Posterior-segment Intraocular Foreign Bodies: An Update on Management
Risks of infection, scarring and vision loss are among the many concerns to address.
GABRIEL KATZ, MD · JOSEPH MOISSEIEV, MD
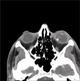
A 20-year-old male sustained an intraocular foreign body (IOFB) in his left eye by hitting a hammer against a large metallic object. He presented to the emergency room 1 day after the injury. On examination, his visual acuity was 20/200, and a large nasal conjunctival hemorrhage was observed with hypotony and clear cornea and lens. On indirect funduscopy, a metallic intraocular foreign body was observed stuck in the inferior retina at the equator with a local retinal detachment, whitening of the retina around its edges, and a mild vitreous hemorrhage. The intraocular foreign body was demonstrated on orbital CT (Figure 1). An exploration revealed a 4 mm entry wound, extending posteriorly from the limbus at the nasal side. The wound was sutured with Vicryl 7/0 suture, an encircling #41 solid silicone band was placed (Figure 2), and a pars plana vitrectomy was performed during the primary procedure. The intraocular foreign body was released from its adhesions to the retina (Figure 3) and removed with a magnet (Figure 4) through a previously prepared sclerotomy, revealing a large retinal tear (Figure 5). The intraocular foreign body outside the eye is shown in Figure 6.
Figure 1. Preoperative axial CT with metal intraocular foreign body.
Figure 2. View of sutured entry wound and band.
Figure 3. Intraoperative view of the IOFB, local retinal detachment, and retinal whitening.
Figure 4. Intraocular foreign body attached to intraocular magnet.
Figure 5. Large retinal break after removing intraocular foreign body.
Figure 6. Intraocular foreign body after removal.
Several attempts to remove the posterior cortical vitreous failed and were abandoned because they seemed to increase the area of the detachment. The retina was flattened with perfluoro-octane, and laser was performed around the large retinal tear and also 360° in the periphery. The eye was filled with silicone oil. Vitreous samples were sent for culture and came back negative. We did not inject intravitreal antibiotics, but intravenous antibiotics (vancomycin and ceftazidime) were given for 5 days. Three weeks later, a recurrent inferior detachment was observed with elevation of the anterior edge of the tear. A second operation was performed, and this time the posterior cortical vitreous was easily removed (Figure 7), the retina was flattened, and the eye was filled again with silicone oil. Four months later, the silicone oil was removed, and 1 year following the injury, the patient underwent cataract extraction and IOL implantation. The final visual acuity was 20/100 following this last operation.
Figure 7. Detaching the posterior cortical vitreous after staining with triamcinolone acetonide.
Several questions arise from this case. Was a lensectomy indicated followed by a thorough peripheral vitrectomy with indentation during the primary procedure? What should have been the extent of the primary procedure? Should we have deferred the vitrectomy with the IOFB removal in order to facilitate PCV removal? Was placing a buckle necessary, and should an intraocular lens implantation have been performed during the primary procedure if the lens had been removed? Should we have tried harder to remove the PCV? Were intravitreal antibiotics or steroids indicated? Could we have used gas instead of silicone oil? What is the best broad-spectrum coverage with systemic antibiotics? Despite the fact that ocular injury with IOFBs is not rare, and the literature is abundant with relevant series and reports, there are still many open issues, as illustrated by this case, and the purpose of this review is to systematically address them.
| Gabriel Katz, MD, is a clinical fellow at St. Michael's Hospital of the University of Toronto. Joseph Moisseiev, MD, practices at the Goldschleger Eye Institute of the Sheba Medical Center in Tel-Hashomer, Israel, and is on the Sackler Faculty of Medicine at Tel-Aviv University. Neither author reports any financial interest in any products mentioned in this article. Dr. Moisseiev can be reached via e-mail at jetmoiss@netvision.net.il. |
EPIDEMIOLOGY
The presentation, outcome, and prognosis of injuries with intraocular foreign bodies are variable. Increased awareness and advanced surgical techniques have substantially improved the outcome and the prognosis for these potentially devastating injuries. Nevertheless, the extent of the primary damage occurring at the time of the initial injury remains the limiting factor for visual outcome.
With close to 2.5 million eye injuries occurring each year,1 the cumulative lifetime prevalence in the United States of an eye injury was estimated at over 1400 per 100 000 Americans.2 The United States Eye Injury Registry (USEIR) was founded in 1988. It collects information in a standardized manner, allowing unbiased data comparison.3 By March 31, 2003, 11 360 cases had been entered into the USEIR database. Of these, 81% were male and the median age of patients was 26. Unintended injuries accounted for 79% and 20% of injuries were work related. The posterior segment was involved in 52% of unilateral cases and the rate of severe vision loss was 25% for those with intraocular foreign bodies.
Colyer et al. reported the long-term follow-up results of intraocular foreign body removal at the Walter Reed Army Medical Center from February 2003 through November 2005.4 Approximately 315 combat ocular trauma patients from Iraq and Afghanistan were treated at the Walter Reed Ophthalmology Service, including 79 eyes of 70 patients (25%) with intraocular foreign bodies. Nine of 70 soldiers (12.8%) confirmed the use of eye protection at the time of injury. None of the bilaterally injured patients reported the use of eye protection. These data highlight the low level use of eye protection during combat, despite its high effectiveness in preventing eye injuries. Various injuries were noted depending on the size and shape of the IOFB.4 Of the 71 nonenucleated eyes, injuries diagnosed at presentation or surgery included: vitreous hemorrhage (47 eyes; 66.1%); traumatic cataract (40 eyes; 56.3%); retinal tear without detachment (9 eyes; 12.7%); retinal detachment (22 eyes; 31%); traumatic macular hole without retinal detachment (5 eyes; 7.0%); chorioretinal disruption (28 eyes; 39.4%); suprachoroidal hemorrhage (4 eyes; 5.6%); and posterior open globe (12 eyes; 16.9%).
In the 2006 Israel-Lebanon war, 7% of all injuries were eye injuries.5 This represented a significant rise compared to the 1982 Lebanon war, where they made up 3.5% of all injuries. This was only a part of the overall increase in head trauma from 13.5% in the first Lebanon war to 27% in the second war. We treated at the Sheba Medical Center a number of patients with intraocular foreign body injuries sustained during the 2006 war. Most of them were soldiers who suffered from multiple shrapnel injuries inflicted by missiles or mines, while some were civilians who were injured by ballistic missiles.
PRIMARY ASSESSMENT
■ History Taking. A short history is sufficient for the ophthalmologist to suspect the presence of an IOFB in eyes with an open globe injury. The patient may be unaware of any object entering the eye, and the vision may be unaffected initially. Emphasis should be put on the mechanism of injury whenever possible, and a high index of suspicion for the presence of intraocular foreign bodies should be maintained. Life-threatening injuries should be treated appropriately prior to addressing the ophthalmic injury. Discussion of the severity of the intraocular injury and the guarded visual prognosis in some cases should take place during the preoperative counselling process before surgical management is undertaken.
■ Ophthalmic Examination. A complete examination of both eyes is necessary, including measurement of visual acuity if possible. A low intraocular pressure may suggest an open globe with an intraocular foreign body. Special care is needed if an open globe is suspected since pressure on the globe may induce extrusion of the ocular content and aggravate hypotony. Indirect ophthalmoscopy through a dilated pupil may allow direct visualization of the IOFB. Applanation tonometry, gonioscopy, and scleral depression are not recommended unless the entry wound has been surgically closed.
■ Imaging. Computed tomography (CT) of the orbits without contrast is the test of choice in suspected globe perforation. Thin axial-section CT scan should be performed to evaluate the orbital and facial bones, retrobulbar space, and globes. Particular attention should be given in cases of shrapnel injuries or when multiple facial lacerations are observed. When an IOFB is found on CT scan, its size, shape, location, and composition if possible (eg, metallic, wood, stone, vegetable matter) should be determined. A comparison between helical CT and conventional CT6 found the first to be superior in the preoperative assessment of patients with intraocular foreign bodies. It was associated with a shorter acquisition time with reduced motion artifact, decreased radiation exposure, and the ability to obtain reconstructed sagittal and coronal views for localization of an IOFB. It is also more sensitive than conventional axial CT, MRI, and ultrasound for the detection of glass IOFBs.7 B-scan ultrasonography may have a role in the management of IOFBs, but prior globe closure is required, given the risk of extrusion of intraocular contents.8
■ Preoperative Management. Systemic and topical antibiotic therapy should be started prior to the surgical intervention.4 Topical corticosteroids are important to minimize the inflammation. A tetanus booster may also be appropriate. Gram-positive organisms including coagulase-negative Staphylococci and Streptococci species comprise the majority of clinical isolates in patients who develop posttraumatic endophthalmitis. Al-Omran et al. reviewed culturepositive posttraumatic endophthalmitis9 and found that Staphylococcus epidermidis was the isolate most commonly identified (37% of isolates) in eyes with IOFBs. Levofloxacin (500 mg) and moxifloxacin (400 mg), when administered orally, reached aqueous and vitreous concentrations that exceed the minimum inhibitory concentration required to inhibit the growth of 90% of organisms (MIC90) of major ocular pathogens, including gram-positive and gram-negative organisms implicated in posttraumatic endophthalmitis.10,11 Oral moxifloxacin, however, failed to achieve MIC90 levels for Pseudomonas aeruginosa. The incidence of endophthalmitis in the setting of intraocular foreign bodies is low.12 In the study by Andreoli and colleagues, the incidence was under 0.9% when patients were treated with intravenous vancomycin and ceftazidime for 48 hours. Colyer et al.4 found no cases of endophthalmitis in their series of patients treated orally. Nevertheless, visual prognosis in patients who do develop posttraumatic endophthalmitis, particularly in the setting of an IOFB, is poor. Therefore, the use of broad-spectrum systemic antibiotic coverage should be considered preoperatively and for 7 to 10 days following open globe repair with IOFB removal.
SURGICAL MANAGEMENT
The surgical approach for posterior-segment IOFB includes vitrectomy and removal of the intraocular foreign body by magnet or forceps. The best tool to extract a ferrous IOFB is a strong intraocular magnet, as the IOFB will align itself along its long axis, thus enabling the surgeon to extract it through a smaller sclerotomy. For nonmagnetic intraocular foreign bodies, a proper forceps may be used. Following IOFB removal, a thorough peripheral vitrectomy should be performed, and an attempt to remove the posterior hyaloids should be made. These steps are important for the prevention of subsequent retinal detachment, macular pucker, and posterior vitreous retinopathy. Thorough examination of the retinal periphery, with scleral depression if possible, is warranted to rule out retinal tears, local retinal detachment, or small choroidal detachment. Retinal tears are usually treated with endolaser, but cryotherapy is also an option. Retinal detachments are repaired and left under either C3F8 or SF6 gases or silicone oil tamponade. Prophylactic scleral buckle has been suggested by several studies,13,14 but the value of this procedure remains unproved.
The timing of intervention is primarily determined by the risk of endophthalmitis. If the risk is high, immediate vitrectomy with IOFB removal is indicated. Delaying vitrectomy for approximately 7 to 10 days offers several advantages: a decreased risk of uncontrollable hemorrhage and a higher rate of separation of the posterior vitreous, making complete removal of the vitreous easier. The wound, however, should be closed as soon as possible. In the previously mentioned series published by Colyer et al.4 from Walter Reed, 79 eyes with IOFB of 70 US military personnel were treated preoperatively with a systemic antibiotic — most commonly levofloxacin — and a topical antibiotic — most commonly moxifloxacin. All patients underwent delayed 20-gauge, 3-port vitrectomy with IOFB removal through limbal or pars plana incision within 2 to 661 days (median time 21). Mean preoperative visual acuity improved from 20/400 to 20/120.
Visual acuity of 20/40 or better was achieved in 53.4% of the eyes, while 10.3% devolved to no light perception or had been enucleated by the 6-month followup visit. There were no cases of endophthalmitis, siderosis bulbi, or sympathetic ophthalmia. Postoperative posterior vitreous retinopathy was observed in 17 of 79 eyes (21%) and was correlated with poor initial visual acuity and extensive intraocular injury. The timing of the vitrectomy and IOFB removal was not correlated with visual outcome.4
Advantages of primary vitrectomy with removal of the IOFB include: single procedure for the patient, possible decrease in endophthalmitis rate, and possible decrease in posterior vitreous retinopathy rate.15 Our policy with posterior-segment IOFBs is to remove them as early as possible, in order to minimize the risk for endophthalmitis, toxic retinal damage, and late complications such as posterior vitreous retinopathy.
CATARACT AND IOFBs
Cataract extraction and implantation of an intraocular lens at the time of the vitrectomy with IOFB removal appears to be a safe procedure.16-18 A combined procedure has the potential advantage of faster patient rehabilitation. A posterior-chamber IOL can be considered if the zonular support is appropriate and if the capsular bag exists, even if there is an opening in the posterior capsule. Lately, several studies have suggested an iris claw lens for young patients without capsular support as a secondary procedure.19,20
Our preference is to perform cataract surgery with primary IOL insertion whenever the damage to the anterior segment is not extensive and the visualization is good and when the posterior-segment damage is such that the prognosis for central vision is reasonable.
ROLE OF INTRAOPERATIVE ANTIBIOTICS
Following pars plana vitrectomy and IOFB extraction, consideration is given to intravitreal antibiotics. For endophthalmitis prophylaxis, intravitreal vancomycin (1.0 mg/0.1 mL) and ceftazidime (2.25 mg/0.1 mL) may be given to cover gram-positive and gram-negative organisms.21,22 However, Mieler et al.23 examined retained IOFBs and endophthalmitis, and out of 27 cases that were surgically treated, no cases of endophthalmitis were observed. All eyes received subconjunctival antibiotics in addition to postoperative topical and systemic antibiotics. Intravitreal antibiotics were delivered only when higher risk of infection was suspected. In the latest series published by Colyer et al.,4 intravitreal antibiotics were not administered; only topical and systemic antibiotics were given. None of the patients experienced endophthalmitis. In our experience, the incidence of endophthalmitis in the setting of high-velocity combat injuries is very low. We are not administering intravitreal antibiotics on a regular basis. When the mechanism of the injury is different, as in household or rural injuries, higher index of suspicion may require the use of antibiotics intraoperatively.
COMPLICATIONS AND PROGNOSTIC FACTORS
Endophthalmitis, corneal scarring, elevated intraocular pressure, cataract, retinal detachment, proliferative vitreoretinopathy, and metallosis (eg, chalcosis and siderosis) are possible complications of IOFBs. Visual acuity at presentation, the presence or absence of endophthalmitis, hyphema, vitreous hemorrhage, uveal prolapsed, retinal detachment, and an afferent pupillary defect24-27 may all be predictive of the final outcome. The USEIR developed the Ocular Trauma Score (OTS). The OTS provides an estimate of visual acuity range an eye trauma patient will obtain by 6 months after injury. The factors that are calculated are: initial visual acuity, globe rupture, endophthalmitis, perforating injury, retinal detachment, and afferent pupillary defect.24 Each factor lowers the raw score first determined by the visual acuity by a certain number of points. A low final score indicates a poor visual acuity prognosis. Over 40% of eyes with IOFB injury regain or maintain a visual acuity of 20/40.4,25-27
In the study by Woodcock et al.,26 69 patients with IOFBs were reviewed and compared with data collected in 70 years. The development of endophthalmitis was associated with failure to use prophylactic systemic antibiotics. Final BCVA of 20/40 was achieved in 56% of the patients. IOFBs of greater mass were associated with worse outcomes. In addition to mass, the shape of an IOFB has an effect on its penetration into the eye. Outcomes have improved with advances in surgical technique, and no advantage or disadvantages in delaying surgery were observed.
NEW TOOLS IN MANAGEMENT OF IOFB
New technologies in vitreoretinal surgery have widened the use of minimally invasive surgery with 23- and 25-gauge transconjunctival vitrectomies. However, in trauma settings, trocar placement has the disadvantage of associated intraocular pressure elevation, making this approach impossible in a low-pressured eye. In cases of delayed IOFB removal, the 23- or 25-gauge system may be considered, provided that the repaired laceration is stable, though 1 of the ports may need enlargement for IOFB removal.
The use of a high-brightness xenon light source is helpful in IOFB visualization, especially in cases accompanied by opaque media. The use of a chandelier light source also allows for bimanual manipulation for IOFB removal and unassisted scleral depression. The use of the wide-angle binocular indirect ophthalmoscope noncontact viewing system has also improved the ability to visualize posterior-segment structures through small clear windows in the cornea.28
CONCLUSION
The management of intraocular foreign bodies requires an assessment of the mechanism of injury, composition, location, and size of the IOFB, and vision-threatening complications. Following an intake excluding concomitant life-threatening injuries, initial evaluation includes history, ophthalmic exam, and CT neuroimaging to identify the IOFB location and characteristics. Full discussion with the patient regarding the severity of the injury and guarded visual prognosis is encouraged prior to undertaking surgical intervention.
The new antibiotics available, such as fourth-generation fluoroquinolones with their superior penetration into the eye, have a significant potential advantage over previous treatments. Their use may reduce significantly the endophthalmitis risk in patients with intraocular foreign bodies, especially in the scenario of delayed surgery. The proposed protocol is to use them prior to surgery and up to 7 to 10 days afterwards.
The timing and the type of the procedure recommended are still under debate. Closure of the wound is the first step recommended by all authors. The advantages of a primary combined procedure, including lens removal with or without inserting an intraocular lens implant, at the time of the vitrectomy should be considered for each case. No clear disadvantage regarding the final prognosis was found in delaying the definitive procedure. If the cataract obscures the view during vitrectomy, the lens has to be removed.
With new techniques and awareness, the prognosis of patients injured with IOFBs may be good, with over 40% of patients gaining or maintaining 20/40 vision in studies. The strongest prognostic factors were initial damage from the IOFB and development of endophthalmitis. Eyewear made of polycarbonate (3 mm in thickness) virtually eliminates the risk of intraocular foreign bodies. In combat in particular, this type of prevention is highly recommended and has proved effective. RP
REFERENCES
- National Society to Prevent Blindness: Vision problems in the U.S.: Data analysis. New York: National Society to Prevent Blindness; 1980;25-26.
- Katz J, Tielsch J. Lifetime prevalence of ocular injuries from the Baltimore Eye Survey. Arch Ophthalmol. 1993;111:1564-1568.
- Ferenc K, Robert C, Douglas W, LoRetta M. Epidemiology of Blinding Trauma in the United States Eye Injury Registry. Ophthal Epidemiol. 2006;13:209-216.
- Colyer MH, Weber ED, Weichel ED, et al. Delayed intraocular foreign body removal without endophthalmitis during Operations Iraqi Freedom and Enduring Freedom. Ophthalmology. 2007;114:1439-1447.
- Gal O, Weiss A, Dudkevitch M, Kedem A, et al. A review on the injuries characterictics of the IDF soldiers in the second Lebanon war. Military Med. 2007;4:3-6.
- Lakits A, Prokesch R, Scholda C, et al. Multiplanar imaging in the preoperative assessment of metallic intraocular foreign bodies. Helical computed tomography versus conventional computed tomography. Ophthalmology. 1998;105:1679-1685.
- Gor DM, Kirsch CF, Leen J, et al. Radiologic differentiation of intraocular glass: evaluation of imaging techniques, glass types, size, and effect of intraocular hemorrhage. Am J Roentgenol. 2001;177:1199-1203.
- McNicholas MM, Brophy DP, Power WJ, Griffin JF. Ocular trauma: evaluation with US. Radiology. 1995;195:423-427.
- Al-Omran AM, Abboud EB, Abu El-Asrar AM. Microbiologic spectrum and visual outcome of posttraumatic endophthalmitis. Retina. 2007;27:236-242.
- Sakamoto H, Sakamoto M, Hata Y, et al. Aqueous and vitreous penetration of levofloxacin after topical and/or oral administration. Eur J Ophthalmol. 2007;17:372-376.
- Hariprasad SM, Shah GK, Mieler WF, et al. Vitreous and aqueous penetration of orally administered moxifloxacin in humans. Arch Ophthalmol. 2006;124:178-182.
- Andreoli CM, Andreoli MT, Kloek CE, Ahuero AE, Vavvas D, Durand ML. Low Rate of Endophthalmitis in a Large Series of Open Globe Injuries. Am J Ophthalmol. 2009 Jan 30. [Epub ahead of print].
- Azad RV, Kumar N, Sharma YR, Vohra R. Role of prophylactic scleral buckling in the management of retained intraocular foreign bodies. Clin Experiment Ophthalmol. 2004;32:58-61.
- Stone TW, Siddiqui N, Arroyo JG, et al. Primary scleral buckling in openglobe injury involving the posterior segment. Ophthalmology. 2000;107:1923-1926.
- Mittra RA, Mieler WF. Controversies in the Management of Open-Globe Injuries Involving the Posterior Segment. Surv Ophthalmol. 1999;44:215-225.
- Pavlovic S. Primary intraocular lens implantation during pars plana vitrectomy and intraretinal foreign body removal. Retina. 1999;19:430-436.
- Moisseiev J, Segev F, Harizman N, et al. Primary cataract extraction and intraocular lens implantation in penetrating ocular trauma. Ophthalmology. 2001;108:1099-1103.
- Baykara M, Dogru M, Ozcetin H, Erturk H. Primary repair and intraocular lens implantation after perforating eye injury. J Cataract Refract Surg. 2002;28:1832-1835.
- Sminia ML, Odenthal MT, Wenniger-Prick LJ, Gortzak-Moorstein N, Völker-Dieben HJ. Traumatic pediatric cataract: a decade of follow-up after Artisan aphakia intraocular lens implantation. J AAPOS. 2007;11:555-558. Epub 2007 Aug 27.
- Güell JL, Manero F. Artiflex (foldable iris claw IOL) secondary implantation for correction of aphakia after penetrating ocular injury. J Refract Surg. 2004;20:282-283.
- Ferencz JR, Assia EI, Diamantstein L, Rubinstein E. Vancomycin concentration in the vitreous after intravenous and intravitreal administration for postoperative endophthalmitis. Arch Ophthalmol. 1999;117:1023-1027.
- Schech JM, Alfaro DV 3rd, Laughlin RM, et al. Intravenous gentamicin and ceftazidime in penetrating ocular trauma: a swine model. Retina. 1997;17:28-32.
- Mieler WF, Ellis MK, Williams DF, Han DP. Retained intraocular foreign bodies and endophthalmitis. Ophthalmology. 1990;97:1532-1538.
- Szijártó Z, Gaál V, Kovács B, Kuhn F. Prognosis of penetrating eye injuries with posterior segment intraocular foreign body. Graefes Arch Clin Exp Ophthalmol. 2008;246:161-165.
- De Souza S, Howcroft MJ. Management of posterior segment intraocular foreign bodies: 14 years' experience. Can J Ophthalmol. 1999;34:23-29.
- Woodcock MG, Scott RA, Huntbach J, Kirkby GR. Mass and shape as factors in intraocular foreign body injuries. Ophthalmology. 2006;113:2262-2269.
- Wani VB, Al-Ajmi M, Thalib L, Azad RV, Abul M, Al-Ghanim M, Sabti K. Vitrectomy for posterior segment intraocular foreign bodies: visual results and prognostic factors. Retina. 2003;23:654-660.
- Yeh S, Colyer MH, Weichel ED. Current trends in the management of intraocular foreign bodies. Curr Opin Ophthalmol. 2008;19:225-233.







