CASE STUDY
Macular Edema Due to CRVO in a Leukemia Patient
Anti-VEGF therapy was effective in a pediatric patient.
IAN KIRCHNER, MD • COREY WALDMAN, MD • DAVID ELLENBERG, MD • PHILIP SCHARPER, MD
A 12-year-old boy with a history of acute lymphocytic leukemia, who was undergoing chemotherapy with intrathecal methotrexate and vincristine, was sent to the Krieger Eye Institute from the hematology/oncology clinic at Sinai Hospital of Baltimore, MD, for new-onset blurred vision and central vision loss in the right eye for one day. His medical history was also significant for chronic anemia secondary to the chemotherapy, which required multiple transfusions. The patient had no prior ocular history.
EXAMINATION AND DIAGNOSIS
On examination, the best corrected visual acuity was 20/100 OD and 20/20 OS. The right pupil was sluggish, with a 3+ afferent papillary defect. Intraocular pressure measured by Tono-Pen (Reichert Technologies, Depew, NY) was 15 mm Hg OU. Confrontational fields were full, and there were no deficits of motility. Slit-lamp examination of the anterior segment was unremarkable.
Ian Kirchner, MD, and Corey Waldman, MD, are residents at the Krieger Eye Institute of Sinai Hospital in Baltimore, MD. David Ellenberg, MD, and Philip Scharper, MD, are on the faculty of Sinai Hospital. None of the authors reports any financial interests in products mentioned in this article. Dr. Kirchner can be reached via e-mail at ian.kirchner@my.wheaton.edu.
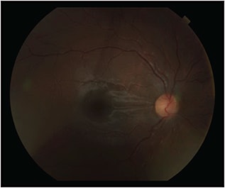
Fundus examination of the right eye showed 3+ disc edema, tortuous vessels, flame hemorrhages, macular edema, and peripheral Roth spots (Figure 1). Fundus examination of the left eye was unremarkable.
Figure 1. Fundus photo of the right eye at presentation showing significant disc edema with flame hemorrhages and venous tortuosity.
Fluorescein angiography demonstrated leakage of the disc and macula in the right eye. Macular optical coherence tomography (Carl Zeiss Meditec, Dublin, CA) showed subretinal fluid in the right eye and was normal in the left eye (Figure 2, page 62). Magnetic resonance imaging of the orbits showed no acute abnormality. His hemoglobin and hematocrit levels at the time were 7.6 and 23.7, respectively.
Figure 2. Macular OCT of right eye at presentation showing macular edema and subretinal fluid.
Based on these findings, the patient most likely had a central retinal vein occlusion due to disc edema as a result of profound anemia induced by both the patient’s chemotherapy and his leukemia.
MANAGEMENT AND CLINICAL COURSE
In a case of CRVO with macular edema causing significant visual impairment in a pediatric cancer patient, the management options were limited, and the prognosis was uncertain. Given that intravitreal anti-VEGF therapies have proved successful in treating macular edema secondary to CRVO in adult patients, we decided to administer a single half-dose (0.625 mg) of intravitreal bevacizumab (Avastin, Genentech, South San Francisco, CA), while the patient was sedated for his weekly chemotherapy.
Two weeks postinjection, the patient’s vision had improved to 20/30 OD, the afferent pupillary defect had resolved, and the swelling of the disc and macula had decreased significantly, as had the venous tortuosity.
After one month, the patient’s vision had returned to 20/20 OD, and the swelling of the disc and macula and the venous tortuosity had resolved (Figures 3 and 4). At the six-month follow-up, the patient remained free of both macular and disc edema.
Figure 3. Fundus photo of right eye at one month postintravitreal bevacizumab, with complete resolution of disc and macular edema, hemorrhages, and venous tortuosity.
Figure 4. Macular OCT at one month after treatment with intravitreal bevacizumab showing complete resolution of subretinal fluid and macular edema.
This case demonstrates a novel use of intravitreal anti-VEGF therapy in treating CRVO as a complication of disc edema due to profound anemia in a pediatric patient with leukemia.
DISCUSSION
A number of multicenter trials have shown anti-VEGF drugs to be extremely efficacious in reducing macular edema secondary to RVO, improving visual and anatomic outcomes.1 The GALILEO study, for example, demonstrated that treatment of macular edema secondary to CRVO with six monthly intravitreal aflibercept (Eylea, Regeneron, Tarrytown, NY) injections resulted in significant improvements in BCVA and central retinal thickness that were largely maintained with extension of treatment intervals.2
Spaide and colleagues studied the effects of bevacizumab therapy early after the onset of CRVO and reported statistically significant reduction in venous dilation, tortuosity, optic disc swelling, and macular edema, in addition to improvement of VA.3 These studies, in conjunction with other trials, such as COPERNICUS, CRUISE, and HORIZON, have made anti-VEGF agents the mainstay therapy for macular edema secondary to CRVO.
Anemia is an important cause of retinal ischemia that sets the stage for disc edema. The ocular manifestations of anemia depend on the severity and duration. With an acute-onset anemia, as was the case with our patient who had an acute drop in hematocrit following chemotherapy, the symptoms are likely to be more dramatic, producing cotton-wool spots or nonarteritic anterior ischemic optic neuropathy.4
The improvement following anti-VEGF administration in our patient was equally as dramatic, with complete resolution of the vision loss, disc edema, and macular edema within one month of a single half-dose of bevacizumab administered intravitreally.
SUMMARY
We present a case of resolution of vision loss, disc edema, and macular edema in a pediatric cancer patient after receiving a single half-dose of intravitreal bevacizumab for macular edema due to a CRVO resulting from profound anemia secondary to leukemia and chemotherapeutic agents.
As anti-VEGF agents become the mainstay therapies for numerous retinal diseases, this case demonstrates yet another novel use of these agents. RP
REFERENCES
1. Bhagat N, Zarbin M. Recent innovations in medical and surgical retina. Asia Pac J Ophthalmol (Phila). 2013;2:244-252.
2. Ogura Y, Roider J, Korobelnik J, et al; GALILEO Study Group. Intravitreal aflibercept for macular edema secondary to central retinal vein occlusion: 18-month results of the phase 3 GALILEO study. Am J Ophthalmol. 2014;158:1032-1038.
3. Ferrera DC, Koizumi H, Spaide RF. Early bevacizumab treatment of central retinal vein occlusion. Am J Ophthalmol. 2007;144:864-871.
4. Epstein DL, Algavere PV, von Wendt G, Seregard S, Kvanta A. Bevacizumab for macular edema in central retinal vein occlusion: a prospective, randomized, double-masked clinical study. Ophthalmology. 2012;119:1184-1189.







