Optimized Filters Move Autofluorescence Imaging Forward
FAF mapping is proving to be a valuable tool for researchers and clinicians.
Spectral domain OCT isn't the only imaging technology capturing the attention of vitreoretinal specialists. Fundus autofluorescence (FAF) imaging is making its way into research endeavors and clinical practices across the country.
FAF takes advantage of the fluorescent properties of lipofuscin, a byproduct of cell metabolism. With age, lipofuscin accumulates in many types of cells throughout the body. However, given its propensity to interfere with cell functioning, perhaps to the point of cell death, it has been associated with several disease states. In the eye, the retinal pigment epithelium (RPE), which is responsible for digesting and eliminating shed photoreceptor outer segments, is particularly susceptible. Excessive build-up of lipofuscin in the RPE has been linked to a number of retinal diseases, including age-related macular degeneration (AMD).
In the visual process, the visual pigment undergoes a conformational change to signal the brain that light has been detected. However, absorption of light by a retinoid raises its energy level and can make the retinoid reactive. The retinoid may attach to other molecules, creating a larger molecule that is difficult to degrade. The RPE stores these conjugated photopigments in cell lysosomes. Eventually, these conjugated molecules become a major component of lipofuscin. The creation of lipofuscin happens in all post-mitotic cells. The unique physiologic role of the RPE leads to the formation of a very large accumulation of molecules that are autofluorescent over life.
A color fundus photograph and an autofluorescence image depict a patient who has age-related macular degeneration. The latter was captured through the new optimized Spaide Autofluorescence Filters.
THE VALUE OF FUNDUS AUTOFLUORESCENCE IMAGING
Exposing the fluorophores in lipofuscin to specific wavelengths of light stimulates them to fluoresce. Once stimulated, they emit light at different, but specific wavelengths, which can be captured as an image. As such, FAF is a safe, noninvasive way to map metabolic changes in the RPE in vivo. FAF provides information about the physiology and health of retinal cells that is not accessible by any other means. In general, living, healthy cells glow a certain amount. In some conditions, such as Stargardt's disease, the RPE cells accumulate an excess of lipofuscin before death. Areas of dead or absent cells, as in AMD-associated geographic atrophy (GA) or retinitis pigmentosa, are hypofluorescent.
Distinct FAF patterns have been observed in various retinal diseases, and in some conditions, such as pseudoxanthoma elasticum and multifocal choroiditis with panuveitis, FAF has revealed previously unknown RPE involvement or more extensive involvement than was detectable by other imaging methods.1 FAF is used in clinical practice as a diagnostic aid and for tracking disease progression over time. Currently, FAF has utility in many areas — including earlier disease detection, identification of risk factors for disease progression, correlation of genotype and phenotype, and evaluation of potential new therapies in clinical trials — and its usage is expected to expand.
METHODS OF IMAGE CAPTURE
FAF can be imaged with a scanning laser ophthalmoscope (SLO) or a fundus camera. Both methods have to account for the natural fluorescence of the crystalline lens, which interferes with and degrades the FAF signal.
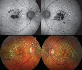
Color fundus photographs and autofluorescence images (using Spaide Filters) reveal geographic atrophy.
Because the SLO is confocal, it can reject the light emitted from the lens. This allows FAF imaging using excitation wavelengths and barrier filter wavelengths (to allow capture of only certain wavelengths upon the excitation light's return) that are similar to those used in fluorescein angiography. The excitation wavelength of the excitation filter is 488 nm and the range of the barrier filter has a short wavelength cutoff of 500 nm. However, that means an SLO cannot be used to capture FAF images in patients who have undergone fluorescein angiography within the previous 24 hours, because the excitation wavelengths are within the absorption curve of the dye. In addition, the wavelengths are absorbed by macular pigments (such as lutein and zeaxanthin), which limit the ability of an SLO to accurately capture FAF images of the central macula. Furthermore, in order to reduce noise in the images, several scans must be taken and averaged. Then the resultant image is adjusted by the SLO software. The manipulation produces an image that generally looks good, but makes consistent grayscale measurements of the autofluorescence images impossible from one image to the next. Because they are not confocal, fundus cameras cannot reject lens autofluorescence. However, a fundus camera can be used to minimize the image-degrading effects of lens autofluorescence and overcome other challenges in FAF imaging by using excitation and barrier filters optimized to specific wavelengths that the SLO is not capable of. In the mid-1990s, Delori and colleagues studied FAF using a fundus camera.2 While their contributions in this area were substantial, they were forced to limit the camera's field of view to 13° in an attempt to improve poor contrast caused by light scatter and the interference of lens fluorescence.
| "As potential new treatments for dry AMD enter clinical trials, we need to determine whether other imaging methods can identify and quantify geographic atrophy more precisely than color fundus photography."
Philip J. Rosenfeld, MD, PhD |
THE LATEST IMPROVEMENTS
In 2003, Richard F. Spaide, MD, introduced a system for FAF imaging using a fundus camera that included shifting the excitation and barrier filter wavelengths used toward the red end of the light spectrum.3 More recently, he improved his original system by fine-tuning the wavelengths for optimum visualization of FAF. The wavelength range of the excitation filter is 535-585 nm; the range of the barrier filter is 605-715 nm.
The new Spaide Autofluorescence Filters are approximately 20 times more efficient than previously available fundus camera filters. They significantly improve contrast while reducing noise in FAF images. The wavelengths are not efficient at causing crystalline lens autofluorescence, nor are they "fooled" by macular pigment. Also, they allow FAF imaging in patients who have had fluorescein angiography. Another key benefit derived from the new filters is that they increase the brightness of the image, enabling a field of view as wide as 50 degrees.
An image captured using the optimized Spaide Autofluorescence Filters is compared against a color fundus photograph of the same eye following laser photocoagulation.
The Spaide Autofluorescence Filters are available exclusively on all new IMAGEnet equipped mydriatic fundus cameras from Topcon Medical Systems and certain IMAGEnet camera upgrades. They are manufactured to the same transmission and blocking tolerances required by NASA, which contributes to their reduction of the signal-to-noise ratio.
As part of his research in patients with dry AMD, Philip J. Rosenfeld, MD, PhD, has used the Spaide Filters. "As potential new treatments for dry AMD enter clinical trials, we need to determine whether other imaging methods can identify and quantify GA more precisely than color fundus photography," says Dr. Rosenfeld, Bascom Palmer Eye Institute, Miller School of Medicine, University of Miami. "We have shown that SD-OCT and FAF imaging can identify GA reproducibly, and measurement of GA area is comparable between the two technologies.4
"In the presence of a significant cataract, SD-OCT is superior to either of the FAF imaging methods," Dr. Rosenfeld says. "However, most patients do not have significant cataracts, and in those patients, we find the Topcon fundus imaging system with Spaide Filters is superior to an SLO system in identifying GA boundaries. Because the excitation wavelengths are not absorbed by retinal pigments known as xanthophylls, the Spaide Filters provide distinct contours of GA in the central macula, which are often obscured using the SLO approach."
ADDITIONAL PRACTICAL BENEFITS
For those considering adding FAF imaging to their diagnostic and management capabilities, the fundus camera method offers additional benefits. From a financial perspective, acquiring or upgrading a fundus camera is less expensive than purchasing an SLO instrument. From the perspective of patients, the fundus camera approach is more comfortable. Also, highly skilled technicians are required for SLO operations, but fundus photography can be performed easily by those with less experience, which presents an attractive staffing alternative.
In general, a fundus camera flash obtains an FAF image more quickly than a scanning laser. The Spaide Filters in particular require 40% less light exposure than those previously available, 75-100 watt seconds of energy compared with 300-watt seconds. The gain setting required is much lower than what was previously used, with the resultant image having much lower noise. RP
References
- Schmitz-Valckenberg S, Holz FG, Bird AC, Spaide RF. Fundus autofluorescence imaging: review and perspectives. Retina. 2008;28:385-409.
- Delori FC, Dorey CK, Staurenghi G, Arend O, Goger DG, Weiter JJ. In vivo fluorescence of the ocular fundus exhibits retinal pigment epithelium lipofuscin characteristics. Invest Ophthalmol Vis Sci. 1995;36:718-729.
- Spaide RF. Fundus autofluorescence and age-related macular degeneration. Ophthalmology. 2003;110:392-399.
- Lujan BJ, Rosenfeld PJ, Gregori G, et al. Spectral domain optical coherence tomographic imaging of geographic atrophy. Ophthalmic Surg Lasers Imaging. 2009;40:96-101.







