Macular holes (MHs), full-thickness defects in the outer plexiform and photoreceptor layers at the fovea, cause impaired central vision with metamorphopsia. Macular hole prevalence is 3.3 in 1,000 older than 55 years old. Patients are usually in their sixth or seventh decade of life; approximately two-thirds of patients are female.1,2
Nearly one-half of MHs are large (defined as an MH with a minimum linear diameter [MLD] of >400 µm) at the time of diagnosis.3 This article will address special management considerations when treating patients with large MHs.
A review of the history of MH pathogenesis and management gives us perspective. An improved understanding of the pathogenesis of the condition ushered in the era of MH treatment. Following the pathogenetic theory described by Gass in 1988,4 Kelly and Wendel reported in 1991 the successful closure of an MH in 30 of 52 (58%) patients with MHs using vitrectomy and gas.5
Initial skepticism for the surgical treatment of MH6 was replaced by enthusiasm as success rates climbed with increasing surgeon experience and improved techniques. Eckhart et al in 19977 and Park et al in 19998 reported that the MH closure rate could be improved by adding internal limiting membrane (ILM) peeling delamination to the surgical procedure. Subsequently, ILM staining with 0.06% indocyanine green dye enhanced ILM identification, allowing for more efficient ILM delamination.9 A randomized, controlled trial demonstrated higher anatomic closure and lower reoperation rates in patients who had macular ILM peeling vs those who did not.10 Overall, anatomical closure rates of MHs have been reported to be as high as 85% to 100%.11-14
DISCUSSION
Macular hole size is the most important prognostic factor in deciding the rate of MH surgical closure, which is correlated with functional improvement.15,16
Observations by Gass regarding the role of disruption of the Müller cell cone in the pathogenesis of MH formation,17 the correlation of histopathology reflected on optical coherence tomography (OCT) evolution of MHs,18 and postsurgery OCT findings of reapposition of the foveal external limiting membrane (ELM) and ellipsoid zones (indicative of photoreceptor integrity) led to appreciation of the macular anatomy, which contributed to advancements in MH surgery.
Excellent rates of type 1 (fully appositional19) closure are now obtained with peeling delamination of the ILM combined with pars plana vitrectomy and fluid-gas exchange (with or without face-down positioning20,21) when treating MHs that have an MLD less than 400 µm.
In contrast, surgical closure of large MHs remains a challenge. The prognosis for optimal postoperative MH closure is correlated with the preoperative size of the MH,3 and in a similar fashion, postoperative visual acuity is correlated with the postoperative status of MH closure.
Most surgical failures in MH surgery occur in eyes with large MHs (defined as an MH with MLD >400 µm). Ip et al reported a closure rate of 56% for large MHs.22 One study showed a postoperative flat/open appearance on OCT (a type 2 “closure”) in 19% to 39% of large MHs.19 A postoperative type 2 MH “closure” (in reality a postsurgical persistence of outer plexiform layer, foveal ELM, and ellipsoid zone separation19) was associated with limited vision potential.
ALTERNATE SURGICAL TECHNIQUES FOR TREATMENT OF LARGE MH
Given that nearly half of MHs are large MHs at the time of diagnosis,3 improvement of the overall surgical success in patients requiring MH surgery requires techniques that may optimize outcomes for larger MHs. Several techniques have been proposed to enhance surgical success in patients with large MHs (Table 1), including ILM flap techniques.
| Inverted ILM flap |
| Modified inverted ILM flap |
| Temporal inverted ILM flap +/- PFO or viscoelastic |
| ILM hinge procedure |
| Macular hole hydrodissection |
| Temporal macular arcuate retinotomy |
| Autologous transplantation of ILM or neurosensory retinal free flap |
| Macular hole detachment induction and radial retinal incisions |
| Lens capsular flap transplant |
| ILM, internal limiting membrane; PFO, n-perfluoro-octane |
ILM Flap Techniques
In 2010, Michalewska et al23 reported that the use of the inverted ILM flap technique (initially described in 200924) could reliably close large MHs. In this surgical procedure, the macular ILM was delaminated except at the edges of the MH, where it was left attached. The delaminated ILM was then rolled centrally and tucked into the MH. Anatomical closure, excluding a flat/open postsurgical configuration, was achieved in 96% in the 2010 series of 50 patients with large MHs. It was proposed that provision of a cellular migration scaffold by the flap allowed for restoration of the cellular anatomy, allowing for improvement of visual function.
The good outcomes achieved in the original series described by Michalewska et al in 2010 have been replicated. A recent large, retrospective, nonrandomized, consecutive study showed improved functional and anatomical outcomes with vitrectomy associated with the inverted ILM flap technique vs standard ILM peeling in the treatment of idiopathic and myopic large MHs.
In this study, the anatomic outcome of MH closure was obtained in 78 of 99 large MHs closed with standard ILM peeling vs 95 of 99 closed with the inverted ILM flap technique (P<.001). In terms of functional outcome, the difference between preoperative and postoperative visual acuity was not statistically significant within the standard peeling group (P=.333), whereas it was highly significant within the inverted ILM flap group (P=0.02).25
Independently, in a prospective, randomized study of patients with MHs with MLD >600 µm, Manasa et al achieved type 1 MH closure in 62.79% of patients who were treated with the inverted ILM flap technique vs a 34.04% type 1 closure success rate with standard ILM peeling (P=0.02). Superior visual acuity results were also achieved in the patients treated with the inverted ILM flap.26
Modifications of the Inverted ILM Flap Technique
Variations of the inverted ILM flap technique have also been described. The temporal inverted ILM flap technique involves grasping the ILM from the temporal macular area only to reduce the potential for iatrogenic trauma to the papillomacular bundle nerve fiber layer. Michalewska et al reported, in a prospective, comparative, interventional study of 87 eyes, that the temporal inverted ILM flap technique was as effective as the classic ILM flap technique for the closure of large MHs.27
A retrospective, observational study published in 2017 reviewed MH surgery with either the standard inverted ILM flap technique or the temporal inverted ILM flap technique. One hundred twenty-five of 149 MHs were primarily closed (83%) without “flap closure” (which was defined as a type 2 “closure” with an overlying ILM flap); there was no difference in the type 1 closure rate between the “standard” ILM flap technique vs the temporal ILM flap technique groups. With time, regeneration appeared to start at the level of the ELM; restoration of the ellipsoid zone layers followed.28
The ILM hinge procedure is another modification to the inverted ILM flap technique. In this variation, the surgeon creates a small, pedunculated ILM flap attached to the margin of the MH; this flap is then flipped backward toward the base of the hole and stabilized with a viscoelastic “cap” to close the MH.
With this technique, successful closure was reported in 24 large MH cases (mean aperture diameter of 527.7 µm), associated with improved visual acuity (mean follow-up of 12 months).29 Song et al20 also described a single-layered inverted ILM flap technique assisted by viscoelastic, which achieved type 1 MH closure in 13 of 15 large MHs associated with high myopia.
In addition, an interventional, comparative, prospective study of 81 eyes showed that a “modified” inverted ILM flap technique showed similar anatomical and functional outcomes as the classic procedure. The modified inverted ILM flap technique is similar to the classic procedure, except that there is no tucking of the ILM flap inside the MH after inversion. MH closure (obtained in more than 97% of cases in each group), and elliptical zone and ELM recovery rates were similar in both groups.31
The experience with the inverted ILM flap to treat large MHs has not been uniformly positive, however.32 A recent study of 36 patients with MHs with basal diameter >800 µm, divided equally into a group of 18 that underwent ILM peeling and 18 eyes that underwent the inverted ILM flap technique treatment, found no statistically significant difference in anatomic closure (16/18 with inverted ILM flap vs 14/18 with ILM peeling); there was also no difference in functional improvement between the two groups.33 Also, more study is needed regarding the possible influence of the inverted ILM flap technique on the ELM line and the ellipsoid zone line.
A recent small study of 24 eyes with large MHs showed poorer anatomical (foveal ELM and ellipsoid zone recovery) and visual results associated with the inverted ILM flap compared with standard ILM peeling, raising the question of whether the flap could interfere with foveal photoreceptor recovery.34
Other surgical procedures proposed to treat large MHs include arcuate retinotomy,35 perifoveal radial incisions,36 MH hydrodissection,37 the ILM free-flap technique,38 the autologous lens capsular flap,39 and the autologous neurosensory retinal flap.40
MH ANATOMIC VARIABLES RELATING TO SURGICAL PROGNOSIS
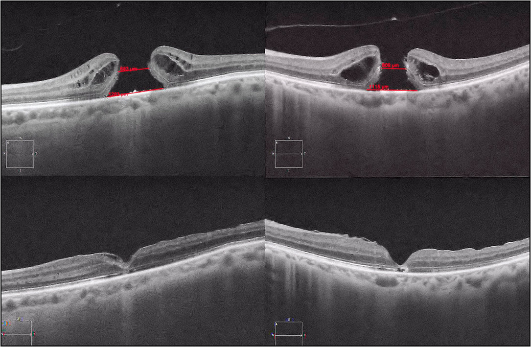
Macular hole diameter measurements calculated by OCT may be used to predict anatomic surgical success with standard ILM peeling surgery (which in turn is correlated with functional improvement). The most basic, MH MLD, classifies “large MH” as those with an MLD >400 µm, which have poorer prognoses for surgical success than those <400 µm, as described above.
More complex alternative measurements relating to MH surgical prognosis have been proposed: Desai et al41 used the calculated hole form factor (left and right arm length/base diameter), and Ruiz-Moreno et al42 used the Macular Hole Index (hole height/base diameter), Diameter Hole Index (minimum diameter/base diameter), and Tractional Hole Index (maximum hole height/minimum diameter). However, the use of these measurements has not become standard practice among clinicians, and their predictive value has not been widely reproduced.
There are epidemiologic data supporting the use of MH MLD as a guide for surgical selection in patients with MHs. In the Manchester Large Macular Hole Study,43 the anatomical success rate of type 1 closure of full-thickness MHs with “standard” ILM peeling delamination was 98% (64/65) in MHs 400-477 µm in MLD, 91% (59/65) in those 478-558 µm in MLD, 94% (60/64) in those 559-649 µm in MLD, and 76% (49/64) in those 650-1416 µm MLD. Based on evaluation of these data, the authors proposed that an MH MLD of <650 µm could be used as an optimal “inflection marker” to predict when MHs are more likely to close with standard surgery.
In addition, there is an independent parameter determining MH surgical success beyond MH MLD: MH basal diameter. Considering the MH MLD with the MH basal diameter offers more prognostic information than either metric alone when evaluating an MH. Salter et al44 showed that midhole diameter and MH base diameter carry independent prognostic value regarding the prognosis for MH closure.
A retrospective case series utilizing pars plana vitrectomy with ILM peeling, intravitreal 14% C3F8, and postoperative face-down positioning showed that the failure rate was 0% among eyes with midhole diameter less than 500 µm and 14.9% with midhole diameter of 500 µm or greater (P<.001). When the independent variable MH base diameter was considered separately, the failure rate was 0% among eyes with base-hole diameter less than 500 µm and 19.1% with a base-hole diameter of 1,000 µm or greater (P=.001).
Since larger MH basal diameter size is a predictor of surgical success that is independent of MH MLD, we should consider both the MLD and the base diameter when evaluating an MH. We could consider defining “giant” MHs as all large MHs (MLD >400 µm) with a base diameter >700 µm (a base diameter between the 500-µm 0% and 1,000-µm 19.1% failure rates in the above-cited study), perhaps guiding us to choose surgery other than a standard ILM peel in this patient cohort (Figure 1).45
CONCLUSION
Good surgical outcomes may be anticipated with the treatment of MHs, with extremely high success rates when the MH MLD is less than 400 µm. Larger MHs are the cases most prone to fail with attempted surgery. Today, we can achieve high success rates in large (or even “giant”) MH cases; procedures other than standard ILM peeling should be considered to enhance surgical success rates in these eyes. For example, an inverted ILM flap technique surgical approach could be considered.
Once closed, visual acuity improvement often follows, coincident with re-establishment of the foveal ELM and ellipsoid zone (reflecting photoreceptor function potential). Late reopening after successful MH repair is very uncommon; a report indicated an incidence of 2% prior to the introduction of ILM peeling46 (and the rate is perhaps even less with ILM peeling). Improved visual acuity follows re-established anatomy; we may anticipate incremental postoperative improvement in these individuals since it is known that visual acuity tends to improve through 3 years after MH surgery.47 RP
REFERENCES
- Casuso LA, Scott IU, Flynn HW, et al. Long-term follow-up of unoperated macular holes. Ophthalmology. 2001;108(6):1150-1155.
- Ezra E. Idiopathic full thickness macular hole: natural history and pathogenesis. Br J Ophthalmol. 2001;85(1):102-108.
- Duker JS, Kaiser PK, Binder S, et al. The International Vitreomacular Traction Study Group classification of vitreomacular adhesion, traction, and macular hole. Ophthalmology. 2013;120:2611-2619.
- Gass JDM. Idiopathic senile macular hole. Its early stages and pathogenesis. Arch Ophthalmol. 1988;106(5):629-639.
- Kelly NE, Wendel RT. Vitreous surgery for idiopathic macular holes: Results of a pilot study. Arch Ophthalmol. 1991;109(5):654-659.
- Fine S. Vitreous surgery for macular hole in perspective: Is there an indication? Arch Ophthalmol. 1991;109(5):635-636.
- Eckardt CL, Eckhardt U, Groos ST, et al. Removal of the internal limiting membrane in macular holes. Clinical and morphological findings. Ophthalmologe. 1997;94(8):545-551.
- Park DW, Sipperley JO, Sneed SR, Dugel PU, Jacobsen J. Macular hole surgery with internal-limiting membrane peeling and intravitreous air. Ophthalmology. 1999;106(7):1392-1398.
- Kadonosono K, Itoh N, Uchio E, et al. Staining of internal limiting membrane in macular hole surgery. Arch Ophthalmol. 2000;118:1116-1118.
- Lois N, Burr J, Norrie J, et al; Full-thickness Macular Hole and Internal Limiting Membrane Peeling Study (FILMS) Group. Internal limiting membrane peeling versus no peeling for idiopathic full-thickness macular hole: a pragmatic randomized controlled trial. Invest Ophthalmol Vis Sci. 2011;52(3):1586-1592.
- Smiddy WE, Feuer W, Cordahi G. Internal limiting membrane peeling in macular hole surgery. Ophthalmology. 2001;108(8):1471-1476.
- Passemard M, Yakoubi Y, Muselier A, et al. Long-term outcome of idiopathic macular hole surgery. Am J Ophthalmol. 2010;149(1):120-126.
- D’Souza MJ, Chaudhary V, Devenyi R, et al. Re-operation of idiopathic full-thickness macular holes after initial surgery with internal limiting membrane peel. Br J Ophthalmol. 2011;95(11):1564-1567.
- Krishnan R, Tossounis C, Fung Yang Y. 20-gauge and 23-gauge phacovitrectomy for idiopathic macular holes: comparison of complications and long-term outcomes. Eye. 2013;279(1):72-77.
- Tadayoni R, Gaudric A, Haouchine B, et al. Relationship between macular hole size and potential benefit of internal limiting membrane peeling. Br J Ophthalmol. 2006;90(10):1239-1241.
- Ullrich S, Haritoglou C, Gass CT, et al. Macular hole size as a prognostic factor in macular hole surgery. Br J Ophthalmol. 2002;86(4):390-393.
- Gass JDM. Muller cell cone, an overlooked part of the anatomy of the fovea centralis: hypothesis concerning its role in the pathogenesis of macular hole and foveomacular retinoschisis. Arch Ophthalmol. 1999;117(6):821-823.
- Spaide RF. Closure of an outer lamellar macular hole by vitrectomy: hypothesis for one mechanism of macular hole formation. Retina. 2000;20(6):587-590.
- Kang SW, Ahn K, Ham DI. Types of macular hole closure and their clinical implications. Br J Ophthalmol. 2003;87(8):1015-9.
- Tornambe PE, Pollner LS, Grote K. Macular hole surgery without face-down positioning. A pilot study. Retina. 1997;17(3):179-185.
- Iezzi R, Kapoor KG. No face-down positioning and broad internal limiting membrane peeling in the surgical repair of idiopathic macular holes. Ophthalmology. 2013;120(10):1998-2003.
- Ip MS, Baker BJ, Duker JS, et al. Anatomical outcomes of surgery for idiopathic macular hole as determined by optical coherence tomography. Arch Ophthalmol. 2002;120(1):29-35.
- Michalewska Z, Michalewski J, Adelman RA, et al. Inverted internal limiting membrane flap technique for large macular holes. Ophthalmology. 2010;117(10):2018-2025.
- Michalewska Z, Michalewski J, Nawrocki J. Macular hole closure after vitrectomy: the inverted flap technique. Retin Today. 2009;14(3):73-74.
- Rizzo S, Tartaro R, Barca F, et al. Internal limiting membrane peeling versus inverted flap technique for treatment of full-thickness macular holes: A comparative study in a large series of patients. Retina. 2018;38(Suppl 1):S73-S78.
- Manasa S, Kakkar P, Kumar A, et al. Comparative evaluation of standard ILM peel with inverted ILM flap technique in large macular holes: a prospective, randomized study. Ophthalmic Surg Lasers Imaging Retina. 2018;49(4):236-240.
- Michalewska Z, Michalewski J, Dulczewska-Cichecka K, et al. Temporal inverted internal limiting membrane flap technique versus classic inverted internal limiting membrane flap technique a comparative study. Retina. 2015;35(9):1844-1850.
- Boninska K, Nawrocki J, Michalewska Z. Mechanism of “flap closure” after the inverted internal limiting membrane flap technique. Retina. 2018;38(11):2184-2189.
- Andrew N, Chan WO, Tan M, et al. Modification of the inverted internal limiting membrane flap technique for the treatment of chronic and large macular holes. Retina. 2016;36(4):834-837.
- Song Z, Li M, Liu J, et al. Viscoat assisted inverted internal limiting membrane flap technique for large macular holes associated with high myopia. J Ophthalmol. 2016;2016:8283062.
- Casini G, Mura M, Figus M, et al. Inverted internal limiting membrane flap technique for macular hole surgery without extra manipulation of the flap. Retina. 2017;37 (11):2138-2144.
- Koo EB, Smiddy WE. Internal limiting membrane flap technique for macular holes: Is it ready for prime time? Retina. 2018;38(5):865-869.
- Narayanan R, Singh SR, Taylor S, et al. Surgical outcomes after inverted internal limiting membrane flap versus conventional peeling for very large macular holes. Retina. 2018 Apr 23. [Epub ahead of print]
- Iwasaki M, Kinoshita T, Miyamoto H, Imaizumi H. Influence of inverted internal limiting membrane flap technique on the outer retinal layer structures after a large macular hole surgery. Retina. 2018 May 8. [Epub ahead of print]
- Charles S, Randolph JC, Neekhra A, Salisbury CD, Littlejohn N, Calzada JI. Arcuate retinotomy for the repair of large macular holes. Ophthalmic Surg Lasers Imaging Retina. 2013;44(1):69-72.
- Shah AA, Thomas BJ, Yonekawa Y, Capone A Jr. Radial retinal incisions for complex pediatric traumatic retinal holes. Retina. 2016;36(1):211-215.
- Felfeli T, Mandelcorn ED. Macular hole hydrodissection: surgical technique for the treatment of persistent, chronic, and large macular holes. Retina. 2019;39(4):743-752.
- Morizane Y, Shiraga F, Kimura S, et al. Autologous transplantation of ILM for refractory macular holes. Am J Ophthalmol. 2014;157(4):861-869.
- Chen SN, Yang CM. Lens capsular flap transplantation in the management of refractory macular hole from multiple etiologies. Retina. 2016;36(1):163-170.
- Grewal DS, Mahmoud TH. Autologous neurosensory retinal free flap for closure of refractory myopic macular holes. JAMA Ophthalmol. 2016;134(2):229-230.
- Desai VN, Hee MR, Puliafito CA. Optical coherence tomography of macular holes. In: Madreperla SA, McCuen BW, eds. Macular Hole: Pathogenesis, Diagnosis and Treatment. Oxford: Butterworth-Heinemann; 1999:37-47.
- Ruiz-Moreno JM, Staicu C, Piñero DP, et al. Optical coherence tomography predictive factors for macular hole surgery outcome. Br J Ophthalmol. 2008;92(5):640-644.
- Ch’ng SW, Patton N, Ahmed M, et al. The Manchester Large Macular Hole Study: Is it time to reclassify large macular holes? Am J Ophthalmol. 2018 Jul 30. [Epub ahead of print]
- Salter AB, Folgar FA, Weissbrot J et al. Macular hole surgery prognostic success rates based on macular hole size. Ophthalmic Surg Lasers and Imaging. 2012;43(3):184-189.
- Colucciello M. Treatment of giant macular holes with the inverted internal limiting membrane flap technique. Poster presented at: Annual meeting of the Retina Society; San Francisco, CA; September 14, 2018.
- Park SS, Marcus DM, Duker JS, et al. Posterior segment complications after vitrectomy for macular hole. Ophthalmology. 1995;102(5):775-781.
- Leonard RE, Smiddy WE, Flynn HW Jr, et al. Long-term visual outcomes in patients with successful macular hole surgery. Ophthalmology. 1997;104(10):1648-1652.







