CASE STUDY
Lupus Uveitis, Vasculitis, and Choroidopathy
CHIRAG P. SHAH, MD, MPH
A 45-year-old African-American woman with a 10-year history of systemic lupus erythematosus presented to a community emergency room with a lupus flare. She described periocular and pelvic swelling, in contrast to her typical flares of fever and pleural effusions. She was treated with 1 g of intravenous methylprednisolone and discharged on an oral prednisone taper with instructions to follow up with her rheumatologist. Three days later, she experienced rapid and dramatic visual loss in both eyes and sought ophthalmic care at the Wills Eye Institute in Philadelphia. Vital signs, including blood pressure, were normal. Neurological and systemic examination was otherwise normal. She had no other past medical or ocular conditions. Her medications included hydroxychloroquine 200 mg twice daily, azathioprine 50 mg daily, and prednisone 20 mg daily.
On examination, her vision was light perception in her right eye and barely counting fingers in her left eye. Anterior-segment examination revealed a 1-mm layered hypopyon in her right eye and 3+ cells in her left eye. Posteriorly, she had bilateral 3+ vitreous cells, arteriolar and venous sheathing, extensive intraretinal hemorrhage, retinal edema, and serous retinal detachments (Figure 1).
Figure 1. B-scan ultrasonography of the left eye, revealing significant vitritis, serous retinal detachment, and choroidal thickening. Evaluation of the right eye revealed similar findings.
| Chirag P. Shah, MD, MPH, is a vitreoretinal fellow at the Wills Eye Institute in Philadelphia. He reports no financial interests in any product mentioned in this article. Dr. Shah can be reached via e-mail at cshah99@gmail.com. |
DIAGNOSIS AND TREATMENT
The differential diagnosis of vitritis, vascular sheathing, intraretinal hemorrhage, and serous retinal detachment includes lupus, acute retinal necrosis, Behçet disease, toxoplasmosis, syphilis, Lyme disease, sarcoid, Wegener granulomatosis, and cytomegalovirus. We promptly admitted the patient to internal medicine with rheumatology consultation for diagnostic work-up and immediate management. Serologic testing for toxoplasmosis, syphilis, Lyme disease, sarcoid, and Wegeners proved negative. Additional negative tests included a chest x-ray and HIV test. She did not meet the International Study Group diagnostic criteria for Behçet disease. Westergren erythrocyte sedimentation rate was markedly elevated (111 mm/h), as were anti-SSA/Ro antibodies (3634, normal: 0-91). Antiphospholipid antibodies were previously negative. Renal function was normal. A transthoracic echocardiogram revealed mild pericardial effusion.
We diagnosed her with lupus-related uveitis, retinal vasculitis, and choroidopathy, as previously reported.1 Hypopyon uveitis remains a rare sequela of lupus, requiring exclusion of possible confounding conditions. Initially, vitritis limited clear visualization of the retina, precluding exclusion of acute retinal necrosis. As such, we immediately initiated immunosuppression with 1 g of intravenous methylprednisolone daily for 7 days with concomitant oral valacyclovir 1 g 3 times daily. We continued her outpatient hydroxychloroquine and azathioprine. She improved dramatically. At 1 week, examination revealed with improved vitritis, vascular sheathing, and serous retinal detachment, with better visualization of intraretinal hemorrhages (Figure 2). Her visual acuity improved to counting fingers in the right eye and 20/400 in the left eye. Absence of retinal necrosis excluded acute retinal necrosis, allowing us to discontinue empiric antiviral treatment.
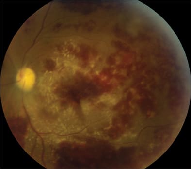
Figure 2. Color fundus photograph of the left eye 1 week after initiation of corticosteroids, revealing mild vitritis, vascular sheathing, and extensive intraretinal hemorrhages. Note the white vessels against the red intraretinal hemorrhages.
The specific pathogenesis of retinal vascular disease in lupus remains unclear. It is believed to be due to circulatory antigen-antibody immune complex deposition in retinal vessels.2 Lupus can manifest with a more severe vaso-occlusive disease, a rare and often visually devastating complication frequently associated with antiphospholipid antibodies. Absent in our patient, vaso-occlusive disease presents with multiple and often confluent nerve fiber layer infarcts and branch retinal artery occlusions.3 Histologically, findings include fibrinoid change with thrombosis in the vessel walls without evidence of inflammation.4
Lupus choroidopathy is associated frequently with lupus nephritis or nephropathy, hypertension, and central nervous system vasculitis.5 Clinically, it is marked by serous neurosensory retinal detachment, as in our patient. There may be associated retinal pigment epithelium detachments. Immunofluorescence studies have identified immunoglobin deposition in the vascular layer of choroidal capillaries6 and immune aggregates in the walls of choroidal blood vessels and basement membrane of the choroidal epithelium.7 Fluorescein angiography often reveals delayed choroidal filling with subretinal leakage. Hypertension, particularly in the setting of nephropathy, may contribute to lupus choroidopathy by promoting choroidal vascular occlusion and ischemia.8 Thrombosis and resultant microangiopathy may also play a role.5
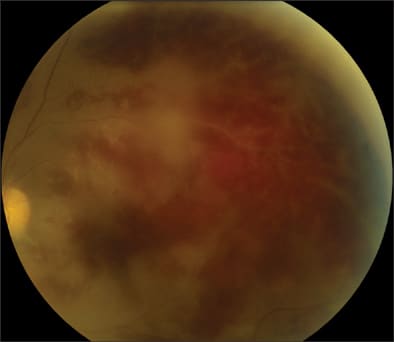
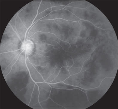
Immunosuppression is the mainstay of treatment for lupus, particularly in our patient, whose lupus flare included uveitis, vasculitis, and choroidopathy.9 Prior to presentation, she was maintained on hydroxychloroquine and azathioprine. She improved with a 1-week pulse of intravenous corticosteroids, at which time we switched her to 60 mg of oral prednisone daily. We also substituted her azathioprine for oral cyclophosphamide 125 mg daily, an alkylating agent. She continued to show steady remission of her ocular inflammation and was soon discharged from the hospital. Clinical examination 2 weeks after presentation disclosed near resolution of vitritis and improved neurosensory retinal detachments with persistent intraretinal hemorrhage and infarcted choroidal vessels (Figures 3-5). Fluorescein angiogram revealed intact retinal circulation, slightly patchy choroidal filling with blocking correlating with intraretinal hemorrhage, lack of apparent leakage, and mild optic nerve hyperfluoresence (Figure 6).
Figure 3. Color fundus photograph of the left eye 2 weeks after presentation. The vitritis has resolved. Some submacular choriocapillaris vessels appear infarcted, as evidenced by deep white lacy vessels. Retinal vessels appear attenuated and slightly sheathed, though improved from presentation. Patchy intraretinal hemorrhages persist.
Figure 4. Color montage of the left eye, revealing the extent of the intraretinal hemorrhages.
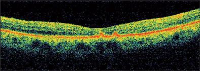
Figure 5. OCT of the left eye, highlighting subretinal fluid and macular edema.
Figure 6. Recirculation phase fluorescein angiogram of the left eye 2 weeks after presentation, revealing intact retinal circulation. The choroidal circulation appears slightly patchy, partly related to blocking defects from intraretinal hemorrhage. There is no apparent leakage, though this may be blocked by hemorrhage. Note mild optic nerve hyperfluoresence.
We slowly and gradually tapered her oral steroids over the course of 4 months. Examination at that time revealed optic nerve pallor, arteriolar attenuation, macular exudation, and near resolution of intraretinal hemorrhage (Figure 7). There was no ocular inflammation. OCT showed resolution of the previously noted subretinal fluid and macular edema, with marked attenuation of the cellular layers of the retina (Figure 8). We attributed this attenuation to the initial retinal and choroidal ischemia. Visual acuity was counting fingers in each eye.
Figure 7. Color fundus photograph of the left eye 4 months after presentation, revealing optic nerve pallor, arteriolar attenuation, macular exudation, and near resolution of intraretinal hemorrhage.
Figure 8. OCT of the left eye revealing resolution of the previously noted subretinal fluid and macular edema, with marked attenuation of the cellular layers of the retina.
SUMMARY
Systemic lupus erythematosus can manifest with numerous ophthalmic findings. Our patient presented with hypopyon uveitis, vitritis, vasculitis, choroidopathy, and serous retinal detachment. These features resolved with prompt immunosuppression. Her final visual acuity was limited by retinal attenuation due to retinal and choroidal ischemia. RP
REFERENCES
- Zink JM, Singh-Parikshak R, Johnson CS, Zacks DN. Hypopyon uveitis associated with systemic lupus erythematosus and antiphospholipid antibody syndrome. Graefes Arch Clin Exp Ophthalmol. 2005;243:386-388.
- Nag TC, Wadhwa S. Vascular changes of the retina and choroids in SLE: pathology and pathogenesis. Curr Neurovasc Res. 2006;3:159-168.
- Jabs DA, Fine SL, Hochberg MC, Newman SA, Heiner GG, Stevens MB. Severe retinal vaso-occlusive disease in systemic lupus erythematous. Arch Ophthalmol. 1986;104:558-563.
- Gold DH, Feiner L, Henkind P. Retinal arterial occlusive disease in systemic lupus erythematosus. Arch Ophthalmol. 1977;95:1580-1585.
- Nguyen QD, Uy HS, Akpek EK, Harper SL, Zacks DN, Foster CS. Choroidopathy of systemic lupus erythematosus. Lupus. 2000;9:288-298.
- Aronson AJ, Ordoñez NG, Diddie KR, Ernest JT. Immune-complex deposition in the eye in systemic lupus erythematosus. Arch Intern Med. 1979;139:1312-1313.
- Schwartz MM, Roberts JL. Membranous and vascular choroidopathy: two patterns of immune deposits in systemic lupus erythematosus. Clin Immunol Immunopathol. 1983;29:369-380.
- Hannouche D, Korobelnik JF, Cochereau I, et al. Systemic lupus erythematosus with choroidopathy and serous retinal detachment. Int Ophthalmol. 1995;19:125-127.
- Dooley MA, Ginzler EM. Newer therapeutic approaches for systemic lupus erythematosus: immunosuppressive agents. Rheum Dis Clin North Am. 2006;32:91-102.







