Current Concepts in the Etiology and Treatment of Pseudophakic Cystoid Macular Edema
KEITH A. WARREN, MD
Cystoid macular edema (CME) is the accumulation of extracellular fluid in the outer plexiform and inner nuclear layer of the macula that occurs as the result of disruption of the permeability barrier of the retina, also known as the blood-retinal barrier. This disruption results in the formation of fluid-filled cysts in a petaloid fashion that is easily observed by slit-lamp biomicroscopy. While CME is the common pathologic response to a variety of retinal vascular and inflammatory conditions of the eye, it is most devastating when it occurs following uncomplicated intraocular surgery. Ray Irvine reported a syndrome of macular changes and vitreous prolapse associated with visual loss following intracapsular cataract surgery in 1953.1 In 1966, Gass and Norton reported cystic macular changes following intracapsular cataract extraction that was associated with fluorescein leakage of the macula with staining of the optic nerve.2 Accordingly, the syndrome of CME following cataract surgery has been subsequently termed the Irvine-Gass Syndrome. In 1969, Don Gass further defined postoperative CME as having a peak incidence of 6 weeks after surgery and that there may be 2 forms of the disease, 1 of which is not clinically significant.3
CLASSIFICATION OF CME
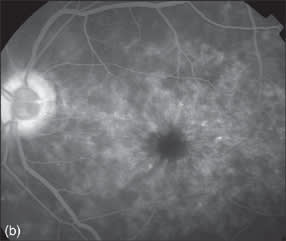
Historically, CME has been classified either as angiographic or as clinically significant. Angiographic CME is the presence of fluorescein leakage in the macula and usually of the optic nerve that was originally described by Gass and Norton (Figure 1). This angiographic leakage may be associated with biomicroscopic changes. However, there may or may not be associated decreased visual acuity. Wright and his colleagues reported that this form of CME, ie, angiographic, may occur in up to 20% to 30% of patients following extracapsular cataract surgery.4 Most authors believe that this is a self-limited condition that results in visual loss in only a small number of patients.
|
|
Figure 1. Angiographic CME (a), indicated by the presence of fluorescein leakage (b) in the macula and of the optic nerve.
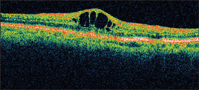
Clinically significant CME, by definition, is associated with a reduction in visual acuity. These patients usually have angiographic CME and obvious macular changes. Spaide and others have noted that clinically significant CME is most likely to occur in patients having complicated surgery and vitreous loss or implantation of an anterior-chamber intraocular lens (IOL).5 With the advent of new diagnostic instrumentation, even subtle changes in retinal thickness can now be detected (Figure 2). With the availability of advanced technology, including optical coherence tomography (OCT) and premium intraocular lenses, the expectations of both patients and clinicians have become significantly increased. McColgin and his colleagues reported that CME, defined as increased retinal thickness, occurred in 12% of patients following uncomplicated cataract surgery.20 It should be noted that while most patients with pseudophakic CME do not have quantitative reduction in their visual acuity, many patients do complain of persistent reduced contrast sensitivity and color desaturation, despite treatment and normal recorded Snellen vision.
IMAGE APPEARS COURTESY OF KING Y. LEE, MD.
Figure 2. CME as indicated on Heidelberg OCT.
Recent advances in cataract surgery have led to excellent outcomes, rapid recovery, and increased patient expectations. The utilization of premium multifocal IOLs that reduce contrast sensitivity and increase patient expectations make the presence of any retinal thickness potentially significant. Perhaps this will be the stimulus for us to redefine what really represents clinically significant macular edema.
| Keith A. Warren, MD, is clinical professor and former chair of the Department of Ophthalmology at the University of Kansas School of Medicine, Kansas City, KS, and founder and CEO of Warren Retina Associates in Overland Park, KS. He reports moderate financial interest in Alcon Laboratories. He can be reached via e-mail at KWarren@warrenretina.com. |
MECHANISM OF CME
The blood-retinal barrier is composed of the tight junctions in the retinal vascular endothelium and retinal pigment epithelium layer. Any insult, whether chemical or direct trauma, to either or both of these structures can lead to the formation of CME. Macular traction has long been recognized as a factor in the development of CME. Schepens demonstrated attachment of vitreous to the macula and postulated that there may be a role in any subsequent macular changes.6 Reese and colleagues suggested that changes in the vitreous may lead to traction on the macula with subsequent CME.7 Shubert also reported that traction on the macula and retinal vasculature may lead to the release of inflammatory mediators with secondary cystoid macular edema.8 These studies appear to support the hypothesis that CME associated with an epiretinal membrane is not only due to the mechanical traction on the retina, but may be due to the release of inflammatory mediators caused by the traction itself.
Vitreous prolapse and incarceration into the anterior chamber and wound are clearly known to be associated with CME.9 Thirty-five percent of patients with clinically significant CME following complicated cataract surgery were noted to have vitreous incarceration.5 Improved surgical techniques and careful removal of prolapsed vitreous have reduced this complication in recent years.
Vascular ischemic injury and hypoxia are known to cause the release of vasoactive cytokines.10 These molecules — vascular endothelial growth factors (VEGF), transforming growth factor beta (TGF-β), and connective tissue growth factor (CTGF) — all have been demonstrated to increase vascular permeability and are well-recognized potential etiologic factors in the development of pseudophakic CME.11 There is now a growing body of evidence that suggests that surgical trauma also results in the induction of these growth factors, with the resultant increase in vascular permeability as part of the normal inflammatory reparative cascade.12 In diabetes, the loss of the intramural pericyte leads to increased vascular permeability. There is new evidence that suggests that there may be an inflammatory role in vessel injury. Macrophages and complement activation have been shown to potentially play a role in pericyte loss and in the expression of growth factors, causing increased vascular permeability.13 This may explain the rationale for the use of anti-inflammatory drugs in diabetic macular edema, as well as in pseudophakic CME.
INFLAMMATORY MEDIATORS
It has been postulated that several inflammatory mediators have a role in the development of CME. Prostaglandins were among the first of those mediators implicated in the formation of pseudophakic CME.14 Surgical trauma and iris manipulation trigger the release of the precursor arachidonic acid, which leads to the production of prostaglandins and leukotrienes. Other mediators such as tumor necrosis factor, cytokines, and histamine, among others, have been demonstrated to be produced with inflammation.15 It should be noted that, while the prostaglandins have been implicated to cause pseudophakic CME, they have not been clearly demonstrated to cause CME as a single agent. This suggests that CME is most likely a multifactorial disorder.
An improved understanding of the pathophysiology of CME has now enabled us to identify patients at high risk. Patients with epiretinal membranes, retinal vascular disease (in particular, diabetic and retinal vein occlusion) are at increased risk to develop pseudophakic CME. Heier also reported an increased incidence in patients with complicated cataract surgery, epiretinal membrane formation, and previous surgery.16 Therefore, the aforementioned patient population may benefit from aggressive prophylaxis and longer postoperative treatment. The duration and dosage of treatment currently remains undefined.
TREATMENT OF CME
Effective treatment depends on an understanding of the pathophysiology and having an effective armamentarium to treat the underlying cause. Currently, our most effective treatment strategies involve either relief of vitreoretinal traction or epiretinal membranes in conjunction with a growing number of effective anti-inflammatory drugs. Pretreatment evaluation should include a careful history, including duration of symptoms and the presence of any comorbid illness such as diabetes. Slit-lamp examination to evaluate for the presence of anterior vitreous prolapse, iris trauma, or a peaked or irregular irides is mandatory. Careful examination of the macula to note the presence or absence of an epiretinal membrane, vitreomacular traction, or the presence of diabetic retinopathy may be helpful in stratifying the risk of CME and planning a treatment strategy. Diagnostic testing, in particular OCT and fluorescein angiography, should be performed to confirm the diagnosis, but also to rule out any macular pathology that may have been missed during funduscopic evaluation (Figure 3).
Figure 3. Confirmation of CME diagnosis on OCT.
TREATMENT
Vitrectomy is indicated for patients with frank vitreous prolapse, epiretinal membrane, or vitreomacular traction. It has also been shown to be effective in the treatment of CME refractory to medical therapy. Peyman reported improvement with vitrectomy in a series of patients with chronic recalcitrant pseudophakic CME.17 The principle of vitrectomy in those cases are to identify and relieve any mechanical traction on the macula and to reduce the presence of inflammatory mediators in the vitreous cavity. The idea is to re-establish a normal retinal architecture and to reduce the inflammatory mediators and a normal vitreous milieu.
Corticosteroids are potent inhibitors of inflammatory mediators. They work by inhibiting the conversion of phospholipids to arachidonic acid. This blocks the production of both prostaglandins and leukotrienes. In addition, corticosteroids inhibit the macrophages' role in the inflammatory cascade, thereby reducing the production of growth factors such as VEGF, TGF-β, and CTGF, all of which increase vascular permeability. Corticosteroids have been shown to also inhibit matrix metalloproteinases and subsequent breakdown of the capillary basement membrane, which may lead to increased vascular incompetence.11
Current treatment options with corticosteroids include topical, periocular, or intravitreal injections. Two groups have reported improvement in visual acuity and a reduction in macular thickness following treatment with intravitreal Kenalog.18 In most cases, the retinal thickness and visual acuity affect, however, was not maintained. Issues of patient safety, in particular, control of intraocular pressure, route of administration, and dosage, have yet to be answered. However, because of their multifaceted effects, corticosteroids remain a mainstay in treatment.
NSAIDS
Nonsteroidal anti-inflammatory drugs (NSAIDS) inhibit the production of prostaglandins by the inhibition of the cyclo-oxygenase enzyme. There are 2 isoforms of this enzyme, known as COX-1 and COX-2. COX-1 is the basally produced isoform and COX-2 is the inducible form. COX-2 is known to be induced by surgical trauma. The newer available NSAIDs are potent COX-2 inhibitors.19 Several authors have published data that suggest these agents are effective in reducing the incidence of CME. McColgin and Raizman reported that pretreatment with an NSAID in combination with a corticosteroid significantly reduced the incidence of postoperative CME.20 Wittpenn and coauthors published similar data demonstrating the efficacy of ketorolac in reducing the incidence of retinal thickness when used in conjunction with a corticosteroid.21 Another study also demonstrated the efficacy of an NSAID in treating CME in known steroid responders. The authors demonstrated that an NSAID was effective as monotherapy in reducing retinal thickness and improving visual acuity in patients with pseudophakic CME.22 It appears that the currently available NSAIDs are effective in both prophylaxis and treatment of CME.
ANTI-VEGF THERAPY
Vascular endothelial growth factor has been shown to have a causative role in the breakdown of the blood-retinal barrier.23 The mechanism is thought to be phosphorylation of tight junction proteins. There is also an association of VEGF with inflammatory-related macular edema. Currently, anti-VEGF molecules are used in ophthalmology for the treatment of age-related macular degeneration because of its inhibitory effect on neovascular formation. Barone and his colleagues demonstrated a significant improvement in vision and a reduction in retinal thickness following treatment with intravitreal bevacizumab in pseudophakic CME.24 A similar effect was noted in a small case series of patients with pseudophakic CME in a report by Arevalo and his colleagues.25 This preliminary observation upon review of the current literature regarding use of anti-VEGF molecules is that anti-VEGF treatment is very effective for reducing neovascularization, but only modest in the treatment of pseudophakic CME. Further investigation of these agents is certainly warranted.
Cystoid macular edema is clearly a multifactorial disease that is probably best treated using some combination of the available therapeutic modalities. Most clinicians will use a combination of corticosteroids and NSAIDs as primary therapy. The rationale is that these drugs affect different aspects of the inflammatory cascade and may work synergistically. There was higher reported significant improvement when using a combination treatment compared to an NSAID or steroid alone in a randomized, double-blind, prospective treatment trial.16 In a similar study soon to be published, we also found that combination therapy using an anti-VEGF drug in combination with corticosteroids and nonsteroidals was effective in treating chronic CME unresponsive to monotherapy. Combination therapy may in fact offer the best treatment particularly for recalcitrant CME. Further studies, in particular for chronic CME patients, are certainly warranted.
SUMMARY RECOMMENDATIONS
An overwhelming body of evidence suggests that, when present, release of vitreous traction by surgical intervention is a treatment of choice. Most of those patients are also treated with topical nonsteroidals. Those patients with an epiretinal membrane or vitreous prolapse or complicated cataract surgery are best treated with vitrectomy and anti-inflammatory agents. The current recommendation for the treatment of acute pseudophakic CME is a combination of topical nonsteroidals and corticosteroids. This regimen appears to be effective for most cases of acute CME. A patient who fails this regimen may respond to a periocular injection of corticosteroid and continued topical nonsteroidal. Any refractory patient would warrant a trial of intravitreal corticosteroids with caution to be vigilant of the secondary complications.
There are several sustained-delivery devices that are currently being developed to provide a constant level of corticosteroid to the posterior segment. Failure or persistent and chronic CME may benefit from a trial of combination therapy using an anti-VEGF drug (off-label) in conjunction with corticosteroids and NSAIDs. It is important to remember that patients who develop CME may have subtle visual disturbances not measured by Snellen vision. This makes it paramount to perform a careful preoperative evaluation and identify the patient who is at high risk to develop this disorder. An improved understanding of the pathophysiology has made prophylaxis an important tool in preventing this debilitating disorder. New technologies and improvements in pharmacological agents have made significant improvement in treatment and outcomes for this serious condition. RP
REFERENCES
- Irvine SR. A newly defined vitreous syndrome following cataract surgery. Interpreted according to recent concepts of the structure of the vitreous. Am J Ophthalmol. 1953;36:599.
- Gass JDM. Norton EWD. Cystoid macular edema and papilledema following cataract extraction: a fluorescein funduscopic and angiographic study. Arch Ophthalmol. 1966;76:646.
- Gass JDM, Norton EWD. Follow-up study of cystoid macular edema following cataract extraction. Trans Am Acad Ophthalmol Otolryngol. 1969;76:665.
- Wright PL, Wilkinson CP, Balyeat HD, et al. Angiographic cystoid macular edema after posterior chamber lens implantation. Arch Ophthalmol. 1988;106:740.
- Spaide RF, Yannuzzi LA, Sisco LJ. Chronic cystoid macular edema and predictors of visual acuity. Ophthalmic Surg. 1993;24:262.
- Schapers CL. Fundus changes caused by alterations of the vitreous body. Am J Ophthalmol. 1955;39:631.
- Reese AB, Jones IS, Cooper WC. Macular changes secondary to vitreous traction. Am J Ophthalmol. 1967;64:544.
- Schubert, HD. Cystoid macular edema: the apparent role of mechanical factors. In: Bito LZ, Stjernschantz J, eds. The Ocular Effects of Prostaglandins and Other Eicosanoids. New York, NY: Alan R. Liss; 1989:227-291.
- Wilkinson CP. A long-term follow-up study of cystoid macular edema in aphakic and pseudophakic eyes. Trans Am Ophthalmol Soc. 1981;79:810.
- Bursell S-E, Clermont AC, Oren B, et al. The in vivo effect of endothelins on retinal circulation in non-diabetic and diabetic rats. Invest Ophthalmol Vis Sci. 1995;36:596.
- Metsuda S, Gomi F, Oshima Y, Tohyama M, Tano Y. Vascular endothelial growth factor reduced and connective tissue growth factor induced by triamcinolone in ARPE19 cells under oxidative stress. Invest Ophthalmol Vis Sci. 2006;46:1062-1068.
- Blei F, Wilson El, Mignatti P, Rifkin DB. Mechanism of action of angiostatin steroids: suppression of plasminogen activator activity via stimulation of plasminogen activator inhibitor synthesis. J Cell Physiol. 1993;155:568-578.
- Wang YS, Friedrichs U, Eichler W, Hoffmann S, Wiedemann P. Inhibitory effects of triamcinolone acetonide on bFGF-induced migration and tube formation in choroidal microvascular endothelial cells. Graefe's Arch Clin Exp Ophthalmol. 2002;240:42-48.
- Mishima H, Masuda K, Miyake K. The putative role of prostaglandins on cystoid macular edema. Prog Clin Biol Res. 1989;251-312.
- Franks, WA, Limb GA, Stanford MR, et al. Cytokines in human intraocular inflammation. Curr Eye Res. 1992;11(Suppl):187.
- Heier JS, Topping TM, Baumann W, et al. Ketorolac versus prednisolone versus combination therapy in the treatment of acute pseudophakic cystoid macular edema. Ophthalmology. 2000;107:2034-2038.
- Peyman GA, Canakis C, Livir-Rallatos C, et al. The effect of internal limiting membrane peeling on chronic recalcitrant pseudophakic cystoid macular edema: A report of two cases. Am J Ophthalmol. 2002;133:571-572.
- Boscia F, Furino C, Dammacco R, et al. Intravitreal triamcinolone and acetonide in refractory pseudophakic cystoid macular edema: Functional and anatomic results. Eur J Ophthalmol. 2005;15:89-95.
- Waterbury JD, Silliman D, Jolas T. Comparison of cyclooxygenase inhibitory activity and ocular anti-inflammatory effects of ketorolac tromethamine and bromfenac sodium. Curr Med Res Opin. 2006;22:1133-1140.
- McColgin AZ, Raizman MB. Efficacy of topical Voltaren in reducing the incidence of post operative cystoid macular edema. Invest Ophthmol Vis Sci. 1999;40:S289.
- Wittpenn JR, Silverstein S, Heier J, et al. A Randomized Masked Comparison of Topical Ketorolac 0.4 percent Plus Steroid vs Steroid Alone in Low-Risk Cataract Surgery Patients. Am J Ophthalmol. 2008;146:554-560
- Warren KA, Fox JE. Topical Nepafenac as an alternate treatment for cystoid macular edema in steroid responsive patients. Retina. 2008;28:1427-1434.
- Noma H, Minamoto A, Funatsu H, et al. Intravitreal levels of vascular endothelial growth factor and interleukin-6 are correlated with macular edema in branch retinal vein occlusion. Graefes Arch Clin Exp Ophthalmol. 2006;244:309-315.
- Barone A, Russo V, Prascina F, et al. Short-term safety and efficacy of intravitreal Bevacizumab for pseudophakic Cystoid Macular Edema. Retina. 2008;29:33-37.
- Arevalo JF, Garcia-Amaris RA, Roca JA, et al. Primary intravitreal bevacizumab for the management of pseudophakic cystoid macular edema: Pilot Study of the Pan-American Collaborative Retina Study Group. J Cataract Refract Surg. 2007;33;2098-3105.







