Get Ready for the RVO Revolution
Injectable therapies move to the forefront, greatly expanding the options for clinicians.
ARSHAM SHEYBANI, MD ∙ RAJENDRA S. APTE, MD, PhD
Affecting around 1.1 million people in the United States alone, retinal venous occlusive (RVO) diseases are the second most common cause of visual loss due to retinal vascular disease.1,2 Figures 1 and 3 are typical fundus appearances of branch retinal vein occlusion (BRVO) and central retinal vein occlusion (CRVO), respectively. Until recently, retinal venous occlusions, especially central vein occlusions, fit into the subset of ocular diseases for which little could be done to enhance visual improvement.
Persistent macular edema (ME) in RVO is a major cause of decreased vision after the initial occlusive event.1 In 1984, the results from the Branch Vein Occlusion Study (BVOS) were released, initiating an evidence-based approach to treating vision loss secondary to BRVO.3 The study reported that over three years, 28 of 43 (65%) eyes gained two or more lines of vision when treated with grid photocoagulation. This was significantly different than the non-treatment group, in which only 13 of 35 (37%) eyes experienced the same gain in visual acuity. This study has continued to impact today's management of vision loss in BRVO secondary to ME. Argon laser photocoagulation remains the standard of care for patients with 20/40 vision or worse secondary to ME after BRVO of at least three months duration.
Ten years later, the Central Vein Occlusion Study (CVOS) sought to answer whether laser photocoagulation would improve vision in patients with CRVO and subsequent ME.4 Unfortunately, the study found no significant difference in visual acuity between treated and untreated groups, leaving essentially no validated treatment options based on level I evidence for these patients. Figures 2 and 4 are representative of the late phase leakage seen on fluorescein angiography in RVO attributed to ME.
| Arsham Sheybani, MD, is a resident in ophthalmology at the Washington University in St. Louis School of Medicine. Rajendra S. Apte, MD, PhD, is an assistant professor in the Department of Ophthalmology & Visual Sciences at Washington University. Neither author reports any financial interest in any products mentioned in this article. Dr. Apte can be reached via e-mail at apte@wustl.edu. |
MACULAR EDEMA
Since the CVOS, there have been a plethora of medical and surgical therapies with reported efficacy in treating RVO. From vitrectomy to laser chorioretinal anastomosis to radial optic neurotomy, investigators have attempted novel techniques that have been anecdotally reported to improve visual acuity in select patients but have not been proven to be efficacious in randomized, controlled clinical trials.5–8 In the last decade, intravitreal pharmacotherapies with steroids and anti-vascular endothelial growth factor (VEGF) agents have been reported to improve vision in patients with ME secondary to RVO.9–13 While there is pathophysiologic basis for using these agents in the treatment of ME associated with RVO,14–18 there lacked strong clinical trial data regarding the efficacy of these treatments until just recently.
RECENT STUDIES
Within the last year, results from several phase 2 and 3 randomized clinical trials have been released.
Wroblewski and colleagues published phase 2 results of a randomized, double-masked trial comparing intravitreal pegaptanib sodium to sham injection over a 24-week treatment period in patients with ME secondary to CRVO. Injections were given every six weeks for a total of five injections. The study included three arms: a 0.3 mg and 1 mg pegaptanib injection group and a sham injection group with 1:1:1 randomization.19 Ninety-eight subjects were recruited with follow-up through 30 weeks after study enrollment. There was no significant difference in the primary endpoint as the percentage of treated eyes gaining 15 letters or more of visual acuity from baseline did not differ between groups. There was, however, a trend toward visual improvement in the pegaptanib treatment arms with associated trends in anatomical improvement. The study found that 36% and 39% of patients treated with pegaptanib (0.3 mg and 1 mg) gained 15 or more letters from baseline compared to 28% in the sham treatment group.
The Standard Care vs. Corticosteroid for Retinal Vein Occlusion (SCORE) study compared the efficacy of 1 mg or 4 mg of intravitreal triamcinolone acetonide (IVT) with standard of care in both BRVO and CRVO. The SCORE-BRVO trial compared 1 mg and 4 mg IVT to laser photocoagulation over a 36-month study period with follow-up visits every four months.20 The primary endpoint was the percentage of patients with a gain in visual acuity of 15 or more letters from baseline. Treatment was planned at every visit and deferred if (1) the treatment was successful as measured by OCT, visual acuity, or ME (OCT thickness < 225 μm, visual acuity > 20/25); (2) in the judgment of the investigator the treatment was contraindicated; or (3) additional treatment was deemed futile.
Figure 1. Fundus photograph of the right eye shows inferotemporal BRVO.
Figure 3. Fundus photograph of the left eye shows CRVO with evidence of venous congestion in all four quadrants. |
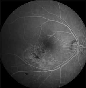
Figure 2. Fluorescein angiography of the right eye shows leakage secondary to BRVO.
Figure 4. Fluorescein angiography of the left eye shows late phase leakage in the macula associated with CRVO. |
The results at 12 months follow-up show no statistical difference between the laser-treated and IVT groups in regards to the primary endpoint. The median decrease in OCT-measured center point thickness was also similar among the three groups. At 12 months, 41% of the 4 mg treated eyes required IOP-lowering medications. This was significantly higher than the 1 mg and standard care groups (7% and 2%, respectively). Glaucoma surgery was performed in two patients in the 4 mg group; one required trabeculectomy and the other received a tube shunt. Cataract surgery was also more frequent in a dose-dependent fashion. Furthermore, while roughly only 30% of trial participants have currently completed the 36-month trial, the standard of care group has a significantly higher mean change from baseline in visual acuity as compared to both IVT groups.
Meanwhile, the SCORE-CRVO trial shows significant improvement in visual acuity compared to standard of care in CRVO. Similar to its companion trial in design, 1 mg and 4 mg IVT was compared, in this trial, to observation alone. At 12 months, 27% of the patients treated with 1 mg IVT gained 15 or more letters. This was comparable to 26% of the 4 mg-treated patients and both corticosteroid treatment groups were significantly different from the 7% of patients achieving the primary endpoint in the observation only group.21 Surprisingly, this did not correlate with a statistically significant anatomical OCT difference between the groups at 12 months. Due to a higher incidence of IOP lowering medications and cataract surgeries performed in the 4 mg injection group, it was recommended that 1 mg IVT for macular edema secondary to CRVO was superior to observation alone with a more favorable safety profile.
Adding to the armamentarium of agents against macular edema in RVO, data from two phase 3 studies investigating intravitreal ranibizumab for RVO was recently released. In the Branch Retinal Vein Occlusion (BRAVO) trial, 397 patients were randomized to receive 0.3 mg or 0. 5mg intravitreal injection of ranibizumab compared to a sham injection control group. At six months, the treatment arms gained 16.6 and 18.3 letters (0.3 mg and 0.5 mg, respectively) compared to a significantly lower 7.3 letter gain in the control group (results presented at AAO retina subspecialty day 2009). The CRUISE study in central retinal vein occlusion was similar in design, and reported 12.7 and 14.9 letter (0.3 mg and 0.5 mg, respectively) gains compared to 0.8 letters in the sham injection arm. These differences were seen as early as seven days and continued to hold through the six months of follow-up. Safety profiles in both studies were reported to be similar to those in the ANCHOR and MARINA trials.22–23
With the advent of implantable polymer-based drug delivery systems, medical and surgical therapies can be combined to provide sustained treatment without repeated intraocular insults. The Ozurdex implant (Allergan) is different in that it is injected in the vitreous without the need for surgical implantation and removal, as the biodegradable polymer matrix breaks down over time. The Ozurdex trial randomized a total of 1267 pooled BRVO and CRVO patients to those receiving the 0.7 mg or 0.35 mg dexamethasone implant to sham injection or implant with six months of follow-up. The primary endpoint was time to reach greater than 15 letters. After 180 days, visual improvement peaked with 41% of treated patients gaining three or more lines compared to 23% in the sham injection group. Three of the 421 patients in the 0.7 mg injection group required glaucoma surgery and 30% were on IOP lowering medications. Four percent required cataract surgery in the 0.7 mg arm compared to 1% in the sham control group (presented at the 2009 AAO meeting).
COMMENT
There has been a recent explosion in the options available for the treatment of ME from RVO. The treating retinal specialist now needs to carefully analyze the clinical trial data and consider adopting these treatments in to clinical practice. Cross-trial comparison is likely to be inappropriate as the response of the sham groups in these trials has been variable, suggesting that the patient populations being evaluated might be disparate.
Other factors to consider should be that in the SCORE studies, patients with significant retinal nonperfusion were excluded from the trials. Furthermore, the current 12-month follow-up is still too early in regards to evaluating adverse events secondary to steroid use as evidenced in studies using IVT in diabetic ME.24–25 The Ozurdex trial, while promising, still only has six months of data regarding complications, including elevated IOP. In addition, patients with vision less than 20/200 were excluded from these trials. More data are needed to properly counsel patients on the use of these implants.
The BRAVO and CRUISE trials demonstrate efficacy of ranibizumab but several questions remain unanswered. What is the appropriate duration of therapy? Does this mean monthly injections for many years? Is there a role for bevacizumab?
With so much data on monotherapy, questions will certainly arise regarding combination treatments. Clinicians are already using multiple therapies in combination. However, there is no level I evidence to support the efficacy of this approach. The potential effects of multimodal therapy will need to be studied; until then, incorporation into clinical practice is based on anecdotal evidence. Nevertheless, the treatment of ME for RVO has not only become more diverse, but is now backed with growing evidence that will certainly help guide the physician's therapeutic strategy. RP
REFERENCES
- Yau Jw, Lee P, Wong Ty, Best J, Jenkins A. Retinal vein occlusion: An approach to diagnosis, systemic risk factors and management. Intern Med J. 38(12), 904-910 (2008).
- Klein R, Klein Be, Moss Se, Meuer Sm. The epidemiology of retinal vein occlusion: The beaver dam eye study. Trans Am Ophthalmol Soc. 98, 133-141; discussion 141-133 (2000).
- Argon laser photocoagulation for macular edema in branch vein occlusion. The branch vein occlusion study group. Am J Ophthalmol. 98(3), 271-282 (1984).
- Evaluation of grid pattern photocoagulation for macular edema in central vein occlusion. The central vein occlusion study group m report. Ophthalmology. 102(10), 1425-1433 (1995).
- Furukawa M, Kumagai K, Ogino N, Uemura A, Larson E. Long-term visual outcomes of vitrectomy for cystoid macular edema due to nonischemic central retinal vein occlusion. Eur J Ophthalmol. 16(6), 841-846 (2006).
- Opremcak Em, Bruce Ra, Lomeo Md, Ridenour Cd, Letson Ad, Rehmar Aj. Radial optic neurotomy for central retinal vein occlusion: A retrospective pilot study of 11 consecutive cases. Retina. 21(5), 408-415 (2001).
- Zambarakji Hj, Ghazi-Nouri S, Schadt M, Bunce C, Hykin Pg, Charteris Dg. Vitrectomy and radial optic neurotomy for central retinal vein occlusion: Effects on visual acuity and macular anatomy. Graefes Arch Clin Exp Ophthalmol. 243(5), 397-405 (2005).
- Fekrat S, Goldberg Mf, Finkelstein D. Laser-induced chorioretinal venous anastomosis for nonischemic central or branch retinal vein occlusion. Arch Ophthalmol. 116(1), 43-52 (1998).
- Costa Ra, Jorge R, Calucci D, Melo La, Jr., Cardillo Ja, Scott Iu. Intravitreal beva-cizumab (avastin) for central and hemicentral retinal vein occlusions: Ibevo study. Retina. 27(2), 141-149 (2007).
- Greenberg Pb, Martidis A, Rogers Ah, Duker Js, Reichel E. Intravitreal triamcinolone acetonide for macular oedema due to central retinal vein occlusion. Br J Ophthalmol. 86(2), 247-248 (2002).
- Ip Ms, Kumar Ks. Intravitreous triamcinolone acetonide as treatment for macular edema from central retinal vein occlusion. Arch Ophthalmol. 120(9), 1217-1219 (2002).
- Jonas Jb, Kreissig I, Degenring Rf. Intravitreal triamcinolone acetonide as treatment of macular edema in central retinal vein occlusion. Graefes Arch Clin Exp Ophthalmol. 240(9), 782-783 (2002).
- Park Ch, Jaffe Gj, Fekrat S. Intravitreal triamcinolone acetonide in eyes with cystoid macular edema associated with central retinal vein occlusion. Am J Ophthalmol. 136(3), 419-425 (2003).
- Aiello Lp, Bursell Se, Clermont A et al. Vascular endothelial growth factor-induced retinal permeability is mediated by protein kinase c in vivo and suppressed by an orally effective beta-isoform-selective inhibitor. Diabetes. 46(9), 1473-1480 (1997).
- Antonetti Da, Barber Aj, Hollinger La, Wolpert Eb, Gardner Tw. Vascular endothelial growth factor induces rapid phosphorylation of tight junction proteins occludin and zonula occluden 1. A potential mechanism for vascular permeability in diabetic retinopathy and tumors. J Biol Chem. 274(33), 23463-23467 (1999).
- Senger Dr, Galli Sj, Dvorak Am, Perruzzi Ca, Harvey Vs, Dvorak Hf. Tumor cells secrete a vascular permeability factor that promotes accumulation of ascites fluid. Science. 219(4587), 983-985 (1983).
- Vinores Sa, Youssri Ai, Luna Jd et al. Upregulation of vascular endothelial growth factor in ischemic and non-ischemic human and experimental retinal disease. Histol Histopathol. 12(1), 99-109 (1997).
- Pe'er J, Folberg R, Itin A, Gnessin H, Hemo I, Keshet E. Vascular endothelial growth factor upregulation in human central retinal vein occlusion. Ophthalmology. 105(3), 412-416 (1998).
- Wroblewski Jj, Wells Ja, 3rd, Adamis Ap et al. Pegaptanib sodium for macular edema secondary to central retinal vein occlusion. Arch Ophthalmol. 127(4), 374-380 (2009).
- Scott Iu, Ip Ms, Vanveldhuisen Pc et al. A randomized trial comparing the efficacy and safety of intravitreal triamcinolone with standard care to treat vision loss associated with macular edema secondary to branch retinal vein occlusion: The standard care vs corticosteroid for retinal vein occlusion (score) study report 6. Arch Ophthalmol. 127(9), 1115-1128 (2009).
- Ip Ms, Scott Iu, Vanveldhuisen Pc et al. A randomized trial comparing the efficacy and safety of intravitreal triamcinolone with observation to treat vision loss associated with macular edema secondary to central retinal vein occlusion: The standard care vs corticosteroid for retinal vein occlusion (score) study report 5. Arch Ophthalmol. 127(9), 1101-1114 (2009).
- Brown Dm, Kaiser Pk, Michels M et al. Ranibizumab versus verteporfin for neovas-cular age-related macular degeneration. N Engl J Med. 355(14), 1432-1444 (2006).
- Rosenfeld Pj, Brown Dm, Heier Js et al. Ranibizumab for neovascular age-related macular degeneration. N Engl J Med. 355(14), 1419-1431 (2006).
- Beck Rw, Edwards Ar, Aiello Lp et al. Three-year follow-up of a randomized trial comparing focal/grid photocoagulation and intravitreal triamcinolone for diabetic macular edema. Arch Ophthalmol. 127(3), 245-251 (2009).
- A randomized trial comparing intravitreal triamcinolone acetonide and focal/grid photocoagulation for diabetic macular edema. Ophthalmology. 115(9), 1447-1449, 1449 e1441-1410 (2008).







