Retinoblastoma is now the pediatric cancer with the highest cure rate in developed countries, with 95% of all eyes salvageable and 90% of children affected having 20/20 vision (in at least 1 eye). Treatment is more effective than in the past, less toxic, and less expensive, and a cure is accomplished in a shorter time as a result of modern management1 Eyes that were previously routinely enucleated are now saved2,3 and, with treatment, some eyes with no vision at presentation regain useful sight.4 However, if you completed your residency more than a year ago, you may not be aware of the newest advances. This article will highlight the remarkable advances in retinoblastoma since your residency.
METASTATIC RETINOBLASTOMA IS CURABLE
Worldwide more than 50% of children with retinoblastoma develop metastatic disease, but in the United States, only 2% to 6% of children develop metastatic disease. In developing countries, metastases often occur by direct extension of the tumor through the wall of the eye or down the optic nerve, while in developed countries, metastases are mostly hematogenous. Hematogenous spread is usually detected in bone marrow, but it can also deposit in the brain. Hematogenous spread into the marrow is now curable. The greatest advance came when it was recognized that, to be effective, high doses of systemic chemotherapy were needed — conventional doses cause response but not cure. These high doses require bone marrow transplantation and have significant toxicity, but the toxicity is well managed by pediatric oncologists and nurses, and long-term survival has exceeded 75% in all series (some series had 100% survival).5 Metastases into the brain have a poorer outcome, although approximately 25% of them are curable.
David H. Abramson, MD, FACS, is chief of the Ophthalmic Oncology Service in the Department of Surgery at Memorial Sloan Kettering Cancer Center in New York. Jasmine H. Francis, MD, is an attending surgeon on the Ophthalmic Oncology Service at Memorial Sloan Kettering Cancer Center. The authors report no related disclosures. Reach Dr. Abramson at abramsod@mskcc.org.
RETINOBLASTOMA IS PREVENTABLE
That some cases of retinoblastoma are genetic has been known for almost 100 years. With the cloning of genes in 1986, clinical genetic testing has become available worldwide, and 90% of retinoblastoma families in New York currently undergo genetic testing and counseling. It was formerly thought that only bilateral retinoblastoma was genetic (representing 25% to 33% of all cases), but testing has revealed that 15% of unilateral cases are also genetic, so overall, almost 50% of all retinoblastomas have a genetic (germline) basis. The options for a family with a parent with a known germline defect have been limited. Choosing to not have children or adopting are difficult decisions, and families who undergo amniocentesis (or chorionic villus sampling) are faced with the knowledge that their unborn child could develop cancer.
This all changed with the introduction of preimplantation genetic diagnosis (PGD) to the retinoblastoma world.6 PGD is an elegant concept and sophisticated method for determining whether the product of fertilization at 3 days harbors a genetic defect. First, a probe is made that identifies the specific mutation of the parent who had retinoblastoma. Then, standard in vitro fertilization is performed, but instead of immediately implanting the product of fertilization, the product is allowed to develop for 3 days.
At 3 days, there are only 8 (identical) cells, and with standard techniques, 1 of the cells is removed and analyzed with probes. Because retinoblastoma is an autosomal-dominant abnormality, half of products of fertilization will develop retinoblastoma if implanted. However, on visual grounds, it is impossible to determine which product carries the genetic defect. Within 2 hours, the results are available, and the 3-day product without the genetic defect is implanted. There is no genetic alteration here. No genes are added or removed. The diagnosis of the genetic defect is made before implantation, which is why it is called “preimplantation genetic diagnosis.” Our practice was the first to perform this procedure, and it is now performed successfully worldwide.
CELL OF ORIGIN OF RETINOBLASTOMA
For years, the cell of origin of retinoblastoma was debated. The original term for retinoblastoma was “glioma of the retina,” and it was thought that the tumor was of glial origin. It is now known that retinoblastoma originates from cone precursor cells,37 and malignant transformation begins in utero — probably at approximately 26 to 28 weeks gestation. Because of intrinsic cell signaling at this time, these cells are especially sensitive to mutations. Clinically, retinoblastoma may not be detectable at birth, but most likely, it is already there.
TREATING RETINOBLASTOMA BEFORE IT IS VISIBLE
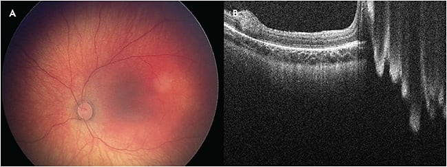
Optical coherence tomography (OCT) use in retinoblastoma lagged behind the rest of ophthalmology because equipment did not exist for small children. Now that this equipment is commercially available, it has increasingly become part of the ophthalmologic oncologist’s armamentarium. As a result, tumors can now be imaged before they can be seen with the indirect ophthalmoscope. Tumors as small as 100 µm — too small to be visualized ophthalmoscopically — are now detected and treated using the OCT as a “guide” rather than a visible tumor (Figure 1).
EXTERNAL BEAM RADIATION HAS BEEN ABANDONED
For most of the 20th century, external beam irradiation was the only way an eye with extensive retinoblastoma (Reese-Ellsworth Va and b) could be salvaged. External beam radiation was first performed in 1903; Reese in the United States and Stallard in the United Kingdom developed techniques that allowed tumors to be treated and still retain the eye with sight. Retinoblastoma is among the very few solid cancers in children or adults that can be cured with radiation alone. Unfortunately, radiation — especially if delivered in the first year of life — increases the already increased propensity of children with the genetic form of retinoblastoma to develop nonocular and often fatal cancers (mostly sarcomas).8 By the end of the century, more retinoblastoma patients in developed countries were dying from these “second” cancers than from retinoblastoma itself. As a result of radiation, survivors of retinoblastoma were at the highest risk for developing subsequent cancers among all children or adults who received radiation. Once this fact was fully recognized, clinicians worldwide abandoned external beam irradiation in favor of other approaches. It has been 10 years since external beam irradiation was used in New York.
INTRA-ARTERIAL CHEMOTHERAPY
Intra-arterial chemotherapy for retinoblastoma has been transformative for physicians, patients, and families. We introduced it in May 2006. Like all important changes in medicine, our work was built on the work of others. In the 1950s, Reese attempted to deliver chemotherapy via direct puncture of the internal carotid artery on the side to be treated. He recorded dramatic responses and noted that it only worked if the white blood cell counts were impaired. His hope was that he could decrease the dose of radiation, and he demonstrated success using the carotid approach with lower doses of radiation.
There was no thought that chemotherapy alone could be curative. He called the technique “selective ophthalmic artery” infusion. Despite encouraging results, he abandoned the technique for two reasons. The first was that chemotherapy induced bone marrow suppression, and in the 1950s, it was difficult to manage, with 1 patient bleeding from the carotid artery puncture and dying. We now know that less than 1% of the drug injected into the internal carotid artery gets into the eye, so in reality, his treatment was intravenous chemotherapy despite an artery being punctured.
Thirty years later, a different approach for a different reason was then pioneered by Japanese clinicians (led by Kaneko).9 In Japan and throughout Asia, families faced with enucleation as the recommendation for treatment of advanced intraocular retinoblastoma rejected this therapeutic option and withheld treatment. The children died of metastatic disease. Laboratory experiments by Kaneko demonstrated that the most potent drug for retinoblastoma was melphalan (Alkeran; ApoPharma), an alkylator discovered in 1953 and not previously used for retinoblastoma. They began treating all eyes with the hope that, if they could save the eye — independent of what the vision would be — that they would save the life (because the alternative was no treatment at all).
In their technique, they passed small catheters from the femoral artery and placed the tip above the exit of the ophthalmic artery on the side to be treated. The catheters resembled (tiny) Foley catheters, and they then inflated the balloon-occluding the internal carotid artery above the ophthalmic artery and then injected melphalan below the inflated balloon.
Because they were desperate to save these eyes, half of the patients also received external beam irradiation and hyperthermia, and many also received intraocular and periocular injections of melphalan (into the vitreous). They called their technique “super selective ophthalmic artery infusion of chemotherapy.” Despite very encouraging results, no other center worldwide attempted to replicate their technique.
In May 2006, we introduced what is now the technique being performed worldwide. Using microcatheters (450 µm in diameter) inserted into the femoral artery, we feed the catheter up to the orifice of the ophthalmic artery.10,11 We discovered that straightforward infusion then did not work because of laminar flow. The small branches off the ophthalmic artery to the choroid and retina were not perfused with straightforward, continuous infusion, so we pulsed the drug every minute to create eddy currents and turbulence so that the drug would get to the edges of the ophthalmic artery and into the choroidal and retinal branches. Melphalan is water insoluble, so it is packaged with propylene glycol and povidone-iodine, which can embolize if not filtered. Therefore, we meticulously filter melphalan before infusion.
We quickly discovered that the largest blood flow from the ophthalmic artery was not to the eye at all! The largest flow was into the supratrochlear artery (and lacrimal artery). The supratrochlear artery has branches into the nose, inner part of the upper eyelid, and forehead. So, we demonstrated that more blood could be shunted into the eye by applying phenylephrine eye drops to the forehead and sympathomimetic nasal spray into the nose at the beginning of the procedure. We also discovered a new reflex when the catheter (before injection of any chemotherapy) approached the ophthalmic artery. The patients precipitously developed diminished tidal volume, a potentially life-threatening reflex that we realized could be blocked and even prevented with the use of systemic epinephrine.
Because the procedure resembles surgery — it requires planning, a team, instruments, anesthesia, and the ability to immediately manage any complications — we named it ophthalmic artery chemosurgery (OAC), although it is also simply called “intra-arterial chemotherapy” by many. In addition to using melphalan, as pioneered by the Japanese, we have also used carboplatin (Paraplatin; Pfizer) and topotecan (Hycamtin; Novartis) in various combinations. The published highlights of this technique are as follows:
- It enables eyes formerly deemed hopeless to be treated and saved. In just 10 years in New York, we went from enucleating the eyes of 95% of patients to enucleating only 5% of eyes (Figure 2).2
- In cases of bilateral disease, both eyes can be treated in the same session with the same catheter, moving it down the internal carotid artery on one side and then up to the other side).12
- If the ophthalmic artery cannot be accessed for technical reasons, we demonstrated that treatment can be performed successfully via the external carotid artery so that 99% of all children can be successfully infused.
- In blind eyes with total RD, the reattachment rate is >80%, and 25% to 30% have measurable improvement in sight, as manifested by electroretinograph (ERG) recordings.4
- The success rate utilizing this technique has improved with time. Overall, 95% of treated eyes are now saved.
- Systemic complications are very rare. Fewer than 1% of children treated have developed fever/neutropenia or have needed blood transfusions.
- No ports are needed.
- The time to cure is shorter than with any other approach, and as a result of ports not being needed and children not needing treatment for infection or blood transfusions, the overall cost of treatment is less with OAC than with systemic chemotherapy.13
- Despite treating advanced eyes that were always enucleated, there has been no increase in orbital extension of retinoblastoma.14
- Despite treating these advanced eyes, patient survival is not compromised. Worldwide, a review of more than 3,000 infusions on three continents found a death rate from metastatic disease of less than 1%.
- Second cancers — which caused abandonment of external beam irradiation and developed as a consequence of intravenous chemotherapy — are not increased with OAC.15
- The technique has been replicated worldwide and is now in use in more than 45 countries and all centers in the United States (except for 1). A worldwide survey of ocular oncologist voted it the top choice for advanced unilateral disease.16
INTRAVITREAL CHEMOTHERAPY
Although intravitreal chemotherapy for retinoblastoma was first tried more than 50 years ago, it rarely worked and was avoided because of concern for spreading tumor cells through the needle site. That changed when Munier presented his work at the Internal Society of Ocular Oncology meeting in 2010.17
To increase safety, he first softened the eye with an anterior-chamber tap, used a small volume of chemotherapy (melphalan), used ultrasound biomicroscopy to safely identify where the needle should be placed, and prior to removing the needle, applied cryotherapy to “seal” the hole as the needle was removed after injection. He also altered the frequency of injection to weekly, increased the total number of injections to an average of 8 (as many as 17), and increased the dose to the 20- to 30-µg range. Here is a summary of published observations on the use of intravitreal melphalan.
| Class | Type | Description5 | Response to Intravitreal Melphalan5 | Amount of Drug |
| Type I | Dust |
|
2-3 weeks to regress | Receives least drug/injections |
| Type 2 | Spheres |
|
6-7 weeks to regress | Receives medium amount of drug/number of injections |
| Type 3 | Cloud |
|
30-32 weeks to regress | Receives most drug/injections |
- More than 90% of vitreous seeds are controlled with injection (but treatment is also needed for the tumor causing the seeding; today, this is usually OAC, although cryotherapy and plaques are also employed [Table 1]).
- This change has led to the recognition that all vitreous seeds are not the same in morphology, clinical milieu, or response to injections.18
- The seeds of injected eyes either disappear or calcify.
- There is no systemic toxicity from intravitreal injections.
- To date, there have been no reported cases of extraocular extension from intravitreal injections.
- Intravitreal injections have been used for subretinal seeds with success when used with laser.19
- Intravitreal injections have measurable retinal toxicity. On average 4% to 5% of ERG function is permanently lost following each injection (measurable within 1 month), and while some eyes have no impairment of function, some have devastating loss of vision.20 Permanent salt and pepper-like retinopathy is often seen in the periphery, corresponding to where the injection was administered.
- All centers worldwide are using fewer and fewer injections and are successful with an average of 3 to 4 injections.
CONCLUSION
Retinoblastoma management has almost surely changed since your residency. While some of the techniques you learned about are still used, radiation has been abandoned, systemic chemotherapy is used less often, and newer techniques like intra-arterial chemotherapy and intravitreal chemotherapy have led to greater retention of eyes and vision at a lower cost and with fewer systemic side effects. This has been accomplished without sacrificing patient survival. It’s a new and better world for the patients, families and physicians involved with retinoblastoma. RP
REFERENCES
- Abramson DH. Retinoblastoma: saving life with vision. Annu Rev Med. 2014;65:171-184.
- Abramson DH, Fabius AWM, Issa R, et al. Advanced unilateral retinoblastoma: the impact of ophthalmic artery chemosurgery on enucleation rate and patient survival at MSKCC. PLoS One. 2015;10(12):e0145436.
- Abramson DH, Fabius AWM, Francis JH, et al. Ophthalmic artery chemosurgery for eyes with advanced retinoblastoma. Ophthalmic Genet. 2017:1-6.
- Abdelhakim AH, Francis JH, Marr BP, Gobin YP, Abramson DH, Brodie SE. Retinal reattachment and ERG recovery after ophthalmic artery chemosurgery for advanced retinoblastoma in eyes with minimal baseline retinal function. Br J Ophthalmol. 2016;101(5):623-628.
- Dunkel IJ, Chan HSL, Jubran R, et al. High-dose chemotherapy with autologous hematopoietic stem cell rescue for stage 4B retinoblastoma. Pediatr Blood Cancer. 2010;55(1):149-152.
- Xu K, Rosenwaks Z, Beaverson K, Cholst I, Veeck L, Abramson DH. Preimplantation genetic diagnosis for retinoblastoma: the first reported liveborn. Am J Ophthalmol. 2004;137(1):18-23.
- Xu XL, Singh HP, Wang L, et al. Rb suppresses human cone-precursor-derived retinoblastoma tumours. Nature. 2014;514(7522):385-388.
- Abramson DH, Ellsworth RM, Zimmerman LE. Nonocular cancer in retinoblastoma survivors. Trans Sect Ophthalmol Am Acad Ophthalmol Otolaryngol. 1976;81(3 Pt 1):454-457.
- Suzuki S, Yamane T, Mohri M, Kaneko A. Selective ophthalmic arterial injection therapy for intraocular retinoblastoma: the long-term prognosis. Ophthalmology. 2011;118(10):2081-2087.
- Abramson DH, Dunkel IJ, Brodie SE, Kim JW, Gobin YP. A phase I/II study of direct intraarterial (ophthalmic artery) chemotherapy with melphalan for intraocular retinoblastoma initial results. Ophthalmology. 2008;115(8):1398-1404.
- Gobin YP, Dunkel IJ, Marr BP, Brodie SE, Abramson DH. Intra-arterial chemotherapy for the management of retinoblastoma: four-year experience. Arch Ophthalmol. 2011;129(6):732-737.
- Abramson DH, Marr BP, Francis JH, et al. Simultaneous bilateral ophthalmic artery chemosurgery for bilateral retinoblastoma (tandem therapy). PLoS One. 2016;11(6):e0156806.
- Francis JH, Iyer S, Gobin YP, Brodie SE, Abramson DH. Retinoblastoma vitreous seed clouds (class 3): a comparison of treatment with ophthalmic artery chemosurgery with or without intravitreous and periocular chemotherapy. Ophthalmology. 2017 May 22. [Epub ahead of print]
- Yannuzzi NA, Francis JH, Abramson DH. Incidence of orbital recurrence after enucleation or ophthalmic artery chemosurgery for advanced intraocular retinoblastoma—reply. JAMA Ophthalmol. 2016;134(1):114-115.
- Habib LA, Francis JH, Fabius AW, Gobin PY, Dunkel IJ, Abramson DH. Second primary malignancies in retinoblastoma patients treated with intra-arterial chemotherapy: the first 10 years. Br J Ophthalmol. 2017 Jun 9. [Epub ahead of print]
- Grigorovski N, Lucena E, Mattosinho C, et al. Use of intra-arterial chemotherapy for retinoblastoma: results of a survey. Int J Ophthalmol. 2014;7(4):726-730.
- Munier FL, Gaillard M-C, Balmer A, et al. Intravitreal chemotherapy for vitreous disease in retinoblastoma revisited: from prohibition to conditional indications. Br J Ophthalmol. 2012;96(8):1078-1083.
- Francis JH, Abramson DH, Gaillard M-C, Marr BP, Beck-Popovic M, Munier FL. The classification of vitreous seeds in retinoblastoma and response to intravitreal melphalan. Ophthalmology. 2015;122(6):1173-1179.
- Francis JH, Marr BP, Brodie SE, Gobin P, Dunkel IJ, Abramson DH. Intravitreal melphalan as salvage therapy for refractory retinal and subretinal retinoblastoma. Retin Cases Brief Rep. 2016;10(4):357-60.
- Francis JH, Brodie SE, Marr B, Zabor EC, Mondesire-Crump I, Abramson DH. Efficacy and toxicity of intravitreous chemotherapy for retinoblastoma: four-year experience. Ophthalmology. 2017;124(4):488-495.







