PEER REVIEWED
Imaging of Intraocular Tumors
Proper imaging studies can be the key to diagnosis.
CARLOS A. MEDINA, MD • ARUN D. SINGH, MD
Clinical evaluation of all suspected intraocular tumors should include a detailed history and examination. Ancillary testing is of extreme importance because the vast majority of intraocular tumors can be diagnosed based on clinical examination and ocular imaging studies.
However, imaging studies should be used by the clinician to support the clinical diagnosis, rather than to explore for one. Only rarely should the clinician have to perform a diagnostic fine needle aspiration biopsy. Alternatively, in the setting of a lesion with an unknown diagnosis but suspected to be benign, the lesion may be observed because diagnostic features may evolve over time.
FUNDUS PHOTOGRAPHY
Fundus photography and more recently ultrawidefield (UWF) imaging allow the clinician to document the size, shape, and features of lesions. UWF allows for the imaging of larger and more peripheral lesions that otherwise could not be imaged (Figure 1). This modality does not replace indirect ophthalmoscopy, because color and image size distortion remain issues. The latter prevents accurate measurement of the peripheral tumors.

Figure 1. A) Color fundus photo of a large melanocytic lesion. Note the anterior border is not visualized. Orange pigment is identified. B) Optos widefield image of the same patient. The peripappilary and temporal margins of the lesion are easily visualized. Detail is lost and orange pigmentation is not easily identified. The color of the lesion is also different within images.
Images are particularly useful for evaluating tumor growth. The relative positions of retinal blood vessels can be helpful markers of changes in basal dimensions (Figure 2). Other uses include monitoring the response to therapy and assessment for recurrence. Baseline images should be obtained from all patients with suspected intraocular tumors.

Figure 2. A) Melanocytic lesion involving the inferotemporal aspect of the macula of the right eye. Note the orange pigmentation centrally and druse inferiorly. The lesion was observed and documented using fundus photography. B) Subsequent examination reveals growth of the lesion confirming the diagnosis of choroidal melanoma.
ULTRASONOGRAPHY (A- AND B-SCAN)
Ultrasonography is among the most important imaging modalities for evaluating intraocular tumors. It also remains the test of choice for the detection of extraocular extension. Standardized A-scan ultrasonography can accurately assess tumor height, internal reflectivity, and vascularity. Serial examinations can be used to document changes in tumor size and internal characteristics. B-scan ultrasonography provides information about the relative size and general shape and position of tumors.
Carlos A. Medina, MD, is an ophthalmic oncology fellow at the Cole Eye Institute, in Cleveland, OH. Arun D. Singh, MD, is the director of the Department of Ophthalmic Oncology at the Cole Eye Institute. Neither author reports any financial interests in any products mentioned in this article. The authors wish to acknowledge the following personnel from Cole Eye Institute Photography Department for their assistance: Nikki Brugnoni, CRA; Anne Pinter, CRA; Sharon Allen; Tami Fecko; Lisa Jahn; and Michelle Bonnay. Dr. Singh can be reached via e-mail at singha@ccf.org.
Some intraocular tumors have distinctive ultrasonographic characteristics. Choroidal melanomas typically exhibit a highly reflective anterior border with strong sound attenuation (acoustic hollowness), choroidal excavation, and occasional orbital shadowing.
Low to medium internal reflectivity and a regular internal structure are usually observed. Although a mushroom shaped lesion is almost pathognomonic of choroidal melanoma, dome-shaped choroidal melanomas are more common (Figure 3).

Figure 3. A) A mushroom shaped pigmented choroidal melanoma. The intrinsic vasculature is observed within the tumor. Gravity-dependent subretinal fluid can also be observed. B) B-scan ultrasonography reveals a highly reflective anterior border with strong sound attenuation (acoustic hollowness); choroidal excavation and the absence of extraocular extension should be noted. C) A-scan ultrasonography demonstrates low to medium internal reflectivity and a regular internal structure.
Nevi, hemangioma, and melanocytoma present as dome-shaped lesions with high reflectivity and a regular structure, as well as lack of intrinsic vascularization. Metastatic lesions may have extremely variable reflectivity; therefore, ultrasonography may not be diagnostic for these lesions. These lesions are typically nonvascular (Table).
TUMOR | FUNDUS PHOTOGRAPHY | FAF | USG | ICG | OCT | MOST DIAGNOSTIC FEATURE | |||
---|---|---|---|---|---|---|---|---|---|
COLOR | DRUSEN | ORANGE PIGMENT | SRF/PRIOR LEAKAGE | USG-A SCAN | INTRINSIC VESSELS VISIBLE | FLUORESCENCE | RPE/RETINA | ||
Metastasis | Yellow | Absent | Present/Absent | Present | Medium | Absent | Hypofl | SRF/Retinal edema | Multiple/Bilateral |
Hemangioma | Orange | Present | Absent | Present/Absent | High | Absent | Hyperfl. (early)/Hypofl. (late) | Variable | ICG |
Melanoma | Variable | Present/Absent | Present | Present | Low | Present/Abnormal vessels | Variable | SRF/Retinal edema | Opthlamoscopic features and USG A-scan |
Nevus | Variable | Present | Absent | Absent | High/Medium | Present/Normal vessels | Variable | Retinal atrophy/RPE changes | Opthlamoscopic features |
FAF: Fundus autofluorescence
SRF: Subretinal fluid USG A-scan: Ultrasonographic A-scan internal reflectivity ICG: Indocyanine green angiography |
OCT: Optical coherence tomography
RPE: Retinal pigment epithelium Hypofl: Hypofluorescence Hyperfl: Hyperfluorescence |
Osteoma and sclerochoroidal calcifications exhibit very distinctive ultrasonographic characteristics (Figure 4). These include a highly reflective plaque with shadowing of the orbital tissue. Retinoblastoma can vary in shape and location (endophytic vs exophytic). High internal reflectivity and shadowing from calcification within the tumor are usually observed.

Figure 4. A) Optos fundus imaging of a patient diagnosed with idiopathic sclerochoroidal calcification. B) B-Scan ultrasonography demonstrating a highly reflective choroidal plaque with shadowing of the orbital tissue.
FLUORESCEIN ANGIOGRAPHY
The major limitation of fluorescein angiography is its inability to image the choroidal circulation in detail. FA should be used primarily to assess retinal tumors or to study retinal/retinal pigment epithelial effects of choroidal tumors. FA is also useful in differentiating simulating conditions, such as choroidal hemangioma, disciform lesions, and hemorrhagic lesions.1
Although there is no pathognomonic pattern of FA for choroidal melanoma, characteristic features include intrinsic tumor circulation (double circulation), hot spots, and late leakage (Figure 5).2 Choroidal melanoma has irregular and patchy fluorescence during the arteriovenous phase and increased staining in the later phases. The patchy hypopigmented areas correspond to orange pigmentation (lipofuscin). The hyperfluorescence increases through most of the phases of the angiogram, and there is a variable amount of late leakage.

Figure 5. A) Optos fundus imaging of a patient diagnosed with a variably pigmented choroidal melanoma in the right eye. B) Fluorescein angiography during the arteriovenous phase reveals intrinsic tumor vasculature (double circulation) that is better visualized within the central and amelanotic portion of the tumor. C) Irregular and patchy fluorescence is also observed. Note the patchy hypofluorescent areas correspond to orange pigmentation (lipofuscin) and melanin pigment.
Absence of late diffuse leakage within the choroidal tumor goes against the diagnosis of choroidal melanoma.1 The intrinsic vascular pattern (double circulation) of choroidal hemangioma is best observed with indocyanine green angiography.
INDOCYANINE GREEN ANGIOGRAPHY
Unlike FA, ICG allows for visualization of the tumor through overlying hemorrhage, as well as better visualization of the tumor vasculature than FA. Furthermore, certain tumors have characteristic ICG angiographic patterns.
Pigmented choroidal melanomas block ICG fluorescence because the near-infrared light is absorbed by the melanin. Therefore, ICG cannot distinguish melanomas from other pigmented lesions, such as nevi or metastatic melanoma. Intrinsic tumor vasculature is sometimes observed and is useful in differentiating amelanotic melanoma from choroidal metastasis (Figure 6).3

Figure 6. A) Fundus photograph of amelanotic melanoma. B) ICG angiography demonstrates intrinsic vasculature (double circulation).
On average, pigmented choroidal melanomas achieve maximal fluorescence 18 minutes after injection of the dye, while nonpigmented choroidal melanomas show an earlier onset of fluorescence.4 The pattern of fluorescence may be heterogeneous and can vary, depending on the extent of tumor pigmentation.
Choroidal metastatic lesions also show differing patterns, depending on vascularity, pigmentation, and the nature of the primary tumor. However, they most commonly have a homogenous and diffuse fluorescence with late isofluorescence.
ICG is most useful in the diagnosis of a circumscribed choroidal hemangioma. Marked progressive hyperfluorescence, wherein small caliber vessels are observed initially and later completely obscure the choroidal pattern, followed by clearing of the dye with a “washout” phenomenon, is usually seen. Maximal fluorescence is usually observed within one to five minutes of dye injection (Figure 7).

Figure 7. A) Optos fundus imaging of a patient diagnosed with a circumscribed choroidal hemangioma. B) Progressive hyperfluorescence of small caliber vessels is observed initially. C) Later phase where hyperfluorescence completely obscures the choroidal pattern.
FUNDUS AUTOFLUORESCENCE
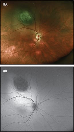
Fundus autofluorescence (FAF) photography relies on the stimulated emission of light from naturally occurring fluorophores mainly from the RPE and Bruch’s membrane and fluorescent molecules, such as lipofuscin. Because lipofuscin (orange pigment) is a risk factor for tumor growth, FAF photography may be helpful in evaluating small melanocytic tumors, in which lipofuscin is not observed clinically. Evidence of prior subretinal fluid or leakage from a small melanocytic lesion may be observed as well (Figure 8).

Figure 8. A) Optos fundus imaging of a patient diagnosed with a pigmented choroidal melanoma in the right eye. Gravity dependant subretinal fluid is observed extending from the lesion to the fovea and optic nerve. B) Widefield fundus autofluorescence shows hyper autofluorescence within the area of subretinal fluid. Small speckled areas of hyperfluorescence within the pigmented lesion correspond to areas of lipofuscin deposits (orange pigment).
Patterns of FAF have been described as patchy or diffuse in choroidal melanoma and patchy in choroidal nevi. The patchy pattern has been defined as the presence of distinct areas of increased FAF between areas of normal autofluorescence.
The diffuse pattern is characterized by the presence of increased FAF with indistinct borders over a larger part (>50%) of the tumor in the absence of such intervening areas.5 Following treatment, choroidal melanoma may show increased FAF, mainly due to increased amount of lipofuscin and hyperpigmentation.6
OPTICAL COHERENCE TOMOGRAPHY
Anterior-segment OCT (AS-OCT), spectral domain OCT, and enhanced depth imaging OCT (EDI-OCT) have all been described as helpful in the diagnosis, treatment planning, and monitoring of response.7
Visualization of the deeper layers of the choroid and sclera is limited by light scattering from pigmented tissue — in this case, the RPE and choroid. OCT is a helpful tool for identifying signs that may help differentiate choroidal indeterminate melanocytic lesions.
Choriocapillaris thinning overlying the nevus, RPE atrophy, RPE loss, RPE nodularity, photoreceptor loss, inner segment-outer segment (IS-OS) junction irregularity, IS-OS loss, external limiting membrane irregularity, outer nuclear and outer plexiform layer irregularity, inner nuclear layer irregularity, and subretinal fluid have all been described in the imaging of choroidal nevi.8 EDI-OCT may also allow for more precise measurements of nevus thickness and judgment of related effects on the surrounding structures (Figure 9).

Figure 9. A) Color fundus photograph of an indeterminate melanocytic nevus. Note the nevus appears flat and contains large drusen. B) EDI-OCT of the nevus shows choriocapillaris thinning overlying the nevus, RPE nodularity, and absence of subretinal fluid. In this caseEDI-OCT also allowed for more precise measurements of the lesion (compared to ultrasonography).
Small choroidal melanomas (<2.5 mm) and even larger amelanotic melanomas may be imaged using EDI-OCT. Choroidal shadowing and choriocapillaris thinning are usually observed. Compared with similar-sized choroidal nevi, statistically significant EDI-OCT features include intraretinal edema, loss of photoreceptors, loss of the external limiting membrane, loss of IS-OS junction, irregularity of inner plexiform layer, and irregularity of the ganglion cell layer. Elongated photoreceptors are found overlying approximately half of all small choroidal melanoma cases, but they are not observed overlying choroidal nevi.9
CONCLUSION
Although recent technology has tremendously improved imaging modalities, a thorough clinical evaluation of all suspected intraocular tumors is necessary to ascertain a diagnosis. Once a diagnosis is suspected, the clinician should select appropriate imaging modalities to document important characteristics observed on examination and to confirm the diagnosis. Ultrasonography and fundus photography continue to be the most important imaging modalities for most posterior pole lesions. RP
REFERENCES
1. Char DH, Stone RD, Irvine AR, et al. Diagnostic modalities in choroidal melanoma. Am J Ophthalmol. 1980;89:223-230.
2. Bakri SJ, Sculley L, Singh AD. Diagnostic techniques In: Singh AD, ed. Clinical Ophthalmic Oncology. 1st ed. Edinburgh, United Kingdom; Elsevier-Saunders; 2007:175-180.
3. Guyer DR, Yannuzzi LA, Krupsky S, et al. Digital indocyanine-green videoangiography of intraocular tumors. Semin Ophthalmol. 1993;8:224-229.
4. Shields CL, Shields JA, De Potter P. Patterns of indocyanine green videoangiography of choroidal tumours. Br J Ophthalmol. 1995;79:237-245.
5. Gunduz K, Pulido JS, Ezzat K, Salomao D, Hann C. Review of fundus autofluorescence in choroidal melanocytic lesions. Eye (Lond). 2009;23:497-503.
6. Amselem L, Pulido JS, Gunduz K, et al. Changes in fundus autofluorescence of choroidal melanomas following treatment. Eye (Lond). 2009;23:428-434.
7. Medina CA, Plesec T, Singh AD. Optical coherence tomography imaging of ocular and periocular tumours. Br J Ophthalmol. 2014;98(Suppl 2):40-46.
8. Shah SU, Kaliki S, Shields CL, Ferenczy SR, Harmon SA, Shields JA. Enhanced depth imaging optical coherence tomography of choroidal nevus in 104 cases. Ophthalmology. 2012;119:1066-1072.
9. Shields CL, Kaliki S, Rojanaporn D, Ferenczy SR, Shields JA. Enhanced depth imaging optical coherence tomography of small choroidal melanoma: comparison with choroidal nevus. Arch Ophthalmol. 2012;130:850-856.