Intravitreal Ziv-aflibercept: Initial Clinical Experience
A possible lower-cost alternative for anti-VEGF therapy.
JAY CHHABLANI, MD
Evidence from many randomized trials has made anti-VEGF therapy the standard of care for various retinal diseases, such as age-related macular degeneration, venous occlusions, and diabetic macular edema. Among the available options, ranibizumab (Lucentis, Genentech, South San Francisco, CA) and aflibercept (Eylea, Regeneron, Tarrytown, NY) are the FDA-approved drugs; however, worldwide, the most commonly used anti-VEGF drug, bevacizumab (Avastin, Genentech), remains off-label for these indications.
CATT showed comparable results with bevacizumab and ranibizumab in eyes with wet AMD.1 The VIEW I and II trials established the efficacy of aflibercept in wet AMD.2 Recently, the Diabetic Retinopathy Clinical Research Network Protocol T showed a better outcome with aflibercept than the other two anti-VEGF agents, in eyes with DME.3
Frequent injections and monthly visits associated with these injections lay a significant burden on the healthcare system. The approximate cost of these medications varies from $50/dose for off-label bevacizumab to almost $2,000/dose for approved drugs (ranibizumab [$1,950/dose] and aflibercept [$1,850/dose]). Fifteen percent to 45% of eyes appear to be resistant in real-life situations to bevacizumab and ranibizumab.4,5 Aflibercept has shown benefits in eyes with resistance to bevacizumab and ranibizumab.6
ENTER ZIV-AFLIBERCEPT
The high cost and unavailability of aflibercept in many countries, including India, has prompted us to use ziv–aflibercept (ZA), a drug similar to aflibercept. ZA (Zaltrap, Regeneron) is a recombinant fusion protein that acts as a soluble decoy receptor and binds to VEGF-A, VEGF-B, and placental growth factor, similar to aflibercept.
Jay Chhablani, MD, is on the faculty of the L.V. Prasad Eye Institute in Hyderabad, India. He reports no financial interests in any the products mentioned in this article. Dr. Chhablani can be reached via e-mail at jay.chhablani@gmail.com.
Ziv-aflibercept was approved by the FDA in August 2012 for the treatment of metastatic colorectal carcinoma resistant to or that has progressed following an oxiplatin-containing chemotherapeutic regimen.7
The available preparation of ZA differs from aflibercept in osmolarity, precluding its use as an intravitreal injection. Animal studies have shown that solutions of more than 500 mOsm cause retinal pigment epithelium damage.8
The approved aflibercept preparation (Eylea) is an iso-osmotic solution (300 mOsm/kg), while ZA has an osmolarity of 1,000 mOsm/kg from the addition of sucrose. However, Mansour et al suggested a final osmolarity of 312 mOsm/kg (within the physiologic range) after a single injection of 1.25 mg/0.05 mL in a 4-mL vitreous.9
An in-vitro study by del Carpio et al evaluated apoptosis in human RPE cells (ARPE-19) exposed for 24 hours to clinically relevant doses of four anti-VEGF drugs and found no mitochondrial toxicity with either ranibizumab or aflibercept and mild mitochondrial toxicity with bevacizumab and ZA, although toxicity to Müller cells was not reported.10
CLINICAL EXPERIENCES
In our clinical experience, we recently reported no signs of toxicity with a single injection of ZA (1.25 mg/0.05 mL) in 12 eyes with wet AMD.11 We evaluated these eyes on day 1, day 7, and day 30 after injection. None of the eyes showed any signs of toxicity on clinical examination during postoperative periods of up to one month in duration.
In electroretinographic studies, we did not find any significant change (more than 30% from baseline), suggestive of no functional damage after a single intravitreal injection. None of the eyes showed any changes in the vitreomacular interface on optical coherence tomography as signs of toxicity. None of the patients experienced any serious ocular or systemic adverse events.
With regards to visual acuity changes at one month, among our 12 eyes, VA improved in six eyes, remained the same in five eyes, and decreased by 1 line in one eye. Additionally, we reported cases of successful treatment outcomes with no toxicity in eyes with central retinal vein occlusion and polypoidal choroidal vasculopathy.12,13
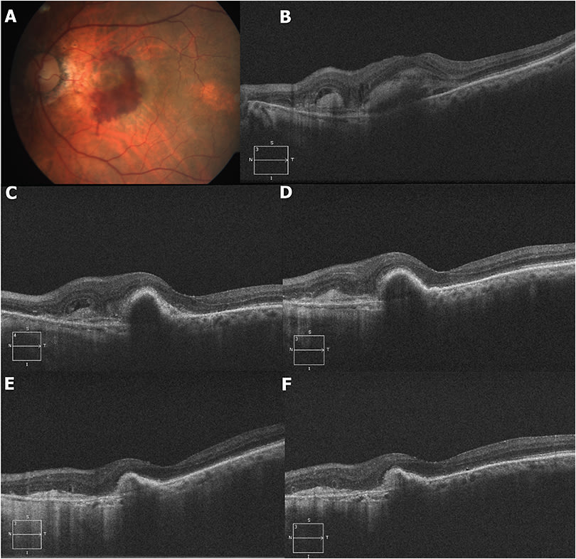
De Oliveira Dias et al14 reported visual, anatomical, and functional improvement in a refractory case of wet AMD at one month after single intravitreal ZA. The Figure (previous page) shows a case of recalcitrant wet AMD that responded well to intravitreal ZA.
Figure. An 82-year-old man presented with sudden vision loss in his left eye for the last previous days. He had a history of evisceration of the right eye five years earlier after a penetrating injury. His best-corrected visual acuity in the left eye at presentation was 20/100 with the presence of subretinal hemorrhage at the fovea and a grayish membrane suggestive of a choroidal neovascular membrane (CNVM) (A). Spectral-domain optical coherence tomography confirmed the presence of CNVM (B). The patient underwent monthly intravitreal bevacizumab injections (1.25 mg/0.05 mL) for three months with reduction in the subretinal hemorrhage and edema as evident on SD-OCT (C and D). His BCVA improved to 20/50; however, in light of persistent activity, he underwent three intravitreal ziv-aflibercept injections (1.25 mg/0.05 mL) and showed a significant decrease in activity and recovery of visual acuity to 20/30 (E). At his last follow-up, three months after the third intravitreal ziv-aflibercept injection, his BCVA in the left eye was 20/30 with no evidence of activity on SD-OCT (F).
The dose of intravitreal ZA is 1.25 mg/0.05 mL, similar to bevacizumab. There could be questions about the efficacy of ZA due to a smaller dose than that of FDA-approved Eylea (2 mg/0.05 mL).
However, to achieve a 2-mg dose, we have injected 0.08 mL, which could raise the concerns about the large volume of the drug. Compounding of ZA remains a concern, as for bevacizumab.
In our institution, we follow the same standard protocol for compounding ZA as for bevacizumab, and we have experienced no compounding-related adverse events. Accessibility of repackaged drug may support the use of these drugs for better cost-effectiveness.
CONCLUSION
Ziv-aflibercept appears to be a promising, safe, low-cost alternate anti-VEGF therapy for retinal diseases, especially in countries where intravitreal aflibercept is not available. However, further studies are warranted to evaluate its dosing, efficacy, and safety with long-term follow-up in a larger sample size in various retinal disorders. RP
REFERENCES
1. Comparison of Age-related Macular Degeneration Treatments Trials (CATT) Research Group; Martin DF, Maguire MG, Fine SL, et al. Ranibizumab and bevacizumab for treatment of neovascular age-related macular degeneration: two-year results. Ophthalmology. 2012;119:1388-1398.
2. Heier JS, Brown DM, Chong V, et al. Intravitreal aflibercept (VEGF trap-eye) in wet age-related macular degeneration. Ophthalmology. 2012;119:2537-2548.
3. Heier JS, Bressler NM, Avery RL, et al; American Society of Retina Specialists Anti-VEGF for Diabetic Macular Edema Comparative Effectiveness Panel. Comparison of aflibercept, bevacizumab, and ranibizumab for treatment of diabetic macular edema: Extrapolation of data to clinical practice. JAMA Ophthalmol. 2016;134:95-99.
4. Lux A, Llacer H, Heussen FM, et al. Non-responders to bevacizumab (Avastin) therapy of choroidal neovascular lesions. Br J Ophthalmol. 2007;91:1318-1322.
5. Krebs I, Glittenberg C, Ansari-Shahrezaei S, et al. Non-responders to treatment with antagonists of vascular endothelial growth factor in age-related macular degeneration. Br J Ophthalmol. 2013;97:1443-1446.
6. Bakall B, Folk JC, Boldt HC, et al. Aflibercept therapy for exudative age-related macular degeneration resistant to bevacizumab and ranibizumab. Am J Ophthalmol. 2013;156:15-22.
7. Patel A, Sun W. Ziv-aflibercept in metastatic colorectal cancer. Biologics. 2014;8:13-25.
8. Marmor MF, Martin LJ, Tharpe S. Osmotically induced retinal detachment in the rabbit and primate. Electron microscopy of the pigment epithelium. Invest Ophthalmol Vis Sci. 1980;19:1016-1029.
9. Mansour AM, Al-Ghadban SI, Yunis MH, et al. Ziv-aflibercept in macular disease. Br J Ophthalmol. 2015;99:1055-1059.
10. del Carpio JC, Moustafa MTM, Ramirez CA, et al. Effects of ranibizumab, bevacizumab, aflibercept and ziv-aflibercept on cultured human retinal Müller cells. Invest Ophthalmol Vis Sci. 2014;55:E-Abstract #598.
11. Chhablani J, Narayanan R, Mathai A, et al. Short-term safety profile of intravitreal ziv-aflibercept. Retina. 2015 Dec 11. [Epub ahead of print]
12. Videkar C, Kapoor A, Chhablani J, et al. Ziv-aflibercept: a novel option for the treatment of polypoidal choroidal vasculopathy. BMJ Case Rep. 2015 Dec 18. [Epub ahead of print]
13. Chhablani J. Intravitreal ziv-aflibercept for recurrent macular edema secondary to central retinal venous occlusion. Indian J Ophthalmol. 2015;63:469-470.
14. de Oliveira Dias JR, Xavier CO, Maia A, et al. Intravitreal injection of ziv-aflibercept in patient with refractory age-related macular degeneration. Ophthalmic Surg Lasers Imaging Retina. 2015;46:91-94.







