FOCUS ON…
Ellex's Eye Cubed: It's All About the Image
LESLIE GOLDBERG, ASSOCIATE EDITOR
Good image quality in an ultrasound is essential in making an accurate interpretation of both normal anatomy and pathology and Yale Fisher, MD, says that the Eye Cubed from Ellex delivers the “best digital images” he's seen.
“A good ultrasound system comes down to image quality and real-time quality — the ability to see how fast the sweeps are,” says Dr. Fisher, a specialist in vitreoretinal diseases at Vitreous-Retina-Macula Consultants of New York.
“If sweeps are slow, you won't get the quality of shimmer and movement as it is seen in life. The delay may stop people with less experience from making a diagnosis,” says Dr. Fisher. “It might make a difference between diagnosing a moving retinal detachment and a moving vitreous face with a heavy amount of hemorrhage on the back if it hasn't separated from the optic nerve. This is an important subtlety.”
A fundus photo demonstrates a multilobular choroidal mass.
The Eye Cubed provides an image acquisition rate of up to 25 frames per second. This speed creates a real-time view of detailed ocular activity, including blood-cell movement and membrane behavior, according to Ellex.
“What makes the Eye Cubed substantially different from other systems is the signal-to-noise ratio. This is an amplifier component,” explains Cynthia Kendall, BMET, CDOS, ROUB, vice president of clinical applications at Ellex.
“When you have a high signal and low noise ratio, the image is better. A high signal-to-noise ratio allows you to image incredibly tiny and subtle echoes,” she says. It also helps users to see groups of inflammatory blood cells in the vitreous, says Ms. Kendall. “If there is too much noise, you cannot sort what's meaningful — you can't discern noise from a hemorrhage,” she adds.
Ms. Kendall says that the amplifier is of great import when looking at ultrasound systems. “You get an echo when the sound bumps into something new. If the difference is large, it is easy to interpret. What is important is how small of a difference between tissues can be detected. For example, red blood cells floating in vitreous are not much different from the vitreous itself — and this is where the Eye Cubed shines.”
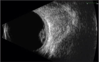
The B-scan ultrasound demonstrates an irregular mass.
The A-scan ultrasound indicates mixed medium and high internal reflectivity of the lesion. Ultrasonographic features help make the diagnosis of a choroidal hemorrhage rather than a choroidal melanoma.
PHYSICIAN FEEDBACK
As part of running the ocular oncology service, Tara A. McCannel, MD, PhD, Director of the Ophthalmic Oncology Center at the Jules Stein Eye Institute, reviews the most posterior segment ultrasounds in her department.
“The fourth-generation Eye Cubed can save images faster, stores them on a bigger hard drive, and has the capability to store images on a server. Exporting images is great; the fourth generation saves the images with the written report.”
Dr. McCannel uses ultrasonography as the number one ancillary test following her clinical exam in the management of patients who may harbor an ocular malignancy. “In the B-scan mode, the shape of the mass and the presence of more posterior involvement, such as extrascleral extension, can be determined. The A-scan is used to determine the internal reflectivity and to obtain tumor thickness and basal dimensions. We do an ultrasound at every visit and need to accurately compare the dimensions of the lesions over time and after treatment.”
Dr. Fisher says, in order to give a diagnosis, three pieces of information are needed.
- First, the user needs to be able to interpret in real time.
- Second, the user needs proper grayscale.
- The third, he says, is the most difficult: “The ability to take cross-sections and compose them into a three-dimensional map or topographical abnormality inside a globe.
Without those three things, it is difficult from a single still image to interpret anything. That's why Eye Cubed's movie feature is important,” says Dr. Fisher.
EXPERIENCED TECHNICIANS
Drs. Fisher and McCannel, as well as Ms. Kendall, stress the importance of having an experienced technician performing the ultrasound.
Ms. Kendall says that placing the probe directly on the globe provides doctors with substantially more information. “The image is degraded if you go through the eyelid, and you can't always tell where a patient is looking when his eye is closed,” says Ms. Kendall. “If you put the probe only on the closed upper eyelid, you probably have imaged 10% to 15% of the eye. The superior periphery is where retinal detachments start, and this is lost if you don't place the probe on the inferior globe.”
“I look at the screen in live format and look for objects of regard that will tell me where my image is coming from — like direct eye muscles and the optic nerve. I can then reproduce the areas again,” says Dr. Fisher. “An inexperienced technician will have problems with readouts and interpreting the data.”
For this reason, Dr. Fisher has developed a unique Web site to teach basic ultrasound and pattern recognition to residents and fellows. The site can be found at www.ophthalmicedge.org. RP
For information on Ellex's Eye Cubed, go to www.ellex.com/eye-cubed.







