Fluocinolone Implant for Idiopathic Non-Infectious Posterior Uveitis
By Brian B. Berger, MD
For decades, corticosteroids have been the standard-of-care, first-line therapy for non-infectious posterior uveitis. In most cases, they are administered by periocular or intravitreal injection or orally.
Only one injectable corticosteroid is FDA approved for the treatment of uveitis (triamcinolone acetonide injectable suspension, Triesence, Alcon), but triamcinolone and other corticosteroids prepared extemporaneously for injection are routinely used for this purpose.* Numerous small studies and reviews of the literature have shown that steroid injections reduce ocular inflammation in patients with uveitis. 1-5 However, physicians must be cognizant of their usually short-term duration of action11, 12 and the potential for drug- and injection-related side effects such as increased IOP, cataract formation, retinal detachment, endophthalmitis and vitreous hemorrhage.1, 3-5
Steroids are the only oral therapy FDA approved for the treatment of noninfectious uveitis. They can reduce ocular inflammation and are used for patients in whom ocular steroid injections do not provide adequate control of posterior segment inflammation. Long-term use of oral corticosteroids, especially when high doses are required, may not be ideal6 because of the potential for the development of cataract and/or increased IOP and serious systemic side effects, including high blood pressure, cardiovascular disease, excessive weight gain, psychiatric disorders, adrenal insufficiency, osteoporosis, osteonecrosis, increased risk of infection, myopathy, hyperglycemia and gastrointestinal problems.7-16
When steroid treatment does not adequately control ocular inflammation or cannot be tolerated by the patient, other immunomodulatory medications are sometimes used. Antimetabolites, T-cell inhibitors, alkylating agents and some drugs in the newer biologics class, e.g., TNF-alpha inhibitors, can provide effective ocular inflammation control but have also been shown to have the potential for severe systemic side effects.17-22 None of these agents has been evaluated for treating ocular inflammation in randomized, controlled trials or approved by the FDA for the treatment of uveitis; most are intended for neurologic, rheumatologic or dermatologic conditions.
Sustained-release ocular drug-delivery devices have been developed to control ocular inflammation and decrease the need for systemic therapy and its subsequent side effects. Two have been approved by the FDA for the treatment of non-infectious posterior uveitis. The first to gain approval, Retisert (fluocinolone acetonide intravitreal implant 0.59 mg, Bausch + Lomb), is surgically implanted into the vitreous and designed to release fluocinolone acetonide for approximately 2.5 years. Retisert is a corticosteroid indicated for the treatment of chronic noninfectious uveitis affecting the posterior segment of the eye. (Please see “Important Risk Information for Retisert” on page 3.)
FDA approval of Retisert was based on 34-week results from two multicenter, double-masked, randomized, controlled clinical trials evaluating the safety and efficacy of the implant.23 Subsequently, 3-year follow-up data were published.24 The primary efficacy endpoint in the trials was the rate of recurrence of uveitis in the study eye in the 34 weeks prior to implantation compared with the rate of recurrence 34 weeks, 1 year, 2 years and 3 years after implantation. Retisert significantly reduced recurrence rates.25
The second sustained-delivery device to be FDA approved for treating non-infectious posterior uveitis, Ozurdex (dexamethasone 0.7 mg intravitreal implant, Allergan), is injected into the vitreous using a specially designed applicator. Once in the vitreous, the implant slowly releases dexamethasone and biodegrades into lactic acid and glycolic acid.
Here, I describe a case from my practice that illustrates how Retisert can fit into the treatment armamentarium for patients with non-infectious posterior uveitis and help to achieve treatment goals.
RETISERT CASE STUDY
A 60-year-old male, first presented to my office in September 2002. He had been seeing a retinal specialist in another city, who had diagnosed him with non-infectious posterior uveitis in the right eye. The uveitis could not be attributed to any specific ocular or systemic cause. Many cases of noninfectious uveitis are idiopathic.26, 27
The patient had recently retired to Austin, Texas, where I practice, and was referred to me for continuing care. While under the care of the first retinal specialist, the patient had been given two periocular injections of triamcinolone, one in November 2001 and one in February 2002. The resulting improvement in ocular inflammation was short-lived following each injection.
My first examination of the patient confirmed the previous physician's diagnosis. I did not see any sign of an infectious etiology, and the uveitis did not fit any well-defined type of the disease. It most closely resembled a syndrome that J. Donald Gass, MD, described as idiopathic vitritis.28 The patient's cornea and anterior chamber were healthy, but he had a 3-year history of floaters, hazy vision and distortion OD. His visual acuity in the right eye was 20/80, and a posterior subcapsular cataract was present. Fluorescein angiography showed leakage from the disc and macula, suggesting low-grade inflammation. I noted 1+ haze in the vitreous, an epiretinal membrane in the macula and CME. At that time, OCT was not clinically available, so the macular thickening was not quantified. Based on the findings, four factors were contributing to the patient's decreased vision: uveitis, cataract, epiretinal membrane and CME.
The patient was offered combined surgery as an option to treat both uveitis and the epiretinal membrane by both his previous retinal specialist and me. The patient agreed to proceed with the procedure and surgery was scheduled for December 2002. The patient was pre-treated with a posterior sub-Tenon's injection of triamcinolone in an attempt to quiet the ocular inflammation prior to surgery. At the time of surgery, an anterior segment surgeon removed the cataract and implanted an IOL. Immediately after, I performed a vitrectomy, removed the epiretinal membrane and injected intravitreal triamcinolone, a commonly used strategy for controlling postoperative inflammation following cataract extraction in patients with uveitis.29
Findings and next steps from key follow-up visits were:
■ Four weeks after surgery, no inflammation was present, and visual acuity had improved to 20/40. The patient was somewhat pleased, but also disappointed that his vision did not improve to 20/20 in the operated eye.
■ March 18, 2003: OCT, which by this time was in clinical use, showed that CME returned with a macular thickness of 377 µm. A fourth posterior sub-Tenon's triamcinolone injection was given.
■ June 5, 2003: Macular edema increased to 420 µm, and vision decreased from the last visit to 20/60. An intravitreal injection of triamcinolone was given. At a subsequent visit, visual acuity returned to 20/40. In an attempt to maintain visual acuity at that level, topical steroid and topical non-steroidal anti-inflammatory drops were prescribed. At this point, the clinical course of the patient's condition was similar to what is seen in Irvine-Gass syndrome, i.e., CME following cataract surgery, which is typically treated with these topical agents. Many of the available topical steroid and NSAID drops are specifically indicated for the reduction of ocular inflammation following cataract surgery, and it is generally accepted that their effectiveness against CME can be synergistic. With use of the drops, the patient's visual acuity was maintained at 20/40 for more than a year.
| Important Risk Information for Retisert® |
|---|
| Surgical placement of RETISERT® (fluocinolone acetonide intravitreal implant 0.59 mg, Bausch + Lomb) is contraindicated in active viral, bacterial, mycobacterial or fungal infections of the eye. Based on clinical trials with RETISERT®, during the 3-year post-implantation period, nearly all phakic eyes are expected to develop cataracts and require cataract surgery. As with any surgical procedure, there is risk involved. Potential complications accompanying intraocular surgery to place RETISERT® into the vitreous cavity may include, but are not limited to, the following: cataract formation, choroidal detachment, temporary decreased visual acuity, endophthalmitis, hypotony, increased intraocular pressure, exacerbation of intraocular inflammation, retinal detachment, vitreous hemorrhage, vitreous loss, wound complication, wound site erythema and wound dehiscence. Following implantation of RETISERT®, nearly all patients will experience an immediate and temporary decrease in visual acuity in the implanted eye which lasts for approximately one to four weeks post-operatively. Use of corticosteroids may result in elevated IOP and/or glaucoma. Based on clinical trials with RETISERT®, within 3 years post-implantation, approximately 77% of patients will require IOP lowering medications to control intraocular pressure and 37% of patients will require filtering procedures to control intraocular pressure. Patients should be advised to have ophthalmologic follow-up examinations of both eyes at appropriate intervals following implantation of RETISERT®. Physicians should periodically monitor the integrity of the implant by visual inspection. The most frequently reported ocular adverse events in clinical trials with RETISERT® occurring in 50-90% of patients included: cataract, increased intraocular pressure, procedural complications and eye pain. Thirty five to forty percent (35-40%) of patients reported ocular/conjunctival hyperemia, reduced visual acuity and conjunctival hemorrhage. The most common non-ocular event reported was headache (>33%). Please see complete information about RETISERT® in the accompanying full prescribing information on pages 7 and 8. |
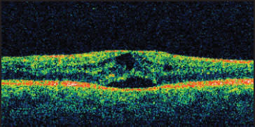
■ Oct. 26, 2004: By the time of this visit, the patient's ocular inflammation had recurred. OCT showed macular thickening to 428 µm as well as the development of subretinal fluid (Figure 1). Vision declined to 20/60. A fifth triamcinolone injection was given (sub-Tenon's), and oral acetazolamide was prescribed. Systemic carbonic anhydrase inhibitors, used off-label, have been shown to be of some benefit for reducing subretinal fluid.30
Figure 1. Despite treatment with posterior sub-Tenon's and intravitreal injections of triamcinolone, the right eye developed subretinal fluid and cystic macular thickening. (Oct. 26, 2004)
■ Dec. 23, 2004: Fluorescein angiography showed early and diffuse cystic leakage in the macula and disc (Figures 2a and 2b). A sixth sub-Tenon's triamcinolone injection was given. For the next 9 months, vision was stable at 20/40.
Figures 2a and 2b. Prior to implantation of Retisert, fluorescein angiogram of the right eye showing early leakage at 53 seconds and diffuse cystic leakage in the macula and disc at 7 minutes 26 seconds. (Dec. 23, 2004)
■ Sept. 20, 2005. Visual acuity was 20/40, but OCT showed recurrent serous detachment of the macula and macular thickness of 324 µm.
By this point in the patient's treatment, it was clear his condition was chronic. The Standardization of Uveitis Nomenclature (SUN) Working Group defined “chronic” uveitis as persistent and characterized by prompt relapse (less than 3 months) after discontinuation of therapy.31 None of the treatments that we tried were providing the desired continuous control of the ocular inflammation. We had not been able to improve his visual acuity to better than 20/40 and sometimes it would drop below that level. I preferred not to initiate systemic steroid or other immunomodulatory therapy, and risk the potential side effects, because the inflammation in this particular case was only in one eye, and the patient did not have an underlying condition that required either of those therapies. Also, approximately 5 months prior to his September 2005 visit, the FDA had approved the Retisert implant, giving us an alternative treatment to consider. I participated in the Retisert clinical trials and had seen some good results in the patients I treated.
The patient was a good candidate for Retisert because his non-infectious posterior uveitis was chronic, and:
■ ocular disease, rather than a systemic condition, was driving treatment decisions
■ periocular and intravitreal steroid injections had improved his condition for short periods, but continuous control of ocular inflammation had not yet been achieved
■ periocular and intravitreal steroid injections had not increased his IOP
■ he had no glaucomatous nerve damage.
Weighing these factors against the potential risks of the Retisert implantation procedure and the known side effects of sustained-release ocular steroids, including cataract (the patient had already undergone cataract removal OD) and increased IOP, (See “Important Risk Information for Retisert,” on page 3), I recommended Retisert.32 After discussing the potential benefits and risks with the patient, he elected to proceed.
I implanted a Retisert on Nov. 2, 2005. Given that the eye had previously undergone a vitrectomy, I placed a transconjunctival 25-gauge infusion cannula during surgery to help maintain a safe pressure. Per my usual protocol, the patient returned for follow-up every 2-3 months for the first year post-implantation. Since the eye remained quiet, I extended the time between follow-up visits to every 3-4 months during the second year.
| Uveitis Recurrence Rates | ||
|---|---|---|
| Time Point | Trial 1 | Trial 2 |
| (N=108) | (N=116) | |
| 34 wks before implant | 54% | 40% |
| 34 wks after implant | 2% | 13% |
| 1 yr after implant | 4% | 13% |
| 2 yrs after implant | 10% | 14% |
| 3 yrs after implant | 20% | 17% |
| 3 yrs after implant* | 31% | 24% |
| (*imputed recurrences included) * Recurrences were imputed when a patient was not seen within 10 weeks of final scheduled visit. p-value<0.01 from McNemar's Chi squared test |
||
After implantation, the patient experienced gradual and steady improvement in visual acuity. He did not experience elevated IOP and did not require any treatment other than Retisert for the uveitis. Visual acuity was 20/20 and macular thickness was normal at 203 through 2009 (Figures 3a and 3b).
Figures 3a and 3b. In 2009, following Retisert implantation in 2005, fluorescein angiography showed no leakage at 1 minute, 38 seconds or at 7 minutes, 26 seconds.
In the clinical trials which eventually led to FDA approval, two versions of the implant, 0.59-mg and 2.1-mg, were evaluated. Only efficacy data on the 0.59-mg implant were considered, and approval was based on 34-week results.4 The primary efficacy endpoint in the studies was the rate of recurrence of uveitis in the study eye in the 34 weeks prior to implantation compared with the rate of recurrence 34 weeks, 1 year, 2 years and 3 years after implantation. In two randomized, double-masked, multicenter, controlled clinical trials, 224 patients received a 0.59-mg Retisert implant, which significantly reduced recurrence rates. (See “Uveitis Recurrence Rates” chart for specific results.)
Additional secondary endpoints of the 3-year clinical trials showed that 23% of eyes that received the 0.59-mg implant had improved visual acuity (gain of ≥ 3 lines) compared with 6% of fellow non-implanted eyes.24 In addition, at 1 year after implantation in the 0.59-mg group, reduction in the area of CME was seen in 86% of eyes. At 3 years after implantation, the area of CME was decreased in 73% of eyes. Mean area of CME decreased from 33 mm2 to 7 mm2 from screening to 34 weeks after implantation. The area of CME remained statistically significantly lower than baseline at the 1-, 2- and 3-year post-implantation visits.
I typically do not remove an initial Retisert implant when the drug is depleted; I do however see these patients every 6 or 12 months to ensure the implant is not causing any problems. The patient described here is now 69 years old and seeing an eye doctor every 6 to 12 months is recommended.
Although this patient did not experience any problems related to wound closure after Retisert implantation, I have since changed my Retisert suture strategy to bolster prevention of such problems over the long-term. I still use the recommended 8-0 propylene suture to secure the implant to the sclera, but before placing the recommended single 9-0 propylene suture on each side, I now often use 7-0 Vicryl absorbable sutures to tightly close the incision. This creates tighter wound closure without the risks of extra permanent sutures, such as conjunctival erosion, exposure or infection.
The more recently approved sustained-release steroid implant Ozurdex may also alter my treatment protocol in certain cases. For example, Ozurdex, which is designed to release steroid for less time than Retisert, may sufficiently treat non-infectious posterior uveitis characterized by mild inflammation (but resistant to steroid injections) without exposing the eye to several years of drug.
FORWARD PROGRESS
In my opinion, the case I have presented here is an excellent illustration of how Retisert can be a useful addition to our treatment options for non-infectious posterior uveitis. The implant allowed us to achieve long-term remission of ocular inflammation for this patient without the use of any systemic therapy or ongoing need for local therapy.
| Dr. Berger is founder of the Retina Research Center, LLPC. He is active in ophthalmic research and has written several textbook chapters and published more than two dozen articles. He also teaches ophthalmology students at several universities in Texas. He can be reached at bberger@e-retina.net. |
REFERENCES
1. Yoshikawa K, Kotake S, Ichiishi A, et al. Posterior sub-Tenon injections of repository corticosteroids in uveitis patients with cystoid macular edema. Jpn J Ophthalmol. 1995;39(1):71-76.
2. Ozkiris A. Intravitreal triamcinolone acetonide injection for the treatment of posterior uveitis. Ocul Immunol Inflamm. 2006;14(4):233-238.
3. Cunningham MA, Edelman JL, Kaushal S. Intravitreal steroids for macular edema: the past, the present, and the future. Surv Ophthalmol. 2008;53(2):139-149.
4. Hogewind BF, Zijlstra C, Klevering BJ, Hoyng CB. Intravitreal triamcinolone for the treatment of refractory macular edema in idiopathic intermediate or posterior uveitis. Eur J Ophthalmol. 2008;18(3):429-434.
5. Jonas JB, Kreissig I, Kamppeter B, Degenring RF. Intravitreal triamcinolone acetonide for the treatment of intraocular edematous and neovascular diseases. Ophthalmologe. 2004;101(2):113-120.
6. Lee FF, Foster CS. Pharmacotherapy of uveitis. Expert Opin Pharmacother. 2010;11(7):1135-1146.
7. Stanbury RM, Graham EM. Systemic corticosteroid therapy—side effects and their management. Br J Ophthalmol. 1998;82(6):704-708.
8. Treadwell BL, Salvage O, Sever ED, Copeman WS. Pituitary-adrenal function during corticosteroid therapy. Lancet. 1963;1(7277):355-358.
9. Curtiss PH Jr, Clark WS, Herndon CH. Vertebral fractures resulting from prolonged cortisone and corticotropin therapy. J Am Med Assoc. 1954;156(5):467-469.
10. Mazziotti G, Canalis E, Giustina A. Drug-induced osteoporosis: mechanisms and clinical implications. Am J Med. 2010;123(10):877-884.
11. McDonough AK, Curtis JR, Saag KG. The epidemiology of glucocorticoid-associated adverse events. Curr Opin Rheumatol. 2008;20(2):131-137.
12. Humes DJ, Fleming KM, Spiller RC, West J. Concurrent drug use and the risk of perforated colonic diverticular disease: a population-based case-control study. Gut. 2011;60(2):219-224.
13. Wei L, MacDonald TM, Walker BR. Taking glucocorticoids by prescription is associated with subsequent cardiovascular disease. Ann Intern Med. 2004;141(10):764-770.
14. de Leeuw PW. Drug-induced hypertension. Recognition and management in older patients. Drugs Aging. 1997;11(3):178-185.
15. El Afrit MA, Mazlout H, Trojet S, et al. Cortisone glaucoma: epidemiological, clinical, and therapeutic study. J Fr Ophtalmol. 2007;30(1):49-52.
16. Garbe E, LeLorier J, Boivin JF, Suissa S. Risk of ocular hypertension or open-angle glaucoma in elderly patients on oral glucocorticoids. Lancet. 1997;350(9083):979-982.
17. Cervantes-Castaneda RA, Bhat P, Fortuna E, Acevedo S, Foster CS. Induction of durable remission in ocular inflammatory diseases. Eur J Ophthalmol. 2009;19(1):118-123.
18. Yeh S, Nussenblatt RB, Levy-Clarke GA. Emerging biologics in the treatment of uveitis. Expert Rev Clin Immunol. 2007;3(5):781-796.
19. Plskova J, Greiner K, Forrester JV. Interferon-alpha as an effective treatment for noninfectious posterior uveitis and panuveitis. Am J Ophthalmol. 2007;144(1):55-61.
20. Jabs DA, Rosenbaum JT, Foster CS, et al. Guidelines for the use of immunosuppressive drugs in patients with ocular inflammatory disorders: recommendations of an expert panel. Am J Ophthalmol. 2000;130(4):492-513.
21. Kempen JH, Gangaputra S, Daniel E, Levy-Clarke GA, et al. Long-term risk of malignancy among patients treated with immunosuppressive agents for ocular inflammation: a critical assessment of the evidence. Am J Ophthalmol. 2008;146(6):802-812.
22. Goldstein DA. Uncovering the risks of immunosuppressive therapy in patients with uveitis. Arch Ophthalmol. 2009;127:799-800.
23. Jaffe GJ, Martin D, Callanan D, Pearson PA, Levy B, Comstock T; Fluocinolone Acetonide Uveitis Study Group. Fluocinolone acetonide implant (Retisert) for noninfectious posterior uveitis: thirtyfour-week results of a multicenter randomized clinical study. Ophthalmology. 2006;113(6):1020-1027.
24. Callanan DG, Jaffe GJ, Martin DF, et al. Treatment of posterior uveitis with a fluocinolone acetonide implant: three-year clinical trial results. Arch Ophthalmol. 2008;126(9):1191-1201.
25. Retisert full prescribing information; March 2009.
26. Touch Briefings [Internet]. London: Business Briefings, Ltd.; c2011. U. S. Ophthalmic Review 2007/Uveitis-current standard of care: a report by Stephen Foster, MD, FACS, FACR, FAAO; [cited 2011 Mar 22]. Available at: touchbriefings.com/cdps/cditem.cfm?nid=2946&cid=5#Uveitis.
27. The Merck Manuals Online Medical Library for Healthcare Professionals; c2009-2010. Eye disorders: uveitis. Available at: merckmanuals.com/professional/sec09/ch105/ch105a.html.
28. Brinton GS, Osher RH, Gass JD. Idiopathic vitritis. Retina. 1983;3(2):95-98.
29. Alkawas AA, Hamdy AM, Shahien EA. Intraoperative intravitreal injection of triamcinolone acetonide for cataract extraction in patients with uveitis. Ocul Immunol Inflamm. 2010;18(5):402-407.
30. Lashay AR, RahimiA, Chams H, et al. Evaluation of effect of acetazolamide on cystoid macular oedema in patients with Behcet's disease. Eye. 2003;17:762-766.
31. Jabs DA, Nussenblatt RB, Rosenbaum JT and the Standardization of Uveitis Nomenclature (SUN) Working Group. Standardization of uveitis nomenclature for reporting clinical data. Results of the first international workshop. Am J Ophthalmol. 2005;140(3):509-516.
32. Goldstein DA, Godfrey DG, Hall A, et al. Intraocular pressure in patients with uveitis treated with fluocinolone acetonide implants. Arch Ophthalmol. 2007;125(11):1478-1485.







