Autoimmune retinopathy (AIR) encompasses a spectrum of retinal disease related to retinal autoantibodies associated with varying degrees of vision loss.1 AIR is rare, autoimmune-mediated, and includes the 3 more specific pathologic entities: (1) cancer-associated retinopathy (CAR); (2) nonparaneoplastic-associated retinopathy (npAIR); and (3) melanoma-associated retinopathy (MAR). Cancer-associated retinopathy and npAIR primarily affect retinal photoreceptor function, whereas MAR primarily affects bipolar cell function.2 Clinical features include panretinal degeneration with no or little pigment deposition, progressive visual field deficits, and photopsias with or without a history of carcinoma or melanoma at the time of ocular presentation.3 The condition is initially unilateral with symptoms generally spreading to the contralateral eye within varying time interval of 4 days to 2 months.3
A review of recognized antiretinal and antioptic nerve antibody abnormalities with potentially autoantigenic retinal proteins of recorded molecular weight is summarized in Table 1. This list includes a growing collection of retinal antigens as well as a group of microbial-associated heat shock proteins; the latter being proposed in some cases as the sensitizing stimuli4-15 for the development of AIR.
| MOLECULAR WEIGHT (KD) | ANTIGEN NAME/DESCRIPTION |
|---|---|
| 20 | Retinal antigen associated with some cases of melanoma-associated retinopathies, and vision loss that occurs in other skin ailments, such as lupus |
| 22 | Cancer-associated neurotransmitter antigen expressed in both retina and optic nerve |
| 23 | “Recoverin,” associated with the vision loss most commonly and described with small cell lung carcinomas |
| 30 | Carbonic anhydrase |
| 40 | Rhodopsin, transducin-alpha, aldolase-C, glyceraldehyde 3-phosphate dehydrogenase, and an unknown cancer-associated antigen expressed within the outer plexiform layer |
| 45 | Pigment epithelium-derived factor |
| 47 | Alpha-enolase |
| 48-50 | S-antigen |
| 55 | Vascular antigen associated with retinal vasculitis |
| 56 | Retinal ganglion antigen found in some cases of open angle glaucoma |
| 62 | CRMP-5 cancer-associated antigen expressed in both the retina and optic nerve |
| 78 | Tubby-like protein |
| 145 | Interphotoreceptor binding protein |
AN ILLUSTRATIVE CASE
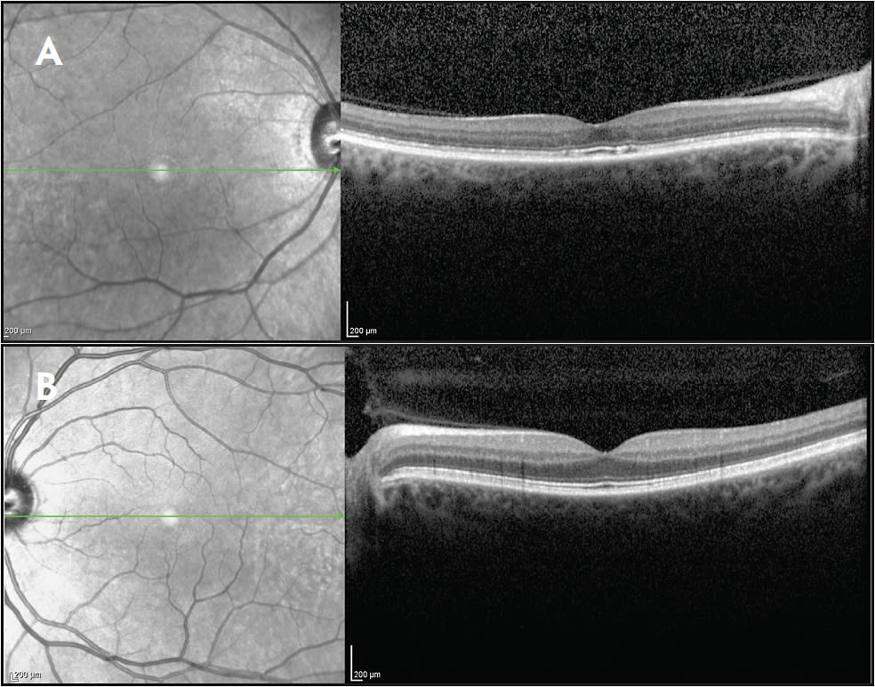
We previously reported a case of AIR that remained unilateral during an observation period of 3 years.1 The patient had an extensive history of cigarette smoking and alcohol consumption, with squamous cell carcinoma that was previously resected from the mouth and tongue. At the time of oral surgery, there was no evidence of systemic disease and the patient did not undergo any prior radiation or systemic chemotherapy. The patient presented 11 years later with a visual acuity of 20/20 in both eyes and a chief complaint of central scotoma in the right eye. Fundus examination revealed macular granularity and attenuation of the arteries and veins (Figure 1). Optical coherence tomography (OCT) displayed diffuse disruption of the photoreceptor ellipsoid zone (EZ) (inner segment-outer segment [IS-OS] junction) throughout the macula. The OCT of the left eye was normal (Figure 2).
Full-field electroretinogram (ERG) displayed flat cone and rod responses with a severely attenuated maximal combined response in the right eye, and normal responses in the left eye. Multifocal ERG (mfERG) demonstrated a severely attenuated response in the right eye, and normal waveforms in the left eye (Figure 3). Antiretinal antibodies were positive for enolase (46-kDa), aldolase (40-kDa), arrestin (48-kDa), and carbonic anhydrase II (30-kDa), but they were negative for recoverin (23-kDa). Subsequent workup revealed a negative computed tomography scan of the head, neck, and chest for systemic metastasis, negative dental evaluation for local recurrence, and negative internal medicine workup for occult metastasis.
Over the course of 3 years, the patient’s left eye remained unaffected, with normal visual acuity, visual field, OCT, full-field ERG, mfERG, and fundus autofluorescence. Although AIR typically is a diagnosis of exclusion with confirmatory positive autoretinal antibodies, this case highlights additional common features, such as history of carcinoma, visual field loss, photoreceptor abnormalities, and significant cone and rod reduction on ERG.
CONTROVERSIES
Controversy continues to surround the diagnosis of AIR. Generally, there is a need to appreciate normal or baseline retinal antibody activity to distinguish what actually is an abnormal antiretinal antibody (ie, true positive) rather than nonpathogenic background levels of nonspecific circulating antibodies (ie, false positive). Furthermore, there has been increased debate regarding the ability of Western blot retinal and optic nerve autoantibodies to predict the development of primary malignancy in otherwise healthy individuals. For example, do positive “cancer-associated” retinal antigens in an apparently normal healthy individual warrant an investigation of a primary malignancy, and, if so, by what laboratory or imaging modality? Previously, we presented the immunologic activity of individuals with a history of heavy smoking, compared to nonsmoking controls, to ascertain baseline autoantibodies in the smoking population, given the known strong association between small-cell lung cancer and CAR.16
We investigated and compared the antibody activity of 51 randomly chosen patients: 35 heavy cigarette smokers vs 26 nonsmokers using Western blots of pig retina and pig optic nerve extracts. We sought to identify any antibody reaction not commonly found in normal serum that might be associated with abnormal immunologic activity. Optic nerve antibodies were included as a possible source of additional information; however, the optic nerve is not as immunologically complex as the retina and is not known to contain as numerous disease-associated antigens.
Interestingly, we found more antiretinal activity in the nonsmokers group (eg, 47 kD protein), contrary to the hypothesis that more antiretinal activity would be seen in the smoker group who are at greater risk for primary lung malignancy.16 In our study, 8 smokers were positive for the 40 kD protein, in contrast to 2 nonsmoker patients. Because several cancer-associated antigens are also found at this location, identifying a patient’s immunologic hyperactivity around 40 kD may encourage further inquiry to rule out the possibility of an occult neoplasia.
Difficulties of differentiation and interpretation add complexity to the debate. In our study, 6 of the control group, but no smokers, were found reactive in the 23 kD region of a retina blot. This is likely related to a cloned form of recoverin rather than an autoantibody with probable disease-causing effects. This further supports the need to identify other retinal antigens of the same molecular weight, but those that lack known disease association, so as to properly delineate coincidental molecular weight bands with no disease manifestations.
TESTING FOR AUTORETINAL ANTIBODIES
The Western blot procedure for autoantibodies against retina and optic nerve have clear limitations. For blots of an extract of whole retina, antibody activity within several regions could involve multiple proteins. Similarly, any immunologic activity in known regions (eg, 23 kD region) may or may not involve recoverin because other unidentified retinal antigens share the same comparative molecular weight.
Western blots have proven useful in detecting abnormal antiretinal reactions in cancer patients who experience vision loss and might justify an investigation for primary malignancy. Still, extrapolation and prognostication based on these autoantibodies is difficult given that many patients do not have vision complaints. Similarly, it is currently unclear why some patients manifest AIR while others do not.
When it comes to considering a diagnosis of AIR, we recommend selecting a testing facility with expertise in overcoming the challenges presented in interpretation and differentiation of signals identified on molecular testing. Case Eye Institute in Oregon and Mayo Clinic Laboratories in Minnesota are examples of reputable testing sites.
CONCLUSIONS AND CURRENT OPINION
The diagnosis of AIR remains a clinical challenge because of its rare incidence, frequent dissociation between symptoms and signs, limited access to necessary investigations for diagnosis, and absence of an evidence-based treatment strategy. Like genetic testing in some cases, sometime the equivocal results leave clinicians with more questions than answers. Patients with AIR have an antiretinal antibody seropositive rate of approximately 65%, with most active cases of AIR having a minimum of 3 antiretinal antibodies present. To date, a variety of target retinal antigens has been identified and this reflects a degree of heterogeneity in the autoimmune response (Table 1). The next evolution will be to expound predictable and consistent positive antiretinal antibodies associated with the development of AIR. RP
REFERENCES
- Almeida DR, Chin EK, Niles P, Kardon R, Sohn EH. Unilateral manifestation of autoimmune retinopathy. Can J Ophthalmol. 2014;49(4):e85-e87.
- Heckenlively JR, Ferreyra HA. Autoimmune retinopathy: a review and summary. Semin Immunopathol. 2008;30:127-134.
- Kellner U, Bornfeld N, Foerster MH. Severe course of cutaneous melanoma associated paraneoplastic retinopathy. Br J Ophthalmol. 1995;79(8):746-752.
- Heckenlively JR, Ferreyra HA, Jayasundera T. Controversies of diagnosing autoimmune retinopathy. Arch Ophthalmol. 2010;128(1):147-148.
- Ferreyra HA, Jayasundera T, Khan NW, He S, Lu Y, Heckenlively JR. Management of autoimmune retinopathies with immunosuppression. Arch Ophthalmol. 2009;127(4):390-397.
- Forooghian F, Macdonald IM, Heckenlively JR, et al. The need for standardization of antiretinal antibody detection and measurement. Am J Ophthalmol. 2008;146(4):489-495.
- Adamus G, Wilson DJ. Detection of antiretinal autoantibodies in serum by Western blotting. JAMA Ophthalmol. 2013;131(10):1371.
- Adamus G, Bonnah R, Brown L, David L. Detection of autoantibodies against heat shock proteins and collapsin response mediator proteins in autoimmune retinopathy. BMC Ophthalmol. 2013;13:48.
- Kyger M, Worley A, Huan J, et al. Effective arrestin-specific immunotherapy of experimental autoimmune uveitis with RTL: a prospect for treatment of human uveitis. Transl Vis Sci Technol. 2013;2(2):1.
- Adamus G, Brown L, Weleber RG. Molecular biomarkers for autoimmune retinopathies: significance of anti-transducin-alpha autoantibodies. Exp Mol Pathol. 2009;87(3):195-203.
- Adamus G, Karren L. Autoimmunity against carbonic anhydrase II affects retinal cell functions in autoimmune retinopathy. J Autoimmun. 2009;32(2):133-139.
- Adamus G, Wilson DJ. The need for standardization of antiretinal antibody detection and measurement. Am J Ophthalmol. 2009;147(3):557.
- Adamus G. Autoantibody targets and their cancer relationship in the pathogenicity of paraneoplastic retinopathy. Autoimmun Rev. 2009;8(5):410-414.
- Kikuchi T, Arai J, Shibuki H, Kawashima H, Yoshimura N. Tubby-like protein 1 as an autoantigen in cancer-associated retinopathy. J Neuroimmunol. 2000;103(1):26-33.
- Adamus G, Chan CC. Experimental autoimmune uveitides: multiple antigens, diverse diseases. Int Rev Immunol. 2002;21(2-3):209-229.
- Chin EK, Almeida DR, Lam KV, Keltner JL, Thirkill CE. Positive auto-antibody activity with retina and optic nerve in smokers and non-smokers: The controversy continues. Ophthalmic Surg Lasers Imaging Retina. 2015;46(10):1068-1070.







