Pearls for Treating Patients With Diabetic Retinopathy
An illustrated, step-by-step guide to management
AMEEN MARASHI, MD
It is important to examine and question patients with diabetic eye disease carefully because diabetes is a pernicious disease that attacks all of the ocular tissues, including the cornea, trabecular meshwork, lens, retina (macula and peripheral fundus), and optic nerve.
QUESTIONING THE PATIENT
Taking the full medical and ophthalmic history of the patient is essential. It helps the physician to determine the risk factors that affect the disease process and efficacy of the treatment.
Among the first issues is the type and duration of diabetes that the patient has. Examination is essential at five years after the diagnosis of type 1 diabetes (insulin dependent) and at presentation regardless of duration in cases of type 2 diabetes (insulin independent) to exclude diabetic retinopathy and maculopathy.1
Type 1 diabetes usually has a worse prognosis than type 2 diabetes, and the longer the duration of diabetes, the more likely it is to find retinopathy.1,2 The doctor should establish the glycemic control method, ie, whether the patient is controlling his/her diabetes with glycemic-lowering tablets or is using insulin, which increases the risk of proliferative diabetic retinopathy.2 The mean blood sugar analysis results should be checked to determine whether the patient is following up with an endocrinologist or internist and whether there has been any recent HbA1C analysis.
Ameen Marashi, MD, is a retina specialist at the Marashi Eye Clinic in Aleppo, Syria. He reports no financial interests in products mentioned in this article. Dr. Marashi can be reached via e-mail at ameenmarashi@hotmail.com.
In cases of pregnancy, a close follow-up is recommended at three and six months, starting from the first trimester.1 Patients should also be screened for other systemic diseases, such as arterial hypertension, cardiovascular diseases, and high cholesterol levels,3,4 as well as previous ocular surgeries (eg, vitrectomies, trabeculectomies, and cataract extractions) or treatments (eg, intravitreal injections and laser). Finally, the physician should establish when the patient started to have reduced vision.
STEPS IN EXAMINING PATIENTS WITH DIABETIC EYE DISEASE
Best corrected visual acuity is very important because it can have an impact on the treatment plan and can be used as a guide to determine treatment efficacy. It is important to analyze the refractive data to exclude reduced vision induced by keratoconus or amblyopia; nevertheless, BCVA is not a sufficiently sensitive method to exclude diabetic macular edema.5
With regard to orthoptics, the cover/uncover test should be performed to exclude amblyopia, and full ocular movements should be assess to exclude sixth nerve palsy.
The slit-lamp examination should include the following:
• Careful eyelid and adnexa examination to exclude blepharitis, which can be a source of infection in cases of future intravitreal injections or ocular surgeries and which should be treated promptly6;
• Corneal exam to exclude any corneal scars, opacity, and thinning;
• Detailed iris exam to exclude neovascularization;
• Lens examination to exclude visually significant cataract; and
• Measurement of intraocular pressure to exclude ocular hypertension or glaucoma. In cases of increased IOP, gonioscopy should be performed to assess the angle and to exclude neovascularization or blood in Schlemm’s canal.
Dilated Fundus Examination
It is important to understand that diabetes causes angiopathy and neuropathy due to elevated blood sugar; therefore, the optic disc and retinal tissue are no exceptions. Thus, when we assess the retina for diabetic changes we should bear in mind the following.
First, the fundus examination should be performed under pupil dilatation to enhance the quality of the exam and to exclude diabetic changes in the macular and retinal periphery.7 When examining the fundus, a careful assessment of the optic disc and the 1,500 µm surrounding it is important to exclude optic disc diabetic neuropathy or neovascularization of the disc (NVD).
Second, the doctor should perform a careful exam of the macula to assess it for the presence of clinically significant macular edema as defined by the Early Treatment Diabetic Retinopathy Study: the presence of edema within 500 μm of the center of fovea; hard exudate within 500 μm of the center of the fovea adjacent to the edema; or one disc diameter of edema within one disc diameter of the center of the fovea (Figure 1). Further, he/she should exclude cellophane maculopathy.8,9
Figure 1. Clinically significant macular edema with hard exudate within 500 μm of the center of fovea, within 500 μm adjacent to the edema, and within one disc diameter from the center of the fovea.
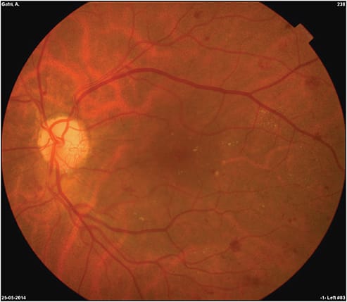
The temporal arcades and mid peripheral retina should be examined in detail to exclude PDR, including NVD (Figure 2), neovascularization elsewhere, preretinal hemorrhage, vitreous hemorrhage, or fibrovascular tissue.
Figure 2. Proliferative diabetic retinopathy with moderate neovascularization of the disk and clinically significant macular edema in a 50-year-old patient with type 1 diabetes.
Nonproliferative DR, such as intraretinal microvascular abnormalities (IRMAs), may be highlighted as capillary nonperfusion, microaneurysms, dot blot hemorrhages, venous beading, and cotton wool spots. Such signs can help in grading the retinopathy and determining the patient’s follow-up and treatment (Figure 3).9
Figure 3. Nonproliferative diabetic retinopathy with microaneurysms and cotton wool spots with signs of clinically significant macular edema.
Optic disc examination in detail is important to exclude NVD (Figure 2) and diabetic optic disc neuropathy, the latter of which can present as swelling of the optic disc with telangiectasia on the disc.
INVESTIGATION
After the clinical assessment, some investigations are important to order for treatment and follow-up decisions.
Glycated Hemoglobin
It is very important to start with glycated hemoglobin (HbA1C) because it profiles the glycemic control over the previous three months. Ordering the test pretreatment, during treatment, and post-treatment, as part of good glycemic control, may help to obtain a more favorable prognosis and better treatment results.10-12 HbA1C should be repeated every three months and should measure approximately 7%. It is advisable that HbA1C results be measured under the supervision of an internist or endocrinologist.
Fundus Fluorescein Angiography
Fundus fluorescein angiography (FFA) is ordered to study the perfusion status of the macula and the peripheral retina. Ordering FFA at presentation is essential, especially in cases of good BCVA, to exclude CSME because good VA alone is not sufficient to detect DME5 and can help to locate the leaking microaneurysms for a focal laser treatment plan,13 particularly in cases of CSME with no foveal involvement. Treating such cases with focal laser with continuous wave (CW) or subthreshold diode micropulse (SDM) laser photocoagulation14 can preserve vision.15
FFA is also important in cases of very poor BCVA with featureless retina, which can indicate ischemic maculopathy and is a sign of poor prognosis that can be distinguished on FFA as enlargement of the foveal avascular zone (FAZ) or as a FAZ with irregular borders (Figure 4).
Figure 4. Diabetic macular ischemia with enlarged foveal avascular zone, telangiectasia, and capillary dropout with neovascularization; this patient has BCVA of counting fingers.
Ultrawidefield FA can be ordered to exclude peripheral ischemia, which can be an early sign of PDR that requires laser treatment and can be used as a guide for laser treatment to preserve the visual fields as much as possible.16
Finally, it is important to remember that, if a circinate lipid ring is present, it can present as a cluster of leaking microaneurysms on FFA (Figure 5), while zones of IRMA may be highlighted as capillary nonperfusion on FFA.
Figure 5. Diabetic macular edema presenting with a large circinate lipid ring (left). Fundus fluorescein angiography (right) shows a cluster of leaking microaneurysms.
Optical Coherence Tomography
Optical coherence tomography is ordered to study the histological status of the macula and the vitreomacular interface integrity. OCT is important in cases of DME with foveal involvement to study the central retinal subfield thickness. Because central macular thickness may not have a great impact on VA, it may play a role in choosing and monitoring treatment (Figure 6).17
Figure 6. Diabetic macular edema with central involvement and increased central retinal subfield thickness.
OCT can study disorganization of the retinal inner layers (DRIL) along with the disruption of the photoreceptor inner segment/outer segment layer because it can show damage to the photoreceptors, thus causing reduced VA18 (Figure 7), while loss of photoreceptors combined with a longstanding diffuse DME pattern may reflect chronic macular edema.
Figure 7. Optical coherence tomography of diabetic macular edema shows disorganization of the retinal inner layer with subretinal fluid.
OCT mapping can be used to locate edema, providing information that can be used for modified grid or focal laser treatments.13 OCT is also an important method to monitor the efficacy of treatment reduction of central retinal subfield thickness, which along with improved BCVA may indicate successful treatment.19
The integrity of the vitreomacular interface can be well studied using OCT, and vitreomacular traction can alter the treatment plan from intravitreal injections and laser to pars plana vitrectomy, especially when traction is the main element of macular edema (Figure 8).
Figure 8. Diabetic macular edema caused by vitreomacular traction causing focal attachments and disturbance of the inner retinal tissue.
OCT Angiography
OCT angiography (OCTA) can be used to better visualize the retinal vasculature in greater detail than with FFA, including vascular changes, such as microaneurysm formation and capillary dropout.
OCTA is a multidimensional method to study retinal structure changes (ie, cyst formation and central retinal subfield thickness), along with vascular changes (microaneurysms and retinal neovascularization). With the limitation of a narrow field of view, it does not show leakage and so requires clear media with patient cooperation.20
DIAGNOSIS AND MANAGEMENT
It is important to provide a diagnosis that describes the retinal and macular status and thus will help to determine the treatment plan and patient follow-up.
Types of Diabetic Retinopathy
Diabetic retinopathy, which might not cause visual loss until later stages of the disease, is subdivided into two main groups as defined by the ETDRS.21
Nonproliferative diabetic retinopathy can be mild (microaneurysms only), moderate (microaneurysms, hard exudates, and cotton wool spots), severe (one of the following: 4. severe intraretinal hemorrhages in four quadrants; 2. venous beading; or 1. IRMA), requiring only glycemic control, or very severe (two of the 4:2:1 criteria), which might require laser treatment in selected cases with close follow-up.
Proliferative diabetic retinopathy can be early (mild neovascularization), high-risk (moderate to severe retinal and optic disc neovascularization, preretinal and vitreous hemorrhage), or advanced (tractional retinal detachment and rubeosis iridis), which can require treatment ranging from panretinal laser photocoagulation treatment and anti-VEGF in cases that feature DME to pars plana vitrectomy in cases of retinal traction threatening the macula and nonclearing vitreous hemorrhage with close follow-up because there is high risk of visual loss.
Diabetic macular edema. DME can cause early visual loss in patients with diabetic eye disease, and it can be subdivided into several groups. DME with central involvement should be distinguished between nonchronic and chronic.
Nonchronic DME can require several monthly anti-VEGF injections with deferred or prompt OCT or FFA-guided focal laser treatment with CW22 or SDM, as VEGF is the main element in the pathology of DME, and the rationale of choosing between anti-VEGF drugs can be based on the Protocol T data from the Diabetic Retinopathy Clinical Research Network, which showed that bevacizumab (Avastin, Genentech, South San Francisco, CA) and ranibizumab (Lucentis, Genentech) can be used in cases of baseline BCVA of 20/40 or better. Aflibercept (Eylea, Regeneron, Tarrytown, NY) can be used in cases of baseline BCVA 20/50 or worse.23
Chronic DME can be diagnosed based on treatment failure of more than four anti-VEGF intravitreal injections or six months of treatment. Diffuse longstanding DME pattern and photoreceptor loss in these cases should treated with intravitreal steroids, such as the 0.7-mg slow-release dexamethasone implant (Ozurdex, Allergan, Irvine, CA) because an inflammatory process is the main element of DME pathology.24
DME with noncentral involvement can present with good baseline BCVA and can be treated with OCT- or FFA-guided focal laser with CW or SDM,14,15 especially when the DME meets the criteria of clinically significant macular edema, as defined by the ETDRS.
Diabetic macular edema with an abnormal vitreomacular interface. DME with an abnormal vitreomacular interface can be subdivided into macular edema caused by a tractional element, which can be diagnosed using OCT. Focal attachments of epiretinal membrane disturb the inner surface of the retina and cause diffuse thinness of the retina, requiring treatment with pars plana vitrectomy with peeling of the internal limiting membrane in cases of moderate vision loss (Figure 8).25
In these cases, anti-VEGF agents may have reduced effect because they can induce more traction while the ERM is present. However, when the main element of DME is microvascular abnormality, it can be treated with intravitreal steroids or focal laser, and pars plana vitrectomy can be offered in treatment failure in these cases. Anti-VEGF drugs have reduced effects and can induce more traction.
Ischemic diabetic maculopathy. Ischemic diabetic maculopathy can present as very poor baseline BCVA with featureless retina, which might indicate ischemic maculopathy, and it is a sign of poor prognosis.
Miscellaneous
Diabetic eye disease is not limited to retinal tissue. Diabetes can affect other ocular tissues, causing various diseases such as glaucoma, rubeosis iridis, cataract, and diabetic optic disc neuropathy.
Glaucoma. Glaucoma can be divided into neovascular glaucoma and open-angle glaucoma. The former is a sign of end-stage disease and poor prognosis, caused by fibrovascular tissue clogging the angle. It usually presents as rubeosis iridis with high IOP that may be refractory to topical mediation and can be treated using diode trans-scleral cyclolaser photocoagulation to the ciliary body.26 Alternately, neovascular glaucoma can be treated surgically by implanting an Ahmed valve (New World Medical, Inc., Rancho Cucamonga, CA), which has a high risk of surgical failure, or by trabeculectomy with mitomycin C.27,28
Studies have shown correlations between open-angle glaucoma and diabetes, and it can be responsive to topical medication and can be treated using micropulse laser trabeculoplasty or selective laser trabeculoplasty.29 In refractory cases, trabeculectomy is indicated.30
Rubeosis iridis. Rubeosis iridis is a sign of advanced PDR caused by ischemia in the retina, and it is a risk factor for neovascular glaucoma, which presents as iris neovascularization at the pupillary margin that may grow radially at the surface of the iris toward the angle. It is managed by performing PRP promptly when anti-VEGF agents cannot be used.31
Cataract. Adjacent to DME, cataract can cause reversible reduction of VA, which can be managed by cataract extraction and lens implantation using phacoemulsification. However, it is important to perform presurgical assessment of DME if possible because it can be exacerbated after surgery32 and thus can be managed with adjacent anti-VEGF intravitreal injection in the absence of retinal traction.
Diabetic optic disc neuropathy. Diabetic optic disc neuropathy can be present as a swelling optic disc with telangiectasia on the optic disc, which can be mistaken for NVD and may cause mild to moderate VA reduction. It is managed by posterior sub-Tenon’s steroid injections.
Glycemic and blood pressure control. Studies have shown that glycemic and blood pressure control may slow the progression of diabetic retinopathy. As noted, it is advisable that HbA1C be repeated every three months, and it should be approximately 7%. Blood sugar and blood pressure should be monitored by an internist or endocrinologist.10-12
TAKE-HOME MESSAGES
Diabetes is influenced by other systemic diseases, such as hypertension, and it can cause damage to multiple tissues in the eye. It is important to carefully take the systemic and ophthalmic history, along with careful examination of the anterior and posterior segments to obtain the correct diagnosis, which can be aided by imaging techniques.
DME can cause early reduction of VA in patients with diabetes, whereas DR can cause visual loss in late stages of the disease. VA can be reduced in patients with diabetes not only from retinal tissue damage but also due to multiple additional factors, such as cataract.
Imaging techniques can help us to diagnose, monitor, and guide our treatment. The treatment plan should be based on accurate diagnosis and should followed up closely, along with monitoring of glycemic indices and blood pressure control. RP
REFERENCES
1. AAO Quality of Care Secretariat. Screening for diabetic retinopathy – 2014. American Academy of Ophthalmology Web site. Available at: http://www.aao.org/clinical-statement/screening-diabetic-retinopathy--june-2012. Accessed June 15, 2015.
2. Cahill M, Halley A, Codd M, et al. Prevalence of diabetic retinopathy in patients with diabetes mellitus diagnosed after the age of 70 years. Br J Ophthalmol. 1997;81:218-222.
3. Ishihara M, Yukimura Y, Aizawa T, Yamada T, Ohto K, Yoshizawa K. High blood pressure as risk factor in diabetic retinopathy development in NIDDM patients. Diabetes Care. 1987;10:20-25.
4. Arroyo JG. Atherosclerotic cardiovascular disease and diabetic retinopathy. Br J Ophthalmol. 2002;86:3-4.
5. Stellingwerf C, Hardus PL, Hooymans JM. Two-field photography can identify patients with vision-threatening diabetic retinopathy: a screening approach in the primary care setting. Diabetes Care. 2001;24:2086-2090.
6. Lyall DA, Tey A, Foot B, et al. Post-intravitreal anti-VEGF endophthalmitis in the United Kingdom: incidence, features, risk factors, and outcomes. Eye (Lond). 2012;26:1517-1526.
7. Deb-Joardar N, Germain N, Thuret G, et al. Screening for diabetic retinopathy by ophthalmologists and endocrinologists with pupillary dilation and a nonmydriatic digital camera. Am J Ophthalmol. 2005;140:814-821.
8. Kinyoun J, Barton F, Fisher M, Hubbard L, Aiello L, Ferris F 3rd. Detection of diabetic macular edema. Ophthalmoscopy versus photography--Early Treatment Diabetic Retinopathy Study Report Number 5. The ETDRS Research Group. Ophthalmology. 1989;96:746-750; discussion 750-751.
9. Wu L, Fernandez-Loaiza P, Sauma J, Hernandez-Bogantes E, Masis M. Classification of diabetic retinopathy and diabetic macular edema. World J Diabetes. 2013;4:290-294.
10. The effect of intensive treatment of diabetes on the development and progression of long-term complications in insulin-dependent diabetes mellitus. The Diabetes Control and Complications Trial Research Group. N Engl J Med. 1993;329:977-986.
11. Tight blood pressure control and risk of macrovascular and microvascular complications in type 2 diabetes. UKPDS 38. UK Prospective Diabetes Study Group. BMJ. 1998;317:703-713.
12. Schrier RW, Estacio RO, Esler A, Mehler P. Effects of aggressive blood pressure control in normotensive type 2 diabetic patients on albuminuria, retinopathy and strokes. Kidney Int. 200;61:1086-1097.
13. Kozak I, El-Emam SY, Cheng L, et al. Fluorescein angiography versus optical coherence tomography-guided planning for macular laser photocoagulation in diabetic macular edema. Retina. 2014;34:1600-1605.
14. Luttrull JK, Musch DC, Mainster MA. Subthreshold diode micropulse photocoagulation for the treatment of clinically significant diabetic macular oedema. Br J Ophthalmol. 2005;89:74-80.
15. Scott IU, Danis RP, Bressler SB, Bressler NM, Browning DJ, Qin H; Diabetic Retinopathy Clinical Research Network. Retina. 2009;29:613-617.
16. Wessel MM, Nair N, Aaker GD, Ehrlich JR, D’Amico DJ, Kiss S. Peripheral retinal ischaemia, as evaluated by ultra-widefield fluorescein angiography, is associated with diabetic macular oedema. Br J Ophthalmol. 2012;96:694-698.
17. Diabetic Retinopathy Clinical Research Network; Browning DJ, Glassman AR, Aiello LP, et al. Relationship between optical coherence tomography-measured central retinal thickness and visual acuity in diabetic macular edema. Ophthalmology. 2007;114:525-536.
18. Sun JK, Lin MM, Lammer J, et al. Disorganization of the retinal inner layers as a predictor of visual acuity in eyes with center-involved diabetic macular edema. JAMA Ophthalmol. 2014;132:1309-1316.
19. Cunha-Vaz J. Characterization of responders to treatment of DME. Retin Today. 2011;4:62-63,76.
20. Waheed NK, De Carto TE, Chin AT, Duker JS. OCT angiography in retinal diagnosis and treatment. Retin Physician. 2015;12(4):42-46.
21. Early photocoagulation for diabetic retinopathy. ETDRS report number 9. Early Treatment Diabetic Retinopathy Study Research Group. Ophthalmology. 1991;98(Suppl):766-785.
22. Diabetic Retinopathy Clinical Research Network; Elman MJ, Aiello LP, Beck RW, et al. Randomized trial evaluating ranibizumab plus prompt or deferred laser or triamcinolone plus prompt laser for diabetic macular edema. Ophthalmology. 2010;117:1064–1077.
23. Diabetic Retinopathy Clinical Research Network; Wells JA, Glassman AR, Ayala AR, et al. Aflibercept, bevacizumab, or ranibizumab for diabetic macular edema. N Engl J Med. 2015;372:1193-1203.
24. Totan Y, Güler E, Güragaç FB. Dexamethasone intravitreal implant for chronic diabetic macular edema resistant to intravitreal bevacizumab treatment. Curr Eye Res. 2015 Jan 22. [Epub ahead of print]
25. Lewis H, Abrams GW, Blumenkranz MS, Campo RV. Vitrectomy for diabetic macular traction and edema associated with posterior hyaloidal traction. Ophthalmology. 1992;99:753-759.
26. Tan AM, Chockalingam M, Aquino MC, Lim ZI, See JL, Chew PT. Micropulse transscleral diode laser cyclophotocoagulation in the treatment of refractory glaucoma. Clin Experiment Ophthalmol. 2010;38:266-272.
27. Netland PA. The Ahmed glaucoma valve in neovascular glaucoma (An AOS Thesis). Trans Am Ophthalmol Soc. 2009;107:325-342.
28. Shen CC, Salim S, Du H, Netland PA. Trabeculectomy versus Ahmed Glaucoma Valve implantation in neovascular glaucoma. Clin Ophthalmol. 2011;5:281-286.
29. El Sayyad F, Helal M. Update on laser trabeculoplasty. Middle East Afr J Ophthalmol. 2009;16:116-118.
30. Sihota R, Gupta V, Agarwal HC. Long-term evaluation of trabeculectomy in primary open angle glaucoma and chronic primary angle closure glaucoma in an Asian population. Clin Exp Ophthalmol. 2004;32:23-28.
31. Tu Y, Fay C, Guo S, Zarbin MA, Marcus E, Bhagat N. Ranibizumab in patients with dense cataract and proliferative diabetic retinopathy with rubeosis. Oman J Ophthalmol. 2012;5:161-165.
32. Diabetic Retinopathy Clinical Research Network Authors/Writing Committee, Baker CW, Almukhtar T, Bressler NM, et al. Macular edema after cataract surgery in eyes without preoperative central-involved diabetic macular edema. JAMA Ophthalmol. 2013;131:870-879.
33. Wu PC Lai CH, Chen CL, Kuo CN. Optical coherence tomographic patterns in diabetic macula edema can predict the effects of intravitreal bevacizumab injection as primary treatment. J Ocul Pharmacol Ther. 2012;28:59-64.







