Controversies in Long-term AMD Management
The role of imaging in clinical decision making.
SCOTT W. COUSINS, MD
Patients and retinal physicians are extraordinarily fortunate to live in an era where new therapies for neovascular AMD have revolutionized recovery of visual acuity. We are approaching the five-year anniversary of the introduction of anti-VEGF monotherapy, and the vast majority of patients with neovascular AMD demonstrate outstanding initial response. Unfortunately, it is clear that neovascular AMD does not disappear after two years of therapy. Further, the major pivotal studies, which followed patients for two years, focused predominantly on optimizing visual acuity.1 However, in the real world, additional therapeutic goals come into play, including minimizing treatment burden and cost and maximizing both ocular and systemic safety. High-quality scientific data are lacking to provide guidance for successful long-term management on these issues.
Induction-maintenance has become the standard approach for most retinal physicians.2 This idea was initially introduced based on the observation of a rapid gain of mean letters of visual acuity during the first three injections of ranibizumab (induction), followed by the sub-sequent stable plateau of visual acuity during the next 21 months (maintenance). Once induction has been achieved, then what? How is stable long-term visual acuity successfully maintained?
| Scott W. Cousins, MD is the Robert Machemer Professor of Ophthalmology and Immunology at Duke University School of Medicine. He is also vice chair for research and director of the Duke Center for Macular Diseases. His research interests include the use of imaging technology to understand the biology of and develop new treatments for CNV resistant to anti-VEGF therapy. Dr. Cousins is a consultant for Heidelberg Engineering and Genentech. He can be reached at scott.cousins@duke.edu. |
Three different long-term maintenance strategies have evolved: (1) scheduled injections (arbitrary injection interval based on theoretical pharmacokinetic data); (2) induce and observe (retreatment of recurrent leakage based on specific indications); or (3) induce and extend (gradual lengthening of intervals between injections until it recurs once; then a regular scheduled injection interval is chosen based on the previous interval before leakage occurred). Space limitations prevent a detailed analysis of strengths and weaknesses of the three choices, but only the first strategy has been validated scientifically. Strategies two and three are the most commonly used among retinal specialists, but intermittent treatment raises the very real possibility of under treatment. And what is an effective way to identify and treat eyes that fail to respond to induction, or eyes that develop recurrence while on maintenance therapy?
In the following article, we suggest that imaging technologies in addition to standard optical coherence tomography should continue to play a major role in monitoring the patient with neovascular AMD during the maintenance phase of anti-VEGF therapy. In particular, we identify four common clinical scenarios, with case examples providing anecdotal evidence that spectral-domain OCT, fluorescein angiography and high-speed indocyanine green angiography still play an important role in monitoring and treatment of patients in the anti-VEGF therapy era.
REPEAT IMAGING AFTER SCHEDULED INDUCTION: WHAT IS A “SUCCESSFUL” INDUCTION?
Implicit in the induction-maintenance paradigm is the assumption that induction (ie, three monthly injections) is scientifically validated. Unfortunately, it is not. Further more, even an anatomic definition of induction (ie, continued monthly injections until evidence of all leakage has disappeared) is problematic because the meaning of “drying up leakage” is dependent on the imaging modality utilized. Nonetheless, we believe that the combined usage of both OCT (especially SD-OCT) and FA at the completion of three induction injections is very useful in planning the subsequent maintenance phase of therapy.
• Role of OCT: Time-domain vs Spectral-domain OCT Standard (time-domain) OCT has become the main imaging modality used in the long-term management of neovascular AMD by most retinal specialists. It has been extraordinarily useful in demonstrating the presence of sub-retinal fluid and intraretinal cystic changes that were not apparent upon clinical examination or fluorescein angiography. Importantly, OCT-based therapeutic decision making was not part of the original pivotal trials.1,2
In addition, the use of standard OCT to make retreatment decisions, either on the basis of “induce and observe” or “induce and extend,” is problematic because of under-sampling across the macula, as well as potential artifacts.3 For instance, the standard Stratus map is based upon the use of six radial B scans (a relatively small sample of the total macula) to produce a map that is an interpolation. This scan strategy may fail to detect areas of subretinal or intraretinal fluid. In addition, because of errors in segmentation and other artifacts, the quantitative thickness measurements in standard OCT can be inaccurate and demonstrate artifactual intertest variability Finally, there is a surprisingly poor correlation between OCT responsiveness and ultimate visual acuity Therefore, there is no scientific evidence to indicate that using standard OCT based on traditional surface map, quantitative measures, or cross-section analysis is an effective way to determine maintenance intervals or retreatment.
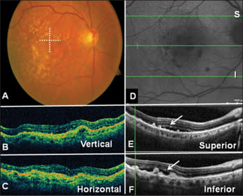
Spectral-domain OCT offers the potential advantages of a greater number of sampling scans across the macula. Some technologies (Spectralis, Heidelberg) have very robust image registration so that intertest variability is reduced. Anecdotal case reports demonstrate that fluid not detected by standard OCT can be imaged by SD-OCT. It is attractive to speculate that defining “induction success” by fluid resolution imaged by SD-OCT “full macula volume scan,” rather than by standard OCT, would result in better long-term success and fewer recurrences in the maintenance phase of therapy (See Figure 1.)
Figure 1. Subretinal fluid detected by spectral-domain OCT but not standard OCT. An 81-year-old male with occult CNV underwent induction with three monthly injections of ranibizumab, gaining one line of vision. Clinical exam and standard OCT (panels A-C) indicated resolution of subfoveal fluid. However, SD-OCT (panels D-F) indicated persistence of significant extrafoveal subretinal fluid not imaged by standard OCT. Considered to be a partial response to induction, the patient continued on monthly injections until all fluid had disappeared.
• Fluorescein Angiography. For 40 years, FA has been the gold standard for diagnosis and monitoring treatment responses in neovascular AMD.4 Although it continues to remain crucial for diagnosis, its role in the long-term management of neovascular AMD has become less clear. As a small, highly charged molecule, fluorescein dye is ideally suited for the detection of leakage. Nonetheless, fluorescein leakage can be difficult to interpret in the era of digital FA, especially to distinguish fluorescein that remains extravascular but intralesional (ie, stain) vs subretinal fluid vs intraretinal fluid. This complexity has lowered the enthusiasm for use of FA for monitoring therapy.
More important than leakage detection, FA remains very useful for determining the size (ie, surface area) of CNV and whether area has remained stable, enlarged, or regressed. In a recent study, we observed that, in eyes with predominantly classic CNV, 16% demonstrated significant regression after induction with anti-VEGF monotherapy, but an equal percentage showed enlargement during treatment.5 The majority of cases demonstrated only a modest reduction in the surface area, with residual staining of the entire CNV (see Figure 2).
Figure 2. Fluorescein angiograms demonstrating different treatment responses after anti-VEGF induction. Panel A (left and right) demonstrates inactive but stable CNV, with decreased leakage but persistent staining and unchanged area of the lesion. Panel B demonstrates CNV regression, with disappearance of both leakage and staining. Panel C demonstrates CNV progression with new hemorrhage and enlargement in area, despite receiving three monthly doses of ranibizumab.
We use imaging to determine if the induction regimen has produced any CNV regression. Although speculative, it is attractive to postulate that those eyes that showed complete regression of CNV would be more likely to do well with extended treatment intervals, whereas those eyes without significant regression will require more frequent intervals of treatment. Conversely, CNV that progressed during induction is resistant to anti-VEGF therapy and re quires a switch in therapy (see below).
MAINTENANCE PHASE: WHEN TO REORDER IMAGING
The rationale for “induce and observe” with OCT-guided retreatment is based on an uncontrolled prospective study using monthly re-evaluation with standard OCT.6 In this study, patients treated with this protocol were able to maintain the initial visual gains for two years. The interpretation of this study is complicated by the fact that the OCT retreatment criteria changed during the course of the study. In addition, reinjection criteria included monthly clinical examination, as well as five-letter change in best corrected visual acuity data (the most frequent criteria for reinjection). A prospective multicentered study (SAILOR) used similar criteria in a “real-world” setting. Unfortunately, this study failed to demonstrate maintenance of long-term visual gain over the subsequent observation period. Furthermore, no scientific data exist to support the treat-and-extend strategy. Bottom line: There is high risk for undertreatment of some eyes with “induce and observe” or “induce and extend” maintenance strategies. Therefore, we repeat fluorescein angiography every six to nine months to rule out enlargement of CNV area or other changes in fluorescein patterns (see Figure 3).
Figure 3. Enlargement of CNV area in spite of stable OCT. A 67-year-old male with occult CNV associated with hemorrhagic PED (panels A, B and E) underwent induction with ranibizumab. Examination and OCT improved (panel F). The patient was observed during the subsequent six months, returning every six weeks for exam and standard OCT (Panels G and H). Clinical exam and vision remain unchanged (panel C). However, repeat fluorescein at six months postinduction demonstrated significant increase in CNV area (panel D), suggesting undertreatment.
RESISTANCE TO MONOTHERAPY: WHAT TO DO WHEN STANDARD THERAPY IS INEFFECTIVE?
Another controversy in the management of neovascular AMD is the idea of anti-VEGF therapy resistance. Anatomical resistance is defined as the failure to reverse leakage and/or normalize other morphological evidence of neovascularization after anti-VEGF induction. The anatomical definition can be based upon clinical examination or, more commonly based upon imaging criteria. We define anti-VEGF resistance after induction by FA and OCT as: subfoveal CNV that bled or increased in size by FA; subfoveal CNV that show persistent significant residual sub-retinal fluid and/or intraretinal cysts by OCT; or serous pigment epithelial detachments (PEDs) that fail to flatten by OCT.
Recently, we observed in our “real-world” retina practice (rather than well-defined cases as found in a trial) that about 25% of cases demonstrated some form of anatomic resistance.7 Approximately 5% of eyes that were deemed resistant demonstrated fibrovascular PEDs or occult CNV that failed to resolve subretinal or intraretinal fluid. In addition, about 5% of all cases (and 15% of predominantly classic CNV) demonstrated increased size or developed new hemorrhage while on induction therapy. However, the majority of cases demonstrating resistance were serous PEDs (without RAP lesions) in which the PED failed to flatten.
• Indocyanine Green Angiography. ICGA is very useful in trying to explain and treat cases of anti-VEGF therapy resistance. Indocyanine green dye has the property of being predominantly protein bound and therefore tends to remain intravascular with less leakage than fluorescein dye.8 Static ICGA which uses bright-flash illumination with images acquired every two to five seconds, typically evaluates hyperfluorescence (ie, leakage) at 15 and 30 minutes after intravenous injection. Although initially met with enthusiasm, static ICG angiography has become rarely utilized.
High-speed ICGA has received renewed interest with the introduction of the Spectralis imaging system (Heidelberg Engineering). High-speed ICGA images the transit of intravascular dye in the first one minute after intravenous injection, focusing on vascular morphology and flow rate (the rate of filling of the lesion) not leakage, presence of vascular remodeling (ie, feeder vessels and arteriolarized CNV), and other unusual features of new vessels (ie, polypoidal choroidal vasculopathy). In addition, high-speed ICGA can identify the presence of neovascularization not apparent with standard FA. Therefore, in eyes with anti-VEGF resistance, we perform high-speed ICG angiography, looking for evidence of feeder vessels, arteriolarized CNV or PCV (see Figure 4).
Figure 4. Serous PED associated with marginal CNV resistant to ranibizumab but responsive to photodynamic therapy directed toward vascular pathology, imaged by high-speed indocyanine green angiography. A 68-year-old female with serous PED (panel A) and two areas of occult CNV (panel B, red arrows) underwent induction with three monthly injections of ranibizumab but without anatomic or visual improvement. High-speed indocyanine angiography using HRA2 (Heidelberg Engineering) demonstrated a feeder vessel with branching arterioles (Panel C, dotted line) inferonasal to the PED (panel C, asterisk). Photodynamic therapy was directed toward the vascular pathology imaged by ICGA, with subsequent resolution of the PED (panels D-F) and improvement in vision.
For cases with well-defined feeder arteries or polypoidal choroidal vasculopathy, we offer combination therapy with anti-VEGF therapy plus intravitreal triamcinolone, together with verteporfin photodynamic therapy, directing the PDT treatment to the major arteriolarized vascular structures observed by ICGA, rather than areas of leakage defined by FA. In our series of over 34 eyes with resistant CNV caused by either serous PED or subfoveal CNV associated with arteriolarized vessels, we showed greater than 80% anatomic response. In eyes without arteriolarization by ICGA, or which are not good candidates for PDT, several choices are possible, including switching to another anti-VEGF agent, adding intravitreal triamcinolone, increasing the anti-VEGF dose (ie, 0.1 cc of ranibizumab or bevacizumab), or injecting more frequently (two to three weeks).
RECURRENCES
Recurrences are defined anatomically as reaccumulation of fluid or new hemorrhage after “successful” induction. It is tempting to assume that recurrent leakage simply signifies underdosing, and simply shortening of the injection interval is adequate to regain anatomic and visual stability. Sometimes, however, recurrence indicates that the CNV has increased in size or changed in some other way (ie, losing VEGF responsiveness or undergoing maturation). Therefore, it is reasonable to suggest that upon recognizing recurrence, that repeat FA should be performed. If any indication of anti-VEGF resistance is observed (ie, increase in CNV area), then ICGA is useful (see Figure 5).
Figure 5. Recurrence during maintenance developing progressive increase in CNV area during reinduction. A 77-year-old female underwent successful induction for subfoveal occult CNV and was subsequently observed every six to eight weeks. About nine months later, she developed a new OCT cystic thickening and a new hemorrhage temporal to the initial lesion. She was reinduced with two monthly bevacizumab injections, with improvement of OCT thickening but worsening of vision. Fluorescein angiography demonstrated progressive increase in surface area of the CNV. High-speed indocyanine angiography using Spectralis demonstrated that the recurrence was arteriolarized, with a large-caliber feeder vessel (red arrows) and many branching arterioles (dotted line). This CNV was treated with PDT directed toward the feeder artery, with good long-term results (not shown).
CONCLUSION
Although the anti-VEGF therapies have revolutionized the treatment of neovascular AMD, significant challenges remain, especially trying to balance maximizing visual acuity against treatment burden and safety. In this complexity, FA and high-speed ICGA will continue to play important roles in the management of neovascular AMD. RP
REFERENCES
- Rosenfeld PJ, Rich RM, Lalwani GA. Ranibizumab: Phase III clinical trial results. Ophthalmol Clin North Am. 2006;19:361–372.
- Dadgostar H, Ventura AA, Chung JY, Sharma S, Kaiser PK. Evaluation of injection frequency and visual acuity outcomes for ranibizumab monotherapy in exudative age-related macular degeneration. Ophthalmology. 2009;116:1740–1747.
- Ray R, Stinnett SS, Jaffe GJ. Evaluation of image artifact produced by optical coherence tomography of retinal pathology. Am J Ophthalmol. 2005;139:18–29.
- Gass JDM. Stereoscopic Atlas of Macular Diseases: Diagnosis and Treatment. 4th ed. St. Louis, MO; C.V. Mosby; 1997.
- Cousins S, Csaky K Patterns of CNV fluorescein and indocyanine green angiographic regression responses after anti-VEGF monotherapy or anti-VEGF plus anti-PDGF combotherapy. Inv Opthalmol Vis Sci.2009;50(Suppl):1261.
- Lalwani GA, Rosenfeld PJ, Fung AE, Dubovy SR, Michels S, Feuer W, Davis JL, Flynn HW Jr, Esquiabro M. A variable-dosing regimen with intravitreal ranibizumab for neovascular age-related macular degeneration: year 2 of the PrONTO Study. Am J Ophthalmol. 2009;148:1–3.
- Cousins SW, Nelson M, Schuman S. The Arteriolarized CNV: Resistance to anti-VEGF therapy and Response to ICG-directed PDT, ASRS Annual Meeting, 2007.
- Hassenstein A, Meyer CH. Clinical use and research applications of Heidelberg retinal angiography and spectral-domain optical coherence tomography – a review. Clin Experiment Ophthalmol. 2009;37:130–143.







