Myopic Foveoschisis: A Common Complication in High Myopia
Hisham Alkuraya, MD
Myopic foveoschisis (MF), characterized by an intraretinal cleavage in the myopic posterior staphyloma, is not an uncommon complication. It affects 8% to 34% of eyes with high myopia, defined as a refractive error >-6.0 D and an axial length >26 mm.1-3
In 1958, Phillips noted that localized posterior retinal detachment over the posterior staphyloma might occur without a detectable macular hole and postulated that “retinoschisis” might explain such cases.4,5 However, it was not until 1999 that the term “foveal retinoschisis” was coined by Takano and Kishi based on optical coherence tomography, then a newly invented modality of retinal imaging. Later, MF was used interchangeably to describe the same phenomenon. Indeed, OCT was critical in making a diagnosis of MF because MF is difficult to visualize with slit-lamp biomicroscopy in highly myopic eyes, given the limited contrast of the areas of chorioretinal atrophy. When seen on slit-lamp exam, however, MF may take the appearance of a shallow macular elevation with or without intraretinal cystic spaces (Figure 1).
 
    Figure 1. Color fundus photo of a highly myopic patient who presented with progressive reduction in vision. Notice the significant myopic degeneration in the posterior pole. The patient was found to have myopic foveoschisis (MF) with foveal detachment.
In general, MF is a diagnosis of relatively old age (>40 years old), but it can also be seen in younger patients.7-9 Patients may or may not present with visual symptoms, which may include reduced or blurry vision, in which visual acuity ranges from 20/25 to counting fingers,1,10 and metamorphopsia.
OCT AND MF
The standard test to detect MF remains OCT. Although time-domain OCT has commonly been used to study the prevalence and characteristics of MF,6,9,11 the new generation spectral-domain OCT, with its superior resolution and ability to provide three-dimensional images, provides such exquisite structural details of the retina that MF can not only be more easily diagnosed, but the other vitreoretinal changes that commonly accompany this complication can also be detected.
On OCT scans, eyes with MF exhibit a thickened retina in the posterior pole and hyporeflective splitting between the less reflective outer retina and the more reflective inner retina.10 Column-like formations are often noted across the hyporeflective space.9
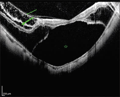
Myopic foveoschisis can be isolated or, more often, accompanied by other macular abnormalities, namely foveal detachment (FD), epimacular structure (EMS), lamellar or full-thickness macular hole (MH), retinal microfolds, and photoreceptor defects at the inner and outer segment (IS/OS) junction7,12-14 (Figure 2).
 
    Figure 2. SD-OCT image of a 60-year-old woman with high myopia and posterior staphyloma demonstrating typical MF (large arrow), premacular structure (small arrow), and foveal detachment (star).
Foveal detachment, characterized by separation between the retinal pigment epithelium and photoreceptor layers, is the most common accompanying finding.10,14 It usually occurs following the formation of the foveoschisis10 and may precede macular hole formation.15 EMS is the hyper-reflective line that appears on some OCT images overlying the inner schisis. This tractional structure could be a partially detached posterior hyaloid, epiretinal membrane, or detached internal limiting membrane.9,10,14 Transmission electron microscopy on the excised EMS has revealed that it is made of fibroblast-like cells, collagen matrix and a very thin posterior hyaloid, and no ILM was found.14
Macular hole is a well-known complication of MF that can occur spontaneously9,10,12,15,16 or following vitrectomy for MF (see below). The pathogenesis of spontaneous MH formation in MF is not very clear. However, traction exerted by the vitreous and/or epimacular structure is a likely mechanism.15,16
Sun et al.15 have recently described, based on OCT, two patterns of MH formation: Pattern 1 is when a focal area of the external retinal layer overlying the RPE is elevated, followed by the development of a small outer lamellar macular hole (OLMH) and a small FD. The OLMH and FD then enlarge and elevate until the OLMH is attached to the overlying retinal layer. The MH will eventually develop when the roof of the FD opens. Pattern 2 is when an inner lamellar macular hole (ILMH) progresses directly to a full-thickness MH. Once developed, MF-related MH carries a poor visual prognosis, and the surgical results of vitrectomy are not satisfactory17, 18 (Figure 3).
 
    Figure 3. Vitrectomy for MF-related MH. Left: Preoperative SD-OCT image showing MF and MH. The corrected visual acuity was 20/200. PPV, membrane peeling, ILM peeling and gas tamponade were performed. Right: SD-OCT image at one month after surgery showing a resolution of the foveoschisis with persistent MH. Visual acuity remained the same.
Retinal microfolds are common in eyes with MF following vitrectomy with ILM peeling; such association was first reported by Ikuno et al.7 after close examination of three-dimensional OCT images, and they suggested that these folds might result from a weak traction caused by an imbalance between the extension of retinal vessels and retinal tissues during the development of a posterior staphyloma.
Defects in the IS/OS in MF are an interesting observation that may contribute to progression of MF and may predict the postoperative visual recovery.13
NATURAL HISTORY
The natural course and evolution of MF is not well documented, one reason being that many patients with isolated MF — ie, without associated FD, premacular structure, or macular hole — are asymptomatic2,19 and thus its relative contribution to the overall natural history of the disease is almost certainly underestimated. It is difficult to detect which patient with MF will have a progressive course, but it has been shown that the presence of FD and/or premacular structure appear to be significant risk factors.10 Although increased axial length and macular chorioretinal atrophy are independently associated with a higher risk of MF formation,1 their direct influence on the progression of MF has yet to be determined.
SURGICAL MANAGEMENT
Although macular buckling and posterior scleral reinforcement have been successfully used to treat MF with good visual and anatomical outcomes,8,20 pars plana vitrectomy remains the procedure of choice. The surgical procedure consists of core vitrectomy followed by removal of the posterior hyaloid, which usually, in high myopic eyes, remains attached to the retina, even in the presence of signs of “complete” posterior vitreous detachment. Then, any ERM is peeled followed by gas tamponade (Figure 4; this author routinely uses a 23-gauge system). Patients are instructed to keep a face-down position for at least one week postoperatively.
 
    Figure 4. Peeling of epiretinal membrane (A) and internal limiting membrane (B) in a patient with MF.
Peeling of the ILM, with or without staining, remains controversial. Kuhn21 suggested that ILM is responsible for the macular detachment in highly myopic eyes, and thus ILM peeling is recommended. It is known that ILM peeling provides retinal redundancy and increases the chance for macular hole closure, and this fact may be applicable to MF.22 In addition, ILM peeling ensures complete removal of any residual posterior hyaloid and ERM.
However, ILM peeling in highly myopic eyes is technically challenging because of its consistency and lack of contrast in the areas of chorioretinal atrophy. Moreover, peeling of the ILM in eyes with MF has been linked to increased incidence of postoperative MH formation,23 although other studies have shown that this complication may occur even if no ILM peeling is carried out.10
Anatomical outcomes of vitrectomy for MF-related macular hole are poor;16,17 therefore, early detection of eyes with MF that have a high risk for progression to MH formation is crucial.
CONCLUSION
In summary, MF is a common finding in highly myopic eyes with posterior staphyloma, and OCT is essential for establishing the diagnosis. Left untreated, MF can result in significant visual loss. Vitrectomy with or without ILM peeling, followed by gas tamponade, is the standard treatment. Early detection and intervention in eyes with certain risk factors may lead to better visual and anatomical outcomes. RP
REFERENCES
1. Wu PC, Chen YH, Chen CH, et al. Factors associated with foveoschisis and foveal detachment without macular hole in high myopia. Eye. 2009;23:356-361.
2. Paba T, Ohno-Matsui K, Futagami S, et al. Prevalence and characteristics of foveal retinal detachment without macular hole in high myopia. Am J Ophthalmol. 2003;135:338-342.
3. Panozzo G, Mercanti A. Optical coherence tomography findings in myopic traction maculopathy. Arch Ophthalmol. 2004;122:1455-1460.
4. Phillips CI. Retinal detachment at the posterior pole. Br J Ophthalmol. 1958; 42:749-753.
5. Phillips CI, Dobbie JG. Posterior staphyloma and retinal detachment. Am J Ophthalmol. 1963;45:332-335.
6. Takano M, Kishi S. Foveal retinoschisis and retinal detachment. Am J Ophthalmol. 1999;128:472-476.
7. Ikuno Y, Gomi F, Tano Y. Potent arteriolar traction as a possible cause of myopic foveoschisis. Am J Ophthalmol. 2005;139:462-467.
8. Ando F, Ohba N, Touura K, Hirose H. Anatomical visual outcomes after episcleral macular buckling compared with those after pars plana vitrectomy for retinal detachment caused by macular hole in highly myopic eyes. Retina. 2007; 27:37-44.
9. Benhamou N, Massin P, Haouchine B, et al. Macular retinoschisis in highly myopic eyes. Am J Ophthalmol. 2002;133:794-800.
10. Gaucher D, Haouchine B, Tadayoni R, et al. Long-term follow-up of high myopic foveoschisis: natural course and surgical outcome. Am J Ophthalmol. 2007;143:455-462.
11. Forte R, Cennamo G, Pascotto F, de Crecchio G. En face optical coherence tomography of the posterior pole in high myopia. Am J Ophthalmol. 2008; 145:281-288.
12. Sayanagi K, Morimoto Y, Ikuno Y, Tano Y. Spectral-domain optical coherence tomographic findings in myopic foveoschisis, Retina. 2010;30:623-628.
13. Sayanagi K, Ikuno Y, Soga K, Tano Y. Photoreceptor inner and outer segment defects in myopic foveoschisis. Am J Ophthalmol. 2008;145: 902-908.
14. Fang X, Weng Y, Chen Z, et al. Optical coherence tomographic characteristics and surgical outcome of eyes with high myopic foveoschisis. Eye. 2009;23: 1336-1342.
15. Sun CB, Liu Z, Xue AQ, Yao K. Natural evolution from macular retinoschisis to full-thickness macular hole in highly myopic eyes. Eye; September 10[Epub ahead of print].
16. Matsumura N, Ikuno Y, Tano Y. Posterior vitreous detachment and macular hole formation in myopic foveoschisis. Am J Ophthalmol. 2004;138:1071-1073.
17. Ikuno Y, Tano y. Vitrectomy for macular holes associated with myopic foveoschisis. Am J Ophthalmol. 2006; 141:774-776.
18. Ikuno Y, Kamei M, Oshima T, et al. Optical coherence tomographic findings of macular holes and retinal detachment after vitrectomy in highly myopic eyes. Am J Ophthalmol. 2003;136:477-481.
19. Ichibe M, Baba E, Funaki S, Yashizawa T, Abe H. Retinoschisis in a highly myopic eye without vision impairmant. Retina. 2004;24:331-333.
20. Zhu Z, Ji X, Zhang J, Ke G. Posterior scleral reinforcement in the treatment of macular retinoschisis in highly myopic patients. Clin Expert Ophthalmol. 2009; 37:660-663.
21. Kuhn F. Internal limiting membrane removal for macular detachment in highly myopic eyes. Am J Ophthalmol. 2003;136:477-481.
22. Sayanagi K, Ikuno Y, Tano Y. Reoperation for persistent myopic foveoschisis after primary vitrectomy. Am J Ophthalmol. 2006;141:414-417.
23. Spaide RF, Fisher Y. Removal of adherent cortical vitreous plaques without removing the internal limiting membrane in the repair of macular detachments in highly myopic eyes. Retina. 2005;25:290-295.
| Hisham Alkuraya, MD, practices in the vitreoretinal division of King Khalid Eye Specialist Hospital in Riyadh, Saudi Arabia, and is on the faculty in the department of ophthalmology at the University of California–San Diego. He reports no financial interest in any products mentioned in this article. Dr. Alkuraya can be reached via e-mail at halkuraya@gmail.com. | 
 
  
            






