Can Anti-VEGF Therapy Benefit Rare Retinal Diseases?
Several case studies and series have offered some evidence for use.
Louis K. Chang, MD, PhD
Anti-VEGF therapy is being applied to an ever-widening scope of retinal diseases. Use of anti-VEGF agents to treat rare or orphan retinal diseases has been attempted due to limited therapeutic options and lack of randomized, controlled trial data to formulate consensus treatment guidelines. Herein, the use of anti-VEGF therapy for four examples of rare retinal diseases — retinitis pigmentosa (RP), idiopathic macular telangiectasia (IMT), Coats disease and familial exudative vitreoretinopathy (FEVR) — is reviewed.
RETINITIS PIGMENTOSA
Retinal thinning, resulting from photoreceptor loss, is the primary cause of vision loss in RP.1 The precise cause of photoreceptor cell death is unknown. Low levels of VEGF have been linked to motor neuron degeneration in animal modes and human disease, suggesting that VEGF may have a neuroprotective effect in the central nervous system.2 In an animal model of ischemia reperfusion injury, VEGF con ferred a dose-dependent reduction in retinal neuron cell death, demonstrating a potential neuroprotective role for VEGF in the retina.3
Salom et al. found that VEGF levels in the aqueous humor from 16 eyes with RP were significantly lower than in control eyes undergoing cataract surgery, suggesting that loss of neuroprotection may underlie cell death in RP.4 Alterna tively, the decreased levels of VEGF could result from previous loss of VEGF-producing cells in the retina, the RPE, or both.
Currently, no strong rationale exists for anti-VEGF agents to prevent cell death in RP. Further detailed study of the neuroprotective role of VEGF in RP would be required before considering long-term upregulation of VEGF as a therapeutic modality, given the likely predictable side effects.
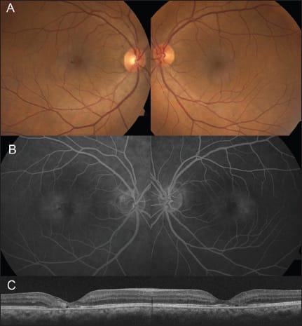
Cystoid macular edema is another cause of decreased vision in RP, occurring in up to 20% of RP patients (Figure 1).5 In this setting, common causes of CME, such as inflammation, traction or ischemia, are absent, with the underlying defect hypothesized to be a failure of pumping activity of the RPE.6 Anti-VEGF treatment has been attempted in eyes that are refractory to existing treatments with varying results. Melo et al. reported no improvement in visual acuity or OCT findings in two eyes with CME secondary to RP following a single treatment with bevacizumab (0.5 mg).7
Figure 1. Color fundus photo (A), autofluorescence (B) and OCT (C) from a 12-year-old female patient with autosomal-dominant retinitis pigmentosa and cystoid macular edema. She had a poor response to treatment with topical or systemic carbonic anhydrase inhibitors.
Yuzbasioglu et al. reported improvements in visual acuity in 12 of 13 eyes (ranging from 5/400-20/100 at baseline to 20/200-20/63 after treatment) and a mean decrease in retinal thickness of 143 um following one to eight injections of bevacizumab (1.25 mg), after an average of 10.3 months.8 The same group also reported that 13 of 15 eyes with CME secondary to RP showed significant decreases in central ma cular thickness up to six months following a single treatment of intravitreal ranibizumab.9 While none of the 15 eyes in the control group showed anatomic improvement, there was not a statistically significant difference in final visual acuity between the treatment and control groups.
Differences in the findings of these studies may be due to genotypic and/or phenotypic differences between the under lying RP or the limitation of vi sual potential by the un der lying photoreceptor loss. Further study of the effects of anti-VEGF therapy for CME secondary to RP, especially in individuals refractive to carbonic anhydrase inhibition,or for patients intolerant of the associated side effects, is warranted. Despite the nimpressive visual outcomes,the anatomic effect of anti-VEGF treatment suggests that localized, but not global, upregulation of VEGF may occur in RP or, alternatively, could reflect an unrecognized VEGF-independent effect of this class of drugs.
Subfoveal choroidal neovascularization has also been reported in eyes with RP.10 Malik et al. reported regression of classic CNV in an eye with sectoral RP with a single intravitreal injection of bevacizumab (1.25 mg).11 Anti-VEGF therapy has been shown to improve visual outcomes from CNV secondary to a wide variety of causes other than AMD,12 suggesting that the underlying cause may not be critical in predicting its responsiveness to anti-VEGF therapy.
Although it is unclear if CNV is related to the underlying retinal dystrophy, anti-VEGF treatment remains a therapeutic consideration in these cases. Additional experience from these extremely rare situations is needed to determine how continued suppression of VEGF might affect the underlying retinal condition.
IDIOPATHIC MACULAR TELANGIECTASIA
Idiopathic macular telangiectasia, a retinal vascular disorder characterized by telangiectactic capillaries in the macula, was originally described and classified by Gass and Blodi.13 Yannuzzi and colleagues subsequently simplified the system, classifying cases as either aneurysmal telangiectasia (type 1) or perifoveal telangiectasia (type 2).14 Retinal edema, as demonstrated by leakage on fluorescein angiography and thickening or cyst-like changes on OCT, is present in many cases (Figure 2).
Figure 2. Idiopathic macular telangectasia, type 2, or perifo veal telangectasia, in a 52-year-old woman. Best-corrected visual acuity was 20/50 OD and 20/30 OS. Note that the perifoveal leakage on fluorescein angiography (B) and cystoid changes on OCT (C) are more prominent in the temporal perifoveal region.
In four eyes with type 1 IMT treated undergoing three or four injections of intravitreal bevacizumab, only one showed improvement in aneurysmal changes and improvement in FA leakage, but none showed improvement in visual acuity.15 In type 2 IMT, retrospective case series have shown im prove ment in leakage on FA, reduction in central retinal thickness by OCT, and either no improvement16 or a modest improvement in visual acuity17 following either one or two treatments of intravitreal bevacizumab.
In a prospective study, Matsumoto and Yuzawa reported improvement on FA of leakage in five or six eyes but no statistically significant improvement in visual acuity following one or two treatments of intravitreal bevacizumab.15 Charbel Issa and colleagues prospectively studied the effects of monthly ranibizumab given to 10 eyes with type 2 IMT over 12 months.18 Similar to other studies, angiographic and tomographic improvement was not accompanied by a definite improvement in visual acuity, leading the author to conclude that anti-VEGF therapy is not recommended for nonproliferative type 2 IMT.
Subretinal neovascularization can occur as a late complication of type 2 IMT.14 Unlike CNV, subretinal neovascularization typically involves retinal-retinal anastamosis, although choroidal-retinal anastamosis has been reported. Jorge et al. reported a case of proliferative type 2 IMT treated with a single intravitreal injection of bevacizumab (1.25 mg) with anatomic improvement and corresponding improvement in visual acuity from 20/40-1 to 20/20-2 after 24 weeks.19
Kovach and Rosenfeld showed reduction in leakage on FA and decrease in retinal thickness and stabilization or improvement in visual acuity in five of five eyes with subretinal neovascularization from type 2 IMT treated with intravitreal bevacizumab.16 Given the frequent proximity of these lesions to the fovea, anti-VEGF pharmacotherapy may be considered to avoid potential collateral damage asso ciated with other treatment modalities, such as photodynamic therapy or thermal photocoagulation.
COATS DISEASE
Coats disease is an idiopathic, nonhereditary retinal disorder characterized by telangiectatic changes in the vasculature and exudation, most commonly affecting boys in the first decade of life. Given the presumed underlying abnormality in vascular permeability, VEGF is a rational therapeutic target. Elevated levels of VEGF have measured in the aqueous, subretinal fluid,20 or vitreous fluid21 of eyes in varying stages of Coats disease.
Following a single injection of pegaptanib sodium, in a patient with recurrent exudation after scleral buckle placement with subretinal fluid drainage, the exudation and retinal detachment nearly completely resolved, with normalization of the intraocular VEGF level.21 In another case, a single treatment with bevacizumab in an eye with stage 2B Coats resulted in an improvement in macular edema and visual acuity and a six-fold reduction in intraocular VEGF levels.20
Quiroz-Mercado and colleagues described four cases of Coats disease treated with intravitreal bevacizumab.22 All cases showed improvement in edema and visual acuity, followed by recurrence of the edema after six weeks. Because inhibition of VEGF is unlikely to alter the underlying cause of VEGF production, as in AMD, the need for continued VEGF suppression or adjunctive therapy is not surprising.
Successful treatment of Coats disease with bevacizumab in conjunction with intravitreal triamcinolone has also been reported.23,24 Given the likely need for continuous treatment, especially in diseases affecting young individuals, currently available anti-VEGF therapy is unlikely to replace traditional therapies as a primary treatment, but they may augment the effects of other treatment methods.
FAMILIAL EXUDATIVE VITREORETINOPATHY
Familial exudative vitreoretinopathy is an inherited retinal disorder in which peripheral vascular abnormalities can lead to retinal neovascularization, fibrovascular proliferation, and retinal detachment. In FEVR patients, a mutation in the Norrie dependent protein (NDP) leads to an upregulation of VEGF through the b-catenin pathway.25
Quiram et al. reported on four patients with FEVR and persistent vascular activity despite previous photocoagulation, cryotherapy and intravitreal steroid injections, who were treated with a single injection ofpegaptanib sodium.26 All showed a reduction in vascular leakage on FA. Visual acuity improved in two eyes, stabilized in one and worsened in one. Two eyes developed vitreoretinal traction requiring vitrectomy. It is unclear whether the worsening of vitreoretinal traction was a result of anti-VEGF treatment or progression of the underlying disease process.
Tagami and colleagues reported their experience using bevacizumab in a case of FEVR with bilateral retinal neovascularization.27 A single treatment with intravitreal bevacizumab in each eye resulted in rapid improvement in the vitreous hemorrhage and regression of the neovascularization with improvement to 20/20 OU at last followup. Un like photocoagulation and cryotherapy, anti-VEGF therapy does not require direct visualization or targeting of treatment areas, a characteristic that may be advantageous in situations, such as dense vitreous hemorrhage.
CONCLUSION
In common conditions such as AMD, retinal vein occlusion and diabetic macular edema, multicentered, randomized, controlled trials have been designed to study the efficacy of anti-VEGF therapy. However, for extremely rare or orphan retinal diseases, we must often rely on case studies or small series to elucidate a potential beneficial effect of anti-VEGF treatment. Continued experience with the use of anti-VEGF pharmacotherapy may offer additional treatment modalities for these rare conditions that have limited therapeutic options and may provide insight into their molecular pathophysiology. RP
REFERENCES
1. Humayan MS, Prince M, deJuan E Jr, et al. Morphometric analysis of the extramacular retinal from postmortem eyes with retinitis pigmentosa. Invest Ophthalmol Vis Sci. 1999;40:143-148.
2. Lambrechts D, Storkebaum E, Morimoto M, et al. VEGF is a modifier of amyotrophic lateral sclerosis in mice and humans and protects motoneurons against ischemic death. Nat Genet. 2003;34:383-394
3. Nishijima K, Ng YS, Zhong L, et al. Vascular endothelial growth factor-A is a survival factor for retinal neurons and a critical neuroprotectant during adaptive response to ischemic injury. Am J Pathol. 2007;171:53-67.
4. Salom D, Diaz-Llopis M, Garcia-Delpech S, Udaondo P, Sancho-Tello M, Romero FJ. Aqueous humor levels of vascular endothelial growth factor in retinitis pigmentosa. Invest Ophthalmol Vis Sci. 2008;49:3499-3502.
5. Ozdemir H, Karacorlu M, Karacorlu S. Intravitreal triamcinolone acetonide for treatment of custoid macular oedema in patients with retinitis pigmentosa. Acta Ophthalmol Scand. 2005;83:248-251.
6. Cox SN, Hay E, Bird AC. Treatment of chronic macular edema with acetazolamide. Arch Ophthalmol. 1988;106:1190-1195.
7. Melo GB, Farah ME, Aggio FB. Intravitreal injection of bevacizumab for cystoid macular edema in retinitis pigmentosa. Acta Ophthalmol Scand. 2007;85:461- 463.
8. Yuzbasioglu E, Artunay O, Rasier R, Sengul A, Bahcecioglu H. Intravitreal bevacizumab (Avastin) injection in retinitis pigmentosa. Curr Eye Res. 2009;34:231-237.
9. Artunay O, Yuzbasiogly E, Rasier R et al. Intravitreal ranibizumab in the treatment of cystoid macular edema associated with retinitis pigmentosa. J Ocul Pharm Ther. 2009;25;545-550.
10. Marano F, Deutman AF, Leys A, Andekerk AL. Hereditary retinal dystrophies and choroidal neovascularization. Graefes Arch Clin Exp Ophthalmol. 2000; 238:760-764.
11. Malik A, Sood S, Narang S. Successful treatment of choroidal neovascular membrane in retinitis pigmentosa with intravitreal bevacizumab. Int Ophthalmol. 2010;30:425-428.
12. Chang LK, Spaide RF, Brue C, et al. Bevacizumab treatment for subfoveal choroidal neovascularization from causes other than age-related macular degeneration. Arch Ophthalmol. 2008; 126:941-945.
13. Gass JF, Blodi BA. Idiopathic juxtafoveolar retinal telangectasis; update of classification and follow-up study. Ophthalmology. 1993;100:1536-1546.
14. Yannuzzi LA, Bardal AMC, Freund KB, et al. Idiopathic macular telangectasia.Arch Ophthalmol. 2006;124:450-460.
15. Matsumoto Y, Yuzawa M. Intravitreal bevacizumab therapy for idiopathic macular telangetcasia. Jpn J Ophthalmol. 2010;54:320-324.
16. Kovach JL, Rosenfeld PJ. Bevacizumab (avastin) therapy for idiopathic macular telangectasia type II. Retina. 2009;29:27-32.
17. Charbel Issa P, Holz FG, Scholl HPN. Findings in fluorescein angiography and optical coherence tomography after intravitreal bevacizumab in type 2 idiopathic macular telangectasia. Am J Ophthalmol. 2007;114:1736-1742.
18. Charbel Issa P, Finger RP, Kruse K, Maumuller S, Scholl HPN, Holz FG. Monthly ranibizumab for nonproliferative macular telangectasia type 2: A 12-month prospective study. Am J Ophthalmol. 2011;151:876-886.e1.
19. Jorge R, Costa RA, Calucci D, Scott IU. Intravitreal bevacizumab (Avastin) associated with the regression of subretinal neovascularization in idiopathic juxtafoveolar retinal telangectasis. Graefes Arch Clin Exp Ophthalmol. 2007; 245:1045-1048.
20. He YG, Wang H, Zhao B, Lee J, Bahl D, McCluskey J. Elevated vascular endothelial growth factor level in Coats' disease and possible therapeutic role of bevacizumab. Graefes Arch Clin Exp Ophthalmol. 2010;248:1519-1521.
21. Sun Y, Jain A, Moshfeghi DM. Elevated vascular endothelial growth factor levels in Coats disease: rapid response to pegaptanib sodium. Graefes Arch Clin Exp Ophthalmol. 2007;245:1387-1388.
22. Quiroz-Mercado H, Ustariz-Gonzalez O, Martinez-Castellanos MA, et al. Our experience after 1765 intraviteral injections of bevacizumab: The importance of being part of a developing story. Semin Ophthlamol. 2007;22:109-125.
23. Jun JH, Kim YC, Kim KS. Resolution of severe macular edema in adult coats' disease with intravitreal triamcinolone and bevacizumab injection. Kor J Ophthalmol. 2008;22:190-193.
24. Cakir K, Cekiç O, Yilmaz OF. Combined intravitreal bevacizumab and triamcinolone injection in a child with Coats disease. J AAPOS. 2008;12:309-311.
25. Zerlin M, Julius MA, Kitajewski J. Wnt/Frizzled signaling in angiogenesis. Angiogenesis. 2008;11:63-69.
26. Quiram PA, Drenser KA, Lai MM, et al. Treatmet of vascularly active familial exudative vitreoretinopathy with pegaptanib sodium (Macugen). Retina. 2008; 28(3 Suppl):S8-S12.
27. Tagami M, Kushuara S, Honda S, Tsukahara Y, Negi A. Rapid regression of retinal hemorrhage and neovascularization in a case of familial exudative vitreoretinopathy treated with intravitreal bevacizumab. Graefes Arch Clin Exp Ophthalmol. 2008;246:1787-1789
| Louis K. Chang, MD, PhD, is assistant professor of ophthalmology at the Edward S. Harkness Eye Institute of the Columbia University Medical Center in New York. He reports no financial interest in any products mentioned in this article. Dr. Chang can be reached via email at lc2459@columbia.edu. |







