PHOTO ESSAY
Acute Posterior Multifocal Placoid Pigment Epitheliopathy
RISHI DOSHI, MD ∙ J. RODRIGUEZ, BS, CRA ∙ ANNE FUNG, MD
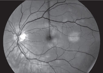
A 22-year-old Caucasian female presented with five days of redness, tearing and tenderness of her left eye without photophobia. On exam, visual acuity in the left eye was 20/100, pinholing to 20/25-1, and was 20/20 in the right eye. The left eye demonstrated 2+ injection, 2+ cells in the anterior chamber, and 10-15 vitreous cells; these findings were also present to a lesser degree in the right eye. Unique to the left eye on funduscopic examination were multiple round yellow patches in the macula and mid-periphery (Figures 1 and 2).
Hourly topical prednisolone 1% was started in both eyes for acute iritis. At one week follow-up, the retinal patches had significantly multiplied and were present bilaterally (Figures 3 and 4); visual acuity in the right eye decreased to 20/30+2, yet improved to 20/40 in the left eye.
By the end of three weeks, anterior and posterior inflammation had resolved. Retinal pigmentary changes began to develop in the areas of previous inflammation. At one month, the retinal lesions had faded into patches of RPE atrophy and hypertrophy without fibrosis (Figures 5 and 6). Visual acuity recovered to 20/20 OU and the prednisolone was tapered off over the following two weeks.
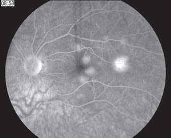
In 1968, Gass first described this self-limited inflammatory condition, acute posterior multifocal placoid pigment epitheliopathy (APMPPE), in which multiple white-yellow placoid lesions develop at the level of the retinal pigment epithelium and cause a rapid reduction of central vision in otherwise healthy young adults. The yellow-white retinal lesions fade to patches of RPE atrophy and hypertrophy, though all phases may be observed simultaneously. The visual changes typically recover within three weeks, though recovery may be limited with foveal involvement. Characteristic early hypofluorescence and late hyperfluorescence on fluorescein angiography (Figures 7 and 8) may be related to choroidal ischemia and a resultant delay in filling. Given an association with HLA-B7 and HLA-DR2, an immune-mediated mechanism and genetic susceptibility have been proposed. RP
| Rishi Doshi, MD, is a resident in ophthalmology at California Pacific Medical Center in San Francisco. J. Rodriguez, BS, CRA, is an ophthalmic photographer at Pacific Eye Associates. Anne E. Fung, MD, is a medical retina specialist with Pacific Eye Associates. None of the authors report any financial interest in any products mentioned in this article. Dr. Doshi can be reached at rrdoshi@gmail.com. |
Figure 1. At presentation, showing acute phase of APMPPE with multiple yellow placoid lesions at the level of the RPE.
Figure 2. At presentation, showing prominent whitish placoid lesions on red-free fundus photograph.
Figure 3. At one week, with development of lesions in the previously uninvolved right eye.
Figure 4. At one week, with evolution of yellow-white spots in left eye to new areas and pigmentation of fading spots.
Figure 5. At one month, showing involution of all spots with resultant areas of RPE atrophy and hypertrophy.
Figure 6. Patches of RPE atrophy and hypertrophy, with visual acuity of 20/20.
Figure 7. At presentation, early-phase fluorescein angiogram showing initial hypofluorescence of RPE lesions.
Figure 8. At presentation, late-phase fluorescein angiogram showing delayed hyperfluorescence of RPE lesions.







