Diagnosis and Monitoring of RVO and Secondary Macular Edema
Advances in technology, such as ultra-widefield angiography and spectral domain OCT, aid in patient management.
By Theodore Leng, MD, FACS
We don’t have to think too far into the past to remember a time when we diagnosed and planned treatment for our retinal vein occlusion (RVO) patients without several of the advanced technologies we have today. Clinical exam, fluorescein angiography (FA) and OCT continue to be our best tools for evaluating RVO and associated macular edema, but our imaging capabilities have improved significantly.
■ Clinical Exam. RVO patients commonly report decreased vision and blurring in one eye, but it’s typically painless with sudden onset. They may also report distortion of images, and their visual disturbances may be limited to one part of the visual field. A dilated fundus exam often reveals the classic features of branch retinal vein occlusion (BRVO) and central retinal vein occlusion (CRVO), which include intraretinal hemorrhages and tortuosity and dilation of the retinal blood vessels. Macular edema, exudates and cotton wool spots may be present. If so, their location should be noted in the chart so any changes that occur over time or with treatment can be documented.
In addition to a measurement of visual acuity, which may or may not be affected depending on the location of the occlusion, a confrontation visual field test should be performed. Depression of the field in a certain quadrant could indicate macular edema or areas of ischemia. Ischemic RVO has a much poorer prognosis than nonischemic.1 The pupillary light reflex should also be checked as the presence of an afferent pupillary defect may be a sign of ischemia.
Questions about cardiovascular disease, stroke, high cholesterol and diabetes are particularly relevant when eliciting the medical history of RVO patients. All of those conditions are associated with RVO, with hypertension being the number one associated risk factor. Many patients aren’t aware of the connection between these systemic conditions and retinal vein occlusion. As such, it’s important that we educate them about the link between these conditions and RVO and thus, the importance of getting certain risk factors under control. We should also encourage them to follow up with their primary care physician on a regular basis.
■ Fluorescein Angiography. When symptoms and clinical examination suggest RVO, FA is the next step. Ultra-widefield angiography (Optos) is preferred because it enables efficient imaging of the retinal periphery out to approximately 200 degrees. This reveals whether areas of the peripheral retina are ischemic, which is useful for determining a prognosis, and planning your treatment approach, follow-up steps and schedule. Peripheral ischemia should be monitored closely with suspicion. Ischemia induces production of vascular endothelial growth factor (VEGF) that in turn can lead to increased vascular permeability and macular edema, as well as neovascularization in the retina and iris.2,3
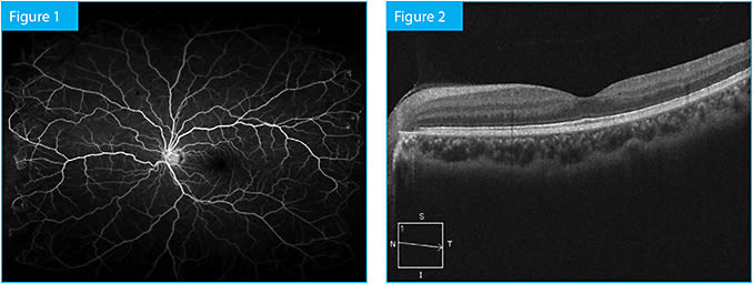
Ultra-widefield angiography has shown us that even if the macula is not ischemic, ischemia in the periphery can be extensive. Eyes with peripheral ischemia are likely to require repeat anti-VEGF injection therapy, whereas eyes without peripheral ischemia may not require anti-VEGF treatment at all, provided the patient’s vision isn’t being affected by the macular edema. Peripheral ischemia often exists without associated macular edema (Figures 1 and 2). However, when both are present, persistent ischemia can perpetuate a cycle of post-treatment resolution and recurrence of the edema.
Figures 1 and 2. In this eye imaged with ultra-widefield angiography and OCT, peripheral ischemia is present without associated macular edema. The ischemia should be closely monitored, however, given its propensity to cause either neovascularization or persistent/recurrent macular edema.
Most photographers will capture some color fundus photos as part of performing FA. In general, their diagnostic value doesn’t extend beyond serving as documentation of what was observed during the clinical exam.
■ OCT. OCT provides us with a more efficient, less invasive and less costly way than repeat FA to evaluate and monitor RVO and associated macular edema over time. With the progression from time-domain to spectral-domain technology, we have gained the ability to capture volumetric scans of the retina, rather than only single-line scans. This allows generation of thickness maps that more precisely identify focal areas of retinal thickening.
In our clinic, for all patients in whom macular disease is suspected, we obtain a high-resolution, high-density scan through the center of the fovea. We also capture a cube scan that covers a 6-by-6-mm area of the macula. For RVO patients in particular, it’s important to look at the entire cube to determine whether focal areas of edema are present outside the fovea. It may be faster to look only at one scan through the fovea, but doing so can lead to the assumption that the entire macula is free of edema when it may not be. Making use of the thickness maps derived from the cube is also a good way to pick up all edematous areas. Edema outside the fovea can be observed rather than treated, but it should be monitored for changes over time.
After initial examination and baseline OCT and FA, most physicians choose to follow RVO patients with monthly OCT scans. Repeat FA is reserved for when it is unclear why a patient isn’t responding to treatment as expected or experiences worsening vision or if neovascularization is suspected. Once macular edema becomes quiescent or doesn’t require monthly treatment, and depending on the extent of ischemia, the interval between follow-up visits can be extended to every 3, 6 or 12 months. Even when the eye is quiet, it is prudent to examine any patient with a history of RVO once or twice each year.
Advances in Imaging on the Horizon
Further improvements that will enhance our ability to manage RVO patients are being researched and developed. Among them is the use of OCT for performing angiography for imaging retinal capillaries. Having a noncontact method for viewing the retinal vasculature would be a welcome addition. Swept-source OCT also promises to provide wider views of the peripheral retina. We can also look forward to the development of new visualization tools based on volumetric data.
References
1. Hayreh SS, Podhajsky PA, Zimmerman MB. Natural history of visual outcome in central retinal vein occlusion. Ophthalmology. 2011;118(1):119-133.
2. Campochiaro PA, Bhisitkul RB, Shapiro H, Rubio RG. Vascular endothelial growth factor promotes progressive retinal nonperfusion in patients with retinal vein occlusion. Ophthalmology. 2013;120(4):795-802.
3. Aiello LP, Northrup JM, Keyt BA, Takagi H, Iwamoto MA. Hypoxic regulation of vascular endothelial growth factor in retinal cells. Arch Ophthalmol. 1995;113(12):1538-1544.
| Dr. Leng is Director of Ophthalmic Diagnostics and a Clinical Assistant Professor of Ophthalmology at the Byers Eye Institute at Stanford, Stanford University School of Medicine, in Palo Alto, Calif. |







