PEER REVIEWED
Switching Anti-VEGF Agents In Eyes With Treatment-resistant Neovascular AMD
Determining when a change is warranted
ROBERTO GALLEGO-PINAZO, MD, PhD • ROSA DOLZ-MARCO, MD, PhD • SARAH MREJEN, MD • K. BAILEY FREUND, MD
The advent of intravitreal aflibercept (Eylea, Regeneron, Tarrytown, NY) for the management of neovascular age-related macular degeneration has quickly led to several publications on a new topic: switching of anti-VEGF agents in treatment-resistant eyes.
This new therapeutic strategy has emerged from clinical practice, yet no clear guidelines have been developed. We propose a rationale for when and how we might consider switching anti-VEGF agents in cases of treatment-resistant neovascular AMD.
WHEN TO CONSIDER AN EYE ‘TREATMENT-RESISTANT’
The efficacy of anti-VEGF therapies for the management of neovascular AMD cases is widely known to be high in terms of both decreasing exudative signs and also stabilizing and even improving visual acuity.1-2 However, we may find cases with no functional or visual response or with only minimal anatomical response.3-12
An initial step should be to ensure that what we are treating is, in fact, neovascular AMD. Some apparent nonresponders relate to a misinterpretation of the anatomical changes seen on OCT. The most frequent challenges we face are acquired vitelliform lesions,13 central serous choroidopathy,14-15 or outer retinal tubulations16 (Figure 1, page 28).
Figure 1. Illustrative examples of cases called nonresponders to anti-VEGF therapy. Case A shows a typical acquired vitelliform lesion (AVL) with vitelliform material included in the shell provided by the ellipsoid zones of the photoreceptors over the inner boundary and with the continuous layer of the RPE over the outer boundary. Case B shows subretinal fluid in a patient with a thick choroid and no evidence of neovascular tissue, looking very much like central serous choroidopathy. Case C shows neovascular AMD with mixed type 1 and 2 CNV, referred as “refractory subretinal fluid,” whereas the OCT evidenced outer retinal tubulations but no subretinal fluid or any exudative signs.
Roberto Gallego-Pinazo, MD, and Rosa Dolz-Marco, MD, practice in the Unit of Macula, Department of Ophthalmology, University and Polytechnic Hospital La Fe in Valencia, Spain. Sarah Mrejen, MD, is a retinal research fellow at Manhattan Eye, Ear and Throat Hospital, New York University Bellevue Hospital, and Vitreous Retina Macula Consultants of New York. K. Bailey Freund, MD, practices with Vitreous Retina Macula Consultants of New York. Dr. Gallego-Pinazo reports financial interests in Bayer and Novartis. Dr. Freund reports financial interests in Regeneron and Genentech. The other authors report no financial interests in any products mentioned. Dr. Gallego-Pinazo’s e-mail is robertogallegopinazo@gmail.com.
Fluid in these entities is not related to active neovascularization, so repeated injections are unlikely to achieve an additional functional and/or anatomical response.
Once we exclude other possible causes of fluid, we can then evaluate the real response to the injected anti-VEGF agent and ask several questions that can help guide future treatment.
DETERMINING THE APPROPRIATE ANTI-VEGF DOSING INTERVAL
The commonly used dosing regimen for the available anti-VEGF agents is that prescribed on the FDA-approved label or used in large, randomized clinical trials. For the off-label use of bevacizumab (Avastin, Genentech, South San Francisco, CA)17 and ranibizumab (Lucentis, Genentech), this is typically monthly dosing (or every four weeks).1-2 For aflibercept, the approved dosing is every eight weeks (after the three consecutive monthly — or every four weeks — initial loading doses).18
However, given that continuous treatment on a fixed regimen is associated with a significant economic and social burden for patients and their caregivers, two more additional dosing strategies, PRN and treat and extend, have become popular alternatives.19-22
In such cases, the follow-up interval may vary according to visual and anatomical results. Uncertainty still exists as to whether these alternative dosing regimens achieve comparable visual outcomes as the fixed regimens.
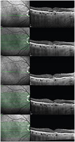
So consider using OCT to evaluate possibly treatment-resistant eyes at visits between injections (one to three weeks) to distinguish between a true nonresponder and one who is responding inadequately. If at this shorter interval we observe resolution of the exudative changes on OCT, we might consider shortening the retreatment interval, rather than switching agents (Figure 2).
Figure 2. How can we differentiate between persistent fluid and a treatment interval that is too late? This sequence of OCT scans provides evidence beyond the appearance of type 1 CNV, with subretinal fluid after three monthly injections of ranibizumab (OCT scan at top). The patient was reinjected, and a follow-up visit was scheduled eight weeks later, observing the presence of subretinal fluid (second OCT scan). After a subsequent intravitreal injection of ranibizumab and a follow-up visit six weeks later, subretinal fluid was also noted (third OCT scan). Thus, another intravitreal injection of ranibizumab was performed, and a new visit was scheduled two weeks later, with complete resolution of subretinal fluid seen (fourth OCT scan). This complete resolution was also seen four weeks after the intravitreal injection (fifth OCT scan), so we considered the correct retreatment interval to be four weeks. This was not a case of nonresponding neovascular AMD; rather, the retreatment schedule had not been properly individualized for this particular case.
If we instead identify persistent exudative signs on OCT, we might consider switching the anti-VEGF agent and monitoring the anatomical response to the new treatment, perhaps also with a shorter treatment interval (Figure 3).
Figure 3. This sequence of OCT scans shows the evolution of type 1 CNV with subretinal fluid and CME at baseline (OCT scan at top). Four weeks after the last of three monthly injections of ranibizumab, increasing CME was seen (second OCT scan). The patient was switched to aflibercept, and a short follow-up visit was scheduled in two weeks, at which optimal resolution of CME was observed, with recurrence of subretinal fluid (third OCT scan). However, four weeks after the first intravitreal injection of aflibercept, complete resolution of the exudative changes was noted (fourth OCT scan). Two more monthly injections of aflibercept were performed with optimal response (fifth CT scan). Further extension of the retreatment interval, according to a treat-and-extend regimen, was successful, with no evidence of recurrent fluid at six weeks (sixth OCT scan) or eight weeks (seventh OCT scan).
DETECTING DISSOCIATION BETWEEN ANATOMIC AND FUNCTIONAL RESPONSES
After a number of injections, we may find that visual acuity has not improved or has even worsened. Is this a therapeutic failure? Ask, instead, whether the poor visual outcome is truly due to persistent neovascular exudation or irreversible damage to the outer retinal architecture.
If we see an excellent anatomic response in terms of a “dry” macula but the vision is unchanged or worsened, we may be dealing with subretinal fibrosis, an RPE tear, or a type 2 lesion (CNV located above the RPE in the subretinal space) with disruption of the outer retinal layers (Figure 4).
Figure 4. We may find neovascular AMD cases with an excellent anatomical response but with no visual improvement. In such cases, we evaluate imaging for the presence of severe distortion of the outer retinal layers. Scan A shows severe preretinal, subretinal, and sub-RPE fibrosis with no chance to improve vision, although complete resolution of exudation is seen. Scan B shows an RPE tear with vision loss following treatment. Scan C shows type 2 CNV with disruption of the outer retinal layers and severe visual impairment, despite complete resolution of exudative signs seen. None of these cases is an indication for switching the anti-VEGF agent because no possible visual improvement could be achieved.
In these situations, a more frequent dosing regimen or a switch to an alternative anti-VEGF agent is unlikely to result in improved visual function.
CASES SHOWING PCV
The presence of polypoidal choroidal vasculopathy (PCV) is typically associated with type 1 neovascularization (CNV located under the RPE). These lesions often show a higher rate of anti-VEGF monotherapy resistance.
Be particularly aware of PCV in cases of large fibrovascular RPE detachments and serosanguinous pigment epithelial detachments. Heavy intraretinal lipid deposition is sometimes a clue to the presence of PCV. Indocyanine green angiography often helps to identify the presence and location of PCV.
Switching anti-VEGF agents occasionally helps in these eyes, but combination therapy using an anti-VEGF agent in conjunction with verteporfin photodynamic therapy (Visudyne, Valeant Pharmaceuticals, Laval, Quebec) may be a more suitable alternative for these cases.23
SWITCHING TO ALTERNATIVE ANTI-VEGF AGENTS IN INCOMPLETE RESPONSE TO TREATMENT
After confirming the diagnosis of neovascular AMD and the potential for visual improvement based on the OCT finding of preserved outer retinal architecture, you may consider switching the patient to an alternative anti-VEGF agent.
A number of recent reports have shown that a switch to intravitreal aflibercept in these situations may lead to an anatomic improvement, with some eyes realizing a modest visual improvement. However, these have been mostly small studies with limited follow-up.
It remains unclear to what degree these short-term results are due to tachyphylaxis to the prior therapy and whether eyes switched to aflibercept may ultimately develop tachyphylaxis to this agent and benefit from a switch to an alternative agent following the initial switch.
In our practices, when following the recommendations described previously, we have observed a number of eyes that seem to have had long-term visual and anatomic benefits following a switch to an alternative anti-VEGF agent. Ultimately, experience and good clinical judgment will help the physician choose the best cases in which to try switching agents. RP
REFERENCES
1. Rosenfeld PJ, Brown DM, Heier JS, et al; MARINA Study Group. Ranibizumab for neovascular age-related macular degeneration. N Engl J Med. 2006;355:1419-1431.
2. Brown DM, Kaiser PK, Michels M, et al; ANCHOR Study Group. Ranibizumab versus verteporfin for neovascular age-related macular degeneration. N Engl J Med. 2006;355:1432-1444.
3. Stepien KE, Rosenfeld PJ, Puliafito CA, et al. Comparison of intravitreal bevacizumab followed by ranibizumab for the treatment of neovascular age-related macular degeneration. Retina. 2009;29:1067-1073.
4. Kent JS, Iordanous Y, Mao A, Powell AM, Kent SS, Sheidow TG. Comparison of outcomes after switching treatment from intravitreal bevacizumab to ranibizumab in neovascular age-related macular degeneration. Can J Ophthalmol. 2012;47:159-164.
5. Kumar N, Marsiglia M, Mrejen S, et al. Visual and anatomical outcomes of intravitreal aflibercept in eyes with persistent subfoveal fluid despite previous treatments with ranibizumab in patients with neovascular age-related macular degeneration. Retina. 2013;33:1605-1612.
6. Patel KH, Chow CC, Rathod R, et al. Rapid response of retinal pigment epithelial detachments to intravitreal aflibercept in neovascular age-related macular degeneration refractory to bevacizumab and ranibizumab. Eye (Lond). 2013;27:663-667.
7. Ho VY, Yeh S, Olsen TW, et al. Short-term outcomes of aflibercept for neovascular age-related macular degeneration in eyes previously treated with other vascular endothelial growth factor inhibitors. Am J Ophthalmol. 2013;156:23-28.e2.
8. Yonekawa Y, Andreoli C, Miller JB, et al. Conversion to aflibercept for chronic refractory or recurrent neovascular age-related macular degeneration. Am J Ophthalmol. 2013;156:29-35.e2.
9. Bakall B, Folk JC, Boldt HC, et al. Aflibercept therapy for exudative age-related macular degeneration resistant to bevacizumab and ranibizumab. Am J Ophthalmol. 2013;156:15-22.e1.
10. Cho H, Shah CP, Weber M, Heier JS. Aflibercept for exudative AMD with persistent fluid on ranibizumab and/or bevacizumab. Br J Ophthalmol. 2013;97:1032-1035.
11. Freund KB, Mrejen S, Gallego-Pinazo R. An update on the pharmacotherapy of neovascular age-related macular degeneration. Expert Opin Pharmacother. 2013;14:1017-1028.
12. Wykoff CC, Brown DM, Maldonado ME, Croft DE. Aflibercept treatment for patients with exudative age-related macular degeneration who were incomplete responders to multiple ranibizumab injections (TURF trial). Br J Ophthalmol. 2014 Feb 11. [Epub ahead of print]
13. Freund KB, Laud K, Lima LH, Spaide RF, Zweifel S, Yannuzzi LA. Acquired Vitelliform Lesions: correlation of clinical findings and multiple imaging analyses. Retina. 2011;31:13-25.
14. Fung AT, Yannuzzi LA, Freund KB. Type 1 (sub-retinal pigment epithelial) neovascularization in central serous chorioretinopathy masquerading as neovascular age-related macular degeneration. Retina. 2012;32:1829-1837.
15. Warrow DJ, Hoang QV, Freund KB. Pachychoroid pigment epitheliopathy. Retina. 2013;33:1659-1672.
16. Zweifel SA, Engelbert M, Laud K, Margolis R, Spaide RF, Freund KB. Outer retinal tubulation: a novel optical coherence tomography finding. Arch Ophthalmol. 2009;127:1596-1602.
17. Avery RL, Pieramici DJ, Rabena MD, Castellarin AA, Nasir MA, Giust MJ. Intravitreal bevacizumab (Avastin) for neovascular age-related macular degeneration. Ophthalmology. 2006;113:363-372.e55.
18. Heier JS, Brown DM, Chong V, et al; VIEW 1 and VIEW 2 Study Groups. Intravitreal aflibercept (VEGF trap-eye) in wet age-related macular degeneration. Ophthalmology. 2012;119:2537-2548.
19. Fung AE, Lalwani GA, Rosenfeld PJ, et al. An optical coherence tomography-guided, variable dosing regimen with intravitreal ranibizumab (Lucentis) for neovascular age-related macular degeneration. Am J Ophthalmol. 2007;143:566-583.
20. Holz FG, Amoaku W, Donate J; SUSTAIN Study Group. Safety and efficacy of a flexible dosing regimen of ranibizumab in neovascular age-related macular degeneration: the SUSTAIN study. Ophthalmology. 2011;118:663-671.
21. Lalwani GA, Rosenfeld PJ, Fung AE, et al. A variable-dosing regimen with intravitreal ranibizumab for neovascular age-related macular degeneration: year 2 of the PrONTO Study. Am J Ophthalmol. 2009;148:43-58.e1.
22. Engelbert M, Zweifel SA, Freund KB. “Treat and extend” dosing of intravitreal antivascular endothelial growth factor therapy for type 3 neovascularization/retinal angiomatous proliferation. Retina. 2009;29:1424-1431.
23. Sato T, Kishi S, Matsumoto H, Mukai R. Comparisons of outcomes with different intervals between adjunctive ranibizumab and photodynamic therapy for polypoidal choroidal vasculopathy. Am J Ophthalmol. 2013;156:95-105.e1.







