Radiotherapy for Wet AMD
Real-world results of stereotactic radiotherapy have begun to emerge.
TIMOTHY L. JACKSON, PhD, FRCOphth
The use of intravitreal anti-VEGF drugs to treat neovascular age-related macular degeneration is now so ingrained that it is sometimes difficult to remember retinal clinics before the introduction of these drugs in the mid-2000s.
Prior to that, photodynamic therapy with verteporfin (Visudyne, Bausch + Lomb, Rochester, NY) and photocoagulation formed the core of our treatment repertoire, but they are now relegated to niche applications (or the dustbin).
During this earlier era, clinicians also investigated the use of radiation to treat wet AMD.1 Radiation induces selective vascular closure by destroying proliferating vascular endothelial cells and macrophages, and it inhibits the disciform scarring associated with wet AMD.2
Trials were conducted using a variety of radiotherapy techniques, including fractionated external beam radiotherapy, proton-beam radiotherapy, and isotope plaque brachytherapy. In addition, a range of radiation doses, dose rates, and fractionation (multiple doses over time) was employed.3
Some early studies suggested functional and structural benefits, but the few sham-controlled trials showed no vision benefit, and a meta-analysis concluded that radiation was not an effective treatment for wet AMD.4-6
TWO TECHNIQUES ARE TESTED
However, there is a truth well known in the radiotherapy community: not all radiation is created equal. The type of radiation (X-ray, gamma, alpha, beta, proton), the source (X-ray energy, isotope type), and the dose, dose rate, and fractionation schedule all affect outcomes. These parameters must be closely matched to the target tissue to be effective.
Timothy L. Jackson, PhD, FRCOphth, is a consultant ophthalmic surgeon at King’s College Hospital in London, United Kingdom. He reports no financial interests in products mentioned in this article. Dr. Jackson can be reached via e-mail at t.jackson1@nhs.net.
Consequently, two novel techniques were introduced, with the aim of providing radiotherapy that is better suited to the treatment of wet AMD, which in turn raised the prospect of maintaining vision while reducing the number of injections that patients require. The new devices were designed to deliver an optimal dose to spare the neighboring ocular and cranial tissue.
Epimacular Brachytherapy
The first technique utilized an epimacular brachytherapy probe to deliver beta radiation from a strontium-90 isotope. The procedure required partial or full vitrectomy to enable probe application into the globe and the manual placement of the probe over the lesion for the duration of the dose delivery, usually approximately four minutes to achieve 24 Gy.
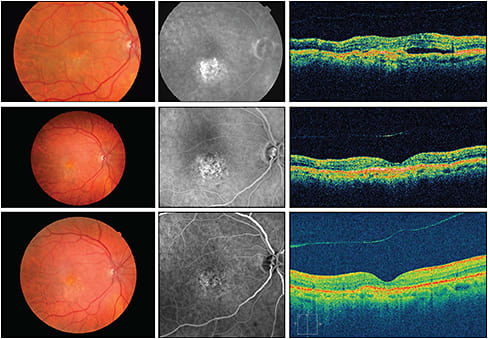
Figure. Images from a 75-year-old patient who entered the INTREPID study 25 months after diagnosis with wet AMD: fundus photos (left column), fluorescence photos (center column), and OCT (right column) show the eye at the time of treatment with SRT (top row), 52 weeks after SRT (middle row), and 104 weeks after SRT (bottom row). The patient had BCVA of 47 letters and had received 13 anti-VEGF injections prior to SRT and received one PRN injection through week 104 while gaining 20 letters after SRT.
Two large studies investigated the efficacy and safety of this approach, and both failed to meet their primary outcomes, showing neither noninferior vision7 nor fewer injections,8 and the procedure was abandoned.
It has been hypothesized that the technique was ineffective due to removal of the vitreous, hence diminishing the eye’s inherent capacity to hold anti-VEGF agents and thereby decreasing the drug half-life in the eye. In addition, there was difficulty in correctly positioning and then maintaining the probe on the surface of the retina, which is essential because the dose of radiation received by tissue falls off steeply with increasing distance from the probe.
Low-energy X-ray
The second technique utilizes low-energy X-ray, tightly collimated into a 4-mm-diameter beam delivered stereotactically to the macula through the pars plana and robotically positioned and optically tracked for precise placement of the beam.
These characteristics of the IRay device (Oraya Therapeutics, Newark, CA) allow for a high dose rate, single-session application of a 16-Gy dose that is noninvasive and spares other nontarget ocular structures. The dose quickly falls off when the X-ray passes through the orbital bones, resulting in a clinically insignificant dose to the brain.9
The stereotactic radiotherapy (SRT) technique was studied in a randomized, double-masked, sham-controlled trial in patients already receiving anti-VEGF treatment for wet AMD (INTREPID) and met its primary endpoint, showing fewer anti-VEGF injections while maintaining vision.10
Importantly, patients with foveal lesions no larger than the 4-mm X-ray beam spot on the macula and with active leakage (defined as greater than the median macular volume) had both a halving of the number of injections and superior vision to the sham control. The gains in these best responders were maintained through two years.11,12
The main safety concern with radiation applied to the eye is the potential to develop radiation retinopathy. INTREPID showed that a small percentage of patients developed retinal vascular abnormalities in the foveal region that may have affected vision (1% at one year and 4% at three years). However, full or partial vascular remodeling at year 3 was seen in 50% of patients with vascular abnormalities at year 2,13 unlike the radiation retinopathy seen with the high-dose radiation used to treat ocular tumors.
ONGOING STUDIES
While INTREPID was a randomized, double-masked sham-controlled study with positive results, given the apparently conflicting results with other technologies, there remains a desire to gather further evidence on SRT, particularly regarding its use in the best responder subset.
A large, government-funded, randomized, controlled trial of SRT in this group is under way in the United Kingdom (STAR; ClinicalTrials.gov identifier: NCT02243878). Meanwhile, some real-world data are emerging.
A symposium sponsored by Oraya Therapeutics during the 15th Euretina Congress in Nice, France, included presentations by: Dr. Mahdy Ranjbar from the University of Lübeck in Germany, Dr. Katja Hatz, from Vista Klinik-EyeRAD SWISS Medical Center, in Basel, Switzerland, and Christopher Brand, consultant ophthalmologist at Royal Hallamshire Hospital in Sheffield, United Kingdom.
In Lübeck, patients with at least six injections in the previous year and the need for ongoing anti-VEGF therapy were offered SRT and monitored monthly with a PRN anti-VEGF dosing regimen.
At six months after treatment the 28 patients showed a trend toward fewer injections compared to their pre-SRT injection frequency, with stable vision. There was a corresponding decrease in macular thickness. Those that reached one year experienced a significant 74% reduction in the number of anti-VEGF injections while maintaining vision at pre-treatment levels.
Patients at the Vista Klinik-EyeRAD SWISS Medical Center received a treat-and-extend anti-VEGF regimen after SRT. Forty patients previously on a nearly monthly retreatment interval had their maximum recurrence-free interval extended by an average of 70% at one year following radiotherapy, with a significant reduction in central macular thickness and stable vision.
The effects of radiotherapy were often evident by three months, but some patients required six months to show a change in their clinical course, consistent with the known time delay of radiotherapy, which is dependent on an individual’s cell division cycle time constant.14
In addition to treating chronic patients, the Sheffield team also introduced SRT for treatment-naive patients during the first of three anti-VEGF loading injections. Chris Brand reported on the first 25 treatment-naive patients to reach one year since SRT. Importantly, he compared his patients to a clinically matched, consecutive control group from his hospital.
The SRT patients saw a significant increase in vision compared with controls, despite needing only 1.6 injections in the 10 months following the loading phase, which was 40% fewer than the controls. Sixty percent of SRT patients required zero or only one injection postloading, compared with 34% of the control group.
None of centers identified any microvascular abnormalities attributable to SRT, although these outcomes more commonly occur after one year. Further, the microvascular changes seen after SRT are typically very subtle, and in INTREPID, most of them were detected by reading center reviews of mandated annual fluorescein angiograms, rather than by clinical examinations performed by site clinicians.
All three sites selected their previously treated patients based on post hoc subgroup analysis of INTREPID.15-17 Such analyses generate useful hypotheses, which STAR will prospectively test in the course of the study. Nonetheless, the data emerging from early adopting sites support the hypothesis that actively leaking lesions less than 4 mm in size respond particularly well to SRT.
This outcome is biologically plausible, in that lesions within the treatment zone are more likely to respond than those that extend beyond it. Moreover, leaky lesions are likely to be the most active and, therefore, the most sensitive to a treatment that preferentially damages proliferating cells. Mr. Brand’s results raise the question of whether SRT should also now be offered to patients with early disease, rather than restricting it to those with chronic, active disease.
Recently, the German Retina Society, the German Ophthalmological Society, and the Professional Association of German Ophthalmologists issued a joint opinion with advice on the use of SRT as an adjunct to anti-VEGF therapy for neovascular AMD in patients who do not respond sufficiently to anti-VEGF monotherapy. Thus, further real-world data will hopefully emerge before too long.18
CONCLUSION
Sound scientific reasons exist for why radiation should benefit patients with wet AMD. The early clinical trials were not always supportive, but they helped to develop the techniques, devices, and patient selection on which we now rely.
STAR will further test SRT in the best responder group. Until it reports, we hope that the centers that adopt SRT follow the lead of those that have done so already and release their real-world data into the public domain, ideally with control groups for comparison. So far, their data are encouraging. RP
REFERENCES
1. Chakravarthy U, Hart P, Finger P. External beam radiation therapy for CNV. Ophthalmology. 1998;105:1790-1791; author reply 1791-1792.
2. Finger PT, Gelman YP, Berson AM, Szechter A. Palladium-103 plaque radiation therapy for macular degeneration: results of a 7 year study. Br J Ophthalmol. 2003;87:1497-1503.
3. Trikha R, Morse LS, Zawadzki RJ, Werner JS, Park SS. Ten-year follow-up of eyes treated with stereotactic fractionated external beam radiation for neovascular age-related macular degeneration. Retina. 2011;31:1303-1315.
4. Evans JR, Sivagnanavel V, Chong V. Radiotherapy for neovascular age-related macular degeneration. Cochrane Database Syst Rev. 2010;5:CD004004.
5. Jaakkola A, Heikkonen J, Tommila P, Laatikainen L, Immonen I. Strontium plaque brachytherapy for exudative age-related macular degeneration: three-year results of a randomized study. Ophthalmology. 2005;112:567-573.
6. Yonemoto LT, Slater JD, Friedrichsen EJ, et al. Phase I/II study of proton beam irradiation for the treatment of subfoveal choroidal neovascularization in age-related macular degeneration: treatment techniques and preliminary results. Int J Radiat Oncol Biol Phys. 1996;36:867-871.
7. Dugel PU, Bebchuk JD, Nau J, et al; CABERNET Study Group. Epimacular brachytherapy for neovascular age-related macular degeneration: a randomized, controlled trial (CABERNET). Ophthalmology. 2013;120:317-327.
8. Jackson TL, Neffendorf J, Desai R; MERLOT Study Group. 8. Jackson TL, Neffendorf J, Desai R (for the MERLOT study group). Epimacular brachytherapy for previously treated neovascular age-related macular degeneration (MERLOT): 1 year safety and efficacy outcomes. Paper presented at: Annual meeting of EURETINA; Nice, France; September 17, 2015.
9. Hanlon J. Computational Assessment of Effective Dose and Patient Specific Doses for Kilovoltage Stereotactic Radiosurgery of Wet Age-Related Macular Degeneration [dissertation]. Gainesville, FL: University of Florida; 2010.
10. Jackson TL, Chakravarthy U, Kaiser PK, et al; INTREPID Study Group. Stereotactic radiotherapy for neovascular age-related macular degeneration: 52-week safety and efficacy results of the INTREPID study. Ophthalmology. 2013;120:1893-1900.
11. Jackson TL, Shusterman EM, Arnoldussen M, Chell E, Wang K, Moshfeghi DM; INTREPID Study Group. Stereotactic radiotherapy for wet age-related macular degeneration (INTREPID): influence of baseline characteristics on clinical response. Retina. 2015;35:194-204.
12. Jackson TL, Chakravarthy U, Slakter JS, et al; INTREPID Study Group. Stereotactic radiotherapy for neovascular age-related macular degeneration: year 2 results of the INTREPID study. Ophthalmology. 2015;122:138-145.
13. Jackson TL. External beam X-ray therapy for the treatment of neovascular age-related macular degeneration: 3 year safety outcomes of the INTREPID trial. Paper presented at: Annual meeting of EURETINA; Nice, France; September 17-20, 2015.
14. Archer DB, Gardiner TA. Ionizing radiation and the retina. Curr Opin Ophthalmol. 1994;5:59-65.
15. Brand CS. Stereotactic radiotherapy (Oraya therapy) for the treatment naïve patient with neo-vascular age related macular degeneration. Paper presented at: Annual meeting of EURETINA; Nice, France; September 17-20, 2015.
16. Hatz K. Stereotactic radiotherapy for treatment of wet AMD in a treat-and-extend regime - First year outcomes. Paper presented at: Annual meeting of EURETINA; Nice, France; September 17-20, 2015.
17. Ranjbar M. Integration of Oraya therapy as a second line therapy: experience in Germany. Paper presented at: Annual meeting of EURETINA; Nice, France; September 17-20, 2015.
18. Deutsche Ophthalmologische Gesellschaft. Opinion of the Retina Society, the German Ophthalmological Society and the Professional Association of German Ophthalmologists on radiotherapy for neovascular age-related macular degeneration [German]. Available at: http://www.dog.org/wp-content/uploads/2015/09/20150924-SN-AMD-Radiotherapie.pdf. Accessed October 1, 2015.







