Endophthalmitis Following Intravitreal Injection of Anti-VEGF Agents
Although rare, infection remains a concern.
STEPHEN G. SCHWARTZ, MD, MBA • HARRY W. FLYNN, JR., MD • INGRID U. SCOTT, MD, MPH
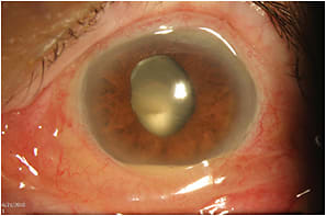
The marked increase in the use of anti-VEGF agents for posterior-segment diseases has resulted in a corresponding increase in intravitreal injections over the past decade.1 Perhaps the most serious complication following intravitreal injections is infectious endophthalmitis, which can lead to severe visual loss, even with prompt and appropriate therapy (Figure 1, page 54).2
Figure 1. Anterior-segment photograph, left eye, of a patient who developed endophthalmitis following an intravitreal ranibizumab injection. The cultures isolated coagulase-negative Staphylococci.
Endophthalmitis following intravitreal anti-VEGF injection has several characteristics distinct from other categories of endophthalmitis. Compared to endophthalmitis following cataract surgery, endophthalmitis following intravitreal injection generally presents earlier, is more likely caused by Streptococcus species, and has generally poorer visual outcomes.3
VARYING RATES REPORTED
Multiple large series have reported the per-injection endophthalmitis risk to be 0.03% or less (Table 1).4-11 Similarly, a population-based study estimated a per-injection endophthalmitis risk of 0.025%.12
| SERIES | CASES | INJECTIONS | RATE |
|---|---|---|---|
| Rasmussen et al5 | 2 | 7584 | 0.026% |
| Gillies et al 6 | 2 | 9162 | 0.022% |
| Englander et al7 | 3 | 10,208 | 0.029% |
| Moshfeghi et al 8 | 12 | 60,322 | 0.020% |
| Fineman et al 10** | 3 | 10,164 | 0.030% |
| Shimada et al 27*** | 0 | 15,144 | 0% |
| Falavarjani et al 29 | 6 | 5901 | 0.010% |
| Storey et al 42 | 44 | 117,171 | 0.038% |
| Brynskov et al 34a | 0 | 20,293 | 0% |
| * Rates per patient over multiple years may be substantially higher
** No eyelid speculum used *** Facemasks used |
|||
However, a review of the CMS claims database reported a per-injection endophthalmitis rate of 0.09%, suggesting that the true incidence may be higher than the rates reported in clinical series.13
Stephen G. Schwartz, MD, MBA, and Harry W. Flynn, Jr., MD, practice at the Bascom Palmer Eye Institute of the University of Miami Medical Center in Florida. Ingrid U. Scott, MD, MPH, is professor of ophthalmology and public health sciences at Pennsylvania State University College of Medicine. Dr. Schwartz reports financial interest in Genentech as a lecturer. The other authors report no financial interests in any products mentioned in this article. Dr. Schwartz’s e-mail is sschwartz2@med.miami.edu.
Most patients undergoing anti-VEGF therapy receive a series of injections over months or years. Rates of endophthalmitis per injection, therefore, will necessarily be lower than the cumulative rates of endophthalmitis per treated eye over the course of therapy.
The prospective CATT study reported per-patient endophthalmitis rates of 0.7% with ranibizumab (Lucentis, Genentech, South San Francisco, CA) and 1.2% with bevacizumab (Avastin, Genentech) over two years; this difference was not statistically significant.14
The prospective Randomised Controlled Trial of Alternative Treatments to Inhibit VEGF in Age-Related Choroidal Neovascularization (IVAN), did not specifically report endophthalmitis but reported “severe uveitis” in one of 610 patients at one year (0.16%).15
COMPOUNDING THE PROBLEM
Ophthalmologists use intravitreal bevacizumab off-label, and compounding pharmacies generally prepare the intravitreal doses, incurring additional risks of endophthalmitis (Table 2).
| SERIES | MEDICATIONS | CASES | ORGANISMS |
|---|---|---|---|
| Sheyman et al 14 | Bevacizumab plus triamcinolone | 8 | Bipolaris hawaiiensis |
| Goldberg et al 15 | Bevacizumab | 12 | Streptococcus mitis/oralis |
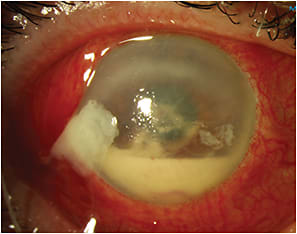
A series of eight patients treated with a combination of compounded bevacizumab and triamcinolone acetonide developed fungal endophthalmitis with Bipolaris hawaiiensis.16 A series of 12 eyes treated with intravitreal bevacizumab developed endophthalmitis with a common strain of Streptococcus mitis/oralis, with generally poor outcomes (Figure 2, page 56).17
Figure 2. Anterior-segment photograph, right eye, of a patient who developed endophthalmitis following an intravitreal bevacizumab injection that was contaminated with Streptococcus mitis/oralis.
Noninfectious intraocular inflammation may also follow intravitreal injections, and this condition may be very difficult to distinguish from infectious endophthalmitis. One series reported culture-negative endophthalmitis in 14 consecutive patients treated with a single batch of bevacizumab.18
Another series reported that six of eight patients treated with bevacizumab from the same vial developed culture-negative inflammation.19 A third series reported culture-negative endophthalmitis in four of 15 eyes treated with one batch of bevacizumab and seven of 18 eyes from a second batch.20
Eighty patients of 116 injected from three vials of counterfeit bevacizumab developed culture-negative endophthalmitis.21 In a review of 1,584 injections, severe intraocular inflammation was 12 times more common after treatment with bevacizumab than after treatment with ranibizumab.22
Cunningham et al reported sequential noninfectious endophthalmitis in one patient following treatment with bevacizumab and then following treatment with ranibizumab.23
RISK REDUCTION
Multiple strategies have emerged to reduce the risk of endophthalmitis after anti-VEGF injections. It is not currently possible to eliminate the risk of postinjection endophthalmitis, which should not be considered a “never event.”24
However, we can minimize the risk by applying established guidelines for injection. Traditionally, the use of an eyelid speculum was recommended, but a recent review of 10,164 consecutive injections performed without an eyelid speculum, using an assistant’s fingers to retract the lids manually, reported only three cases of endophthalmitis (0.030%).8
Oral Flora and Facemasks
Oral flora appear to represent a relatively greater risk factor for endophthalmitis following intravitreal injection than other categories of endophthalmitis. In a series of 88 cases of postsurgical endophthalmitis and 21 cases of postinjection endophthalmitis, the study authors isolated Streptococcus viridans in a nonsignificantly higher proportion of postinjection patients (14.3% vs 4.5%).25
A meta-analysis of 52 endophthalmitis cases out of 105,536 injections (0.049%) reported that Streptococcus isolates comprised 30.8% of culture-positive cases, which was significantly greater than the proportion of Streptococcus isolates reported in multiple published series of postsurgical endophthalmitis.26
The relatively more important role of oral flora, including Streptococcal species, in endophthalmitis following intravitreal anti-VEGF injections raises the question of whether facemasks may be helpful in reducing the incidence of infection. Although some physicians use facemasks, no randomized clinical trials have evaluated their use.
In two small prospective trials using simulated intravitreal injections, bacterial dispersal significantly decreased with the wearing of a facemask or by not speaking.27,28 Notably, one series of 15,144 injections performed using facemasks reported zero cases of endophthalmitis.9
Antibiotic Prophylaxis
In the early years of anti-VEGF injections, physicians commonly employed pre- or postinjection topical antibiotics, but this practice has declined in recent years. Several groups have reported that antibiotic use does not reduce rates of endophthalmitis and may actually increase the endophthalmitis risk.
In a series of 5,901 treated eyes, 68% were treated with antibiotics, and six endophthalmitis cases (0.10%) emerged, all in antibiotic-treated eyes.10 In a series of 15,895 anti-VEGF and triamcinolone injections, the authors reported higher rates of endophthalmitis in antibiotic-treated patients.29
The Diabetic Retinopathy Clinical Research Network reported 8,027 intravitreal injections with a nonsignificantly higher incidence of endophthalmitis with the use of topical antibiotics.30 A recent series of 117,171 injections reported a nonsignificantly higher rate of endophthalmitis in antibiotic-treated eyes.11
The Emergence of Resistance?
If antibiotics do increase the risk of endophthalmitis following intravitreal anti-VEGF injections, then the explanation for this increase is unknown. Repeated use of topical antibiotics following repeated intravitreal injections may alter the conjunctival flora.
In a prospective nonrandomized study, the authors treated 84 patients with topical moxifloxacin (Vigamox, Alcon, Fort Worth, TX) after monthly injections and 94 patients were not treated with antibiotics; the treated patients showed statistically significant increases in minimal inhibitory concentrations of ocular surface flora, indicating increased resistance to moxifloxacin and ceftazidime (Fortaz, GlaxoSmithKline, Brentford, United Kingdom).31
Alternatively, another prospective study of 104 patients reported that repeated exposure to topical fluoroquinolones did not alter baseline fluoroquinolone resistance in conjunctival and nasal flora. 32
A prospective series of 13 patients reported that repeated use of topical povidone-iodine 5% alone, without postinjection topical antibiotics, did not alter the conjunctival flora or promote bacterial resistance.33
Notably, a prospective study of 131 eyes reported that topical povidone-iodine 5% did not cause a statistically significant reduction in the number of conjunctival bacterial colony-forming units after 15 seconds of exposure, but it did cause a statistically significant reduction after 30 seconds of exposure.34
A Change of Venue?
Several investigators have studied the use of an operating room, rather than a clinic, for injections. One series of 12,249 injections reported a significantly lower endophthalmitis rate when the injections were performed in an operating room.35 Similarly, a second series of 20,293 anti-VEGF injections performed in an operating room reported zero infections.36 In contrast, a third series of 11,710 injections reported a nonsignificantly higher endophthalmitis rate in the operating room than in the clinic.37
Following some intravitreal injections, a small amount of liquid may reflux back under the conjunctiva, creating a temporary bleb. It is unknown whether the fluid in this bleb represents medication or vitreous, but one study reported that vitreous reflux was a risk factor for endophthalmitis.38 An animal study using radiolabelled anti-VEGF agents demonstrated that the refluxed material was most likely medication and not vitreous.39
RECOMMENDATIONS
At this time, no consensus exists regarding the preferred management of endophthalmitis following intravitreal anti-VEGF injections. The Endophthalmitis Vitrectomy Study did not enroll patients with postinjection endophthalmitis, and its findings cannot be directly applied to these patients.
In a series of 23 patients with endophthalmitis following intravitreal anti-VEGF injection, vitreous tap and inject was associated with more favorable treatment outcomes than pars plana vitrectomy.40
Strategies to Reduce the Risk Of PostInjection Endophthalmitis
• Povidone-iodine preparation of conjunctiva and eyelid margins
• Eyelid speculum
• Avoidance of needle contact with eyelid margins or eyelashes
• Avoidance of routine topical antibiotics
• Facemask or reduced talking during procedures (controversial)
Given this information, certain recommendations become evident (Box, page 55). Retina specialists should continue to inform their patients that endophthalmitis remains a serious, and potentially vision-threatening, risk following intravitreal anti-VEGF injections.
The per-injection endophthalmitis risk, based on multiple retrospective and prospective studies, appears to be in the range of 0.03%, or 1:3,000.
Facemasks may be beneficial, although discouraging talking may be similarly helpful. Although facemasks pose limited additional cost and essentially no additional risks, consensus is lacking regarding their use, and they should not be considered standard practice at this time.41
In contrast, it is becoming increasingly apparent that topical antibiotics do not reduce the rate of endophthalmitis following intravitreal anti-VEGF agents and that antisepsis, rather than topical antibiotics, is preferable.42-44
Traditionally, the use of an eyelid speculum was recommended. A recent large series reporting no apparent increase in the rate of endophthalmitis without the use of an eyelid speculum8 is intriguing and merits further study. However, at this time we continue to use speculums.
Bevacizumab, generally prepared by a compounding pharmacy, is associated with additional risks. A root-cause analysis has suggested using a single vial of bevacizumab for each eye, which substantially increases costs, or strictly adhering to US Pharmacopeia Chapter 797 requirements to use one vial for multiple injections,45 which may not be practical outside the United States.46
CONCLUSION
By following evidence-based guidelines, the rate of endophthalmitis following intravitreal anti-VEGF injections may be reduced, but not eliminated. Despite precautions, some patients will still develop endophthalmitis, which may progress to severe visual loss despite prompt and appropriate therapy. RP
REFERENCES
1. Ramulu PY, Do DV, Corcoran KJ, Corcoran SL, Robin AL. Use of retinal procedures in Medicare beneficiaries from 1997 to 2007. Arch Ophthalmol. 2010;128:1335-1340.
2. Schwartz SG, Flynn HW Jr. Endophthalmitis associated with intravitreal anti-vascular endothelial growth factor injections. Curr Ophthalmol Rep. 2014;2:1-5.
3. Simunovic MP, Rush RB, Hunyor AP, Chang AA. Endophthalmitis following intravitreal injection versus endophthalmitis following cataract surgery: clinical features, causative organisms and post-treatment outcomes. Br J Ophthalmol. 2012;96:862-866.
4. Rasmussen A, Bloch SB, Fuchs J, et al. A 4-year longitudinal study of 555 patients treated with ranibizumab for neovascular age-related macular degeneration. Ophthalmology. 2013 Jul 3. [Epub ahead of print]
5. Gillies MC, Walton R, Simpson JM, et al. Prospective audit of exudative age-related macular degeneration: 12-month outcomes in treatment-naïve eyes. Invest Ophthalmol Vis Sci. 2013 Jul 2. [Epub ahead of print]
6. Englander M, Chen TC, Paschalis EI, Miller JW, Kim IK. Intravitreal injections at the Massachusetts Eye and Ear Infirmary: analysis of treatment indications and postinjection endophthalmitis rates. Br J Ophthalmol. 2013;97:460-465.
7. Moshfeghi AA, Rosenfeld PJ, Flynn HW Jr, et al. Endophthalmitis after intravitreal vascular [corrected] endothelial growth factor antagonists: a six-year experience at a university referral center. Retina. 2011;31:662-668.
8. Fineman HS, Hsu J, Spirn MJ, Kaiser RS. Bimanual assisted eyelid retraction technique for intravitreal injections. Retina. 2013 Apr 19. [Epub ahead of print]
9. Shimada H, Hattori T, Mori R, et al. Minimizing the endophthalmitis rate following intravitreal injections using 0.25% povidone-iodine irrigation and surgical mask. Graefes Arch Clin Exp Ophthalmol. 2013 Feb 7. [Epub ahead of print]
10. Falavarjani KG, Modarres M, Hashemi M, et al. Incidence of acute endophthalmitis after intravitreal bevacizumab injection in a single clinical center. Retina. 2013;33:971-974.
11. Storey P, Dollin M, Pitcher J, et al. The role of topical antibiotic prophylaxis to prevent endophthalmitis after intravitreal injection. Ophthalmology. 2014;121:283-289.
12. Lyall DA, Tey A, Foot B, et al. Post-intravitreal anti-VEGF endophthalmitis in the United Kingdom: incidence, features, risk factors, and outcomes. Eye (Lond). 2012;26:1517-1526.
13. Day S, Acquah K, Mruthyunjaya P, et al. Ocular complications after anti-vascular endothelial growth factor therapy in Medicare patients with age-related macular degeneration. Am J Ophthalmol. 2011;152:266-272.
14. Comparison of Age-related Macular Degeneration Treatment Trials (CATT) Research Group; Martin DF, Maguire MG, Fine SL, et al. Ranibizumab and bevacizumab for treatment of neovascular age-related macular degeneration: two-year results. Ophthalmology. 2012;119:1388-1398.
15. IVAN Study Investigators; Chakravarthy U, Harding SP, Rogers CA, et al. Ranibizumab versus bevacizumab to treat neovascular age-related macular degeneration: one-year findings from the IVAN randomized trial. Ophthalmology. 2012;119:1399-411.
16. Sheyman AT, Cohen BZ, Friedman AH, Ackert JM. An outbreak of fungal endophthalmitis after intravitreal injection of compounded combined bevacizumab and triamcinolone. JAMA Ophthalmol. 2013;131:864-869.
17. Goldberg RA, Flynn HW Jr, Miller D, Gonzalez S, Isom RF. Streptococcus endophthalmitis outbreak after intravitreal injection of bevacizumab: one-year outcomes and investigative results. Ophthalmology. 2013;120:1448-1553.
18. Yamashiro K, Tsujikawa A, Miyamoto K, et al. Sterile endophthalmitis after intravitreal injection of bevacizumab obtained from a single batch. Retina. 2010;30:485-490.
19. Khan P, Khan L, Mondal P. Cluster endophthalmitis following multiple intravitreal bevacizumab injections from a single use vial. Indian J Ophthalmol. 2013 Apr 10. [Epub ahead of print]
20. Entezari M, Ramezani A, Ahmadieh H, Ghasemi H. Batch-related sterile endophthalmitis following intravitreal injection of bevacizumab. Indian J Ophthalmol. 2013 Apr 26. [Epub ahead of print]
21. Wang F, Yu S, Liu K, et al. Acute intraocular inflammation caused by endotoxin after intravitreal injection of counterfeit bevacizumab in Shanghai, China. Ophthalmology. 2013;120:355-361.
22. Sharma S, Johnson D, Abouammoh H, Hollands S, Brissette A. Rate of serious adverse effects in a series of bevacizumab and ranibizumab injections. Can J Ophthalmol. 2012;47:275-279.
23. Cunningham MA, Tlucek P, Folk JC, Boldt HC, Russell SR. Sequential, acute noninfectious uveitis associated with separate intravitreal injections of bevacizumab and ranibizumab. Retin Cases Brief Rep, in press.
24. Schachat AP, Rosenfeld PJ, Liesegang TJ, Stewart MW. Endophthalmitis is not a “never event”. Ophthalmology. 2012;119:1507-1508.
25. Chen E, Lin MY, Cox J, Brown DM. Endophthalmitis after intravitreal injection: the importance of viridans streptococci. Retina. 2011;31:1525-1533.
26. McCannell CA. Meta-analysis of endophthalmitis after intravitreal injection of anti-vascular endothelial growth factor agents: causative organisms and possible prevention strategies. Retina. 2011;31:654-661.
27. Wen JC, McCannel CA, Mochon AB, Garner OB. Bacterial dispersal associated with speech in the setting of intravitreous injections. Arch Ophthalmol. 2011;129:1551-1554.
28. Doshi RR, Leng T, Fung AE. Reducing oral flora contamination of intravitreal injections with face mask or silence. Retina. 2012;32:473-476.
29. Cheung CS, Wong AW, Lui A, et al. Incidence of endophthalmitis and use of antibiotic prophylaxis after intravitreal injections. Ophthalmology. 2012;119:1609-1614.
30. Bhavsar AR, Stockdale CR, Ferris FL, et al. Update on risk of endophthalmitis after intravitreal drug injections and potential impact of elimination of topical antibiotics. Arch Ophthalmol 2012;130:809-810.
31. Yin VT, Wesibrod DJ, Eng KT, et al. Antibiotic resistance of ocular surface flora with repeated use of a topical antibiotic after intravitreal injection. JAMA Ophthalmol. 2013;131:456-461.
32. Alabiad CR, Miller D, Schiffman JC, Davis JL. Antimicrobial resistance profiles of ocular and nasal flora in patients undergoing intravitreal injections. Am J Ophthalmol. 2011;152:999-1004.
33. Hsu J, Gerstenblith AT, Garg SJ, Vander JF. Conjunctival flora antibiotic resistance patterns after serial intravitreal injections without postinjection topical antibiotics. Am J Ophthalmol. 2014;157:514-518.
34. Friedman DA, Mason JO 3rd, Emond T, McGwin G Jr. Povidone-iodine contact time and lid speculum use during intravitreal injection. Retina. 2013;33:975-81.
35. Abell RG, Kerr NM, Allen P, Vote BJ. Intravitreal injections: is there benefit for a theatre setting? Br J Ophthalmol. 2012;96:1474-1478.
36. Brynskov T, Kemp H, Sorenson TL. No cases of endophthalmitis after 20,293 intravitreal injections in an operating room setting. Retina. 2013 Dec 5. [Epub ahead of print]
37. Tabandeh H, Boscia F, Sborgia A, et al. Endophthalmitis associated with intravitreal injections: office-based setting and operating room setting. Retina. 2014;34:18-23.
38. Chen SD, Mohammed Q, Bowling B, Patel CK. Vitreous wick syndrome – a potential cause of endophthalmitis after intravitreal injection of triamcinolone through the pars plana. Am J Ophthalmol. 2004;137:1159-1160.
39. Christoforidis JB, Williams MM, Epitropoulos FM, Knopp MV. Subconjunctival bleb that forms at the injection site after intravitreal injection is drug, not vitreous. Clin Exp Ophthalmol. 2013 Jan 21. [Epub ahead of print]
40. Chaudhary KM, Romero JM, Ezon I, Fastenberg DM, Deramo VA. Pars plana vitrectomy in the management of patients diagnosed with endophthalmitis following intravitreal anti-vascular endothelial growth factor injection. Retina. 2013;33:1407-1416.
41. Schimel AM, Scott IU, Flynn HW Jr. Endophthalmitis after intravitreal injections: should the use of face masks be the standard of care? Arch Ophthalmol. 2011;129:1607-1609.
42. Wykoff CC, Flynn HW Jr, Rosenfeld PJ. Prophylaxis for endophthalmitis following intravitreal injection: antisepsis and antibiotics. Am J Ophthalmol. 2011;152:717-719.
43. Chen RW, Rachitskaya A, Scott IU, Flynn HW. Is the use of topical antibiotics for intravitreal injections the standard of care or are we better off without antibiotics? JAMA Ophthalmol. 2013;131:840-842.
44. Ahmed Y, Scott IU, Pathengay A, Bawdekar A, Flynn HW Jr. Povidone-iodine for endophthalmitis prophylaxis. Am J Ophthalmol. 2014;157:503-504.
45. Gonzalez S, Rosenfeld PJ, Stewart MW, Brown J, Murphy SP. Avastin doesn’t blind people, people blind people. Am J Ophthalmol. 2012;153:196-203.
46. Shienbaum G, Flynn HW Jr. Compounding bevacizumab for intravitreal injection: Does USP <797> always apply? Retina. 2013 July 11. [Epub ahead of print]







