Estimation on the Incidence and OCT Risk Factors for RPE Tears After Intravitreal Anti-VEGF Injections
CARSTEN H. MEYER, MD • CLEMENT CHAN, MD • CHRISTOPH CLEMENS, MD • FRANK G. HOLZ, MD
Progressive leakage from a sub-RPE choroidal neovascular membrane may lead to fluid buildup under the retinal pigment epithelium. This irregular separation of the RPE layer from its basement membrane leads to a pigment epithelial detachment (PED). Consistent increase of hydrostatic pressure1 or the contraction of the neovascular tissue2 may induce a rupture of the PED at its margin, corresponding to the junction between the attached and detached RPE. Tears of the RPE have been observed after intravitreal anti-VEGF injections for neovascular age-related macular degeneration.2-4
CASE PRESENTATION
A 69-year-old woman presented with a vascularized PED (Figure 1). She was treated with an anti-VEGF injection and developed an RPE tear approximately eight days after the third injection (Figure 2). The preinjection BCVA was 20/400, and the post-tear VA remained at 20/400. On fluorescein angiography, there was a marked hyperfluorescence in the area of the denuded RPE bed, while the contracted RPE presented as a dark hypofluorescence. Over a two-month period, the patient received two additional injections and reported an improvement of her metamorphopsia.
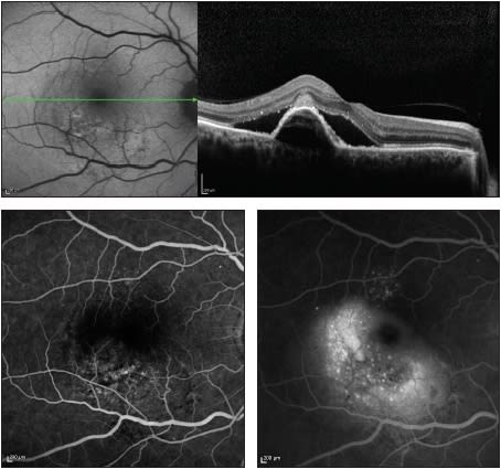
Figure 1. SD-OCT (top) demonstrates a PED with adjacent subretinal fluid. On FA (bottom left) there is an occult CNV with a vascularized PED (bottom right).
Figure 2. SD-OCT (top) demonstrates a collapsed PED and a missing RPE bed in the area of the RPE tear. The contracted duplicated sheath of the RPE imposes a hyporeflective area (bottom left), while the RPE tear presents a hyper-reflective area on FA (bottom right). The preinjection BCVA was 20/400, and the post-tear VA maintained at 20/400.
| Carsten H. Meyer, MD, Christoph Clemens, MD, and Frank G. Holz, MD, all practice in the Department of Ophthalmology at the University of Bonn in Germany. Clement Chan, MD, practices with Southern California Desert Retina Consultants in Palm Springs. Dr.Meyer reports minimal financial interest in Pfizer, Novartis, and GlaxoSmithKline. Drs. Clemens, Chan, and Holz report no financial interest in any products mentioned in this article. Dr. Meyer can be reached via e-mail at carsten_h.meyer@ukb.uni-bonn.de. |
DISCUSSION
In two retrospective, nonrandomized case series, we examined the prevalence and risk factors of RPE tears after bevacizumab (Avastin, Genentech) injections. This multicenter study involved nine retina specialists and seven centers across the United States and Europe on Stratus OCT, and secondarily fluorescein angiographic and fundus parameters, in eyes with vascularized PED. All eyes that underwent intravitreal bevacizumab for neovascular AMD over an eight-month period were included.
Of more than 1,800 intravitreal bevacizumab injections, 16 eyes formed RPE tears. The mean interval from the bevacizumab injection to the onset of the RPE tear was approximately one month. Most RPE tears formed in eyes with a PED (>80%), and most developed primarily after the first injection (>80%). The majority of affected eyes maintained stable vision, primarily due to reduced submacular fluid and preservation of the RPE under the foveola (BCVA before RPE tear 0.87 LogMar; after tear, BCVA was 0.85 LogMar). There was no difference in the development of RPE tears between dosages of 1.25 mg and 2.5 mg of bevacizumab.
The previously described incidences of RPE tears have varied from study to study. Jonas et al. observed six RPE tears in 63 eyes (6%), and Fung et al. described four RPE tears after intravitreal bevacizumab injections. However, neither report included a detailed subgroup analysis to determine risk factors associated with the RPE tears. The VISION study treated 1,186 patients with more than 9,000 intravitreal pegaptanib sodium injections and reported no RPE tears during a two-year follow-up.
We determined an increased surface area (mean >13 mm2) and greater linear diameter (GLD-μ) (mean >4400 μm) of the subfoveal PED to be risk factors on FA predisposing for RPE-tear formation. In addition, eyes with choroidal neovascularization of less than 50% of the total PED lesion are at risk for RPE tears.
A second comparative retrospective case series determined the preinjection OCT factors that predispose RPEtear formation after intravitreal injections. Univariate analysis showed that the OCT parameters at risk included PED height (in microns), PED surface area (in mm2), and volume index (PED surface area multiplied by PED height). Approximately 17% of all eyes with a PED developed RPE tears after intravitreal bevacizumab injections.
Volume index and PED surface area were significantly higher for PED eyes that developed RPE tears than for those without RPE tears. Multivariate analysis showed PED height to be the only independent factor correlated with RPE tears in PED eyes.
Thus, an elevated RPE height is the most reliable predictor for RPE tears after bevacizumab injections in PED eyes. Leitritz et al. confirmed that eyes with vascularized PED that developed RPE tears have a significantly greater PED height than those that did not develop this complication.5 In a linear regression model, they showed the probability of an RPE tear to correlate in an exponential fashion with the increased height of the PED.6 Chiang et al. also reported the association of RPE tears with increased PED height.7 We conclude that the risk of an RPE tear may be conveniently estimated by OCT measurement of the height of the PED prior to treatment. RP
REFERENCES
- Chuang EL, Bird AC. Repair after tears of the retinal pigment epithelium. Eye. 1988;2:106-113.
- Meyer CH, Mennel S, Schmidt JC, Kroll P. Acute retinal pigment epithelial tear following intravitreal bevacizumab (Avastin) injection for occult choroidal neovascularization secondary to age related macular degeneration. Br J Ophthalmol. 2006;90:1207-1208.
- Chan CK, Meyer CH, Gross JG, Abraham P, et al. Retinal pigment epithelial tears after intravitreal bevacizumab injection for neovascular age-related macular degeneration. Retina. 2007;27:541-551.
- Chan CK, Abraham P, Meyer CH, et al. Optical coherence tomographymeasured pigment epithelial detachment height as a predictor for retinal pigment epithelial tears associated with bevacizumab injections. Retina. 2009, in press.
- Leitritz M, Gelisken F, Inhoffen W, Voelker M, Ziemssen F. Can the risk of retinal pigment epithelium tears after bevacizumab treatment be predicted? An optical coherence tomography study. Eye. 2008;22:1504-1507.
- Spandau UHM, Jonas JB. Retinal pigment epithelium tear after intravitreal bevacizumab for exudative age-related macular degeneration. Br J Ophthalmol. 2006;142:1068-1070.
- Chiang A, Chang LK, Yu F, Sarraf D. Predictors of anti-VEGF-associated retinal pigment epithelial tear using FA and OCT analysis. Retina. 2008;28:1265-1269.







