Frequently Asked Questions About Subthreshold Laser Therapy
The second part of a roundtable discussion about treatment modalities
JAY CHHABLANI, MD • JEFFREY K. LUTTRULL, MD • SOBHA SIVAPRASAD, DM, FRCOphth, FRCS DANIEL LAVINSKY, MD • SAM E. MANSOUR, MSc, MD, FRCS(C), FACS
In the first part of this roundtable discussion, which appeared in the last issue, we discussed a variety of issues regarding subthreshold laser treatment of retinal diseases. In this second part, we continue the discussion, addressing issues of treatment failure and retreatment.
How do you follow up your cases after subthreshold laser therapy?
Dr. Luttrull: For diabetic macular edema, I may check them with optical coherence tomography in six to eight weeks, but I don’t usually make any treatment decision for at least three months. The laser response is a physiologic process. It takes some time. If the OCT and visual acuity are about the same or better, I watch. I only retreat if there is substantial worsening. As a rule, there is progressive improvement that may continue for a year or two without retreatment. In the last few years, I’ve found that virtually all the patients who worsen after treatment have undiagnosed or untreated sleep apnea. Once this is addressed, they do very well. For those new to subdiode micropulse (SDM) laser, there is a strong tendency to undertreat. For DME, I now do panmacular treatment of about 1,500 to 2,000 spots. Diabetic retinopathy is not a focal, or local, disease. If they have more than mild background retinopathy, I will do SDM panretinal photocoagulation as well.
Jay Chhablani, MD, practices at the L.V. Prasad Eye Institute in Hyderabad, India. Jeffrey K. Luttrull, MD, practices at the Retina Diagnostic Laboratory of Ventura County in Ventura, CA. Sobha Sivaprasad, DM, FRCOphth, FRCS, is a consultant at the Moorfields Eye Hospital in London, United Kingdom. Daniel Lavinsky, MD, practices in the Department of Ophthalmology at Federal University Rio Grande do Sul in Porto Alegre, Brazil. Sam E. Mansour, MSc, MD, FRCS(C), FACS, is clinical professor of ophthalmology at the George Washington University in Washington, DC. Drs. Chhablani, Luttrull, and Sivaprasad report no financial interests in products mentioned in this article. Dr. Lavinsky reports financial interest in Topcon. Dr. Mansour reports financial interest in Iridex. Dr. Chhablani can be reached via e-mail at jay.chhablani@gmail.com.
Dr. Sivaprasad: Every four months as in standard laser, and I do fundus fluorescein angiography to assess the need for retreatment in same area.
Dr. Lavinsky: I usually follow my patients every two to three months to decide whether retreatment is necessary.
Dr. Chhablani: After subthreshold laser therapy, I usually follow them up after three months. If there is persistent fluid, in cases of DME, I add laser along with anti-VEGF therapy. In cases of central serous chorioretinopathy, I give an option of oral medication or retreatment with micropulse without changing any settings.
Dr. Mansour: Here is the algorithm that I use for follow-up and retreatment:
A. At the first postop visit (30 to 90 days): Perform a spectral-domain macular OCT with fundus autofluorescence (FAF) of the macula;
B. At the three-month postop visit, perform SD-OCT with FAF of the macula.
If there is persistent macular edema involving the foveal center, no visible pigmentary alterations are on the FAF image of the macula, and no significant disturbances in the outer retinal layers from the laser session are noted, proceed with a second micropulse session. Treat the remaining edematous area, including the foveal center, utilizing the same laser parameters.
If new pigmentary changes and outer retinal changes are noted on the OCT, retreat the remaining edematous area, avoiding the foveal center at 50% power.
C. At the following three-month visit, if there is persistent macular edema involving the foveal center and:
i. No visible pigmentary alterations are noted on the FAF image of the macula, and no significant disturbances in the outer retinal layers from the laser session are noted, then proceed with a third micropulse session. Treat remaining edematous areas, including the foveal center, utilizing the same reduced laser power.
ii. If new pigmentary changes and outer retinal changes are noted on the OCT, retreat the remaining edematous area, avoiding the foveal center at a further reduced 50% power (Figures 1 and 2).
Figure 1. Case of diabetic macular edema that was unresponsive to six monthly intravitreal bevacizumab injections. The top image shows the persistent macular edema, and the bottom image shows the resolution of edema two months after a single session of subthreshold laser photocoagulation. Visual acuity improved from 20/40 to 20/25.
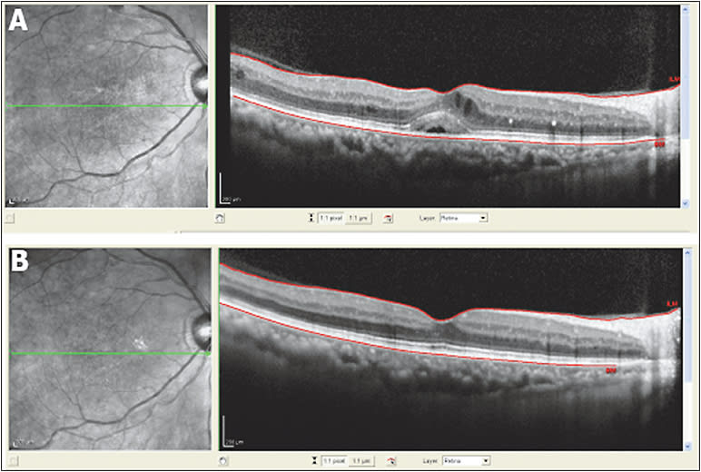
Figure 2. Case of a 54-year-old white man, a known case of chronic CSC for six months, who presented with visual acuity of 20/100 in the right eye and 20/25 in the left eye. He denied previous use of steroids or other medications. The patient was submitted to nondamaging retina laser therapy in the left eye with a 200-μm spot size, 150 mW 100%, 30% energy, 0.25 distance, and landmark optic nerve, with a total of 892 burns. After one month, there was partial resolution of fluid on optical coherence tomography, and VA improved to 20/20. At the two-month follow up, there was a complete resolution of subretinal fluid with further improvement of VA to 20/15
How do you decide the area that requires retreatment in case of failure? Do you perform a detailed documentation of laser areas?
Dr. Luttrull: Once you understand how laser works, focal treatment, and even local treatment, go the way of open sky vitrectomy and intracapsular cataract surgery. I now have only two items on my treatment selection menu: panmacular (the entire area between the arcades) and panretinal (the entire area outside the arcades). Thus, I have no need for aiming, navigation, or placement documentation or concern. I have discussed DME monitoring above. For proliferative DR, good widefield photos and the rare angiogram are useful. The old endpoint for PRP was total peripheral retinal ablation. My SDM PRP endpoint is arrest and regression of neovascularization.1
Dr. Sivaprasad: We need to apply confluent micropulse laser to the whole edematous area.
Dr. Lavinsky: I usually retreat areas of retinal thickening or subretinal fluid that failed to decrease significantly after three months.
Dr. Chhablani: I use the Navilas (OD-OS, Irvine, CA) system, which provides a detailed report of laser sessions that is particularly useful in subthreshold therapy when you can’t see the laser scars. With the help of a previous laser report, you decide which areas need to be retreated.
Dr. Mansour: I perform detailed documentation of laser areas. I retreat the entire area, including the fovea (provided there were no adverse structural changes following the initial session).
Have you ever experienced any complications related to subthreshold laser? If yes, please describe briefly.
Dr. Luttrull: In 2012, we reported on 10-year micropulse safety.2 Burns can occur using micropulse duty cycles of 10%. Above a 10% duty cycle, a micropulsed laser behaves like a continuous wave laser. The therapeutic window (safety range) of continuous wave lasers is only 0.010 W, while for SDM, it is up to 3.0 W. Thus, MP duty cycles greater than 5% should not be used in the macula.
Dr. Sivaprasad: No.
Dr. Lavinsky: So far, with more than three years of follow-up of nondamaging retinal therapy with, I haven’t experienced any complications.
Dr. Chhablani: Not so far.
Dr. Mansour: Very rarely, subtle pigmentary changes within the fovea in patients with very metabolically compromised retinal pigment epithelium (eg, chronic hydroxychloroquine [Plaquenil, Sanofi, Bridgewater, NJ] therapy and DME).
What are tips you would like to tell readers to perform for successful subthreshold laser therapy?
Dr. Luttrull: The “low-intensity/high-density” treatment paradigm developed 16 years ago is essential. When you think you’ve done enough, do more and over a larger area. If you’re doing it right, the only mistake you can make is to undertreat.
Dr. Sivaprasad: Confluent laser needs to be applied.
Dr. Lavinsky: The key to performing successful therapy is to deliver the right amount of energy enough to activate the RPE but still safe for the photoreceptors. This energy should be decided in each patient based on individual laser tissue effects on patients’ pigmentation and disease. That’s the reason we advocate titration for every patient, rather than a one-dose-fits-all protocol.
Dr. Chhablani: Don’t be afraid of doing more spots. Confluent burns are required. Repeat micropulse laser should be considered in cases of no response or recurrence. Don’t give up.
Dr. Mansour: Be patient! Do not expect to see results before six weeks in many instances. Avoid subfoveal treatment on the first round. Keep approximately 500 μm away from the foveal center. After 90 days, if no detectable structural damage is evident from the first session, then proceed with the same parameters through the fovea on subsequent treatment sessions.
What is your opinion on the future of subthreshold laser?
Dr. Luttrull: Stripped of the myth of necessary retinal damage, laser has every advantage over drug therapy other than speed of action. One particular advantage, however, is huge: laser acts physiologically. Because SDM is clinically harmless, it allows for very early intervention and preventive treatment for chronic progressive retinopathies. This renders drug therapy unnecessary for the vast majority of patients. It is far easier to prevent vision loss than to restore vision once it has been lost.
Dr. Sivaprasad: We need clinical trials comparing micropulse laser with standard laser in DME before it will become universally acceptable.
Dr. Lavinsky: Nondamaging laser therapy must be tested in larger multicenter clinical trials, especially for DME in combination with intravitreal drugs. Also, new indications should be tested, such as macular telangiectasia, drusen, and retinal dystrophies.
Dr. Chhablani: I think subthreshold laser brings new hope to patient management, but large multicentric trials are necessary to establish its role.
Dr. Mansour: Excellent! I see continued use, especially as adjunctive therapy to pharmacotherapeutics.
In your opinion, what are the expanding indications for subthreshold therapy? Please share your experiences briefly.
Dr. Luttrull: As I mentioned before, I use it for all chronic progressive retinopathies. It is also neuroprotective in primary open angle glaucoma, improving visual evoked potentials and visual fields without lowering intraocular pressure. That may be very useful in low and normal tension glaucoma. Recent theory has accurately predicted all of these novel new applications. After 60 years, we’re only beginning to tap into the potential of sublethal retinal laser.
Dr. Sivaprasad: I have only used it in acute CSC and DME.
Dr. Lavinsky: Besides classic indications, such as DME and CSC, we are currently gathering clinical experience treating macular telangiectasia type 24 and dry age-related macular degeneration. Others are investigating treatment of retinal dystrophies as well. In the case of macular telangiectasia, eyes treated with nondamaging retinal therapy using endpoint management appeared to have decreased progression at one year, and we identified one case with photoreceptor restoration after laser.
Dr. Chhablani: I believe it could be useful in dry and wet AMD, polypoidal choroidal vasculopathy, and macular telangiectasia.
Dr. Mansour: We are working on the role of subthreshold laser in atrophic AMD (current protocol under way) and panretinal application.
CONCLUSION
In conclusion, SDM laser will clearly play an essential role in the future in the treatment of retinal disease. Its use in diabetic eye disease is likely to persist despite the existence of medical treatments, and new indications seem probable. SDM should remain a key component of your treatment arsenal. RP
REFERENCES
1. Luttrull JK, Musch DC, Spink CA. Subthreshold diode micropulse panretinal photocoagulation for proliferative diabetic retinopathy. Eye (Lond). 2008;22:607-612.
2. Luttrull JK, Sramek C, Palanker D, Spink CJ, Musch DC. Long-term safety, high-resolution imaging, and tissue temperature modeling of subvisible diode micropulse photocoagulation for retinovascular macular edema. Retina. 2012;32:375-386.







