The era of multimodal imaging has dramatically modified the practice of uveitis. In particular, OCT-based angiography (OCTA) has offered a noninvasive way to analyze retinal and choroidal vasculature using phase decorrelation to detect vascular flow. Spectral-domain (SD) OCTA, which uses an 840 nm wavelength, and swept-source (SS) OCTA, which uses a 1,000 nm wavelength, have been used for the study of inflammatory and noninflammatory chorioretinal disease.1 Uveitis involving the posterior segment often leads to changes in retinal and choroidal vasculature, and OCTA can provide detailed information regarding these changes without the use of injectable dyes. Here, we discuss the applications of OCTA in various inflammatory disease processes.
IDENTIFY NONPERFUSION
In diseases that are known to affect superficial and deep retinal vasculature, OCTA can demonstrate high-resolution images of abnormal vasculature and identify areas of nonperfusion. In comparison to SD OCTA (Zeiss AngioPlex), SS-OCTA can image a greater breadth of field, and montaged images can be created. Figure 1A demonstrates the difference in breadth of image field in a 15-year-old male with occlusive vasculitis secondary to systemic lupus erythematosus. Wide-field fluorescein angiography (FA) also demonstrates his occlusive vasculitis, but in comparison to a montaged SS-OCTA (Zeiss Plex Elite 9000) image, it provides far less resolution of vasculature (Figure 1B). OCTA also is better able to demonstrate reperfusion over time in comparison to FA (Figure 1C). The superiority of OCTA over FA in imaging of retinal capillary networks has been reported.2 OCTA has also demonstrated increased intracapillary spaces and alteration of retinal vasculature in birdshot chorioretinopathy.3
DIFFERENTIATE LESION TYPES
In inflammatory diseases of the choriocapillaris, OCTA has proven useful in the distinction of active and inactive lesions. Placoid chorioretinitis such as acute posterior multifocal placoid pigment epitheliopathy and serpiginous choroidopathy demonstrate areas of reduced choriocapillaris flow in active lesions.4,5 The images in Figure 2 show an 18-year-old female who presented with placoid chorioretinitis. SD-OCTA demonstrates blockage of flow in the choriocapillaris and choroid layers on en-face images. In comparison to the active leading edge of the lesion, the inactive central area of the lesion is atrophic and demonstrates transmission artifact on OCTA. Although FA and indocyanine green angiography demonstrate changes that allow distinction of active and inactive areas, OCTA can do so without the use of injectable dyes.
VISUALIZE GRANULOMAS
Granulomatous disease can also be monitored using OCTA. Sarcoidosis often presents with choroidal granulomas that are difficult to see with SD-OCT but are more clearly visualized using OCTA. The advantage of the longer wavelength of SS-OCTA in the imaging of choroidal vasculature is exemplified in comparison to SD-OCTA. In the case of a 47-year-old male with presumed sarcoidosis based on CT chest findings, SD-OCTA (Optovue Avanti RTVue XR) is unable to capture a large subfoveal granuloma that is readily seen on SS-OCTA (Figure 3).
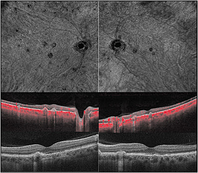
Finally, OCTA is useful in diagnosis and treatment of inflammatory choroidal neovascular membrane (CNVM). In contrast to the increase in flow seen in CNVM, inflammatory lesions demonstrate flow voids on OCTA. A 36-year-old female who presented as a second opinion regarding CNVM recalcitrant to multiple anti-VEGF injections demonstrated multifocal lesions with subretinal hyper-reflective material devoid of flow on OCTA (Figure 4). The lesions markedly decreased in size with the use of high-dose oral steroids.
CONCLUSION
Using OCTA, retina specialists can clearly identify changes in retinal and choroidal vasculature that aid in the diagnosis and management of uveitis. As a noninvasive imaging modality that is able to provide greater clarity and quantity of information than FA and ICGA, OCTA is highly useful not only in diagnosis, but also in the monitoring of disease progression. RP
REFERENCES
- Barteselli G, Bartsch D-U, Weinreb RN, et al. Real-time full-depth visualization of posterior ocular structures: comparison between full-depth imaging spectral domain optical coherence tomography and swept-source optical coherence tomography. Retina. 2016;36(6):1153-1161.
- Spaide RF, Klancnik JM, Cooney MJ. Retinal vascular layers imaged by fluorescein angiography and optical coherence tomography angiography. JAMA Ophthalmol. 2015;133(1):45-50.
- Pohlmann D, Macedo S, Stübiger N, Pleyer U, Joussen AM, Winterhalter S. Multimodal imaging in birdshot retinochoroiditis. Ocul Immunol Inflamm. 2017;25(5):621-632.
- Klufas MA, Phasukkijwatana N, Iafe NA, et al. Optical coherence tomography angiography reveals choriocapillaris flow reduction in placoid chorioretinitis. Ophthalmol Retin. 2017;1(1):77-91.
- Khan HA, Shahzad MA. Multimodal Imaging of serpiginous choroiditis. Optom Vis Sci. 2017;94(2):265-269.







