PEER REVIEWED
Proliferative Vitreoretinopathy: Current Evidence and Clinical Pearls
Research regarding medical treatments is under way.
M. ALI KHAN, MD • JASON HSU, MD
Proliferative vitreoretinopathy, characterized by the abnormal proliferation of cells in the vitreous cavity, preretinal surface, and/or subretinal surface, is the most common cause of primary retinal detachment repair failure.1
Cellular proliferation, typically of retinal pigment epithelial cells released from a retinal break, leads to the development of pre- or subretinal membranes and ultimately contraction, foreshortening, and recurrent detachment of the retina.
Preclinical studies have indicated that PVR is driven and modulated by numerous growth factors and cytokines, including platelet-derived growth factor (PDGF)2 and VEGF,3 among others. Despite numerous studies evaluating therapeutics, no medical therapy currently exists for the treatment or prevention of PVR, and the management remains primarily surgical.
BEFORE THE OR: PATIENT COUNSELING
While carrying a 5% to 10% risk in primary RD repair, PVR accounts for approximately 75% of all primary surgical failures.1 Vitreoretinal surgeons practicing in referral centers may encounter a significant proportion of patients with PVR.
Numerous risk factors for PVR have been reported and are helpful in identifying vulnerable patients. Such risk factors include, but are not limited to, the following: large or multiple tears; giant retinal tears; chronic RD; uveitis; vitreous hemorrhage; choroidal detachments; and large detachments involving more than two quadrants of the eye.1,4 Patients with a history of globe trauma and intraocular foreign body are also at high risk.
M. Ali Khan, MD, serves on the faculty at Doheny Eye Center UCLA in Pasadena, CA. Jason Hsu, MD, serves on the faculty of the Wills Eye Hospital in Philadelphia, PA. Neither author reports any financial interests in products mentioned in this article. Dr. Hsu can be reached via e-mail at jhsu@midatlanticretina.com.
Informed consent and the setting of patient expectations are critical because PVR-related detachments may require multiple surgical procedures and have a guarded visual prognosis. In the European Vitreo-Retinal Retinal Detachment Study (EVRS) Report No. 4, Adelman et al identified grade C PVR as an independent risk factor for primary RD repair failure by multivariate analysis, indicative of eyes with a poor prognosis.5
Moreover, indications for surgery in eyes with PVR do not include only primary retinal reattachment. Particularly in eyes with recurrent detachment and known limited visual potential, hypotony/phthisis prevention with long-term silicone oil tamponade may also be a goal of surgery.
Diagnostic testing, as with most RD cases, is usually not necessary. Cases in which posterior PVR membranes are present may benefit from preoperative optical coherence tomography.
SURGICAL CONSIDERATIONS
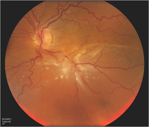
The paramount surgical goal in PVR surgery is to relieve traction. Pars plana vitrectomy and membrane peeling techniques can be utilized to remove both preretinal and subretinal PVR membranes (Figure 1).
Figure 1. A patient with PVR related retinal detachment in the left eye. A posterior star fold is present along the inferior arcade.
Despite advanced techniques and instrumentation, PVR remains a surgical challenge. While many studies exist, evidence regarding the surgical management of PVR is limited by the retrospective nature of most reports, nonstandardization of surgical technique, and selection bias.
SCLERAL BUCKLE OR NO?
The necessity of a scleral buckling procedure (SBP), in addition to PPV, in cases of PVR is a common source of debate, particularly when retinectomy is utilized. Evidence for the use of SBP in PVR detachments remains mixed.
For instance, Adelman et al6 found no benefit in using SBP in addition to PPV in cases of grade C PVR detachment. In EVRS Report No. 2, the authors directly compared anatomic reattachment rates in 637 patients with PVR grade C detachments who underwent combined PPV/SBP (n=103 eyes) vs PPV alone (n=439). The authors reported that eyes undergoing PPV/SBP were associated with higher anatomic failure rates, compared to eyes undergoing PPV alone (8.9% vs 3.0%, P=.007).
However, in a report from Wills Eye Hospital, Storey et al7 did note benefit of PPV/SBP vs PPV alone in younger patients deemed at high risk for PVR. High-risk features included the presence of preoperative PVR, vitreous hemorrhage, retinal tears larger than 1 clock hour, or RD in two or more quadrants.
Eyes undergoing PPV/SBP (n=36) were directly compared to those undergoing PPV alone (n=29). At three months, the single surgery attachment rate was 75.0% in the combined PPV/SBP group vs 48.3% in the PPV alone group (P=.029). Mean visual acuity and subsequent PVR development, however, did not differ significantly between groups at the final follow-up.
In this study, the benefit of combined PPV/SBP was noted in patients aged younger than 65 (P=.017 in this age group) but not in patients older than 65 (P=1.0 in this age group). Also importantly, the difference in outcomes based on age was independent of lens status on multivariate analysis.
Given the nonrandomized, retrospective nature of the studies by both Adelman et al and Storey et al, possible selection bias exists because the surgeons may have utilized SBP in more severe cases, thus limiting broad conclusions.
An interesting concept is whether the method of primary RD repair has an impact on subsequent PVR development and PVR-related detachment outcomes. Mancino et al8 retrospectively reviewed outcomes in eyes with PVR detachment that underwent PPV, cataract extraction, inferior 180º retinectomy, and silicone oil tamponade. Outcomes were compared between eyes previously treated with SBP (n=12 eyes) or PPV (n=21 eyes) alone.
While retinal reattachment rates were similar, eyes with prior history of SBP alone had better final VA than eyes with prior history of PPV alone (P=.045). As mentioned earlier, the retrospective nature of the reports and possible selection bias limit broad conclusions, and larger, prospective studies would be necessary to clarify best practices.
Surgical Pearls
In younger, phakic patients, we commonly will employ PPV/SBP as the phakic status may preclude extensive anterior shave vitrectomy.
Use of chandelier lighting and a bimanual membrane peeling technique may be necessary for severe cases, similar to complex diabetic tractional RD.
When the view is poor (media opacity) or PVR membranes are noted to be quite anterior, use of an endoscope may help to better visualize membranes and aid in membrane removal.
INFERIOR RETINECTOMY
In cases in which the membranes cannot be peeled sufficiently to relieve retinal traction or foreshortening due to vitreous base contraction (anterior loop), it is often necessary to proceed with retinectomy.
Likely due to gravitational effects and the concentration of inflammatory factors inferiorly, most PVR tends to occur in the inferior quadrants. As a result, inferior retinectomy is commonly used in these cases with good effect (Figure 2).
Figure 2. A patient with recurrent PVR related retinal detachment in the left eye. A newly created inferior retinectomy is present with fresh laser retinopexy under silicone oil. The retina was successfully reattached.
For example, Quiram et al9 reported the outcomes of 56 eyes treated with PPV and inferior retinectomy for recurrent PVR RD. Anatomic success was noted in 93% of eyes with follow-up to 25 months.
High anatomic success rates were also reported by Tsui and Schubert,10 who noted a 90% anatomic success rate at final follow-up in 41 patients who underwent PPV, 180º retinotomy, and anterior retinectomy. Tan et al11 and Banaee et al12 reported anatomic success rates of 77.2% and 70% in series of 123 patients and 19 patients, respectively.
Surgical Pearls
When performed, we believe a 180º retinectomy is more effective for the relief of traction and long-term retinal reattachment, rather than more limited retinectomies or focal retinotomies. Removal of the residual retina anterior to the retinectomy may be helpful in decreasing further release of proinflammatory mediators, which can increase the risk of recurrent PVR.
Instilling a small amount of perfluorocarbon liquid that is well posterior to the planned retinectomy site prior to performing the retinectomy will help to stabilize the posterior pole. However, the surgeon should be wary of tiny perfluorocarbon liquid bubbles because these bubbles may migrate into the subretinal space when the retinectomy is performed.
Maintaining adequate hemostasis is of critical importance because hemorrhaging from the edge of the retinectomy may not only decrease visibility and prevent adequate laser uptake, but it may also increase the risk of recurrent PVR formation.
When applying laser to the borders of a retinectomy site, it is important to place a continuous set of rows to ensure adequate adhesion. However, it is also critical to avoid overzealous burns that may lead to retinal necrosis at the border of the retinectomy, which can result in recurrent detachment.
TAMPONADE AGENTS: WILL “HEAVY” OILS HELP?
The Silicone Study Group reported improved outcomes with longer-acting tamponade agents, specifically silicone oil or perfluoropropane (C3F8) gas, in eyes with grade C or worse PVR.13 Efforts to improve tamponade to the inferior retina, given concerns regarding inferior displacement of PVR-promoting mediators, has led to the development of heavy silicone oils. Currently, heavy silicone oil tamponade agents are not commercially available in the United States.
Multiple studies have reported excellent anatomic outcomes with the use of heavy silicone oils, with notable side effects, including cataract development, in up to 25.9%13 and intraocular inflammation in up to 40%14 of patients in certain series.
In comparative trials, however, no benefit of heavy silicone oils vs standard silicone oil has been observed. For instance, Joussen et al15 prospectively compared visual acuity and anatomical success rates in eyes with inferior PVR treated with standard 5,000-cSt silicone oil vs heavy silicone oil.
No statistically significant differences in VA or reattachment rates were observed at one year. Some studies also found recurrent detachment occurring in the superior quadrants in eyes with heavy silicone oil, likely due to concentration of the PVR-promoting mediators into the fluid compartment superiorly.16
Some debate also exists regarding oil viscosity and outcomes in PVR detachments. When comparing 1,000-cSt to 5,000-cSt silicone oil, Scott et al17 found no difference in anatomic or visual outcomes as well as complication rates, between the two tamponades for repair of complex RDs. However, there is concern that lower-viscosity silicone oil may have higher rates of emulsification.18
Surgical Pearls
Anecdotally, we have found clinically significant oil emulsification to be uncommon. However, in cases in which the oil has been left in the eye for long periods (more than one year), we have generally seen more cases of severe emulsification associated with elevated intraocular pressure in eyes with 1,000-cSt oil.
As a result, we tend to use 5,000-cSt oil in cases in which we expect to leave the tamponade in place for extended periods of time. In cases of PVR detachment, we generally counsel patients that the silicone oil will remain for at least three months because the majority of PVR recurrences occur during the postoperative period.
When silicone oil is removed, we commonly will add additional laser retinopexy to the borders of prior completed retinopexy in case small slit tears arose during oil removal or fluid-air exchange maneuvers.
Preoperative or intraoperative OCT may be helpful prior to or during silicone oil removal surgeries to assess for epiretinal membrane formation.
WHAT ABOUT THE LENS?
Many authors have reported improved outcomes in PVR-related detachments when the lens is removed, either by pars plana lensectomy or phacoemulsification. For instance, Quiram et al9 reported improved reattachment rates when anterior vitreous base dissection and lensectomy were performed at the time of retinectomy in patients with PVR vs those who did not undergo lensectomy (74% vs 38%, respectively, P=.011).
In addition, MacCumber et al19 noted that, when lensectomy was performed during PVR detachment repair, successful preservation of the anterior capsule helped to avoid oil-related complications in aphakic eyes and made subsequent intraocular lens (IOL) implantation feasible.
Surgical Pearls
In cases in which the view is poor or PVR membranes extend anteriorly, we do recommend concurrent pars plana lensectomy or phacoemulsification. However, we do not routinely perform lens removal in cases of PVR.
When silicone oil removal is planned in a phakic patient, we commonly will perform combination phacoemulsification cataract extraction, IOL implantation, and silicone oil removal. It is important to obtain careful biometry in oil-filled eyes to achieve the best refractive outcomes when concurrent IOL implantation is planned. In patients with a history of PVR-related detachment, it is advisable to avoid silicone-based IOL materials in case PVR recurs.
MEDICAL PREVENTION AND TREATMENT
Currently, there are no medical interventions that definitively lower the risk of PVR development. Corticosteroids in various forms,20-23 low-molecular-weight heparin with or without 5-fluorouracil,24-31 daunorubicin,32-35 and VIT100 ribozyme,36,37 among others, have been previously evaluated without positive effects.38 As with studies regarding surgical management, heterogeneity in the study designs and patient populations has precluded meta-analysis and the broader application of data.
Recently, two therapeutic agents have been evaluated in prospective trials and deserve mention: isotretinoin39 and bevacizumab (Avastin, Genentech, South San Francisco, CA).40
Isotretinoin (13-cis-retinoic acid)
Isotretinoin has previously been evaluated in clinical studies with promising treatment effects. Fekrat et al,41 in a retrospective study published in 1995, first reported that isotretinoin may be of benefit in cases of PVR detachment.
Subsequently, in a randomized, controlled trial, Chang et al42 randomized 35 patients to receive oral isotretinoin (10 mg orally twice daily for eight weeks) postoperatively vs no treatment following surgery for PVR-related detachments.
The results revealed a higher retinal reattachment rate (93.8% vs 63.2%, P=.047), lower rate of macular pucker formation (18.8% vs 78.9%, P=.001), and higher rate of ambulatory vision (56.3% vs 10.5%, P=.009) in the isotretinoin group at one year.
The DELIVER study was recently performed at Wills Eye Hospital as a nonrandomized, prospective pilot study to assess the effect of isotretinoin on postoperative outcomes in patients with recurrent RD due to PVR and in patients with primary RD at high risk for PVR.
While isotretinoin was ineffective for patients with established PVR, data analysis revealed improved single surgery anatomic success in eyes at high risk for PVR treated with isotretinoin vs control subjects (86% vs 71%, P=.04).39 Given the suggestion of benefit, a prospective, randomized trial utilizing isotretinoin in patients with PVR or at high risk for PVR may be warranted.
Anti-VEGF Agents
Prior work has established VEGF as a potential therapeutic target for PVR. Ricker et al43 found that VEGF levels were two-fold higher in the subretinal fluid of eyes with PVR-related RDs, compared to eyes with uncomplicated RD without PVR. More recent work from Pennock and Kazlauskas44 found that competitive inhibition of PDGF by VEGF was critical to the progression of experimental PVR.
Two recent studies have evaluated the role of bevacizumab in the outcomes of PVR-related RD. In a pilot study of 19 eyes, Ghasemi Falavarjani et al evaluated the effect of a single intrasilicone oil injection of bevacizumab at the time of RD surgery for eyes with grade C PVR.45 No significant difference in RD rate or final VA between eyes treated with bevacizumab and matched controls existed at a mean follow-up of 7.3 months.
More recently, Hsu et al40 prospectively evaluated the effect of four intrasilicone oil injections of bevacizumab in eyes with recurrent, grade C-related PVR RDs. Compared to an age- and sex-matched control group, no significant differences in final VA (P=.96), retinal reattachment rate (P=.75), or postoperative epiretinal membrane formation (P=.33) were observed between groups.
Notably, both studies were completed in eyes with established PVR, and bevacizumab was injected into silicone oil. Given the evidence available from preclinical studies, studies evaluating the effect of anti-VEGF, with or without concurrent anti-PDGF treatment, in eyes at risk for PVR would be of interest. However, given the overall 5% to 10% incidence of PVR in primary RD repair, studies would need to be large to prove efficacy.
CONCLUSIONS
Preclinical studies continue to identify new targets for potential therapeutic agents targeting PVR. Surgical management with PPV, with or without SBP or retinectomy, remains an effective treatment for PVR-related detachments, but evidence for an optimal surgical strategy is limited. Both isotretinoin and bevacizumab have recently been evaluated in prospective studies, but additional, larger studies are necessary to clarify the efficacy of available and novel treatment options. RP
REFERENCES
1. Pastor JC. Proliferative vitreoretinopathy: an overview. Surv Ophthalmol. 1998;43:3-18.
2. Lei H, Rheaume M-A, Kazlauskas A. Recent developments in our understanding of how platelet-derived growth factor (PDGF) and its receptors contribute to proliferative vitreoretinopathy. Exp Eye Res. 2010;90:376-381.
3. Pennock S, Kim D, Mukai S, et al. Ranibizumab is a potential prophylaxis for proliferative vitreoretinopathy, a nonangiogenic blinding disease. Am J Pathol. 2013;182:1659-1670.
4. Pastor JC, de la Rúa ER, Martín F. Proliferative vitreoretinopathy: risk factors and pathobiology. Prog Retin Eye Res. 2002;21:127-144.
5. Adelman RA, Parnes AJ, Michalewska Z, Ducournau D; European Vitreo-Retinal Society (EVRS) Retinal Detachment Study Group. Clinical variables associated with failure of retinal detachment repair: the European vitreo-retinal society retinal detachment study report number 4. Ophthalmology. 2014;121:1715-1719.
6. Adelman RA, Parnes AJ, Sipperley JO, Ducournau D; European Vitreo-Retinal Society (EVRS) Retinal Detachment Study Group. Strategy for the management of complex retinal detachments: the European vitreo-retinal society retinal detachment study report 2. Ophthalmology. 2013;120:1809-1813.
7. Storey P, Al Shareef R, Khuthaila M, et al. Pars plana vitrectomy and scleral buckle versus pars plana vitrectomy alone for patients with rhegmatogenous retinal detachment at high risk for proliferative vitreoretinopathy. Retina. 2014;34:1945-1951.
8. Mancino R, Aiello F, Ciuffoletti E, Di Carlo E, Cerulli A, Nucci C. Inferior retinotomy and silicone oil tamponade for recurrent inferior retinal detachment and grade C PVR in eyes previously treated with pars plana vitrectomy or scleral buckle. BMC Ophthalmol. 2015;15:173.
9. Quiram PA, Gonzales CR, Hu W, et al. Outcomes of vitrectomy with inferior retinectomy in patients with recurrent rhegmatogenous retinal detachments and proliferative vitreoretinopathy. Ophthalmology. 2006;113:2041-2047.
10. Tsui I, Schubert HD. Retinotomy and silicone oil for detachments complicated by anterior inferior proliferative vitreoretinopathy. Br J Ophthalmol. 2009;93:1228-1233.
11. Tan HS, Mura M, Oberstein SYL, de Smet MD. Primary retinectomy in proliferative vitreoretinopathy. Am J Ophthalmol. 2010;149:447-452.
12. Banaee T, Hosseini SM, Eslampoor A, Abrishami M, Moosavi M. Peripheral 360 degrees retinectomy in complex retinal detachment. Retina. 2009;29:811-818.
13. Auriol S, Pagot-Mathis V, Mahieu L, Lemoine C, Mathis A. Efficacy and safety of heavy silicone oil Densiron 68 in the treatment of complicated retinal detachment with large inferior retinectomy. Graefes Arch Clin Exp Ophthalmol. 2008;246:1383-1389.
14. Li W, Zheng J, Zheng Q, Wu R, Wang X, Xu M. Clinical complications of Densiron 68 intraocular tamponade for complicated retinal detachment. Eye. 2010;24:21-28.
15. Joussen AM, Rizzo S, Kirchhof B, et al. Heavy silicone oil versus standard silicone oil in as vitreous tamponade in inferior PVR (HSO Study): interim analysis. Acta Ophthalmol. 2011;89:e483-489.
16. Er H. Primary heavy silicone oil usage in inferior rhegmatogenous retinal detachment. J Int Ophthalmol. 2010;224:122-125.
17. Scott IU, Flynn HW, Murray TG, Smiddy WE, Davis JL, Feuer WJ. Outcomes of complex retinal detachment repair using 1000- vs 5000-centistoke silicone oil. Arch Ophthalmol. 2005;123:473-478.
18. Heidenkummer HP, Kampik A, Thierfelder S. Experimental evaluation of in vitro stability of purified polydimethylsiloxanes (silicone oil) in viscosity ranges from 1000 to 5000 centistokes. Retina. 1992;12(3 Suppl):S28-S32.
19. MacCumber MW, Packo KH, Civantos JM, Greenberg JB. Preservation of anterior capsule during vitrectomy and lensectomy for retinal detachment with proliferative vitreoretinopathy. Ophthalmology. 2002;109:329-333.
20. Cheema RA, Peyman GA, Fang T, Jones A, Lukaris AD, Lim K. Triamcinolone acetonide as an adjuvant in the surgical treatment of retinal detachment with proliferative vitreoretinopathy. Ophthalmic Surg Lasers Imaging. 2007;38:365-370.
21. Munir WM, Pulido JS, Sharma MC, Buerk BM. Intravitreal triamcinolone for treatment of complicated proliferative diabetic retinopathy and proliferative vitreoretinopathy. Can J Ophthalmol. 2005;40:598-604.
22. Ahmadieh H, Feghhi M, Tabatabaei H, Shoeibi N, Ramezani A, Mohebbi MR. Triamcinolone acetonide in silicone-filled eyes as adjunctive treatment for proliferative vitreoretinopathy: a randomized clinical trial. Ophthalmology. 2008;115:1938-1943.
23. Reibaldi M, Russo A, Longo A, et al. Rhegmatogenous retinal detachment with a high risk of proliferative vitreoretinopathy treated with episcleral surgery and an intravitreal dexamethasone 0.7-mg implant. Case Rep Ophthalmol. 2013;4:79-83
24. Blumenkranz M, Hernandez E, Ophir A, Norton EW. 5-fluorouracil: new applications in complicated retinal detachment for an established antimetabolite. Ophthalmology. 1984;91:122-130.
25. Asaria RH, Kon CH, Bunce C, et al. Adjuvant 5-fluorouracil and heparin prevents proliferative vitreoretinopathy: Results from a randomized, double-blind, controlled clinical trial. Ophthalmology. 2001;108:1179-1183.
26. Charteris DG, Aylward GW, Wong D, et al. A randomized controlled trial of combined 5-fluorouracil and low-molecular-weight heparin in management of established proliferative vitreoretinopathy. Ophthalmology. 2004;111:2240-2245.
27. Wickham L, Bunce C, Wong D, McGurn D, Charteris DG. Randomized controlled trial of combined 5-fluorouracil and low-molecular-weight heparin in the management of unselected rhegmatogenous retinal detachments undergoing primary vitrectomy. Ophthalmology. 2007;114:698-704.
28. Blumenkranz MS, Hartzer MK, Iverson D. An overview of potential applications of heparin in vitreoretinal surgery. Retina. 1992;12(3 Suppl):S71-S74.
29. Sundaram V, Barsam A, Virgili G. Intravitreal low molecular weight heparin and 5-fluorouracil for the prevention of proliferative vitreoretinopathy following retinal reattachment surgery. Cochrane Database Syst Rev. 2013;1:CD006421.
30. Kumar A, Nainiwal S, Sreenivas B. Intravitreal low molecular weight heparin in PVR surgery. Indian J Ophthalmol. 2003;51:67-70.
31. Scheer S, Morel C, Poisson F, et al. [Prevention of proliferative vitreoretinopathy using 5-FU heparin: clinical tolerance and efficacy]. J Fr Ophtalmol. 2005;28:701-706. French.
32. Wiedemann P, Hilgers RD, Bauer P, Heimann K. Adjunctive daunorubicin in the treatment of proliferative vitreoretinopathy: results of a multicenter clinical trial. Daunomycin Study Group. Am J Ophthalmol. 1998;126:550-559.
33. Wiedemann P, Kirmani M, Santana M, Sorgente N, Ryan SJ. Control of experimental massive periretinal proliferation by daunomycin: dose-response relation. Graefes Arch Clin Exp Ophthalmol. 1983;220:233-235.
34. Chen EP, Steinhorst UH, Samsa GP, Saloupis PT, Hatchell DL. The effect of combined daunorubicin and triamcinolone acetonide treatment on a refined experimental model of proliferative vitreoretinopathy. Invest Ophthalmol Vis Sci. 1992;33:2160-2164.
35. Khawly JA, Saloupis P, Hatchell DL, Machemer R. Daunorubicin treatment in a refined experimental model of proliferative vitreoretinopathy. Graefes Arch Clin Exp Ophthalmol. 1991;229:464-467.
36. Mandava N, Blackburn P, Paul DB, et al. Ribozyme to proliferating cell nuclear antigen to treat proliferative vitreoretinopathy. Invest Ophthalmol Vis Sci. 2002;43:3338-3348.
37. Schiff WM, Hwang JC, Ober MD, et al. Safety and efficacy assessment of chimeric ribozyme to proliferating cell nuclear antigen to prevent recurrence of proliferative vitreoretinopathy. Arch Ophthalmol. 2007;125:1161-1167.
38. Khan MA, Brady CJ, Kaiser RS. Clinical management of proliferative vitreoretinopathy: an update. Retina. 2015;35:165-175.
39. Kaiser RS. Pharmacotherapy for PVR update. Paper to be presented at: Annual meeting of the American Academy of Ophthalmology; Chicago, IL; October 14, 2016.
40. Hsu J, Khan MA, Shieh WS, et al. Effect of serial intrasilicone oil bevacizumab injections in eyes with recurrent proliferative vitreoretinopathy retinal detachment. Am J Ophthalmol. 2016;161:65-70.
41. Fekrat S, de Juan E Jr, Campochiaro PA. The effect of oral 13-cis-retinoic acid on retinal redetachment after surgical repair in eyes with proliferative vitreoretinopathy. Ophthalmology. 1995;102:412-418.
42. Chang Y-C, Hu D-N, Wu W-C. Effect of oral 13-cis-retinoic acid treatment on postoperative clinical outcome of eyes with proliferative vitreoretinopathy. Am J Ophthalmol. 2008;146:440-446.
43. Ricker LJAG, Dieudonné SC, Kessels AGH, et al. Antiangiogenic isoforms of vascular endothelial growth factor predominate in subretinal fluid of patients with rhegmatogenous retinal detachment and proliferative vitreoretinopathy. Retina. 2012;32:54-59.
44. Pennock S, Kazlauskas A. Vascular endothelial growth factor A competitively inhibits platelet-derived growth factor (PDGF)-dependent activation of PDGF receptor and subsequent signaling events and cellular responses. Mol Cell Biol. 2012;32:1955-1966.
45. Falavarjani KG, Modarres M, Nazari H. Therapeutic effect of bevacizumab injected into the silicone oil in eyes with neovascular glaucoma after vitrectomy for advanced diabetic retinopathy. Eye. 2010;24:717-719.







