PEER REVIEWED
Assessment of Risk Factor Profiles in Acute Retinovascular Occlusion
JAGDEEP SINGH GANDHI, BSc (Hons), MBChB, MRCSEd, FRCOphth
What causes a retinal vessel to develop a localized occlusion? For most cases encountered in clinical practice, the answer is “thrombus and embolism.” But what causes the development of these particular lesions? This answer is a complex one. As clinical ophthalmologists, we usually limit ourselves to identifying risk factors that underlie the final disease endpoint. As such, we note that a broad array of predisposing entities are linked to acute retinovascular occlusion.
Some of these are commonplace, with systemic hypertension being a prime case in point.1 In contrast, others, such as aberrations in clotting, are unfamiliar territory for the ophthalmologist. Further still, the role of some putative factors, such as raised serum homocysteine, remains controversial.2
In our discussion, we are limiting ourselves to the lesions of branch and central retinal vein occlusion (CRVO) and those of branch and central retinal artery occlusion, as encountered in a general ophthalmic service. In a broad sense, there is much overlap between the various predisposing factors for these four anatomically distinct events.
HISTORY AND EXAMINATION
History and examination assist us in defining the “biological environment” within which a retinal occlusion (Figure 1) has developed. As always, the history can be modified to suit the patient. For example, in the younger person (under the age of 50), the inquiry focuses on aspects such as a family history of premature vascular disease. The use of certain drugs also needs to be specifically established. Notably, oral contraceptives and recreational agents (eg, cocaine) have been implicated in retinovascular occlusion.3 In contrast, older patients (over age 50) with acute retinal vasculopathy typically have risk factors implicated in macrovascular occlusive events. These are discussed below.
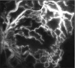
COURTESY OF MICHAEL P. KELLY, CPT, DUKE EYE IMAGING
Figure 1. Various fluorescein angiography depictions of RVO.
For risk-factor evaluation, the consultation is tailored to the patient and may consist of the following inquiries:
- History of smoking
- History of migraine (implicated in retinal arterial occlusion in young patients)
- Previous cardiovascular lesions, such as stroke, ischemic heart disease, and peripheral vascular disease
- Connective tissue diseases, such as lupus, that cause vasculitis
- Other systemic inflammatory disease, such as sarcoid
- Use of agents, such as oral contraceptives and illicit intravenous drugs, that promote vaso-occlusion
| Jagdeep Singh Gandhi, BSc (Hons), MBChB, MRCSEd, FRCOphth, is a senior clinical and research fellow in medical retina at St. Paul's Clinical Ophthalmic Research Centre at Royal Liverpool University Hospital in the United Kingdom. He reports no financial interest in any products mentioned in this article. Dr. Gandhi may be reached via e-mail at Jag.Gandhi@rlbuht.nhs.uk. |
OCULAR RISK FACTORS
While the systemic risk factors for retinovascular occlusion are often given pride of place in a discussion, those within the eye are sometimes ignored. There are three anatomical sites where characteristics may be found that play a role in obstructive retinal disease. These sites are the drainage angle, the optic nerve head, and the retinal vascular anatomy.
The finding of narrow angles is important in retinovascular occlusion, owing to the potential for intermittent (or sustained) episodes of ocular hypertension. It is well known that very large rises in IOP (>60 mm Hg) may suppress filling of the central retinal artery. However, ocular hypertension has been more closely linked with RVO pathogenesis, with a stronger association being reported for CRVO.4
Interestingly, an eye with acute CRVO often develops a low IOP due to the presumed release of certain growth factors in the acute phase.5 Therefore, tonometry of the affected eye during initial evaluation can actually reveal a low pressure. Careful measurement of fellow-eye IOP may prove more useful when ascertaining the prevalent IOPs in a given patient. Topical antipressure therapy (as prophylaxis against RVO) may be necessary if fellow-eye pressure rises.
In the posterior segment, the presence of drusen within the optic nerve head has been implicated in the pathogenesis of both retinal artery and vein occlusion.6 By causing structural congestion within the optic disc tissue, drusen theoretically impose external pressure on the vascular wall and instigate thrombosis via disturbed hemodynamics. Finally, some authors have referred to the likely contribution of abnormal posterior-segment vascular anatomy in some instances of retinovascular occlusion, with the epipapillary loop serving as a case in point.6
SYSTEMIC CLINICAL EXAMINATION
General medical examination for the purposes of risk factor assessment in the current context may be summarized as:
- Assessment of radial pulse for rhythm (atrial fibrillation)
- Measurement of blood pressure
- Auscultation of the heart and carotid arteries (valvular disease, carotid stenosis, etc)
- Scalp tenderness and temporal pulse assessment (giant cell arteritis)
MAJOR SYSTEMIC RISK FACTORS IN OLDER PATIENTS
If we first consider the older patient (age over 50), then the typical systemic risk factors are those that correlate with atherosclerosis.7 Thus, the usual suspects consist of hypertension, dyslipidemia, diabetes mellitus, and smoking. This “pathogenic quartet” has been implicated in both arterial and venular occlusions in the retina.
Interestingly, some authors have remarked that these factors induce retinal microangiopathy through processes that appear separate from those that drive macrovascular atherosclerosis.8 In keeping with this idea, clinical observation tells us that retinovascular events are not always associated with systemic vascular events such as stroke and myocardial infarction.
Nevertheless, a follow-up study that evaluated 499 eyes with retinal arterial occlusion found strong associations with ischemic cardiac and cerebral lesions, as well as with the risk factors of hypertension, diabetes, and smoking.9 It was further reported that retinoarterial occlusion is usually embolic and the source is more frequently from the carotid artery rather than from a cardiac origin. Figure 2 shows such a case, with central retinal artery occlusion in an older patient in whom there is the additional feature of “cilioretinal sparing.” This patient had hypertension and smoked.
COURTESY OF JAGDEEP SINGH GANDHI
Figure 2. The central retinal artery in this patient suffered occlusion as a result of emboli from the carotid artery. Two cilioretinal arteries nevertheless perfused the macula and preserved visual acuity at 20/20. É few emboli are visible in the upper cilioretinal vessel.
Accordingly, the finding of concurrent pathology in major vascular systems in the heart, brain, and peripheral circulation is not surprising in older patients who suffer retinovascular occlusion. While the pathogenetic sequence may differ between micro- and macrovascular events, there is without doubt a set of risk factors that are common to both.
PATHOGENESIS
A consideration of the ways in which major cardiovascular risk factors induce lesions in both small and large blood vessels takes us naturally into the realm of pathogenesis. The conceptual model for vaso-occlusion credited to Rudolf Virchow (1856) lends itself well to retinovascular disease.10 As an instrumental figure in modern pathology, Virchow took the blood-vessel wall as the centerpiece of his model, stating that aberrations within the wall, external to the wall, and in the bloodstream could all potentially trigger vascular obstruction.
The four cardiovascular risk factors mentioned above can be interpreted within Virchow's framework. For example, exposure to chronic systemic hypertension induces sclerotic thickening of the retinal arteries.11 Where artery and vein lie in close proximity (at the arteriovenous crossing and within the optic nerve), a thickened artery can impinge on the adjoining vein. The ensuing turbulence within the slower venular bloodstream can invoke the cascade of thrombogenesis.
In the case of diabetes mellitus — a metabolic syndrome — a whole host of tissues are affected and these various changes favor thromboembolic phenomena at both micro- and macrovascular levels. Damage to vascular endothelium is accompanied by increased stickiness of platelets, in addition to inflammatory processes occurring at the vascular wall.12 Similarly, in the case of dyslipidemia, it has been shown that a high-cholesterol diet in rabbits precipitates a marked binding of leucocytes to endothelium when compared with control animals.13 Dyslipidemia has also been observed to correlate with smaller retinal arteriolar and venular diameters after confounding variables were excluded in a large study on human subjects.14
By comparison, smoking has an even more direct effect on retinal vessels. Additionally, other chemicals in tobacco have deleterious effects, such as promoting the aggregration of platelets. Although the precise mechanisms through which a disorder such as dyslipidemia (in the absence of atheroma) might produce obstruction in retinal vessels have not been elucidated, it is apparent that the major cardiovascular factors are also key players in ocular angiopathy. Emphasis is given to these predispositions because they can be modified within a therapeutic setting.
RISK FACTORS IN YOUNG PATIENTS
Whereas older patients have an innate vulnerability to acute retinal vasculopathy, the occurrence of a similar lesion in young patients (age <50) is atypical. Indeed, in the very young (age <30), such a lesion is a striking event. Figure 3 shows the fundus of a 25-year-old woman in whom no risk factor was found other than the consumption of oral contraceptive medication. This patient presented two hours after the onset of acute central retinal artery occlusion and, despite emergency measures to improve ocular perfusion, her vision failed to improve from hand motions.
COURTESY OF JAGDEEP SINGH GANDHI
Figure 3. This is a central retinal artery occlusion that occurred in a 25-year-old woman in whom the only detectable risk factor was oral contraceptive medication.
Oral contraceptives have been well documented to increase the risk of arterial and venous thrombosis. The risk of suffering an ischemic stroke is doubled in women who take various forms of this drug.15 Exploration of the link between oral contraception and thrombogenesis has suggested alterations in fibrinolysis and platelet function.16
Beyond the possibility of thrombogenesis occurring within ocular vessels, young persons who suffer retinoarterial occlusion frequently have a detectable source of embolism.17 In the case of retinal vein disease in the young, the development of branch occlusion correlates with dyslipidemia and systemic hypertension.18 The finding of underlying risk factors, however, can prove more challenging in the subgroup with central vein occlusion.19
The young age of these patients often provides considerable impetus for undertaking comprehensive investigation. Unsurprisingly, a heterogeneous collection of abnormalities have been incriminated in the pathogenesis of retinovascular events in young persons. While the role of clotting anomalies, such as protein C deficiency, is easier to appreciate, there is debate on other factors, such as raised serum homocysteine. High levels of homocysteine in the circulation have been linked to occlusive events in the heart and brain among patients in their 20s and 30s.20 There is also evidence of a higher prevalence of homocysteinemia in subjects who suffer retinovascular events, and the connection has been made with both arterial and venous disease.21 From a pathogenetic viewpoint, it has been proposed that homocysteine (as a reactive amino acid) damages the vascular endothelium and thereby initiates coagulation.
Autoimmune immunoglobulins that react against phospholipid in the laboratory — namely, lupus anticoagulant and anticardiolipin antibody — are other coagulopathic entities often mentioned in the case of retinovascular events in the young. Although the finding is by no means consistent and universal across studies, some authors have reported a significant association between these antibodies and retinal disease.22 Again, the fundamental insult appears to be a destabilization of the vascular endothelium with adverse repercussions mediated through the coagulation system.
The following is a list of the major “specialist” risk factors associated with retinovascular occlusion in younger patients:
- Serum homocysteine
- Folate and vitamin B12 (promote increase in serum homocysteine)
- Protein C and S abnormality
- Antithrombin 3 abnormality
- Factor 5 Leiden mutation
- Antiphospholipid antibody
- Lupus anticoagulant
INVESTIGATION
There is the potential for undertaking a great number of investigations when faced with a patient who has a retinovascular occlusion. The clinical context (and outcome of any initial investigation) is helpful in guiding the exact choice of tests. For example, in the older patient with retinal artery occlusion, there is an obvious need for imaging the heart and carotid artery after a blood sample has been taken for glucose, lipid profile, and inflammatory markers (ESR and CRP). Measurement of inflammatory markers allows a basic screen for giant-cell arteritis, not least because such a vasculitis may have an “occult” presentation.23
Blood pressure measurement is crucial, since hypertension is by far the most prevalent risk factor in retinovascular pathology. If the hypertension is severe (>200/100 mm Hg), then the ophthalmologist can refer directly to a physician and potentially avoid disastrous sequelae, such as acute stroke and myocardial infarction.
Thus, one rendition of the core investigations for retinovascular occlusion might consist of:
- Systemic blood pressure
- Blood glucose (preferably fasting)
- Lipid profile (preferably fasting)
- Complete blood count (polycythemia, leukemia)
- Inflammatory markers (vasculitis, giant-cell arteritis)
- Ultrasonography of the heart and carotid vessels (for arterial occlusion)
Additional tests may be employed where the clinical context justifies such an approach. An example is protein electrophoresis, a screen for multiple myeloma, which has sometimes been cited as a routine test for all RVOs.19 The chance of a useful yield from routine ordering of this test in all cases of retinal vein occlusion is debatable. Furthermore, the cost of investigation needs to be acknowledged.
Second-line tests may therefore be introduced into management where the initial run fails to generate a compelling risk factor profile. As with the workup for uveitis, the ophthalmologist uses judgment (based on the clinical context) when determining the list of second-line investigations.
Some of these additional tests include:
- Urea and electrolytes (renal disease, dehydration)
- Protein electrophoresis (myeloma)
- Serum ACE (sarcoidosis)
- Chest X-ray (sarcoidosis and tuberculosis)
- Treponemal serology (syphilis)
- Sickle-cell test
The ordering of blood tests in young patients with retinovascular occlusion often becomes unsystematic when performed by ophthalmologists. Accordingly, this subgroup of patients is best served by referral to a hematologist or equivalent specialist. Such an expert can interpret investigations that are less familiar to the ophthalmologist and also initiate secondary prevention, such as warfarin therapy.
CILIORETINAL ARTERY OCCLUSION
A footnote is finally made on the curious lesion of cilioreti-nal artery obstruction. The cilioretinal artery is found in about 20% to 30% of the population. Typically, this vessel crawls out independently from the temporal neuroretinal rim before coursing into the macula. Obstruction of a cilioretinal artery is most often seen against a background of contemporaneous CRVO.24 Thus, a white area of retinal infarction occurs around the artery with the remainder of the fundus showing a CRVO appearance, usually with sparse hemorrhages.
It has been well argued that the cilioretinal artery occlusion in this scenario is a consequence of CRVO: Increased back-pressure in the capillaries from CRVO preferentially slows down blood flow in the ciloretinal artery with resultant infarction.25 This is because the cilioretinal vessel has a lower perfusion pressure than the central retinal artery.
Thus, the ophthalmologist should undertake the investigations for an RVO when the combination of CRVO and cilioretinal artery territory infarction is observed. The fundamental lesion is actually CRVO, with secondary cilioretinal artery occlusion being a complication. Omit tests searching for embolism.26 A caveat applies, however: Rarely, where a cilioretinal artery occlusion occurs without concurrent CRVO, then the possibility of embolism (and vasculitis) should be raised and investigated accordingly.
CONCLUSION: MANAGEMENT OF RISK FACTORS
Figure 4 shows a widespread ischemia from CRVO, a reminder of the end-organ devastation inflicted by uncontrolled risk factors. The identification of risk factors is futile unless attention is paid to their reduction. More often than not, this means that there must be timely communication between ophthalmologist and physician. However, this step follows from the one in which any broader implications (resulting from clinical examination and investigation) have been explained to the patient in an intelligible way. RP
COURTESY OF JAGDEEP SINGH GANDHI
Figure 4. A familiar angiographic image showing extensive capillary nonperfusion and obliteration in an older patient with ischemic CRVO. There was a background of poorly-controlled systemic hypertension.
REFERENCES
- Klein R, Klein BE, Moss SE. The relation of systemic hypertension to changes In the retinal vasculature: the Beaver Dam Eye Study. Trans Am Ophthalmol Soc. 1997;95:329–350.
- Cahill M, Karabarzakl M, Meleady R, Refsum H, Ueland D, Shields D, Mooney D, Graham I. Br J Ophthalmol. 2000;84:154–157.
- Vessey MP, Hannaford P, Mant J, Painter R, Frith P, Chappel D. Oral contraception and eye disease: findings In two large cohort studies. Br J Ophthalmol. 1998;82:538–542.
- Koizumi H, Ferrara DC, Brue C, Spalde RF. Central retinal vein occlusion case-control study. Am J Ophthamol. 2007;144:858–863.
- Hayreh SS, Zimmerman M, Beri M, Podhajsky P. Intraocular pressure abnormalities associated with central and hemlcentral retinal vein occlusion. Ophthalmology. 2004;111:133–141.
- Brown GC, Magargal LE, Shields JA, Goldberg RE, Walsh PN. Retinal arterial obstruction In children and young adults. Ophthalmology. 1981;88:18–25.
- Yau JW, Lee P, Wong TY, Best J, Jenkins A. Retinal vein occlusion: an approach to diagnosis, systemic risk factors and management. Intern Med J.2008;38:904–910.
- Leung H, Wang JJ, Rochtchina E, Wong TY, Klein R, Mitchell P. Dyslipidaemia and microvascular disease in the retina. Eye. 2004;19;861–868.
- Hayreh SS, Podhajsky PA, Zimmerman MB. Retinal artery occlusion associated systemic and ophthalmic abnormalities. Ophthalmology. 2009 Jul 2. [Epub ahead of print]
- Virchow RLK Thrombose und Embolie. Gefässentzündung und septische Infektion. In: Gesammelte Abhandlungen zur wissenschaftlichen Medicin. Frankfurt-Main, Germany; Von Meidinger & Sohn; 1856:219–732.
- Hayreh SS. Duke-Elder lecture. Systemic arterial blood pressure and the eye. Eye. 1996;10(Pt 1): 5–28.
- Curtis TM, Gardiner TA, Stitt AW. Microvascular lesions of diabetic retinopathy: clues towards understanding pathogenesis? Eye. 2009;23:1496–1508.
- Scalia R, Appel JZ, Lefer AM. Leucocyte-endothelium interaction during the early stages of hypercholesterolaemia in the rabbit: role of P-selectin, ICAM-1 and VCAM-1. Aterioscl Thomb Vasc Biol. 1998;18:1093–1100.
- Leung H, Wang JJ, Rochtchina, Wong TY, Klein R, Mitchell P. Dyslipidaemia and microvascular disease in the retina. Eye. 2005;19;861–868.
- Kemmeren JM, Tanis CB, Van den Bosch AAJ, Bollen ELE, Helmerhorst FM, Van der Graaf Y, Rosendaal FR, Algra A. Risk of arterial thrombosis in relation to oral contraceptives (RATIO) study: oral contraceptives and the risk of ischemic stroke. Stroke. 2002;33:1202–1208.
- Rosing J. Oral contraceptives, thrombosis and hemostasis. Eur J Obstet Gynecol Reprod Biol. 2001;95:193–197.
- Brown GC, Magargal LE, Shields JA, Goldberg RE, Walsh PN. Retinal arterial obstruction in children and young adults. Ophthalmology. 1981;88:18–25.
- Fong ACO, Shatz H. Central retinal vein occlusion in young adults. Surv Ophthalmol. 1993;37:393–417.
- Retinal vein occlusion (RVO) interim guidelines. Royal College of Ophthalmologists web site. http://www.rcophth.ac.uk/docs/publications/published-guidelines/RVO_Guidelines_Feb_2009.pdf. Accessed September 30, 2009.
- Bos MJ, van Goor ML, Koudstaal PJ, Dippel DW. Plasma homocysteine as a risk factor for recurrent vascular events in young patients with an ischemic stroke or TIA. J Neurol. 2005;252:332–337.
- Cahill M, Karabatzaki M, Meleady R, et al. Raised plasma homocysteine as a risk factor for retinal vascular occlusive disease. Br J Ophthalmol. 2000;84:M154–M157.
- Wiechens B, Schroder JO, Potzsch B, Rochels R. Primary antiphospholipid antibody syndrome and retinal occlusive vasculopathy. Am J Ophthalmol. 1997;123:848–850.
- Galasso JM, Jay WM. An occult case of giant cell arteritis presenting with combined anterior ischemic optic neuropathy and cilioretinal artery occlusion. Semin Ophthalmol. 2004;19:75–77.
- Gandhi JS, Ziahosseini K. Ciloretinal perfusion in concurrent cilioretinal and central retinal vein occlusions. Canadian Journal of Ophthalmology. 2008;43:121–122.
- McLeod D, Ring CP. Cilio-retinal infarction after retinal vein occlusion. Br J Ophthalmol. 1976;60:419–427.
- McLeod D. Inappropriate investigation and management of a retinal vascular occlusion. Eye. 2006;864–865.







