CASE STUDY
Diffuse Retinal Whitening Signifies Acute Retinal Necrosis
Early vitrectomy and silicone oil tamponade may preserve relatively good visual function.
BORIS V. STANZEL, MD · CLAUDIA INHETVIN-HUTTER, MD · FRANK G. HOLZ, MD
A 59-year-old female presented with visual loss due to a "dark spot" for 2 weeks in her right eye. She had no prior history of ocular complaints. She denied any recent history of flu-like illness or other obvious signs of disease. Her medical history was significant for mammary carcinoma, which had been treated with 3 cycles of chemotherapy in 1996. Her uncorrected vision was 20/200 in her right eye and 20/25 in her left eye. Intraocular pressure (IOP) in her right eye was 13 mm Hg.
Slit-lamp examination of her right eye showed large keratic precipitates with mutton fat type appearance (Figure 1). She had anterior chamber flare with 1+ cells. Closer examination of her iris revealed iris nodules between 12 and 3 o'clock hours. Both eyes showed a moderate corticonuclear cataract.
Figure 1. Granulomatous keratic precipitates at slit-lamp exam on presentation.
On subsequent dilated funduscopic exam, her vitreous had cellular infiltration, and the peripheral retina showed whitish confluent areas along with perivascular hemorrhages and vascular occlusions (Figure 2). Detailed evaluation of her central fundus and optic disc were compromised by haze in the optic media yet appeared normal. Fluorescein angiography showed areas of perivascular leakage and vascular nonperfusion in the periphery (Figure 3).
|
|
| Figure 2. Color fundus photograph on initial presentation, showing vitritis and whitish confluent areas approaching the vascular arcades on OD and a normal fundus on OS. | |
|
|
| Figure 3. Fluorescein angiography on initial presentation showing signs of vasculitis, leakage, and retinal ischemia. | |
| Boris V. Stanzel, MD, is a resident in ophthalmology at the Universitäts-Augenklinik mit Poliklinikin (UAP) of the University of Bonn in Germany. Claudia Invetvin-Hutter, MD, formerly of the UAP, is in private practice in Aachen, Germany. Frank G. Holz, MD, is professor and chair of ophthalmology at the UAP in Bonn. The authors have no financial disclosures to make. Dr. Stanzel can be reached at via e-mail at Boris.Stanzel@ukb.uni-bonn.de. |
MANAGEMENT
We admitted the patient with a suspected diagnosis of an acute retinal necrosis (ARN) for further work-up and intravenous therapy with 500 mg acyclovir 3 times per day, 100 mg IV prednisone per day, and IV piperacillin/flucloxacillin 3 times per day. Evaluations for possible differential diagnoses in this patient, which include cytomegalovirus retinitis, syphilis, toxoplasma, sarcoidosis, progressive outer retinal necrosis, primary intraocular lymphoma, and Behçet disease, were negative.1,2
Three days later, the patient developed a central exudative retinal detachment. A vitrectomy with a silicone oil tamponade was subsequently performed. A vitreous aspirate obtained during surgery analyzed by polymerase chain reaction was positive for Varicella zoster virus, the most common offending agent in ARN.2-4 Cytologic examination of the slightly yellow colored vitreous sample revealed lymphocytes, erythrocytes, and macrophages, similar to what others have reported previously.5
This prompted us to discontinue the IV antibiotics and maintain the patient on IV acyclovir and prednisone alone. Our alternative antiviral medications would have included intravitreal ganciclovir, IV foscarnet, or oral brivudine, but other drugs have been proposed, too.1
On postoperative day 2, the retinal lesions showed demarcation, suggesting regression of the active process (Figures 4 and 5). Her vision in OD had now declined to 20/600. Keratic precipitates were noted to regress in size and number. The retinal lesions continued to decrease over the course of the 10 days with a concomitant improvement of her vision to 20/400, so that we were comfortable to discharge the patient on oral acyclovir 800 mg 5 times per day. Acyclovir therapy was maintained over a total of 3 months. At 6 months postoperatively, we opted to remove the silicone oil during cataract surgery on her right eye. Subsequently, ocular hypotony developed in OD with choroidal detachments (Figure 6), which required a silicone oil refill. An aspirate from the vitreous cavity obtained during the latter procedure was again positive for V. zoster immunoglobulin A by immunofluorescence assay, which prompted us to resume oral acyclovir therapy with 400 mg 3 times per day, along with 8 mg prednisone po and prednisone ointment twice per day for her right eye.
Figure 4. Composite color fundus photo on postoperative day 2, showing demarcation of retinal lesions with a preserved macula and temporal midperiphery.
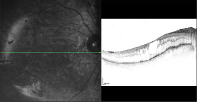
Figure 5. Spectralis OCT imaging on postop day 2. A polycystoid macular edema, with preserved retinal architecture was seen (above), while a (representative) scan at the superotemporal vascular arcade revealed an thinned, atrophic retina (below). Left fundus images are taken in infrared modus, whereby the green arrow corresponds with the direction OCT scans on the right.
|
|
| Figure 6. Ultrasound images showing detachment of ciliary body (left) and choroid (right) due to ocular hypotension. | |
The IOP had stabilized thereafter. Although the polycystoid macular edema on optical coherence tomography had remained essentially unchanged, her vision continued to improve to 20/80 at 1.5 years after the initial presentation.
While ARN caused by V. zoster is known to have a more dismal prognosis on visual outcome,6 we speculate our early therapeutic intervention triggered by the central exudative retinal detachment with vitrectomy and silicone oil tamponade may have prevented further visual complications in this patient. Several groups have reported favorable outcomes after using a prophylactic vitrectomy in such patients.7-9
SUMMARY
A patient with classical signs of ARN was treated with acyclovir and vitrectomy with a silicone oil tamponade. In line with other reports, we speculate that the early vitrectomy and silicone oil tamponade in our ARN patient may have preserved her relatively good visual function. RP
REFERENCES
- Bonfioli AA, Eller AW. Acute retinal necrosis. Semin Ophthalmol. 2005;20:155-160.
- Lau CH, Missotten T, Salzmann J, Lightman SL. Acute retinal necrosis features, management, and outcomes. Ophthalmology. 2007;114:756-762.
- Ganatra JB, Chandler D, Santos C, Kuppermann B, Margolis TP. Viral causes of the acute retinal necrosis syndrome. Am J Ophthalmol. 2000;129:166-172.
- Tran TH, Rozenberg F, Cassoux N, Rao NA, LeHoang P, Bodaghi B. Polymerase chain reaction analysis of aqueous humour samples in necrotising retinitis. Br J Ophthalmol. 2003;87:79-83.
- Culbertson WW, Blumenkranz MS, Haines H, Gass DM, Mitchell KB, Norton EW. The acute retinal necrosis syndrome. Part 2: Histopathology and etiology. Ophthalmology. 1982;89:1317-1325.
- Kawaguchi T, Spencer DB, Mochizuki M. Therapy for acute retinal necrosis. Semin Ophthalmol. 2008;23:285-290.
- Ahmadieh H, Soheilian M, Azarmina M, Dehghan MH, Mashayekhi A. Surgical management of retinal detachment secondary to acute retinal necrosis: clinical features, surgical techniques, and long-term results. Jpn J Ophthalmol. 2003;47:484-491.
- Matsuo T. Vitrectomy and silicone oil tamponade as an initial surgery for retinal detachment after acute retinal necrosis syndrome. Ocul Immunol Inflamm. 2005;13:91-94.
- Berker N, Ozdal P, Batman C, Soykan E. Prophylactic vitrectomy in acute retinal necrosis syndrome. Eye. 2007;21:104-106.







