OCT-assisted Ophthalmic Surgery Outside the United States
Intraoperative OCT developments from a European perspective
GABOR B. SCHARIOTH, MD, PhD
For more then a decade, ophthalmologists have been familiar with pre- and postoperative use of optical coherence tomography to make diagnoses and to track outcomes. It was only natural that we would need to use this technology intraoperatively.
In 2007, we started using a prototype of microscope-mounted OCT (MM-OCT) during ophthalmic surgical procedures.1 The first version was a modified time-domain OCT (Visante, Carl Zeiss Meditec, Dublin, CA) and was mainly used for anterior-segment surgeries, such as phacoemulsification with intraocular lens implantation, implantation of refractive phakic IOLs, and corneal transplant surgery.
However, our main focus was the anterior-chamber angle during canaloplasty, a nonpenetrating glaucoma surgery with dilation of Schlemm’s canal and placement of a permanent tensioning suture. This allowed for intraoperative control of the effects on the inner wall of Schlemm’s canal (Figure 1). Intraoperative application has also become standard in femtolaser-assisted cataract surgery. We strongly believe that, in the future, corneal surgeries, such as Descemet membrane endothelial keratoplasty or phakic IOL, will be performed under intraoperative OCT control.
Figure 1. Intraoperative time-domain OCT of Schlemm’s canal during nonpenetrating canaloplasty; image with first prototype of a microscope-mounted TD-OCT (Visante, Carl Zeiss Meditec).
Gabor B. Scharioth, MD, PhD, is senior consultant at the Aurelios Eye Center in Recklinghausen, Germany, and visiting professor in the Department of Ophthalmology of the University of Szeged in Hungary. He reports no financial interests in products mentioned in this article. He can be reached at Gabor.Scharioth@augenzentrum.org.
MOVING TO THE BACK OF THE EYE
The next prototype included a spectral-domain OCT (Cirrus, Carl Zeiss Meditec). With this shorter wavelength, detailed imaging of the anterior-chamber angle became impossible because penetration through the limbal area was reduced. Visualization of the cornea and, even more importantly, of the retina was much improved. For the first time, real-time intraoperative OCT became available during vitreoretinal surgery.
Binder et al reported their first experience with this prototype.2 Continuous development resulted in the recently released version of this microscope-mounted OCT, the Rescan 700 (Carl Zeiss Meditec; not approved for sale in United States). This SD-OCT is a fully integrated into a high-resolution microscope without causing increased working distance or loss of brilliance of the surgeon’s view.
Furthermore, a heads-up display allows for simultaneous observation of the surgical field and OCT video. The OCT scan can be moved easily by foot switch control to the area of interest, and the heads-up display and/or OCT can be switched off by the food pedal while the surgery is progressing to other areas.
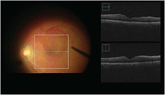
For higher resolution, the Lumera 700 (Carl Zeiss Meditec) has a Callisto touch screen that allows video and still capturing of various scan modes. The surgeon can observe still captures on a monitor. We found the adoption of this new technology very easy, with a short learning curve for the surgeon, while the assisting team in the operating room required some training. At the beginning of the surgery, the OCT can confirm the preoperative diagnosis (Figure 2) and give the surgeon an idea of the pathology.
Figure 2. Macular hole at beginning of pars plana vitrectomy; imaging with Rescan 700 (Carl Zeiss Meditec).
Our Experience
After very few surgeries, we started not only to observe the anatomy but also to adapt surgical maneuvers to intraoperative OCT findings. We were surprised by the image quality, even under air. This quality allowed for more complete fluid-air exchange during macular hole surgery (Figure 3, page 36).
Figure 3. Macular hole completely closed at end of surgery; clear image under air.
For complete intraoperative closure of macular hole, we used only air tamponade, but if the hole was incomplete, we used SF6 gas tamponade and had the patient maintain face-down positioning.
In one case with sub-ILM hemorrhage, the OCT image was completely blocked in the macula (Figure 4). After ILM peeling and aspiration of old blood, the OCT scan showed the retina layers clearly and without any intra- or subretinal fluid (Figure 5). Without any sign of macular edema, no further manipulation (laser or anti-VEGF) was indicated.
Figure 4. Sub-ILM bleeding at the beginning of PPV; note complete blocking of retinal structures behind the thick blood.
Figure 5. Same eye after ILM peeling and aspiration of blood; OCT proves absence of intra- or subretinal fluid, with almost normal foveal depression.
Other companies have also developed intraoperative OCTs. Haag Streit’s (Köniz, Switzerland) intraoperative OCT system is a microscope-mounted OCT that uses the microscope splitter for adaptation and, therefore, must follow the focus and zoom of the microscope. This system is also not approved for use in the United States. Observation of OCT images and videos is only possible on an additional screen, which must be mounted on the microscope.
The only system that is currently available in the United States is the Envisu C2300 handheld SD-OCT (Bioptigen, Durham, NC). Handling of this system is not convenient and requires interruption of the surgical manipulations. Recently, a microscope-mounted version of this OCT was presented.3
CONCLUSION
As with most new technologies, we will extend indications while becoming familiar with it. Further developments down the line include swept-source OCT and three-dimensional imaging. Intraoperative use of OCT technologies will influence surgical strategies and result in improved patient outcomes. RP
REFERENCES
1. Scharioth GB. A new look inside: Intraoperative online anterior segment OCT. Poster presented at: Annual meeting of the European Society of Cataract and Refractive Surgeons; Berlin, Germany; Sept. 13-17, 2008.
2. Binder S, Falkner-Radler CI, Hauger C, Matz H, Glittenberg C. Feasibility of intrasurgical spectral domain optical coherence tomography. Retina. 2011;31:1332-1336.
3. Tao YK, Srivastava SK, Ehlers JP. Microscope-integrated intraoperative OCT with electrically tunable focus and heads-up display for imaging ophthalmic surgical maneuvers. Biomed Opt Express. 2014;5:1877-1885.







