FOCUS ON…
MembraneBlue: Visualization to Dye For
LESLIE GOLDBERG, ASSOCIATE EDITOR
If you'd like better visualization during membrane peeling but are worried about the potential toxicity of intraoperative agents, a new option from Dutch Ophthalmic may improve surgical efficiency without compromising on safety, the company says.
DISTINCT ADVANTAGES
Thanks to improvements in surgical techniques and the increased safety measures of newer vitrectomy systems, surgeons are operating earlier in disease processes, says Denver's Brian C. Joondeph, MD. As a result, he says, membranes a little more difficult to see and the use of staining agents is increasing.
The latest, MembraneBlue 0.15% from Dutch Ophthalmic USA, has some unique advantages, he says: (1) potentially less toxicity than other agents; (2) superior staining of epiretinal membranes, and (3) the ability to visualize less prominent but still symptomatic membranes, such as proliferative vitreoretinopathy occurring in retinal detachment cases. "If all of the membranes are not removed, the retina remains contracted and may not stay in place," he says. "With MembraneBlue, we can now peel these membranes and have a better chance of successfully reattaching the retina."
Dr. Joondeph, who was part of the clinical trials in New Zealand that led to the drug's worldwide approval, has been using the dye since 2001. "Having an aid like this allows for safer and faster surgery," he says.
SAFETY AND CONVENIENCE
MembraneBlue 0.15% has twice the concentration of trypan blue (the active dye), than the company's VisionBlue used for anterior segment surgery, which is why it does such a good job of dyeing epiretinal and internal limiting membranes, says the company. "It provides surgeons with a demarcation line" between membrane and retina, says Scott Hamor, national sales and marketing director for Dutch Ophthalmic USA.
"Membranes are translucent," adds Dr. Joondeph, "and if they are difficult to visualize they are difficult to peel."
In addition, the company states that documented data show that trypan blue is quite safe; at its concentration there is very little or no disruption of the RPE and very limited documentation of postoperative scotomas.
Lastly, Mr. Hamor says that other visualization dyes need to be mixed in a sterile environment, filtered, and finally transferred to a syringe. He states that with those steps involved, issues of sterility come into play. "MembraneBlue comes in sterile packages so you just take the vial out, put a needle on it and you are ready to inject it," he concludes.
INJECTION OPTIONS
MembraneBlue is supplied in single-use, 2.25 ml syringes filled to a volume of 0.5 ml. There are two ways to inject the dye.
"The first option is to fill the eye with fluid and just slowly inject the dye over the macula and let it settle," says Dr. Joondeph. "The other option is to partially or almost completely fill the eye with air, then inject the dye and gravity will settle the dye to the macula and do the staining."
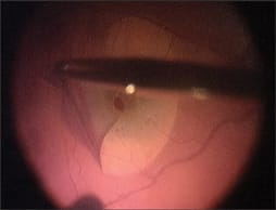
Above: ERM staining by MembraneBlue in a macular pucker patient. Below: the dye is used for better visualization of the ILM during macular hole surgery.
IMAGE S COURTESY OF BRIAN JOONDEPH, MD.
By injecting MembraneBlue in an air-filled vitreous cavity, the intraocular membranes are stained without diluting the dye, he says.
Dr. Joondeph says that either way is fine but that there are times when putting an air bubble in the eye may compromise the view a little bit, so surgeons may prefer the alterative approach in those cases.
For more information on MembraneBlue, visit www.dorc.nl.







