Comparison of UWF FA Imaging Modalities
Two models are available with more to come.
JESSICA LEE, MD • RICHARD ROSEN, MD
Advancements in ocular imaging photography have dramatically improved since Carl Zeiss introduced the first practical fundus camera in 1926, which provided a 20º field of view of the retina.1
The advent of ultrawidefield (UWF) imaging has allowed for better visualization and documentation of the dilated fundus exam, particularly improving our capabilities of evaluating the peripheral retina.2
The peripheral retina is the site of significant retinal pathology, including retinal detachments, choroidal masses, vein occlusions, and uveitis. Additionally, neovascularization of the peripheral retina in diseases such as proliferative diabetic retinopathy, retinopathy of prematurity, sickle-cell retinopathy, and familial exudative vitreoretinopathy can be a challenging entity to detect and treat.
AVAILABLE MODELS
Ultrawidefield fluorescein angiography is now widely available with a noncontact camera module on the Optos Optomap (Marlborough, MA) and the Heidelberg Spectralis (Heidelberg Engineering, Carlsbad, CA). Both systems employ scanning laser ophthalmoscopy, using the principle of confocal laser scanning microscopy to capture high-resolution images.
The Optos produces images that cover up to 200º internally (approximately 82%) of the retina at one time in the correct orientation, allowing for simultaneous views of the posterior pole and mid- and far periphery, without the need for steering (Figure 1). The Optos can deliver UWF, high-definition color photos and red-free images and FA.3
Figure 1. Degrees of view with the Optos system.
Heidelberg recently introduced a noncontact UWF angiography module for the Spectralis/Heidelberg Retina Angiograph (HRA-2). This new module requires an interchangeable noncontact lens that attaches to the camera head of both the Spectralis/Heidelberg Retina Angiograph to provide evenly illuminated and undistorted, high-contrast confocal laser scanning microscope images, even in the periphery.
Jessica Lee, MD, is a retina fellow at the New York Eye and Ear Infirmary of Mount Sinai (NYEEMS). Richard B. Rosen, MD, is vice chair, surgeon director, and director of ophthalmology research at NYEEMS. Neither author reports any financial interests in products mentioned in this article. Dr. Lee can be reached via e-mail at jlee@NYEE.EDU.
Both FA and indocyanine green angiography, separately or simultaneously, may be performed using the Heidelberg platform.4 Compared to the 200º of view with the Optos system, the Heidelberg platform provides a single nonsteered photo and can image approximately 102º of view.
While both devices provide UWF imaging of the retina, the areas of the retina imaged are considerably different. The Optos, because it can image 200º of view in one single shot, captures a significantly greater view of total area of the retina, with better visualization of the far temporal and nasal aspect of the retina compared to the Heidelberg platform.
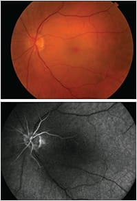
These UWF FAs, as shown, provide a much greater view of the periphery than a widefield view, which provides 55º (Figure 2).
Figure 2. Topcon fundus photo of (Top) central retinal artery occlusion and (Bottom) Heidelberg Spectralis widefield view (55º) fluorescein angiography of patient.
UWF FA also improves the detection of proliferative diabetic retinopathy, as depicted in Figures 3, 4, and 5 (pages 31 and 32).5,6
Figure 3. Ultra-widefield fluorescein angiogram of the right eye with proliferative diabetic retinopathy. Top) Heidelberg Spectralis; Middle) Optos Color photo; Bottom) Optos Fluorescein Optomap. In primary gaze, the total retinal surface imaged on a single shot is greater with the Optos Optomap compared with the Heidelberg. The extent of capillary nonperfusion temporally and nasally is better visualized with the Optos compared with the Heidelberg in primary gaze.
Figure 4. Ultrawidefield fluorescein angiogram with PDR example 2. Top) Heidelberg Spectralis primary view; Middle) Heidelberg Spectralis steered superior view; Bottom) Optos Optomap primary view.
Figure 5. Ultrawidefield fluorescein angiogram of patient with proliferative diabetic retinopathy. Top) Heidelberg Spectralis angiogram series montage created with steering; Middle) Optos Optomap Color fundus photo; Bottom) Optos Optomap fluorescein angiogram.
Despite the larger total retinal surface imaged, the Optos images are more affected by lid and lash artifacts than the Heidelberg, and they have greater variability among images. The Heidelberg platform, in contrast, with its steering capabilities, is able to image the superior and inferior retina to farther points than the Optos, with less peripheral distortion (Figures 6 and 7, pages 34 and 35).7
Figure 6. Ultrawidefield photo and fluorescein angiogram of patient with Coats disease. Left) Optos Optomap color fundus photo; Right) Optos fluorescein angiogram
Figure 7. Optos color fundus photos of (top) superior retinal detachment and after repair with scleral buckle and peripheral photocoagulation (bottom).
The Heidelberg Spectralis offers multicolor imaging, which is composed of three simultaneously acquired selective color laser images. Spectralis multicolor imaging delivers high-contrast, detailed images, even in patients who are difficult to image, including those with cataracts or nystagmus.4 This modality is not yet available for widefield or UWF imaging, but it is available for 30° imaging (Figure 8, page 35).
Figure 8. Color modality comparison of the same patient with history of laser demarcation for superior retinal detachment with the three viewing systems. Top) Heidelberg Spectralis; Middle) Topcon fundus; Bottom) Optos Optomap.
The Heidelberg noncontact UWF imaging system has TruTrack Active Eye Tracking, which allows the desired image to be obtained despite multiple blinks or saccadic eye movements. It also has a joystick component that enables the photographer to control the direction of the camera with greater ease despite poor patient fixation.
The Heidelberg platform also allows for better image quality despite media opacities. There is a bright light that is involved with the image-capturing component of the Heidelberg, however, that can be uncomfortable for some patients, for whom the Optos may be less bothersome. The Heidelberg allows images to be captured in earlier phases of angiography than the Optos, and it has a videorecording capability that can be useful to highlight early FA changes that are not capable of being videorecorded with the Optos.
CONCLUSION
In conclusion, the Optos Optomap and Heidelberg Spectralis both provide excellent UWF FA images (Table). The Optos offers UWF FA with a greater view of the peripheral retina in a single nonsteered image, while the Heidelberg offers the option of simultaneous ICGA, with videorecording capabilities and the ability to visualize the far periphery with fewer distortions; however, it requires manual steering of the camera. RP
| OPTOS OPTOMAP | HEIDELBERG SPECTRALIS | |
|---|---|---|
| Degrees of view of retina | 200º | 102º (before steering) |
| Best for ultrawidefield imaging peripheral retina | Temporally and nasally | Superiorly and inferiorly |
| Noncontact lens | Yes | Yes |
| Video capability | No | Yes |
| Autofluorescence | Yes (green) | Yes (blue) |
| Fluorescein angiography | Yes | Yes |
| ICG angiography | No | Yes |
| Infrared | No | Yes |
| Timing of images | Slight capture delay compared to Heidelberg | Best for early angiographic events |
| Color photos | Yes | Yes (only available in 30º) |
| Bright flickering light | No | Yes |
| Accommodates wheelchair-bound patients | Yes | No |
| Poor fixation compensation | Yes/No | Yes (better control of fixation with joystick maneuverability and tracking system) |
| Media opacities | Yes | Better |
| Poor dilation | Yes | Better |
REFERENCES
1. Yannuzzi LA. The Retinal Atlas. St. Louis, MO; Saunders/Elsevier; 2010.
2. Manivannan A, Plskova J, Farrow A, Mckay S, Sharp PF, Forrester JV. Ultra-wide-field fluorescein angiography of the ocular fundus. Am J Ophthalmol. 2005;140:525-527.
3. Optos. How an ultra-widefield retinal image is captured. Optos Web site. Available at: http://www.optos.com/en-us/Products/Retinal-imaging-products/Retinal-imaging-products/How-a-widefield-retinal-image-is-captured/. Accessed March 28, 2015.
4. Heidelberg Engineering. Ultra-widefield imaging. Heidelberg Engineering Web site. Available at: http://www.heidelbergengineering.com/us/products/spectralis-models/imaging-modes/ultra-widefield-imaging/. Accessed March 29, 2015.
5. Wessel MM, Aaker GD, Parlitsis G, Cho M, D’Amico DJ, Kiss S. Ultra-wide-field angiography improves the detection and classification of diabetic retinopathy. Retina. 2012;32:785-791.
6. Neubauer AS, Kernt M, Haritoglou C, Priglinger SG, Kampik A, Ulbig MW. Nonmydriatic screening for diabetic retinopathy by ultra-widefield scanning laser ophthalmoscopy (Optomap). Graefes Arch Clin Exp Ophthalmol. 2008;246:229-235.
7. Witmer MT, Parlitsis G, Patel S, Kiss S. Comparison of ultra-widefield fluorescein angiography with the Heidelberg Spectralis(®) noncontact ultra-widefield module versus the Optos(®) Optomap(®). Clin Ophthalmol. 2013;7:389-394.







