Retinal Lasers: Past, Present, and Future
Technological advancement flourished early on, then plateaued. What's in store next? Part 1 of 2.
MICHAEL D. OBER, MD · SEENU M. HARIPRASAD, MD
For more than a half-century, ophthalmologists have relied on light to treat retinal disease. After observing the effects of a solar eclipse on patients' retinas, Gerhard (Gerd) Meyer-Schwickerath investigated using natural sunlight to treat retinal disease, first successfully using the technique in 1949 to perform a retinal coagulation.1 Unfortunately, the technique was limited by weather conditions, the lengthy exposure time required, and the constantly changing angle of the sun in the sky.
Dr. Meyer-Schwickerath then developed a carbon arc lamp as a more reliable artificial light source; however, a short filament life span, liberation of soot, and unpredictable retinal burns limited its usefulness. In the 1950s, Carl Zeiss Laboratories produced the xenon arc lamp as specified by Dr. Meyer-Schwickerath, which quickly came into widespread use by ophthalmologists for retinal photocoagulation. These units produced light from the passage of a high intensity electrical arc through a chamber filled with xenon gas. It emitted a light spectrum similar to sunlight, with a relatively high, uniform power output. Although this modality was effective, it was difficult to focus the beam precisely to a small spot. Treatments also required a relatively long exposure duration and were painful for the patient.
Furthermore, many complications occurred, such as intense retinal burns, resulting in scarring, fibrous traction, visual field defects, and vitreous hemorrhage. Diminished transparency of any ocular media was a contraindication to xenon arc photocoagulation because the absorption of the visible light by the cornea, lens, or other media opacity caused tremendous heat absorption in that area.
The introduction of the ruby laser in 1960 launched the laser era. Lasers offered clinicians much more versatility, with a range of wavelengths and pulse durations, and more precisely targeted treatments. With this milestone, technology evolved rapidly, including concurrent development of various lenses, revolutionizing the treatment of retinal disease.
Read on to learn more about what lasers currently offer clinicians in treating patients with retinal disease.
| Michael D. Ober, MD, practices ophthalmology at Retina Consultants of Michigan in Southfield, Michigan. Seenu M. Hariprasad, M.D., is associate professor, director of clinical research, and chief of Vitreo-retinal Service at the University of Chicago, Department of Surgery, Section of Ophthalmology and Visual Science, Chicago, Illinois. Neither Dr. Ober nor Dr. Hariprasad has a financial interest in the products mentioned in this article. |
DEVELOPMENT OF LASERS
Compared with the xenon arc lamp, the ruby laser featured a more controlled delivery of energy, allowing ophthalmologists to manipulate light beams for treatments, creating small chorioretinal scars and reducing the risk of damage to surrounding tissues. Although the ruby laser was attached to a monocular, direct ophthalmoscope, the development of argon and subsequent laser sources permitted ophthalmologists the flexibility of treating patients at the slit lamp, the indirect ophthalmoscope or the operating microscope.
Since the ruby red laser, a number of lasers have been used, including argon, krypton, frequency-doubled Nd:YAG, Er:YAG, excimer, Ti:sapphire, dye lasers, and solid state diode. The introduction of solid state lasers was a major development, with the advantages of being less expensive, compact and portable.
Currently available ophthalmic lasers offer a range of wavelengths, depending on the type. The most common are 532-nm green, 561- or 577-nm yellow, 660- or 670-red, and 810-nm infrared. Although some clinicians prefer a laser with multiple wavelengths, others utilize a single wavelength because multiple-wavelength lasers take more space and carry a heftier price tag.
It has not been determined that one specific wavelength is most efficacious; however, some wavelengths offer advantages in specific situations. For example, the red laser is useful in patients with a vitreous hemorrhage because it is least absorbed by hemoglobin, and yellow has the benefit of less absorption by macular pigment.
KEY STUDIES PROVE BENEFITS
Photocoagulation quickly came into widespread use throughout ophthalmology despite a lack of randomized, controlled studies proving their benefit. In the 1970s and 1980s, several landmark studies were performed that filled this void and confirmed the undeniable therapeutic effect of retinal photocoagulation. Two of these trials, the Diabetic Retinopathy Study and Early Treatment Diabetic Retinopathy Study, were so exceptionally well planned and conducted, with results that forever impacted practice patterns, that they are considered among the best clinical trials conducted in ophthalmology and medicine.
DIABETIC RETINOPATHY STUDY
The Diabetic Retinopathy Study (DRS), a prospective, randomized, multicenter clinical trial that began in the 1970s, examined whether panretinal photocoagulation (PRP) is effective in preventing severe vision loss in patients with diabetic retinopathy.2,3 It enrolled one eye of 1,758 patients with proliferative diabetic retinopathy (PDR) or severe nonproliferative diabetic retinopathy (NPDR), which randomly received either argon laser or xenon arc photocoagulation while the other eye was placed in an untreated control group. The study demonstrated that PRP reduces the risk of severe vision loss by at least 50% compared with eyes receiving no treatment. Severe vision loss was defined as visual acuity less than 5/200 at two or more consecutive follow-up visits performed at 4-month intervals. Two years into the study, severe vision loss associated with PDR developed in 16% of control eyes versus 6% of treated eyes. In eyes with high-risk characteristics (Table 1),2,3 the effect was more pronounced, with severe vision loss developing in 26% of control eyes and 11% of treated eyes. Argon laser was found to have equal efficacy to xenon arc but was favored overall because it produced fewer adverse effects.
| Table 1. DRS High-Risk Characteristics2,3 |
|---|
| • Neovascularization of the optic disc at least one-fourth to one-third disc areas in size • Neovascularization of the optic disc with preretinal or vitreous hemorrhage • Neovascularization elsewhere greater than one-half the disc areas in size with preretinal or vitreous hemorrhage |
Figure 1. Laser technology has evolved considerably from the humble beginnings of the xenon arc lamp (above).
EARLY TREATMENT DIABETIC RETINOPATHY STUDY
The Early Treatment Diabetic Retinopathy Study (ETDRS), a prospective, randomized, multicenter clinical trial that enrolled patients between 1979 and 1985, examined whether focal photocoagulation was effective in treating diabetic macular edema,4,5 whether aspirin affected the course of diabetic retinopathy,6 and when PRP treatment should begin.7
In this study, 1,508 eyes were randomly chosen to immediately receive focal or panretinal photocoagulation, and treatment was deferred in 1,490 eyes. Patients were randomly chosen to receive 650 mg/day of aspirin or placebo. Follow-up continued for 1 year in 80% of eyes and at least 3 years in 35%.
The study reported that the risk of persistent macular edema and significant visual loss decreased by approximately 50% in eyes treated with focal laser photocoagulation. At 1 year of follow-up, 5% of eyes treated with focal photocoagulation had moderate visual loss (defined as doubling of the visual angle or loss of 15 letters) compared with 8% of eyes with deferred treatment; at 2 years, 7% of eyes treated with focal photocoagulation had moderate visual loss compared with 16% of deferred; and at 3 years, 12% of eyes treated with focal photocoagulation had moderate visual loss compared with 24% of deferred eyes. However, the reduction in risk of moderate vision loss was more pronounced in patients with clinically significant macular edema (CSME): 1% in treated eyes versus 8% in deferred eyes at 1 year, 6% in treated eyes versus 16% in deferred eyes at 2 years, and 13% in treated eyes versus 33% in deferred eyes at 3 years (Table 2).4,5 Researchers concluded that focal photocoagulation was effective in reducing the risk of moderate visual loss for patients with CSME.
| Table 2. Definition of Clinically Significant Macular Edema in ETDRS4,5 |
|---|
| • Thickening of the retina at or within 500 microns of the center of the macula • Hard exudates at or within 500 microns of the center of the macula, if associated with thickening of the adjacent retina • Retinal thickening at least one disc area or larger, with any part within 1 disc diameter of the macular center |
Figure 2. Proliferative diabetic retinopathy after panretinal photocoagulation. The DRS concluded that PRP reduces risk of severe vision loss by at least 50%.
Figure 3. Retinal tear after laser therapy.
The study also found that aspirin did not alter the effects of focal laser treatment or prevent progression to PDR.6 It further concluded that early scatter photocoagulation was not recommended for patients with mild or moderate nonproliferative diabetic retinopathy.7
THE DIABETIC RETINOPATHY CLINICAL RESEARCH NETWORK STUDY
Twenty-eight years after the ETDRS trial began, the Diabetic Retinopathy Clinical Research Network published a landmark paper that confirmed the visual benefits of focal laser photocoagulation.8 The study was a randomized, multicenter clinical trial comparing the efficacy and safety of 1-mg and 4-mg doses of intravitreal triamcinolone (Trivaris, Allergan Pharmaceuticals, Irvine, CA) with focal/grid photocoagulation in the treatment of diabetic macular edema with foveal involvement in 840 eyes. Four months after treatment, mean visual acuity was better in the group treated with 4 mg triamcinolone than in the group treated with 1 mg triamcinolone or laser; however, at 16 months and 2 years, mean visual acuity was significantly better in laser-treated eyes than either intravitreal triamcinolone group. This result confirmed that lasers remain the gold standard treatment for diabetic macular edema, despite advances in pharmacologic treatments.
LAGGING DEVELOPMENT
Despite the proven efficacy of laser treatment and initially rapid advances in laser technology, over the last 20 years lasers have not kept pace with technological advancement in other areas. A comparison with retinal imaging technologies, where modalities such as optical coherence tomography (OCT) and fundus photography have shown rapid advancement, confirms the relative stagnation in laser delivery systems. Economic factors confronting laser manufacturers may have limited research and development for this modality. Lasers today are sold outright and often last beyond their intended lifetime with many units functioning well over 10 years past their purchase date. Without innovation and technological advances, there is little incentive for physicians to trade in or purchase new equipment. The lack of capital return to laser manufacturers in turn decreases available funding for research and development continuing the cycle.
The most recent developments generally have focused on laser adjustments such as spot size, power, and pulse duration. These adjustments are typically available in most laser delivery systems that have been available for the last 15 years. For example, to reduce heat accumulation and retinal damage, laser manufacturers have conducted research to determine whether units that provide short-duration pulses at higher power achieve the same results. However, clinicians may be able to use their existing lasers similarly, making adjustments for shorter pulse durations and higher power levels. Even if research shows less damage using shorter durations, physicians may not have to purchase new technology when a duration as short as 0.01 seconds has been available on models available for many years.
In 2006, OptiMedica (Santa Clara, Calif.) introduced a unique platform that represents one of the only recent major advances in a laser delivery system with the Pascal pattern scan laser photocoagulator. It is a 532-nm laser used for standard photocoagulation procedures that can apply a uniform pattern of as many as 56 spots in 0.6 seconds. OptiMedica reports that the Pascal laser allows ophthalmologists to perform macular grid treatments effectively and panretinal photocoagulation more rapidly than conventional lasers.
Ellex (Minneapolis, Minn.) introduced the Integre Duo, which features red and green wavelengths in a single unit, and soon will introduce the Integre Pro, with yellow and red wavelengths in a single unit. Quantel Medical (Bozeman, Mont.) recently released a single laser delivery system with four individual wavelengths (532-nm green, 577-nm yellow, 660-nm red, and 810-nm infrared). This is the only commercially available system we are aware of with all four wavelengths in one unit.
Several companies currently sell laser delivery systems with multi-wavelength platforms (usually 532-nm green, 561-nm yellow, and 660-nm red), including Lumenis (Santa Clara, Calif.), Nidek (Fremont, Calif.), and Carl-Zeiss Meditec (Dublin, Calif.). Iridex (Mountain View, Calif.) makes individual 532-nm green and 810-nm infrared lasers as well as a recently released 577-nm yellow unit, which can be combined together on the same slit lamp system.
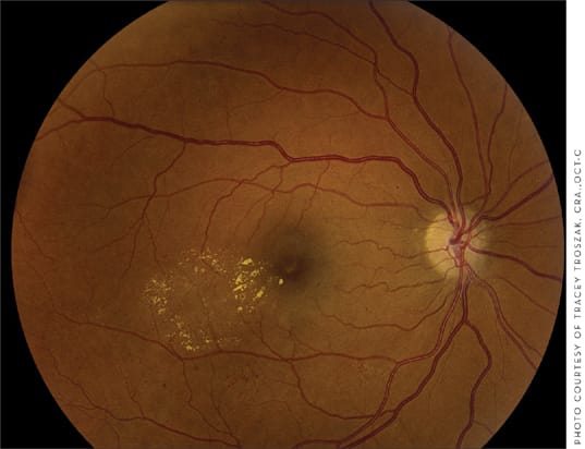
Figure 4. Clinically significant macular edema. The ETDRS concluded that focal coagulation can reduce the risk of moderate vision loss in such patients.
LOOKING TO THE FUTURE
Despite the challenges we face in treating retinal disease, we are optimistic that the future will bring new innovations to help us treat these patients even more effectively. In the second part of this report (later in 2009), we will share details about next-generation technology we hope and believe will be unveiled in the future. RP
REFERENCES
- Meyer-Schwickerath G. Light coagulation. St. Louis: CV Mosby, 1960.
- The Diabetic Retinopathy Study Research Group. Preliminary report on the effect of photocoagulation therapy. Am J Ophthalmol. 1976;81:383-396.
- The Diabetic Retinopathy Study Research Group. Photocoagulation treatment of proliferative diabetic retinopathy. Clinical application of Diabetic Retinopathy Study (DRS) findings. DRS Report Number 8. Ophthalmology. 1981;88:583-600.
- Early Treatment Diabetic Retinopathy Study Research Group. Photocoagulation for Diabetic Macular Edema: ETDRS Report Number 1. Arch Ophthalmol. 1985;103:1796-1806.
- Early Treatment Diabetic Retinopathy Study Research Group. Photocoagulation for Diabetic Macular Edema: ETDRS Report Number 4. Int Ophthalmol Clin. 1987;27:265-72.
- Early Treatment Diabetic Retinopathy Study Research Group. Effects of aspirin treatment on diabetic retinopathy: ETDRS Report Number 8. Ophthalmology. 1991;98:757-765.
- Early Treatment Diabetic Retinopathy Study Research Group. Early photocoagulation for diabetic retinopathy. ETDRS Report Number 9. Ophthalmology. 1991;98:766-785.
- Diabetic Retinopathy Clinical Research Network. A randomized trial comparing intravitreal triamcinolone acetonide and focal/grid photocoagulation for diabetic macular edema. Ophthalmology. 2008;115:1447-1449.







