye. BCVA was stable for 1 month prior to presentation at count-fingers OD and 20/40 OS. Fundus exam revealed a macular RPE tear with fibrosis that was stable in appearance from previous exam. New findings included multiple, dome-shaped deeply pigmented lesions in the superior periphery. B-scan imaging showed multiple, dome-shaped lesions with subretinal opacities (Figure 3A) with normal underlying choroid (Figure 3B).
DISCUSSION
The most important task for the clinician is to distinguish choroidal melanoma from PEHCR. This task can be especially challenging because PEHCR is second only to choroidal nevus among lesions that can simulate choroidal melanoma; a sub-RPE hemorrhage can appear as a dome-shaped, pigmented mass with a serous retinal detachment mimicking the features of choroidal melanoma.
As illustrated in these 3 cases, by definition, PEHCR is located peripherally between the equator and ora serrata.1 In contrast, a choroidal melanoma is most commonly found between the macula and equator. In addition, features of AMD, such as drusen, RPE alterations, or CNV, are typically present in the eye affected with PEHCR or the contralateral eye.7 Furthermore, PEHCR-related serous or hemorrhagic PED or retinal detachments usually occur bilaterally, implying age-related degeneration, while a choroidal melanoma usually occurs unilaterally.8 In addition to these findings, a key differentiating feature is that choroidal melanomas are primarily unifocal lesions without lipid exudation, in contrast to PEHCR which is multifocal with lipid exudation (Table 1).
| Test | Choroidal Melanoma | Peripheral Exudative Hemorrhagic Chorioretinopathy | |
| Ophthalmoscopy | Unilateral | Bilateral | |
| Unifocal | Multifocal | ||
| Lipid exudation absent | Lipid exudation may be present | ||
| Optical coherence tomography findings | Sub-retinal pigment epithelial hemorrhage with sloping margins | Peripheral epithelial detachment-like sharp margins | |
| Indocyanine green angiography | Intrinsic vasculature | Choroidal polyp-like telangiectasias | |
| Ultrasonography | Shape | Dome or mushroom | Dome or multilobulated |
| Choroid | Involved | Spared | |
| Internal reflectivity | Low to medium | Absent or low internal | |
Fluorescein angiography and ICGA aid in differentiating between choroidal melanoma and PEHCR. On FA, PEHCR demonstrates blockage of circulation by subretinal hemorrhage with peripheral hyperfluorescence due to RPE atrophy. Choroidal melanoma classically has a pattern of early hypofluorescence with late leakage, retinal pinpoint hyperfluorescence (hot spots), and a “double circulation,” but it can also have a blockage effect from RPE proliferation.5,8 However, the FA findings can be variable in both entities. Indocyanine green can reveal intrinsic vasculature in choroidal melanoma in contrast with PEHCR, where there are multiple areas of hypercyanescence corresponding with choroidal polyp-like telangiectasias mixed with areas of blockage from subretinal and sub-RPE hemorrhage.
Furthermore, we find that OCT imaging may provide insight, especially in the setting of hemorrhages. While a choroidal melanoma will have sloping margins, sub-RPE hemorrhages associated with PEHCR has sharp abrupt margins of PED.
Lastly, B-scans and A-scans can provide important clues as well. For PEHCR, the structural composition can include dome-shaped, multilobar, plateau-shaped, elevated and highly irregular lesions with low to absent internal reflectivity. Importantly, the sub-RPE hemorrhages associated with PEHCR have a normal underlying choroid in contrast to choroidal melanoma, which has low to medium internal reflectivity and a characteristic choroidal excavation.7
In these 3 cases, the similarities between PECHR and choroidal melanoma were evident, but critical assessment of fundus findings and diagnostic testing helped to differentiate the 2 entities. Making a correct diagnosis, even if it requires very close monitoring of the lesion in unclear circumstances, is imperative to guiding correct treatment decisions. RP
Editor’s note: Visit retinapodcast.com to hear discussion of this article on the Retina Podcast.
REFERENCES
- Shields CL, Salazar PF, Mashayeki A, Shields JA. Peripheral exudative hemorrhagic chorioretinopathy simulating choroidal melanoma in 173 eyes. Ophthalmology. 2009;116(3):529-535.
- Chaikitmongkol V, Kong J, Khunsongkiet P, et al. Sensitivity and specificity of potential diagnostic features detected using fundus photography, optical coherence tomography and fluorescein angiography for polypoidal choroidal vasculopathy. JAMA Ophthalmol. 2019;137(6):661-667.
- Mantel I, Schalenbourg A, Zografos L. Peripheral exudative hemorrhagic chorioretinopathy: Polypoidal choroidal vasculopathy and hemodynamic modifications. Am J Ophthalmol. 2012;153(5):910-922.
- Goel N. Vitreous hemorrhage as the presenting feature of peripheral exudative hemorrhagic chorioretinopathy. Indian J Ophthalmol. 2019;67(3):419-423.
- Badawi AH, Semidey VA, Magliyah M, Al-Dhibi H. Updated systemic review and clinical spectrum of peripheral exudative hemorrhagic chorioretinopathy. Middle East Afr J Ophthalmol. 2020;27(1):4-9.
- Annesley WH. Peripheral exudative hemorrhagic chorioretinopathy. Trans Am Ophthalmol Soc. 1980;78:321-364.
- Singh AD, Hayden BC. Intraocular Tumors. In: Singh AD, Harden BC. Ophthalmic Ultrasonography. Elsevier; 2011.
- Singh AD, Turell ME, Topham AK. Uveal melanoma: trends in incidence, treatment, and survival. Ophthalmology. 2011;118(9):1881-1885.







