Managing Complications of Radiation Retinopathy
Radiation retinopathy is a common side effect associated with treatment of ocular cancers, as well as other conditions. What can be done to ease this adverse effect?
JOANNE C. WEN, MD • TARA A. McCANNEL, MD, PhD
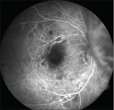
First described in 1933, radiation retinopathy is characterized clinically by the development of microaneurysms, telangiectases, neovascularization, tractional retinal detachment, vitreous hemorrhage and macular edema, after exposure to radiation.1,2 On fluorescein angiography, focal capillary closure with neighboring capillary dilatation and microaneurysms are seen (Figure 1).3 It is a predictable complication that follows external-beam radiation, as well as plaque brachytherapy, and can significantly compromise vision.
Figure 1. Midphase fluorescein angiogram showing severely enlarged foveal avascular zone.
Following plaque brachytherapy for choroidal melanoma, radiation retinopathy involving the macula has been reported to occur in 10% to 63% of eyes.4-11 Higher rates were associated with larger tumors and/or increased radiation dosages. In a recent Collaborative Ocular Melanoma Study publication, evidence of radiation retinopathy was seen in 90.7% of eyes eight years after iodine 125 brachytherapy for choroidal melanoma (Figure 2).12
Figure 2. Radiation maculopathy from iodine 125�treated peripapillary choroidal melanoma. Retinal hemorrhages, microaneurysms, exudates and cotton wool spots are present.
Approaches for treating radiation maculopathy have included intravitreal bevacizumab, intravitreal triamcinolone acetonide and laser photocoagulation, with a few case reports describing other methods, including hyperbaric oxygen, administration of pentoxifylline and PDT.
This review will cover the various treatment options for radiation retinopathy, with a focus on maculopathy.
| Joanne C. Wen, MD, is a first-year ophthalmology resident at the Jules Stein Eye Institute of the David Geffen School of Medicine at the University of California–Los Angeles. Tara A. McCannel, MD, PhD, is assistant professor of ophthalmology and director of the Ophthalmic Oncology Center at the Jules Stein Eye Institute. Neither author reports any financial interest in any products mentioned in this article. Dr. McCannel can be reached via e-mail at TMcCannel@jsei.ucla.edu. |
BEVACIZUMAB
Vascular endothelial growth factor (VEGF) is a diffusible and secreted protein that participates in the promotion of vascular leakage and angiogenesis.13 Bevacizumab, a humanized monoclonal antibody against VEGF, decreases vascular permeability and the development of abnormal neovascularization. Intravitreal bevacizumab has been used to treat many ischemic retinal diseases, including central retinal vein occlusion, diabetic retinopathy, and wet AMD. It has likewise been used to treat radiation retinopathy.
Variable success rates have been published on the effectiveness of intravitreal bevacizumab in treating radiation maculopathy. In one study, 21 patients with radiation maculopathy were treated with multiple injections of bevacizumab, most requiring an injection every eight weeks.14,15 At follow-up (mean 7.8 months), visual acuity improved or stabilized in 86% of eyes, with 14% regaining two or more Snellen lines of vision. Similarly, case reports describe treatment of radiation maculopathy and retinopathy using anti-VEGF agents, with improvements in retinal thickening, exudation and visual acuity.16,17
In contrast to these reports, other studies found intravitreal bevacizumab to be less effective at treating radiation maculopathy. In one study, 10 patients with radiation maculopathy were treated with intravitreal bevacizumab.18 A transient improvement in mean foveal thickness was seen at six weeks postinjection, but only modest improvement in BCVA was seen at the final four-month follow-up.
Likewise, another study of five patients with radiation maculopathy demonstrated a decrease in average foveal thickness at two weeks post-bevacizumab injection that was only sustained by two patients at final follow-up (mean 15.2 weeks).19 Visual acuity improved modestly in two patients, while the others remained unchanged. Other case reports describe similar results, including one study in which bevacizumab was used systemically.20,21 In these reports, the pathologic signs of radiation retinopathy, including neovascularization, vitreous hemorrhage and macular edema, improved following administration, but little improvement was seen in overall visual acuity.
These studies suggest that intravitreal bevacizumab is effective at transiently decreasing radiation-related retinal pathology, though a sustained effect may necessitate multiple injections. However, the improvement in visual acuity following injection appears to be minimal. At best, intravitreal bevacizumab may prevent worsening of visual acuity.
TRIAMCINOLONE ACETONIDE
Triamcinolone acetonide is thought to inhibit various mediators of vascular permeability, as well as help restore a compromised inner blood-retinal barrier.22-24 It is also known to downregulate expression of the VEGF gene in vascular smooth-muscle cells.25 Intravitreal triamcinolone has been used to treat macular edema related to many retinal vascular diseases, including radiation maculopathy.
In a study in which 31 patients with radiation maculopathy were treated with intravitreal triamcinolone, mean foveal thickness was found to decrease by one month postinjection, with a corresponding improvement in visual acuity (at least two Snellen lines in 68% of patients).26 However, by the final six-month follow-up, mean foveal thickness had increased and only 26% of patients retained an improvement in visual acuity of two Snellen lines or more. Of note, 10% of patients developed glaucoma, necessitating topical medications, and 10% developed cataract.
One case report suggests that results may be better sustained with multiple injections.27 In this report, the patient was treated with a second injection of intravitreal triamcinolone after his macular edema returned, and his visual acuity declined. Again, resolution of edema and improvement of visual acuity was observed.
Further studies are needed to confirm these results. The benefits of frequent intravitreal injections of triamcinolone need to be weighed against the risks of glaucoma and cataract, in addition to endophthalmitis.
LASER
Laser photocoagulation of areas of retinal nonperfusion or abnormal capillaries has also been studied as a potential treatment of radiation retinopathy. In a study of 19 patients with radiation-induced macular edema, patients treated with focal laser therapy had greater resolution of macular edema and improvement in visual acuity at six months post-laser therapy than patients who were merely observed.28
However, by 12 and 24 months of follow-up, there was no significant difference between the two groups with respect to macular edema and visual acuity. Another study suggests that retreatment with photocoag ulation is needed to maintain improvement in visual acuity.29 In 12 eyes with radiation-induced macular edema, each eye was retreated once on average, and at final follow-up (mean 39 months), 67% still had improved visual acuity.
In contrast, another report described 45 eyes with radiation retinopathy treated with sector argon laser photocoagulation, with a mean of 2.75 laser sessions per eye.30 Regression of retinopathy was seen in 64% of eyes, but at final follow-up (mean 48 months), 47% of eyes had lost three or more lines of vision. Another study of 87 eyes with radiation maculopathy found that patients who received photocoagulation treatment had improved visual acuities compared to untreated patients, but visual acuity continued to decline in eyes with macular edema despite treatment.31
As with intravitreal anti-VEGF and triamcinolone injections, laser photocoagulation also appears to transiently improve radiation maculopathy, although improvements in visual acuity are questionable. Multiple treatments may also be necessary to sustain results.
OTHER TREATMENTS
Various case reports describe other approaches for treating radiation retinopathy, including photodynamic therapy (PDT), hyperbaric oxygen treatment and oral pentoxifylline. PDT has been hypothesized to decrease hyperperfusion in affected areas of choriocapillaris in central serous chorioretinopathy, as well as to damage endothelial cells, causing occlusion of vessels.32
A small study of four patients with radiation-induced macular edema demonstrated a decrease in hard exudates and improvement in visual acuity following PDT.33 Another case report described a patient with radiation retinopathy and subretinal neovascularization who had improvement in visual acuity following PDT for the subretinal neovascularization.34
Hyperbaric oxygen treatment improves oxygenation and hypothetically counteracts the ischemia of radiation retinopathy and neuropathy. In one case report, a patient with both radiation retinopathy and optic neuropathy was treated with hyperbaric oxygen therapy.35 While retinal exudates and visual fields did improve, overall visual acuity was not significantly changed.
Finally, pentoxifylline, a drug commonly used to treat peripheral vascular disease, has also been used to treat radiation retinopathy. Pentoxifylline decreases the viscosity of blood, improves the flexibility of erythrocytes and leukocytes, and has a direct vasodilatory effect. It has also been shown to increase ocular blood flow.36 In one case report, a patient with radiation retinopathy was treated with oral pentoxifylline with improvement in visual acuity and improved capillary perfusion on fluorescein angiography.37
PREVENTION
Two studies describe the use of periocular triamcinolone for prevention of radiation retinopathy. Periocular administration was chosen instead of intravitreal injection to avoid risks of endophthalmitis and tumor dissemination and possibly to decrease the risk of glaucoma following treatment.
In a comparative, nonrandomized, interventional study, 55 patients with newly diagnosed choroidal melanoma were treated with a periocular injection of triamcinolone at the time of iodine 125 plaque application and at four and eight months post-plaque.38 A comparison group of 32 patients was not treated with triamcinolone. At follow-up (median 24 months), the triamcinolone-treated group had a significantly lower rate of radiation maculopathy than the control group, but the difference in moderate and severe vision loss was not significant between the two groups.
A more recent randomized controlled study, published by the same group, randomized 163 patients with newly diagnosed choroidal melanoma to either a control group or a treatment group.39 Those in the treatment group received periocular injections of triamcinolone at the time of iodine 125 plaque application and at four and eight months postplaque. At final follow-up (18 months), the treatment group had significantly less macular edema on optical coherence tomography and significantly less moderate and severe vision loss compared to the control group.
Finally, one study described the use of laser photocoagulation in the prevention of radiation retinopathy and maculopathy.30 Plaque brachytherapy creates a predictable zone of ischemia in the tissue underlying and surrounding the plaque. In theory, treating this zone with scatter laser photocoagulation may prevent progression of radiation retinopathy. Sixteen eyes that were considered "high-risk" for developing radiation maculopathy given the posterior location of their melanomas were treated with laser photocoagulation in the region in and around the plaque. Photocoagulation was applied prior to the onset of clinically detectable radiation retinopathy. At final follow-up (mean 23.2 months), none of the eyes had lost more than three lines of vision.
RECOMMENDATIONS
Retinopathy with declining vision following brachytherapy remains a challenging adverse effect in the treatment of patients with choroidal melanoma. Although patients with larger, more posteriorly located tumors tend to have worse macular vision following radiation, it is difficult to identify which patients will develop radiation maculopathy and when they will get it in their post-brachytherapy course. It is important to inform patients from the outset that treatment of their melanoma with brachytherapy will almost always result in some compromise of visual acuity.
In patients who develop radiation maculopathy, we recommend a discussion of the possible treatment options. In our experience, many patients are not interested in pursuing invasive treatments if the known benefits to vision are minimal. Following radiation therapy with external beam or brachytherapy, three variables — (1) periodic evaluation of the postradiation eye with evaluation of tumor response, treatment for neovascularization, and prescription of lowvision aids when appropriate, (2) careful monitoring of the fellow eye, and (3) regular evaluation for metastatic disease — require as much attention.
CONCLUSION
No effective treatments for radiation retinopathy and maculopathy have been established. While some interventions may improve the clinical signs of radiation retinopathy, visual acuity is only minimally improved. Those treatments that do improve visual acuity may do so transiently, and recurrent treatments are likely needed to sustain the effects. RP
REFERENCES
- Archer DB, Amoaku WM, Gardiner TA. Radiation retinopathy — clinical, histopathological, ultrastructural and experimental correlations. Eye. 1991; 5(Pt 2):239-251.
- Archer DB, Gardiner TA. Ionizing radiation and the retina. Curr Opin Ophthalmol. 1994;5:59-65.
- Amoaku WM, Archer DB. Fluorescein angiographic features, natural course and treatment of radiation retinopathy. Eye. 1990;4(Pt 5):657-667.
- Stack R, Elder M, Abdelaal A, Hidajat R, Clemett R. New Zealand experience of I125 brachytherapy for choroidal melanoma. Clin Experiment Ophthalmol. 2005; 33:490-494.
- Jensen AW, Petersen IA, Kline RW, Stafford SL, Schomberg PJ, Robertson DM. Radiation complications and tumor control after 125I plaque brachytherapy for ocular melanoma. Int J Radiat Oncol Biol Phys. 2005;63:101-108.
- Jones R, Gore E, Mieler W, et al. Posttreatment visual acuity in patients treated with episcleral plaque therapy for choroidal melanomas: dose and dose rate effects. Int J Radiat Oncol Biol Phys. 2002;52:989-995.
- Sia S, Harper C, McAllister I, Perry A. Iodine-I25 episcleral plaque therapy in uveal melanoma. Clin Experiment Ophthalmol. 2000;28:409-413.
- Fontanesi J, Meyer D, Xu S, Tai D. Treatment of choroidal melanoma with I-125 plaque. Int J Radiat Oncol Biol Phys. 1993;26:619-623.
- Mameghan H, Karolis C, Fisher R, et al. Iodine-125 irradiation of choroidal melanoma: clinical experience from the Prince of Wales and Sydney Eye Hospitals. Australas Radiol. 1992;36:249-252.
- Bosworth JL, Packer S, Rotman M, Ho T, Finger PT. Choroidal melanoma: I-125 plaque therapy. Radiology. 1988;169:249-251.
- Garretson BR, Robertson DM, Earle JD. Choroidal melanoma treatment with iodine 125 brachytherapy. Arch Ophthalmol. 1987;105:1394-1397.
- Boldt HC, Melia BM, Liu JC, Reynolds SM. I-125 brachytherapy for choroidal melanoma photographic and angiographic abnormalities: the Collaborative Ocular Melanoma Study: COMS Report No. 30. Ophthalmology.2009;116: 106-115.e1.
- Ferrara N. Vascular endothelial growth factor and the regulation of angiogenesis. Recent Prog Horm Res. 2000;55:15-35; discussion 35-36. Review.
- Finger PT. Radiation retinopathy is treatable with anti-vascular endothelial growth factor bevacizumab (Avastin). Int J Radiat Oncol Biol Phys. 2008;70:974-977.
- Finger PT, Chin K. Anti-vascular endothelial growth factor bevacizumab (Avastin) for radiation retinopathy. Arch Ophthalmol. 2007;125:751-756.
- Ziemssen F, Voelker M, Altpeter E, Bartz-Schmidt KU, Gelisken F. Intravitreal bevacizumab treatment of radiation maculopathy due to brachytherapy in choroidal melanoma. Acta Ophthalmol Scand. 2007;85:579-580.
- Querques G, Prascina F, Iaculli C, Delle Noci N. Intravitreal pegaptanib sodium (Macugen) for radiation retinopathy following episcleral plaque radiotherapy. Acta Ophthalmol. 2008;86:700-701.
- Mason JO, 3rd, Albert MA, Jr., Persaud TO, Vail RS. Intravitreal bevacizumab treatment for radiation macular edema after plaque radiotherapy for choroidal melanoma. Retina. 2007;27:903-907.
- Gupta A, Muecke JS. Treatment of radiation maculopathy with intravitreal injection of bevacizumab (Avastin). Retina. 2008;28:964-968.
- Arriola-Villalobos P, Donate-Lopez J, Calvo-Gonzalez C, Reche-Frutos J, Alejandre- Alba N, Diaz-Valle D. Intravitreal bevacizumab (Avastin) for radiation retinopathy neovascularization. Acta Ophthalmol Scand. 2008;86:115-116.
- Solano JM, Bakri SJ, Pulido JS. Regression of radiation-induced macular edema after systemic bevacizumab. Can J Ophthalmol. 2007;42:748-749.
- Jermak CM, Dellacroce JT, Heffez J, Peyman GA. Triamcinolone acetonide in ocular therapeutics. Surv Ophthalmol. 2007;52:503-522.
- Gillies MC. Regulators of vascular permeability: potential sites for intervention in the treatment of macular edema. Doc Ophthalmol. 1999;97:251-260.
- Edelman JL, Lutz D, Castro MR. Corticosteroids inhibit VEGF-induced vascular leakage in a rabbit model of blood-retinal and blood-aqueous barrier breakdown. Exp Eye Res. 2005;80:249-258.
- Brooks HL, Jr., Caballero S, Jr., Newell CK, et al. Vitreous levels of vascular endothelial growth factor and stromal-derived factor 1 in patients with diabetic retinopathy and cystoid macular edema before and after intraocular injection of triamcinolone. Arch Ophthalmol. 2004;122:1801-1807.
- Shields CL, Demirci H, Dai V, et al. Intravitreal triamcinolone acetonide for radiation maculopathy after plaque radiotherapy for choroidal melanoma. Retina. 2005;25:868-874.
- Sutter FK, Gillies MC. Intravitreal triamcinolone for radiation-induced macular edema. Arch Ophthalmol. 2003;121:1491-1493.
- Hykin PG, Shields CL, Shields JA, Arevalo JF. The efficacy of focal laser therapy in radiation-induced macular edema. Ophthalmology. 1998;105:1425-1429.
- Kinyoun JL, Zamber RW, Lawrence BS, Barlow WE, Arnold AM. Photocoagulation treatment for clinically significant radiation macular oedema. Br J Ophthalmol. 1995;79:144-149.
- Finger PT, Kurli M. Laser photocoagulation for radiation retinopathy after ophthalmic plaque radiation therapy. Br J Ophthalmol. 2005;89:730-738.
- Kinyoun JL. Long-term visual acuity results of treated and untreated radiation retinopathy (an AOS thesis). Trans Am Ophthalmol Soc. 2008;106:325-335.
- Bressler NM, Bressler SB. Photodynamic therapy with verteporfin (Visudyne): impact on ophthalmology and visual sciences. Invest Ophthalmol Vis Sci. 2000;41:624-628.
- Bakri SJ, Nickel J, Yoganathan P, Beer PM. Photodynamic therapy for choroidal neovascularization associated with submacular hemorrhage in age-related macular degeneration. Ophthalmic Surg Lasers Imaging. 2006;37:278-283.
- Lee SC, Song JH, Chung EJ, Kwon OW. Photodynamic therapy of subretinal neovascularization in radiation retinopathy. Eye. 2004;18:745-746.
- Gall N, Leiba H, Handzel R, Pe'er J. Severe radiation retinopathy and optic neuropathy after brachytherapy for choroidal melanoma, treated by hyperbaric oxygen. Eye. 2007;21:1010-1012.
- Schmetterer L, Kemmler D, Breiteneder H, et al. A randomized, placebo-controlled, double-blind crossover study of the effect of pentoxifylline on ocular fundus pulsations. Am J Ophthalmol. 1996;121:169-176.
- Gupta P, Meisenberg B, Amin P, Pomeranz HD. Radiation retinopathy: the role of pentoxifylline. Retina. 2001;21:545-547.
- Horgan N, Shields CL, Mashayekhi A, et al. Periocular triamcinolone for prevention of macular edema after iodine 125 plaque radiotherapy of uveal melanoma. Retina. 2008;28:987-995.
- Horgan N, Shields CL, Mashayekhi A, et al. Periocular triamcinolone for prevention of macular edema after plaque radiotherapy of uveal melanoma: a randomized controlled trial. Ophthalmology. 2009;116:1383-1390.







