Current Concepts of ICG Angiography for Evaluation of CNV
Indocyanine green is particularly suited for detection.
RYAN B. RUSH, MD • SLOAN W. RUSH, MD
Since Yannuzzi et al1 first reported the use of digital indocyanine green angiography (ICGA) in 1992, its routine clinical use in ophthalmology has steadily increased, particularly in Europe, South America, and Asia.2
Indocyanine green absorbs light at 790 nm, and it fluoresces at 805 nm, making ICGA ideal for evaluating anatomical structures below the retinal pigment epithelium and even identifying choroidal pathology not well determined by either fluorescein angiography or optical coherence tomography.3
Interpretation and application of ICGA have been described in the setting of chorioretinitis, choroidal tumors, central serous chorioretinopathy, polypoidal choroidal vasculopathy (PCV), and various causes of choroidal neovascularization.2 Indeed, the usefulness of ICGA in the setting of PCV is well established and is considered the principal method for diagnosing PCV.4
This article will review the reported utility of ICGA as it relates to the evaluation and management of CNV.
CNV SECONDARY TO NEOVASCULAR AMD
ICGA may improve the identification of CNV in patients with neovascular age-related macular degeneration compared to FA alone, especially when occult CNV is the prevailing subtype.5 Scanning laser ophthalmoscopy and digital videoangiography with ICGA have been reported to enable the determination of 55% and 61% of cases of CNV, respectively, in cases in which the CNV could not be detected with FA.6-7
Ryan B. Rush, MD, and Sloan W. Rush, MD practice at Panhandle Eye Group in Amarillo, TX. Neither author reports any financial interests in products mentioned in this article. Dr. Ryan Rush can be reached via e-mail at Ryanbradfordrush21@hotmail.com.
Detection of the classic CNV subtype by ICGA approaches 100% in patients with neovascular AMD,8 and the utility of ICGA in the diagnosis of retinal angiomatous proliferation (RAP), recently referred to as type III CNV, has been well-established.9
Because CNV size is determined on FA principally by measuring areas of hyperfluorescence and dye leakage, ICGA may offer a distinct advantage over FA by allowing the observer to measure directly the CNV lesion itself, rather than relying on indirect measurement of the secondary effects of CNV, such as retinal leaking and staining on FA. For this reason, actual CNV size measurements may be overestimated on FA, compared to ICGA.
CNV internal structure and permeability can vary considerably on ICGA, depending on the stage of CNV maturity and development.10 Various ICGA classification systems have been proposed to describe the features of CNV in neovascular AMD patients, typically based on borders of hyperfluorescence and/or ICG dye leakage.11-13 More recently, there has been interest in calculating CNV size for the purpose of determining changes in CNV surface area over time in patients with neovascular AMD.14-16
The advent of imaging systems such as the Heidelberg Spectralis (Heidelberg Engineering, Franklin, MA), which use confocal SLO technology, may provide better image quality and resolution compared to the older SLO and digital videoangiography technology used to conduct many of the previous ICGA classification studies for CNV.
Measuring CNV Size
Improvements in image resolution and quality may enhance the clinician’s capability both to detect CNV and to measure CNV size with ICGA. CNV surface area can be calculated either using a conversion formula17 or using surface area-measuring software.
The convenience and rapidity of the Spectralis surface area-measuring software makes it an attractive option for calculating CNV surface area. Once an early/mid-frame (within the first three minutes), centered and focused on the ICGA image, is chosen for analysis, the “Inlay” function is selected on the menu, and the CNV margins can be manually encircled, followed by immediate surface area computation by the software.
Interobserver agreement of CNV size by ICGA has ranged from 60.0% to 89.3%.14-17 Classic or predominantly classic CNV subtypes are less likely to have interobserver discrepancies, while the occult CNV subtype is more likely to have a discrepancy between observers during the CNV measurement process with ICGA.14-15 Nevertheless, interobserver agreement for the occult CNV subtype has been reported to be as high as 72.4%.14
Baseline (treatment-naïve) ICGA-measured CNV surface area measurements with the Spectralis system ranged from 1.89 to 2.7 mm2 in patients with neovascular AMD.14-17 In recent years, researchers have reported how a change in CNV size on ICGA during the course of treatment may aid in predicting clinical prognosis,14 recurrence of exudation,15 and the likelihood of recalcitrance to treatment16 in neovascular AMD patients.
Treatment Planning and Follow-up
A majority of North American vitreoretinal specialists presently favor a treat-and-extend approach over PRN and monthly anti-VEGF dosing schedules for the management of neovascular AMD, and many studies have supported the effectiveness of treat-and-extend protocols with anti-VEGF agents.18-20
Using a treat-and-extend protocol, it has been reported that change in ICGA-measured CNV size during the course of anti-VEGF treatment may provide the clinician with useful clinical information to manage this patient population more effectively.
Specifically, when a neovascular AMD patient demonstrates a 33% or greater reduction in CNV size on ICGA at two months from baseline (after two anti-VEGF injections), then the patient is more likely to require fewer injections and to have complete CNV resolution at 12 months of follow-up.14
From a practical standpoint, measuring change in CNV size on ICGA from baseline to two months of follow-up may provide retina specialists with prognostic information and an opportunity to better develop an individualized treatment strategy for each of their neovascular AMD patients.
The utility of ICGA in predicting recurrent exudation and subretinal hemorrhaging after treatment extension in neovascular AMD patients managed with treat-and-extend anti-VEGF therapy has also been explored.
It was reported that patients who failed to extend from six to eight weeks, from eight to 10 weeks, and from 10 to 12 weeks demonstrated an increase of 33% or more in CNV size on ICGA from four to six weeks, six to eight weeks, and eight to 10 weeks, respectively, and this finding was found to be significant when compared to patients who were successfully extended during those intervals.15
From a clinical standpoint, when considering treatment extension beyond six weeks, patients most likely will have preserved visual acuity and will avoid recurrent exudation and/or subretinal hemorrhage following treatment extension when the CNV size on ICGA has not enlarged by 33% or more on the ICGA from the previous examination, compared to the examination when treatment extension is decided. An example of this point is provided in Figures 1-3.
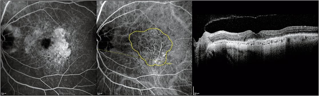
Figure 1. Fluorescein angiography (left), indocyanine green angiography (middle), and optical coherence tomography (right) of a 77-year-old woman with neovascular age-related macular degeneration undergoing bevacizumab therapy using a treat-and-extend protocol. The patient was imaged during the follow-up examination following a successful treatment extension to an eight-week interval. Her Snellen visual acuity was 20/30. Notice the absence of retinal fluid on optical coherence tomography. The choroidal neovascularization is encircled in yellow on indocyanine green angiography and measures 5.79 mm2. Prominent geographic atrophy is evident by fluorescein angiography and optical coherence tomography, but the choroidal neovascularization is indistinct on these systems. The patient was treated with bevacizumab during this follow-up and extended out to a 10-week interval.
Figure 2. Fluorescein angiography (left), indocyanine green angiography (middle), and optical coherence tomography (right) of the same patient from Figure 1 after successful treatment extension to a 10-week interval. Her Snellen visual acuity remained 20/30. Notice the enlargement of the choroidal neovascularization surface area by 67.1 % ((9.68-5.79)/5.79) on indocyanine green angiography from Figure 1, but the continued absence of retinal fluid on optical coherence tomography. The subject was treated with bevacizumab and extended out to a 12-week interval.
Figure 3. Fluorescein angiography (left), indocyanine green angiography (middle), and optical coherence tomography (right) of the same subject from Figures 1 and 2 after failed treatment extension to a 12-week interval. Substantial subretinal hemorrhaging is evident, and the Snellen visual acuity dropped to 20/200. The pronounced enlargement (>50%) in choroidal neovascularization surface area on indocyanine green angiography from the eight- to 10-week follow-up interval portended this treatment extension failure.
ICGA thus has the potential to help the treating physician to better tailor anti-VEGF therapy to each individual neovascular AMD patient to achieve better long-term visual and anatomic outcomes with fewer setbacks when a treat-and-extend treatment strategy is employed.
Prediction of Tachyphylaxis
The value of ICGA as a clinical tool to predict the likelihood of future recalcitrance to anti-VEGF therapy in neovascular AMD patients early in the course of treatment has been described as well.
It was found that non-recalcitrant patients undergoing anti-VEGF therapy typically have a decrease in CNV size from baseline to two months of follow-up (after two anti-VEGF injections), and they rarely (5.7%) have an increase of 33% or more in CNV size on ICGA from baseline to two months of follow-up.
However, most recalcitrant patients (64.2%) have an increase of 33% or more in CNV size on ICGA from baseline to two months of follow-up.16 From a clinical standpoint, neovascular AMD patients demonstrating an enlargement in CNV size on ICGA from baseline to two months of follow-up, particularly when the increase is 33% or more, are likely to be recalcitrant to anti-VEGF therapy with persistent retinal edema on OCT despite six or more consecutive monthly injections.
By identifying these treatment-resistant patients at a very early stage in the course of treatment, the specialist may then consider alternative treatment options, such as a switch in anti-VEGF medication, combination therapy, higher dosage ranibizumab (Lucentis, Genentech, South San Francisco, CA), or anti-VEGF therapy more frequently than once per month at a sooner stage than would otherwise have been considered, to improve long-term outcomes for this difficult subgroup of neovascular AMD patients.
CNV IN CONDITIONS OTHER THAN AMD
The same methods for measuring CNV size with ICGA described in patients with neovascular AMD can be applied in patients with CNV secondary to any underlying cause. Baseline (treatment-naïve) CNV size on ICGA was reported to be 1.82 mm2 in patients with idiopathic CNV.21 Baseline CNV size on ICGA has ranged from 0.93 to 2.18 mm2 in patients with myopic degeneration.22-25
Change in CNV size on ICGA in response to anti-VEGF therapy has been reported to be similar between idiopathic CNV and myopic CNV in patients undergoing anti-VEGF therapy.21-25 Greater baseline CNV size on ICGA has been correlated with the need for a greater number of anti-VEGF injections,21,25 and the recurrence rate of CNV on ICGA after three monthly anti-VEGF injections is similar (22.7-35.2%) in eyes with idiopathic CNV and myopic CNV.21-22,25
Currently, there has been only sparse clinical information reported for ICGA-measured CNV surface area for other known associations of CNV, such as presumed ocular histoplasmosis, angioid streaks, trauma, and chorioretinitis.
CONCLUSION
The utility of ICGA in diagnosing certain subtypes of neovascular AMD, namely PCV and type III RAP lesions, has been well-described and established. ICGA may also provide an accurate method for determining in vivo (actual) CNV size in the type I and type II subtypes of neovascular AMD, as well as in other secondary causes of CNV.
Although ICGA-measured CNV surface area requires the observer to delineate the CNV margins manually, this method may allow for a less subjective and more reproducible classification of CNV, compared to a FA classification system based on observer determination of hyperfluorescence and dye leakage. Changes in CNV surface area on ICGA from baseline to various follow-up intervals may provide clinically useful indicators for predicting visual outcomes, as well as the clinical course, in patients with CNV secondary to neovascular AMD, myopic degeneration, and idiopathic causes.
Clinicians who favor a treat-and-extend approach in their management of neovascular AMD may consider incorporating ICGA into their diagnostic testing regimens to help predict each individual patient’s prognosis, likelihood of recurrence of exudation and hemorrhage after a treatment extension, and likelihood of recalcitrance to anti-VEGF therapy. Future prospective studies are needed to validate further the merits of ICGA and its role in diagnosing and managing CNV. RP
REFERENCES
1. Yannuzzi LA, Slakter JS, Sorenson JA, et al. Digital indocyanine green videoangiography and choroidal neovascularization. Retina. 1992;12:191-223.
2. Yannuzzi LA. Indocyanine green angiography: a perspective on use in the clinical setting. Am J Ophthalmol. 2011;151:745-751.
3. Guyer DR, Yannuzzi LA, Slakter J, Al E. Diagnostic indocyanine green angiography videoangiography. In: Ryan SJ, Schachat AP, eds. Retina. 3. St. Louis, MO; Mosby; 2001:943-966.
4. Koh AHC, Chen LJ, Chen SJ, et al. Polypoidal choroidal vasculopathy. Evidence-based guidelines for clinical diagnosis and treatment. Retina. 2013;33:686-716.
5. Watzke RC, Klein ML, Hiner CJ, et al. A comparison of stereoscopic fluorescein angiography with indocyanine green videoangiography in age-related macular degeneration. Ophthalmology. 2000;107:1601-1606.
6. Schneider U, Kuck H, Inhoffen W, Kreissig I. Indocyanine green angiographically well-defined choroidal neovascularization: angiographic patterns obtained using the scanning laser ophthalmoscope. Ger J Ophthalmol. 1995;4:67-74.
7. Wolf S, Knabben H, Krombach G, et al. Indocyanine-green angiography in patients with occult choroidal neovascularization. Ger J Ophthalmol. 1996;5:251-256.
8. Semoun O, Guigui B, Tick S, et al. Infrared features of classic choroidal neovascularisation in exudative age-related macular degeneration. Br J Ophthalmol. 2009;93:182-185.
9. Yannuzzi LA, Negrão S, Iida T, et al. Retinal angiomatous proliferation in age-related macular degeneration. 2001. Retina. 2012;32(Suppl 1):416-434.
10. Guyer DR, Yannuzzi LA, Slakter JS, et al. Classification of choroidal neovascularization by digital indocyanine green videoangiography. Ophthalmology. 1996;103:2054-2060.
11. Nishiguchi K, Obana A, Gohto Y, et al. Classification and visual outcome of choroidal neovascularization in age-related macular degeneration by indocyanine green angiography. Jpn J Ophthalmol. 2000;44:668-676.
12. Obana A, Gohto Y, Matsumoto M, et al. Indocyanine green angiographic features prognostic of visual outcome in the natural course of patients with age related macular degeneration. Br J Ophthalmol. 1999;83:429-437.
13. Avvad FK, Duker JS, Reichel E, et al. The digital indocyanine green videoangiography characteristics of well-defined choroidal neovascularization. Ophthalmology. 1995;102:401-405.
14. Rush RB, Rush SW, Aragon AV 2nd, Ysasaga JE. Evaluation of choroidal neovascularization with indocyanine green angiography in neovascular age-related macular degeneration subjects undergoing intravitreal bevacizumab therapy. Am J Ophthalmol. 2014;158:337-344.
15. Rush RB, Rush SW, Aragon AV 2nd, Ysasaga JE. Predictability of recurrent exudation and subretinal hemorrhaging in neovascular age-related macular degeneration with indocyanine green angiography. Ophthalmic Surg Lasers Imaging Retina. 2015;46:718-723.
16. Rush RB, Rush SW. Predictability of Recalcitrance in Neovascular Age-related Macular Degeneration with Indocyanine Green Angiography. Asia Pac J Ophthalmol (Phila). 2015;4:187-190
17. Nicholson BP, Nigam D, Toy B, et al. Effect of ranibizumab on high-speed indocyanine green angiography and minimum intensity projection optical coherence tomography findings in neovascular age-related macular degeneration. Retina. 2015;35:58-68.
18. Oubraham H, Cohen SY, Samimi S, et al. Inject and extend dosing versus dosing as needed: a comparative retrospective study of ranibizumab in exudative age-related macular degeneration. Retina. 2011;31:26-30.
19. Shienbaum G, Gupta OP, Fecarotta C, et al. Bevacizumab for neovascular age-related macular degeneration using a treat-and-extend regimen: clinical and economic impact. Am J Ophthalmol. 2012;153:468-473.
20. Rush RB, Simunovic MP, Vandiver L, Aragon AV 2nd, Ysasaga JE. Treat-and-extend bevacizumab for neovascular age-related macular degeneration: the importance of baseline characteristics. Retina. 2014;34:846-852.
21. Rush RB, Rush SW. Evaluation of idiopathic choroidal neovascularization with indocyanine green angiography in patients undergoing bevacizumab therapy. J Ophthalmol. 2015;2015:642624.
22. Lai TY, Luk FO, Lee GK, et al. Long-term outcome of intravitreal anti-vascular endothelial growth factor therapy with bevacizumab or ranibizumab as primary treatment for subfoveal myopic choroidal neovascularization. Eye (Lond). 2012;26:1004-1011.
23. Hayashi K, Shimada N, Moriyama M, et al. Two-year outcomes of intravitreal bevacizumab for choroidal neovascularization in Japanese patients with pathologic myopia. Retina. 2012;32:687-695.
24. Miyake M, Yamashiro K, Akagi-Kurashige Y, et al. Vascular endothelial growth factor gene and the response to anti-vascular endothelial growth factor treatment for choroidal neovascularization in high myopia. Ophthalmology. 2014;121:225-233.
25. Yang HS, Kim JG, Kim JT, et al. Prognostic factors of eyes with naïve subfoveal myopic choroidal neovascularization after intravitreal bevacizumab. Am J Ophthalmol. 2013;156:1201-1210.







