PEER REVIEWED
The Role of Inflammation in AMD
Research is revealing many possible links between AMD and the inflammatory response
Pouya N. Dayani, MD • David S. Boyer, MD
The number of individuals affected by age-related macular degeneration is expected to increase by 50% by the year 2020.1 Although a hereditary component to the development of AMD has been identified, AMD is believed to be a polygenic disease (Figure 1), with a number of genes affecting the susceptibility of an individual.2,3 Some of the factors reported to play a role in the development of AMD include age, race, sex, diet, smoking and obesity.1 Systemic processes, such as vascular disease, atherosclerosis and even infectious etiologies have also been implicated in the pathogenesis of AMD.4,5
Figure 1. AMD is believed to be a polygenic disease, with a number of genes affecting the susceptibility of an individual.
EVIDENCE OF INFLAMMATION
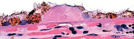
Of the above factors, there has been increasing support in recent years that inflammation plays a critical role in the development and progression of AMD.6-8,9-11 Drusen formation (Figure 2), which is the earliest clinical finding and the hallmark of AMD, has been shown to result from a localized inflammatory response.7-9 Support for this concept comes from the observation that several components of complement and other proteins involved with immune-mediated processes and inflammation are present in drusen.12
Figure 2. The drusen pathway may sometimes be linked to inflammatory processes. COURTESY OF MORTON E. SMITH, MD
For example, amyloid, which is an acute phase reactant and a major inflammatory component of the plaques seen in Alzheimer's disease, is also observed in drusen.13 Other components of drusen include proteins involved in modulating the immune response, such as vitronectin, apolipoproteins B and E, and complement receptor 1.14 Furthermore, a number of inflammatory associations with the presence of drusen or retinal pigment epithelium changes have been described, including a history of arthritis, periodontal disease, oral steroid use and cyclo-oxygenase 2–inhibitor use.15
A number of studies have also provided growing evidence that inflammation plays an important role in the formation of choroidal neovascularization. For example, early monocyte activation and the presence of chronic inflammatory cells on the outer surface of Bruch's membrane have been described in eyes with neovascular AMD.16,17 These inflammatory cells are thought to damage Bruch's membrane through the release of proteolytic enzymes, oxidants, and toxic oxygen compounds.15,18
Further support for this association comes from experimental models in which inflammatory cells, such as neutrophils, have been shown to induce CNV. Abnormal macrophage recruitment has been associated with vascular endothelial growth factor production by the RPE and may be involved in stimulating aberrant angiogenesis.19 Additional support for the role of macrophages in the development of CNV comes from data showing that depletion of macrophages is associated with a reduction in the size and leakage of experimental, laser-induced CNV.20,21
THE ROLE OF OXIDATIVE STRESS
Advanced age is a known risk factor for the development of AMD. Studies have shown that a number of changes take place with age that may predispose the RPE and choriocapillaris to oxidative damage. These changes include a decrease in plasma levels of glutathione, vitamin C, and vitamin E, as well as a decrease in RPE-cell vitamin E levels and catalase activity.14 Other reported changes include increased RPE lipofuscin content and increase lipid peroxidation.14
This increased oxidative stress and the resulting RPE (and likely choroidal) injury may elicit an inflammatory response in Bruch's membrane and the choroid. An abnormal extracellular matrix (ECM), largely derived from the RPE and photoreceptors, is then produced, altering the diffusion of nutrients to the retina and choroid, causing further damage to these structures. The results of the Age-Related Eye Disease Study showed that antioxidant supplementation could mitigate some of this oxidative damage and decrease the progression of AMD.22 In addition, lipofuscin formation in RPE cells has been shown to be reduced by antioxidant therapy.23
THE COMPLEMENT CASCADE
A number of recent reports have strongly implicated variants in the complement cascade that modify the risk of AMD, with the most consistent evidence concerning the complement factor H (CFH), complement factor B/complement component 2, and complement component 3 genes.24-31 The most significant association has been between the Y402H polymorphism in CFH, which may account for up to 59% of AMD cases.24-26,32 The involved gene is on chromosome 1, in an area of multiple genes involved in complement regulation.33
The complement system, which is part of the innate immune system, helps to protect host cells from invading pathogens, to remove debris, and to enhance cell-mediated immune responses. There are three arms to the complement system: the classic arm, the lectin-mediated arm and the alternative arm. Complement factor H is a powerful inhibitor of the complement system and is a regulatory molecule in the alternative and classic complement systems. It has been suggested that a CFH dysfunction, such as that caused by the Y402H polymorphism, could disrupt the normal complement cascade. This process, in return, can lead to an elevated immune response, thereby adversely affecting healthy tissue.33
C-reactive protein, a general marker of systemic inflammation, has been associated with AMD and its progression and has been shown to have a synergistic relationship with the CFH variant (possibly as a result of altered binding by factor H).3,34-43 Elevated levels of other inflammatory biomarkers, such as interleukin-6, have also been observed in AMD patients.35
Genome-wide association studies have identified a number of genetic loci associated with AMD. A recent large meta-analysis of genome-wide association studies by Yu et al. confirmed associations for 10 previously published advanced AMD loci and reported two novel associations near FRK/COL10A1 and VEGFA.3 The authors concluded that the genetic loci associated with AMD suggest that the disease process is partly mediated by dysregulation of the alternate complement pathway (CFH, C2, CFB, C3, CF1), HDL cholesterol metabolism (LIPC, CETP, ABCA1), angiogenesis (VEGFA), and degradation of the extracellular matrix (COL10A1, COL8A1, FRK, TIMP3 and possibly ARMS2).3
Another genome-wide association study observed a protective effect from a SKIV2L variant, a gene near the complement component 2/complement factor B locus, further establishing the link between inflammatory and oxidative stress pathways and AMD.50 This study also identified a protective effect at MYRIP, a gene involved in RPE melanosome trafficking. The authors propose that the protective effect of MYRIP may be a result of minimizing RPE exposure to reactive oxygen species, thereby preventing or delaying declines in RPE function.50
A COMPARATIVE MODEL OF CHOLESTEROL
It has been suggested that cardiovascular disease can provide a comparative model for the role of cholesterol in the pathogenesis of AMD.51 Cardiovascular disease and AMD share a number of the same risk factors, including hypertension, high body mass index, a history of smoking, elevated plasma fibrinogen, homocysteine, C-reactive protein and other cytokines.34,35,52-54 Moreover, aspirin (an anti-inflammatory drug) and statin therapy (which decreases CRP) are associated with decreased rates of CNV in AMD patients.56,57
Plaques in carotid bifurcation and lower extremity arterial disease have also been associated with AMD.55 The presence of cholesterol, apolipoprotein B and apolipoprotein E in drusen and basal linear deposits of RPE cells links AMD with lipoproteins involved in the pathogenesis of atheroscelrosis.58 To date, however, the association between serum lipid and AMD has been inconsistent.59-62
As mentioned above, genome-wide association studies have recently shown an association between AMD and hepatic lipase (LIPC), a gene located at chromosome 15q22.63-65 This new variant encodes the hepatic lipase enzyme and affects serum HDL cholesterol levels.66
A study by Reynolds et al. reported on the associations of the LIPC gene with lipid biomarkers and AMD.64 They found that the HDL-raising allele of the LIPC gene was associated with a reduced risk of AMD. Higher total cholesterol and LDL levels were associated with an increased risk of AMD, whereas higher HDL levels reduced the risk of advanced AMD.
Associations between human leukocyte antigens (HLA) class 2 and class 2 polymorphisms and AMD have also been reported, further supporting the role of the immune system and AMD pathogenesis.67 Moreover, immunological mimicry between host and microbial glycoproteins has been suggested as a possible source of local immune response and inflammation.
For example, the retinal S-antigen, a photoreceptor cell protein, has immunological similarities with streptococcal M protein.68 This similarity is consistent with the observation that patients with certain ocular diseases can have circulating antibodies to retinal proteins and implicates the possibility of an autoimmune process in AMD pathogenesis. Other researchers have suggested that an infectious agent could cause aberrant activation of the compliment pathway, leading to the development of AMD. For example, there are conflicting data regarding the association of C. pneumoniae and AMD.69-71
CONCLUSION
In summary, there is substantial evidence that AMD is associated with local and systemic inflammatory processes. It is possible that inflammation triggers a process that is subsequently perpetuated, leading to clinically evident AMD. It is also possible that inflammation results from already existing changes, which then trigger the progression of AMD.
As our current understanding of the role of inflammatory and immune-mediated processes in AMD pathogenesis continues to grow, additional diagnostic and thera peutic interventions (such as those targeting the complement pathway) will hopefully be developed to target these factors. In addition, patients at high risk for disease progression may be recognized by assessing known risk factors, such as demographic, environmental and macular characteristics, as well as the multiple genetic loci identified in recent studies.72 This process may allow earlier intervention in the disease process, thereby slowing or arresting the development of the disease. RP
REFERENCES
1. Donoso LA, Kim D, Frost A, Callahan A, Hageman G. The role of inflammation in the pathogenesis of age-related macular degeneration. Surv Ophthalmol. 2006;51:137-152.
2. Silvestri G. Age-related macular degeneration: genetics and implications for detection and treatment. Mol Med Today. 1997;3:84-91.
3. Yu Y, Bhangale TR, Fagerness J, et al. Common variants near FRK/COL10A1 and VEGFA are associated with advanced age-related macular degeneration. Hum Mol Genet. 2011 Jul 12. [Epub ahead of print]
4. Klein R, Clegg L, Cooper LS, et al. Prevalence of age-related maculopathy in the Atherosclerosis Risk in Communities Study. Arch Ophthalmol. 1999;117:1203-1210.
5. Miller DM, Espinosa-Heidmann DG, Legra J, et al. The association of prior cytomegalovirus infection with neovascular age-related macular degeneration. Am J Ophthalmol. 2004;138:323-328.
6. Penfold PL, Killingsworth MC, Sarks SH. Senile macular degeneration. The involvement of giant cells in atrophy of the retinal pigment epithelium. Invest Ophthalmol Vis Sci. 1986;27:364-371.
7. Anderson DH, Mullins RF, Hageman GS, Johnson LV. A role for local inflammation in the formation of drusen in the aging eye. Am J Ophthalmol. 2002;134:411-431.
8. Hageman GS, Luthert PJ, Victor Chong NH, et al. An integrated hypothesis that considers drusen as biomarkers of immune-mediated processes at the RPEBruch's membrane interface in aging and age-related macular degeneration. Prog Retin Eye Res. 2001;20:705-732.
9. Johnson LV, Leitner WP, Staples MK, Anderson DH. Complement activation and inflammatory processes in Drusen formation and age related macular degeneration. Exp Eye Res. 2001;73:887-896.
10. Penfold PL, Provis JM, Billson FA. Age-related macular degeneration: ultrastructural studies of the relationship of leucocytes to angiogenesis. Graefes Arch Clin Exp Ophthalmol. 1987;225:70-76.
11. Green WR, Key SN 3rd. Senile macular degeneration: a histopathologic study. 1977. Retina. 2005;25:180-250; discussion 250-254.
12. Klein R, Klein BE, Tomany SC, Cruickshanks KJ. Association of emphysema, gout, and inflammatory markers with long-term incidence of age-related maculopathy. Arch Ophthalmol. 2003;121:674-678.
13. Anderson DH, Talaga KC, Rivest AJ, Barron E, Hageman GS, Johnson LV. Characterization of beta amyloid assemblies in drusen: the deposits associated with aging and age-related macular degeneration. Exp Eye Res 2004;78:243-256.
14. Zarbin MA. Current concepts in the pathogenesis of age-related macular degeneration. Arch Ophthalmol. 2004;122:598-614.
15. Klein R, Knudtson MD, Klein BE, et al. Inflammation, complement factor h, and age-related macular degeneration: the Multi-ethnic Study of Atherosclerosis. Ophthalmology. 2008;115:1742-1749.
16. Cousins SW, Espinosa-Heidmann DG, Csaky KG. Monocyte activation in patients with age-related macular degeneration: a biomarker of risk for choroidal neovascularization? Arch Ophthalmol. 2004;122:1013-1018.
17. Penfold PL, Madigan MC, Gillies MC, Provis JM. Immunological and aetiological aspects of macular degeneration. Prog Retin Eye Res. 2001;20:385-414.
18. Kannel WB, Anderson K, Wilson PW. White blood cell count and cardiovascular disease. Insights from the Framingham Study. JAMA. 1992;267:1253-1256.
19. Apte RS, Richter J, Herndon J, Ferguson TA. Macrophages inhibit neovascularization in a murine model of age-related macular degeneration. PLoS Med. 2006;3:e310.
20. Sakurai E, Anand A, Ambati BK, van Rooijen N, Ambati J. Macrophage depletion inhibits experimental choroidal neovascularization. Invest Ophthalmol Vis Sci. 2003;44:3578-3585.
21. Espinosa-Heidmann DG, Suner IJ, Hernandez EP, Monroy D, Csaky KG, Cousins SW. Macrophage depletion diminishes lesion size and severity in experimental choroidal neovascularization. Invest Ophthalmol Vis Sci. 2003;44:3586-3592.
22. A randomized, placebo-controlled, clinical trial of high-dose supplementation with vitamins C and E, beta carotene, and zinc for age-related macular degeneration and vision loss: AREDS report no. 8. Arch Ophthalmol. 2001;119:1417-1436.
23. Sundelin SP, Nilsson SE. Lipofuscin-formation in retinal pigment epithelial cells is reduced by antioxidants. Free Radic Biol Med. 2001;31:217-225.
24. Edwards AO, Ritter R, 3rd, Abel KJ, Manning A, Panhuysen C, Farrer LA. Complement factor H polymorphism and age-related macular degeneration. Science. 2005;308:421-424.
25. Haines JL, Hauser MA, Schmidt S, et al. Complement factor H variant increases the risk of age-related macular degeneration. Science. 2005;308:419-421.
26. Klein RJ, Zeiss C, Chew EY, et al. Complement factor H polymorphism in agerelated macular degeneration. Science. 2005;308:385-389.
27. Li M, Atmaca-Sonmez P, Othman M, et al. CFH haplotypes without the Y402H coding variant show strong association with susceptibility to age-related macular degeneration. Nat Genet. 2006;38:1049-1054.
28. Gold B, Merriam JE, Zernant J, et al. Variation in factor B (BF) and complement component 2 (C2) genes is associated with age-related macular degeneration. Nat Genet. 2006;38:458-462.
29. McKay GJ, Silvestri G, Patterson CC, Hogg RE, Chakravarthy U, Hughes AE. Further assessment of the complement component 2 and factor B region associated with age-related macular degeneration. Invest Ophthalmol Vis Sci. 2009;50:533-539.
30. Spencer KL, Hauser MA, Olson LM, et al. Protective effect of complement factor B and complement component 2 variants in age-related macular degeneration. Hum Mol Genet. 2007;16:1986-1992.
31. Yates JR, Sepp T, Matharu BK, et al. Complement C3 variant and the risk of age-related macular degeneration. N Engl J Med. 2007;357:553-561.
32. Thakkinstian A, Han P, McEvoy M, et al. Systematic review and meta-analysis of the association between complement factor H Y402H polymorphisms and age-related macular degeneration. Hum Mol Genet. 2006;15:2784-2790.
33. Augustin AJ, Kirchhof J. Inflammation and the pathogenesis of age-related macular degeneration. Expert Opin Ther Targets. 2009;13:641-651.
34. Seddon JM, Gensler G, Milton RC, Klein ML, Rifai N. Association between C-reactive protein and age-related macular degeneration. JAMA. 2004;291:704-710.
35. Seddon JM, George S, Rosner B, Rifai N. Progression of age-related macular degeneration: prospective assessment of C-reactive protein, interleukin 6, and other cardiovascular biomarkers. Arch Ophthalmol. 2005;123:774-782.
36. Robman L, Baird PN, Dimitrov PN, Richardson AJ, Guymer RH. C-reactive protein levels and complement factor H polymorphism interaction in agerelated macular degeneration and its progression. Ophthalmology;117:1982-1928.
37. Vine AK, Stader J, Branham K, Musch DC, Swaroop A. Biomarkers of cardiovascular disease as risk factors for age-related macular degeneration. Ophthalmology. 2005;112:2076-2080.
38. Despriet DD, Klaver CC, Witteman JC, et al. Complement factor H polymorphism , complement activators, and risk of age-related macular degeneration. JAMA. 2006;296:301-309.
39. Johnson PT, Betts KE, Radeke MJ, Hageman GS, Anderson DH, Johnson LV. Individuals homozygous for the age-related macular degeneration risk-conferring variant of complement factor H have elevated levels of CRP in the choroid. Proc Natl Acad Sci U S A. 2006;103:17456-17461.
40. Boekhoorn SS, Vingerling JR, Witteman JC, Hofman A, de Jong PT. C-reactive protein level and risk of aging macula disorder: The Rotterdam Study. Arch Ophthalmol. 2007;125:1396-1401.
41. Schaumberg DA, Christen WG, Buring JE, Glynn RJ, Rifai N, Ridker PM. Highsensitivity C-reactive protein, other markers of inflammation, and the incidence of macular degeneration in women. Arch Ophthalmol. 2007;125:300-305.
42. Kikuchi M, Nakamura M, Ishikawa K, et al. Elevated C-reactive protein levels in patients with polypoidal choroidal vasculopathy and patients with neovascular age-related macular degeneration. Ophthalmology. 2007;114:1722-1727.
43. Kim IK, Ji F, Morrison MA, et al. Comprehensive analysis of CRP, CFH Y402H and environmental risk factors on risk of neovascular age-related macular degeneration. Mol Vis. 2008;14:1487-1495.
44. Jakobsdottir J, Conley YP, Weeks DE, Mah TS, Ferrell RE, Gorin MB. Susceptibility genes for age-related maculopathy on chromosome 10q26. Am J Hum Genet. 2005;77:389-407.
45. Kanda A, Chen W, Othman M, et al. A variant of mitochondrial protein LOC38 - 7715 /ARMS2, not HTRA1, is strongly associated with age-related macular degeneration. Proc Natl Acad Sci U S A. 2007;104:16227-16232.
46. Rivera A, Fisher SA, Fritsche LG, et al. Hypothetical LOC387715 is a second major susceptibility gene for age-related macular degeneration, contributing independently of complement factor H to disease risk. Hum Mol Genet. 2005;14:3227-3236.
47. Yang Z, Camp NJ, Sun H, et al. A variant of the HTRA1 gene increases susceptibility to age-related macular degeneration. Science. 2006;314:992-993.
48. SanGiovanni JP, Arking DE, Iyengar SK, et al. Mitochondrial DNA variants of respiratory complex I that uniquely characterize haplogroup T2 are associated with increased risk of age-related macular degeneration. PLoS One. 2009;4:e5508.
49. Canter JA, Olson LM, Spencer K, et al. Mitochondrial DNA polymorphism A4917G is independently associated with age-related macular degeneration. PLoS One. 2008;3:e2091.
50. Kopplin LJ, Igo RP Jr, Wang Y, et al. Genome-wide association identifies SKIV2L and MYRIP as protective factors for age-related macular degeneration. Genes Immun. 2010;11:609-521.
51. Wang L, Li CM, Rudolf M, et al. Lipoprotein particles of intraocular origin in human Bruch membrane: an unusual lipid profile. Invest Ophthalmol Vis Sci. 2009;50:870-877.
52. Hyman L, Schachat AP, He Q, Leske MC. Hypertension, cardiovascular disease, and age-related macular degeneration. Age-Related Macular Degeneration Risk Factors Study Group. Arch Ophthalmol. 2000;118:351-358.
53. Smith W, Mitchell P, Leeder SR, Wang JJ. Plasma fibrinogen levels, other cardiovascular risk factors, and age-related maculopathy: the Blue Mountains Eye Study. Arch Ophthalmol. 1998;116:583-587.
54. Snow KK, Seddon JM. Do age-related macular degeneration and cardiovascular disease share common antecedents? Ophthalmic Epidemiol. 1999;6:125-143.
55. Vingerling JR, Dielemans I, Bots ML, Hofman A, Grobbee DE, de Jong PT. Agerelated macular degeneration is associated with atherosclerosis. The Rotterdam Study. Am J Epidemiol. 1995;142:404-409.
56. Wilson HL, Schwartz DM, Bhatt HR, McCulloch CE, Duncan JL. Statin and aspirin therapy are associated with decreased rates of choroidal neovascularization among patients with age-related macular degeneration. Am J Ophthalmol. 2004;137:615-624.
57. Albert MA, Danielson E, Rifai N, Ridker PM. Effect of statin therapy on C-reactive protein levels: the pravastatin inflammation/CRP evaluation (PRINCE): a randomized trial and cohort study. JAMA. 2001;286:64-70.
58. Malek G, Li CM, Guidry C, Medeiros NE, Curcio CA. Apolipoprotein B in cholesterol-containing drusen and basal deposits of human eyes with age-related maculopathy. Am J Pathol. 2003;162:413-425.
59. van Leeuwen R, Vingerling JR, Hofman A, de Jong PT, Stricker BH. Cholesterol lowering drugs and risk of age related maculopathy: prospective cohort study with cumulative exposure measurement. BMJ. 2003;326:255-6.
60. van Leeuwen R, Klaver CC, Vingerling JR, et al. Cholesterol and age-related macular degeneration: is there a link? Am J Ophthalmol. 2004;137:750-2.
61. Tomany SC, Wang JJ, Van Leeuwen R, et al. Risk factors for incident agerelated macular degeneration: pooled findings from 3 continents. Ophthalmology. 2004;111:1280-1287.
62. Abalain JH, Carre JL, Leglise D, et al. Is age-related macular degeneration associated with serum lipoprotein and lipoparticle levels? Clin Chim Acta. 2002;326:97-104.
63. Neale BM, Fagerness J, Reynolds R, et al. Genome-wide association study of advanced age-related macular degeneration identifies a role of the hepatic lipase gene (LIPC). Proc Natl Acad Sci U S A;107:7395-7400.
64. Reynolds R, Rosner B, Seddon JM. Serum lipid biomarkers and hepatic lipase gene associations with age-related macular degeneration. Ophthalmology; 117:1989-1995.
65. Chen W, Stambolian D, Edwards AO, et al. Genetic variants near TIMP3 and high-density lipoprotein-associated loci influence susceptibility to age-related macular degeneration. Proc Natl Acad Sci U S A;107:7401-7406.
66. Kathiresan S, Willer CJ, Peloso GM, et al. Common variants at 30 loci contribute to polygenic dyslipidemia. Nat Genet. 2009;41:56-65.
67. Goverdhan SV, Howell MW, Mullins RF, et al. Association of HLA class I and class II polymorphisms with age-related macular degeneration. Invest Ophthalmol Vis Sci. 2005;46:1726-1734.
68. Lerner MP, Donoso LA, Nordquist RE, Cunningham MW. Immunological mimicry between retinal S-antigen and group A streptococcal M proteins. Autoimmunity. 1995;22:95-106.
69. Robman L, Mahdi O, McCarty C, et al. Exposure to Chlamydia pneumoniae infection and progression of age-related macular degeneration. Am J Epidemiol. 2005;161:1013-1019.
70. Kalayoglu MV, Galvan C, Mahdi OS, Byrne GI, Mansour S. Serological association between Chlamydia pneumoniae infection and age-related macular degeneration. Arch Ophthalmol. 2003;121:478-482.
71. Robman L, Mahdi OS, Wang JJ, et al. Exposure to Chlamydia pneumoniae infection and age-related macular degeneration: the Blue Mountains Eye Study. Invest Ophthalmol Vis Sci. 2007;48:4007-4011.
72. Seddon JM, Reynolds R, Maller J, Fagerness JA, Daly MJ, Rosner B. Prediction model for prevalence and incidence of advanced age-related macular degeneration based on genetic, demographic, and environmental variables. Invest Ophthalmol Vis Sci. 2009;50:2044-2053.
| Pouya N. Dayani, MD, and David S. Boyer, MD, practice with Retina-Vitreous Associates Medical Group in Los Angeles. Neither author reports any financial interest in the products mentioned in this article. Dr. Dayani can be reached via e-mail at pdayani@gmail.com. |







