Case Study
Sub-optimal Responders Treated with Aflibercept
By David M. Brown, MD
Patient 1
A 57-year-old male was evaluated for distortion of vision and severely increased central blurriness. At the time of the exam, his vision was 20/80. He was diagnosed with CRVO and retinal edema in the right eye, and treated with ranibizumab (Lucentis, Genentech). At the follow-up visit, he showed improved visual (20/40) and anatomical outcomes (decreased 150μm).
The patient subsequently entered a controlled clinical trial where he was randomized to monthly ranibizumab.
Figure 1. Wide-field image, using fundus flourescein angiography (FFA right eye).
He continued to have persistent variable exudation that mimicked his initial visit, and his visual acuity ranged from 20/40–20/60. Upon exit from the study, he was given aflibercept (Eylea, Regeneron) and had resolution of fluid on OCT at the follow-up visit. His vision ultimately improved to 20/30.
Figure 2. Right eye before treatment (A) and 1-month post-aflibercept treatment (B).
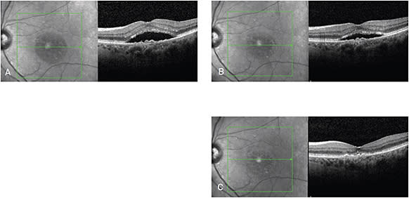
Patient 2
A 78-year-old female presented with a long history of hypertension, and was a former 1-pack-per-day smoker for more than 35 years. She complained of increased floaters and central blurriness in her left eye. The patient was diagnosed with wet AMD after her examination revealed some intraretinal cysts and subretinal fluid. At that time, her vision was 20/40.
Prior to the office visit, the patient had been treated with ranibizumab (Lucentis, Genentech), and had received over 38 monthly 0.5 mg injections through clinic and enrollment in clinical trials. In addition, she participated in a 2.0 mg super-dose Lucentis trial, in which she received 21 ranibizumab 2.0 mg injections; however, she continued to have persistent subretinal fluid. Both treatments kept her anatomy stable, but there was minimal anatomic and visual improvement.
She was next rolled over into a study that treated participants with aflibercept (Eylea, Regeneron). After 2 months of treatment with aflibercept, her follow-up exam revealed near resolution of fluid, and after the third monthly aflibercept injection, the subretinal fluid was minimal.
Figure 1. Left eye before treatment (A), 5 days after treatment with aflibercept (B), and 1-month post-aflibercept treatment (C).







