Case Study
Branch Retinal Artery Occlusion Associated With Sildenafil Citrate
In one specific case, a causal relationship appears likely.
Daniel A. Chruscicki, MD • Stephanie Sutton, MS • Leigh Sutton, MS
Sildenafil citrate (Viagra, Pfizer) is a well-known oral treatment for erectile dysfunction. It is a selective inhibitor of cyclic guanosine monophosphate (cGMP)-specific phosphodiesterase type 5 (PDE5).1 When sexual stimulation causes local release of nitric oxide, inhibition of PDE5 by sildenafil causes increased levels of cGMP in the corpus cavernosum, resulting in smooth muscle relaxation and inflow of blood to the corpus cavernosum.1
There have been numerous reports of ocular side effects thought to be associated with sildenafil. Side effects previously reported with sildenafil include nonarteritic ischemic optic neuropathy (NAION),2 combined NAION with cilioretinal artery obstruction,3 and a pupil-sparing third nerve palsy.4
We report here a case of branch retinal artery occlusion (BRAO) with loss of central vision that occurred within hours after taking oral sildenafil.
A 72-year-old Asian man with a medical history that included erectile dysfunction, hypertension, gastric reflux and benign prostate hyperplasia presented with a history of decreased vision after taking sildenafil. The patient reported that two hours after taking 50 mg sildenafil, he noticed the vision in his right eye becoming purple and then red. The next morning, the patient woke up and he noticed that the vision in his right eye was blurred. According to his history, the patient had been taking sildenafil for several years without any problems. There were no other recent changes to his drug regimen. At the time of the incident, he was also taking tamsulosin 0.4 mg PO daily, omeprazole 40 mg PO daily, ramipril 5 mg PO daily, aspirin 81 mg PO daily, hydrochlorothiazide 25 mg PO daily and a Lactobacillus acidophilus dietary supplement.
Upon awakening, the patient noticed blurred vision and was soon seen by the ophthalmologist. The ophthalmic exam revealed visual acuity of 20/30 OD and 20/20 OS. The patient did note some blurring of vision in the right eye. Intraocular pressures and the slit-lamp exam were unremarkable, with the exception of centered posterior chamber implants. A fundus exam of the macula and optic nerve was unremarkable in both eyes. Confrontation fields were normal, and formal fields were not obtained as it was a weekend exam. The patient left the country the following day and returned to the clinic in three weeks.
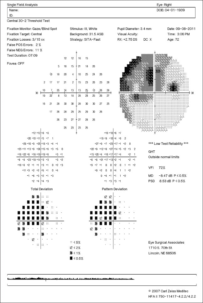
While overseas, he had noted his blurred vision had worsened and was seen by an ophthalmologist, with unknown findings. Upon return to the US clinic, the patient's vision had now dropped to count fingers at 3.5 feet, and color vision in the right eye was 0/14 using Ishihara color plates. Marcus Gunn pupil was noted on the right side. A dilated exam of the right eye now revealed edema of the inner retinal layers affecting the fovea. No plaques or emboli were identified. Fluorescein angiography of the right eye showed severe delay in dye transit time and the absence of dye in two branches of the inferior retinal arterial system (Figure 1). Formal visual field testing revealed a dense superotemporal scotoma (Figure 2), corresponding to the area of the retina affected by the artery occlusion.
A diagnosis of BRAO was made. Carotid Dopplers and sedimentation rate were found to be within normal range. A general physical exam did not reveal any new or uncontrolled conditions.
Figure 1. Fluorescein angiography of the right eye showed a severe delay in dye transit time and an absence of dye in two branches of the inferior retinal arterial system.
Figure 2. Formal visual field testing revealed a dense superotemporal scotoma corresponding to the area of the retina affected by the artery occlusion.
DISCUSSION
While the association is debated, there have been a number of reports of ocular ischemic vascular episodes following oral intake of sildenafil. Most of the reports involve NAION occurring within 36 hours of administration of sildenafil.2 Vascular occlusion events after the use of sildenafil have been previously reported on three separate occasions. 3,5,6 A direct causal relationship between sildenafil and NAION or vascular occlusion events has not been established. 2,7 It has been suggested that the risk of ocular occlusive events may be greater in a population with cardiovascular disease. Therefore, the incidence of ocular ischemic events could be higher in the population that benefits from use of sildenafil, given its increased age and potentially greater incidence of circulatory problems.8
The question arises as to the impact of the patient taking a long-distance flight soon after the onset of the ocular symptoms. While there are many reports associating longdistance flights with deep vein thrombosis9, a PubMed search failed to produce any reports of extended flights resulting in ocular ischemic events. Both venous stasis and dehydration associated with long-distance flights could play a role in vascular dynamics. A possibility that arises in this particular case is whether the use of sildenafil followed by a long-distance overseas flight created a unique compounding of events that resulted in the progression of vision loss that the patient experienced.
This report of vision loss is significant because the patient initially reported changes in color vision, which soon progressed to blurred vision and then a loss of central vision secondary to a BRAO without any intervals of recovery or clearing of vision. The timing and sequence of events suggests that the oral intake of sildenafil was a contributing factor in the development of BRAO in this particular patient.
The determination of whether sildenafil increases the risk of ocular ischemic events in an erectile dysfunction population would require the study of a large group of patients, taking care to control for medical problems such as cardiovascular disease. However, this particular incident strongly suggests that, in specific patients, the use of sildenafil can result in loss of central vision from BRAO. RP
REFERENCES
1. Full prescribing information for sildenafil citrate. Pfizer Web site. http://www.pfizer.com/files/products/uspi_viagra.pdf. Accessed October 13, 2011.
2. Pomeranz HD, Bhavsar AR. Nonarteritic ischemic optic neuropathy developing soon after use of sildenafil (Viagra): A report of seven new cases. J Neuroophthalmol. 2005;25:9-13.
3. Akash R, Hrishikesh D, Amith P, Sabah S. Association of combined nonarteritic anterior ischemic optic neuropathy (NAION) and obstruction of cilioretinal artery with overdose of Viagra. J Ocular Pharm Ther. 2005;21:315-317.
4. Donohue SP, Taylor R. Pupil-sparing third nerve palsy associated with sildenafil citrate (Viagra). Am J Ophthalmol. 1998;126:476-477.
5. Bertolucci A, Latkany RA, Gentile RC, Bosen RB. Hemi-retinal artery occlusion associated with sexual activity and sildenafil citrate (Viagra). Acta Ophthalmol Scand. 2003;81:198-200.
6. Tripathi A, O'Donnell NP. Branch retinal artery occlusion; another complication of sildenafil. Br J Ophthamol. 2000;84:934-935.
7. Laties AM. Vision disorders and phosphodiesterase type 5 inhibitors. Drug Safety. 2009;32:1-18.
8. Marmor MF, Kessler R. Sildenafil (Viagra) and ophthalmology. Surv Ophathalmol. 1999;44:153-162.
9. Philbrick JT Shumate R, Siadaty MS, Becker DM, Air travel and venous thromboembolism: a systematic review J Gen Intern Med. 2007;22:107-114.
| Daniel A. Chruscicki, MD, practices with Eye Surgical Associates in Lincoln, NE. Stephanie Sutton, MS, and Leigh Sutton, MS, are secondat fourth-year medical students at the University of Nebraska Medical Center. None of the authors reports any financial interest in any products mentioned in this article. Dr. Chruscicki can be reached via e-mail at dchruscicki@gmail.com. |







