PEER REVIEWED
Chromodissection of the Vitreoretinal Interface
SIMON R. BABABEYGY, MD · J. SEBAG, MD, FACS, FRCOPHTH
Invisible by design1-3 (Figure 1), vitreous poses many challenges to surgeons attempting its innocuous removal. This is particularly true at the vitreoretinal interface, where advances in surgical technique have improved outcomes and made possible the cure of previously untreatable conditions, such as macular holes.4 In addition to the technical difficulties of membrane removal, there are limitations to our understanding of the anatomy and pathology of the vitreoretinal interface that further compound the problem. While it was previously believed that vitreous collagen fibrils insert directly into the retina, we now appreciate that between the posterior vitreous cortex and the internal limiting lamina (ILL) of the retina is an extracellular matrix comprised of laminin, fibronectin, opticin, and various sulfated proteoglycans all believed to function as a "glue," adhering vitreous to retina.15 Recent studies5 by Russell and Hageman have also determined that the posterior vitreous cortex is organized in lamellae (Figure 2). This underlying anatomy can become important during aging.
Figure 1 Human vitreous after dissection of the sclera, choroid, and retina.
REPRINTED FROM COVER OF SEBAG J, ED. THE VITREOUS: STRUCTURE, FUNCTION, AND PATHOBIOLOGY. NEW YORK, NY; SPRINGER-VERLAG; 1989, WITH PERMISSION OF SPRINGER-VERLAG.
Figure 2. Lamellar structure of the posterior vitreous cortex (PVC) in the monkey. V = Vitreous; R = Retina; ILL = Internal Limiting Lamina.
IMAGE APPEARS COURTESY OF GREG HAGEMAN, PhD
Posterior vitreous detachment (PVD) is a very common age-related condition that results from concurrent liquefaction (synchisis) of the gel and dehiscence at the vitreoretinal interface with collapse of the vitreous body (syneresis) away from the retina. Anomalous PVD6 results from gel liquefaction without vitreoretinal dehiscence. At times, there can be splitting between the lamellae of the posterior vitreous cortex, resulting in vitreoschisis.7,8 This appears to be an important contributor to the pathophysiology of proliferative diabetic vitreoretinopathy, macular pucker, and possibly lamellar and full-thickness macular holes as well.7
The premise that it is important to remove these pathologic membranes from the retinal surface has led to chromodissection — the use of dyes to stain the vitreoretinal interface for better visualization during surgery. While a variant of this term (chromovitrectomy) was introduced in 2005 by Rodrigues, Meyer, Schmidt, and Kroll in Marburg, Germany, dyes are used more for dissection at the vitreoretinal interface than for removal of the gel vitreous. The following reviews the history and current state of advancement of chromodissection for enhancing intraoperative visualization during vitreoretinal interface surgery.
| Simon R. Bababeygy, MD, is a recent graduate of the Stanford University School of Medicine and will begin a residency at Doheny Eye Institute at the University of Southern California in 2010. J. Sebag, MD, FACS, FRCOphth, is professor of clinical ophthalmology at the Doheny Eye Institute and is founding director of the VMR Institute in Huntington Beach, CA. Neither author reports any financial interest in any products mentioned in this article. Dr. Sebag may be reached via e-mail at jsebag@vmrinstitute.com. |
HISTORICAL PERSPECTIVE
Lobeck9 was perhaps the first to use an intravitreal dye, when in 1932 he employed India ink to study the role of the choroid in intraocular fluid dynamics. In 1964, Niedermeier10 used intravitreal injections of Evans Blue to identify the flow of fluid from vitreous into the subretinal space via retinal breaks. Abrams et al.11 were likely the first to perform chromovitrectomy, when in 1978 they reported the use of fluorescein to enhance visualization of vitreous during vitrectomy. The first published reports of indocyanine green (ICG) staining of the vitreoretinal interface appeared in 2000, when Burk et al.12 described their findings with ICG dye in human cadaver eyes. One year later, the same investigators reported the use of ICG dye for chromodissection in macular hole surgery.13 Since that time, a variety of other dyes have been used for chromodissection during vitreoretinal interface surgery.
It is interesting to note that the choice of dyes was never predicated upon an understanding of the biochemical composition of the vitreoretinal interface and thus no dyes were expressly developed for use at the vitreoretinal interface. Rather, whatever dyes were available have been tried empirically. In fact, little is known about what molecular components of the vitreoretinal interface are actually being bound by many of the dyes. This may explain some of the limitations encountered to date with chromodissection.
INDOCYANINE GREEN
The most widely used dye for chromodissection is indocyanine green (ICG), employed primarily to treat macular holes. This popularity is largely due to the reports14 that the closure rate of macular holes can be improved with deeper dissection, so-called ILM peeling. It is important to note that that the term "ILM" actually refers to the internal limiting lamina (ILL) of the retina, which is not a membrane by classic histologic criteria. Furthermore, the ILL is known to be a multilaminar structure.15 Thus, it is likely that during ILM peeling only the inner layer(s) are removed, since removing the entire ILL would very likely injure Müller cells and probably have untoward effects upon the neural retina and vision. While Ducourneau16 has promoted the concept that such Müller cell damage is actually desirable since it is part of the therapeutic process, others are reluctant to adopt this principle in the absence of more experimental evidence.
Indocynanine green staining of the vitreoretinal interface seems to enable deeper dissection. However, studies have shown that, while macular hole closure rates increase with ICG staining, postoperative visual acuities are often not improved.14,17,18 As described18 by Haritoglou, Gandorfer, and colleagues in Professor Anselm Kampik's group in Munich, the deeper dissection that ICG facilitates could cause subjacent retinal cell injury and could thus be the explanation for the lack of postoperative improvement in visual acuity. Indeed, since the ILL is multilaminar, it is plausible that in successful cases only the inner layer(s) is removed, thereby limiting damage to the Müller cells and sparing untoward effects on vision.
Another possible explanation for poor visual outcomes following anatomically successful macular hole surgery is ICG toxicity. Studies as well as practical experience have shown that the use of ICG to stain the vitreoretinal interface unequivocally facilitates the dissection of the outer layer of the posterior vitreous cortex and perhaps also some of the ILL of the retina (Figure 3). The reason that ICG is so effective probably results from the fact that not only does it stain the vitreoretinal interface, but it also alters its biophysical properties,19 enabling easier and more effective peeling. While closure rates are indeed increased with ICG, visual outcomes are at times disappointing, raising the specter of ICG toxicity.20,21 Studies22 have shown that ICG lingers in the fundus long after surgery. Possible mechanisms of toxicity include phototoxic as well as osmotic effects upon the neural retina22 (particularly retinal ganglion cells17), the optic disk,23 and the retinal pigment epithelium24 via apoptosis.25 There is, however, a postmortem study26 in pig eyes that found no retinal damage.
Figure 3. Membrane peel after ICG staining in macular hole surgery.
REPRINTED FROM MEYER CH, ED. VITAL DYES IN VITREORETINAL SURGERY – CHROMOVITRECTOMY. BASEL, SWITZERLAND; KARGER; 2008, WITH PERMISSION FROM KARGER.
There are also clinical studies27,82,83 that reported excellent visual results in patients who underwent ICG-assisted ILL peeling for macular hole repair. Differences in surgical technique, ICG dosing, retinal exposure time, amount of light exposure during ICG dye contact with the retina, and the type of endoillumination employed make it difficult to compare different clinical studies. Nonetheless, these findings prompted Ando et al., who initially found higher closure rates but poor visual outcomes using ICG,14 to test the hypothesis that a lower concentration of dye with a shorter exposure time would not be damaging. The results showed that, using this approach, visual acuities were in fact improved.28 Others84 have found similar results with dilution of ICG to lower concentrations. Thus, it would appear that a randomized, prospective clinical trial would be useful to determine the existence of ICG toxicity and provide specific recommendations with respect to ICG concentration, duration of retinal exposure, and type of endoillumination to achieve optimal outcomes during chromodissection.
THE BLUES
Trypan blue is a water-soluble blue dye that is increasingly used in ocular surgery for the visualization of premacular membranes during chromodissection.29,30 Trypan blue is purportedly helpful in targeting tissues such as the ILL,31,32 premacular (so-called "epiretinal") membranes,33,34 the vitreous itself,35,36 and even retinal breaks.37 Early studies38 suggested that Trypan blue is toxic to human tissues with carcinogenic and mutagenic potential.39 Subsequent studies revealed toxic effects of Trypan blue to retinal cells both in vitro40,41 and in vivo.42 In spite of these toxic effects on a cellular43,44 level, the application of Trypan blue contributed positively to the surgical experience, with recent studies showing that Trypan blue improves anatomical and visual outcomes.30-33,45-48 Given Trypan blue's growing popularity in chromodissection, in vitro and in vivo experiments were recently conducted to better understand its potential untoward side effects. In vitro analyses revealed that Trypan blue exposure led to neurosensory,40 retinal ganglion cell,40,44 and RPE49-51 damage. Other studies demonstrated no cellular damage after Trypan blue exposure to glial cells52 and RPE cells.53 Predictably, in vivo studies similarly showed contradictory results. Veckeneer et al.42 and Tokuda et al.54 reported no histological or electrophysiological retinal toxicity with low-dose Trypan blue. However, other studies showed irreversible retinal damage,55 disorganization of the inner retinal layers,46 and even histological damage to the RPE.56 Given an apparently strong affinity to premacular membranes, Trypan blue has desirability, but it remains unclear at which concentration Trypan blue is safe to use.
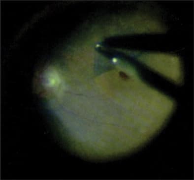
Other blue dyes such as Patent Blue V and Brilliant Blue G have recently been investigated by Mennel et al.,57 who found no in vitro structural damage to RPE cells. Of note, however, is that Patent Blue V has been shown to exert cytotoxic effects at high concentrations,58 or with long duration of exposure.55 Studies on Brilliant Blue G revealed surgical efficacy (Figure 4), but at high doses Brilliant Blue G induced vacuolization of inner retinal cells without apoptosis.59 Lower doses showed no detectable toxic effects.60
Figure 4. Membrane peel after staining with Brilliant Blue G.
REPRINTED FROM MEYER CH, ED. VITAL DYES IN VITREORETINAL SURGERY – CHROMOVITRECTOMY. BASEL, SWITZERLAND; KARGER; 2008, WITH PERMISSION FROM KARGER.
Two other blue dyes, bromophenol blue and Chicago blue, were recently studied and found to have normal retinal morphology with bromophenol blue, but alterations in retinal morphology with Chicago blue.61,62 These varying results merit further evaluation of not only staining properties, but potential side effects prior to human application.
TRIAMCINOLONE ACETONIDE
While one could argue that triamcinolone acetonide (TA) does not actually stain the vitreoretinal interface with a colored dye and is thus not a part of the discussion of chromodissection, white is in fact the amalgam of all colors. The use of TA as a visualization aid during vitreoretinal interface surgery was first described by Peyman et al.63 TA has since enabled direct visualization and removal of vitreous in both the anterior64 and posterior65,66 segments with good success. In these studies, TA crystals were found to attach to the anterior surface of the posterior vitreous cortex, allowing better visualization and facilitating removal of this tissue, as well as the inner layers of the ILL67,68 (Figure 5), a procedure that has been useful in the treatment of macular holes.69,70 While histologic analysis71,72 has revealed that the ILL is indeed removed with TA-assisted vitreoretinal interface surgery, some functional studies73 show that visual acuities did not significantly differ from eyes without TA-assisted vitrectomy. Similarly, Tewari et al. concluded that, while TA-assisted ILL peeling is an effective intraoperative visualization technique, it did not have a positive impact on macular hole closure rates.74 It is important to note that, in macular hole surgery, one of the major concerns of TA is its potential to accumulate in the bottom of the hole and delay wound healing75 or to have toxic effects on RPE and photoreceptors.76 However, recent experience suggests that TA-assisted vitreoretinal interface surgery provides excellent anatomic and visual results, with minimal risk of retinal toxicity.74 It would thus appear that here, too, we need a prospective, randomized investigation of TA, evaluating its short- and long-term effects on surgical outcomes, vision, and retinal toxicity to reach a valid conclusion as to the risks and benefits of TA-assisted vitreoretinal interface surgery.
Figure 5. Membrane peel after triamcinolone acetate application.
REPRINTED FROM MEYER CH, ED. VITAL DYES IN VITREORETINAL SURGERY – CHROMOVITRECTOMY. BASEL, SWITZERLAND; KARGER; 2008, WITH PERMISSION FROM KARGER.
Another aspect worthy of investigation is combination therapy. Indeed, one study70 employed both Trypan blue and ICG in macular pucker surgery while another71 used ICG and triamcinolone for stage 3 macular hole surgery with good results. It is plausible that triamcinolone facilitated intraoperative identification of the posterior vitreous cortex, while Trypan blue preferentially stained the inner aspects of the ILL. The differential staining of ICG and Trypan blue have yet to be determined, but it would seem quite interesting to further investigate whether chromodissection with multiple dyes would be a useful new approach. Indeed, a very recent study85 compared different dyes and found variable cleavage planes, although the dyes were not used in combination.
PHARMACOLOGIC VITREOLYSIS
The evolution of medical therapeutics typically begins at the level of surgery, which is how doctors treat patients when there is relatively little understanding about the disease process. As pathophysiology is elucidated, nonsurgical therapeutics are developed, reducing morbidity and costs while increasing efficacy. A true understanding of the pathogenesis of disease usually results in the development of preventative modalities of care. The use of dyes to enhance intraoperative visualization during vitreoretinal interface surgery is seemingly an elegant innovation, but it is in reality limited in its ability to move the world forward along the evolutionary path of medical therapeutics to prevention.
Pharmacologic vitreolysis77-79 is an emerging therapy to treat and prevent anomalous PVD. The intent is to use pharmacologic agents (both enzymatic and nonenzymatic) to liquefy the gel vitreous and induce complete dehiscence of vitreoretinal adhesion. Agents that induce liquefaction are called "liquefactants," while those that induce dehiscence are "interfactants."80 To date, numerous agents have been employed as adjuncts to vitreoretinal surgery, where the ability to lyse vitreous adhesion to the retina is of paramount importance. In 25-gauge vitrectomy surgery, it would also be advantageous to pharmacologically break down vitreous macromolecules so as to decrease vitreous macroviscosity and facilitate surgical removal. Such a pharmacologic adjunct would make the surgical approach safer and faster, facilitating this surgery in outpatient and office settings.
However, to induce prophylactic PVD, pharmacologic vitreolysis agents must break down vitreous macromolecules as well as lyse vitreoretinal adhesion, thereby achieving innocuous PVD and hopefully obviating the need for surgery. This has been realized to a limited extent (30% of cases) in the MIVI III trial. Why 70% did not respond and still required surgery is unclear. Perhaps combination therapy78,81 with more than 1 pharmacologic vitreolysis agent would increase this success rate. It is important, however, to recall that, ideally, vitreoretinal dehiscence should be induced prior to macromolecule breakdown and liquefaction, so as to avoid creating an anomalous PVD. In the future, prophylactic PVD should improve the prognosis in patients at risk of optic disc or retinal neovascularization due to ischemia, those at risk of retinal detachment or maculopathy due to high myopia, and in fellow eyes of patients with macular holes and rhegmatogenous retinal detachments, as well as other clinical circumstances. In effect, successful pharmacologic vitreolysis may obviate the need for chromodissection in the future, which should be our goal. RP
REFERENCES
- Sebag J. Classifying posterior vitreous detachment: a new way to look at the invisible. Br J Ophthalmol. 1997;81:521.
- Sebag J. Seeing the invisible: the challenge of imaging vitreous. J Biomed Opt. 2004;9:38-46.
- Sebag J. To see the invisible: the quest of imaging vitreous. Dev Ophthalmol. 2008;42:5-28.
- Kelly NE, Wendel RT. Vitreous surgery for idiopathic macular holes. Results of a pilot study. Arch Ophthalmol. 1991;109:654-659.
- Russell S, Hageman GS: Optic disc, foveal, and extrafoveal damage due to surgical separation of the vitreous. Arch Ophthalmol. 2001;119:1653-1658.
- Sebag J. Anomalous posterior vitreous detachment: a unifying concept in vitreo-retinal disease. Graefes Arch Clin Exp Ophthalmol. 2004;242:690-698.
- Sebag J, Gupta P, Rosen RR, et al. Macular holes and macular pucker: the role of vitreoschisis as imaged by optical coherence tomography/scanning laser ophthalmoscopy. Trans Am Ophthalmol Soc. 2007;105:121-129; discussion 9-31.
- Sebag J. Vitreoschisis. Graefes Arch Clin Exp Ophthalmol. 2008;246:329-332.
- Lobeck E. Untersuchungen uber die bedeutung des Netzhautrisses bei Nethautablosung. Experimentelle Untersuchungen uber den intraocualren Flussigkeitswechsel be kunstlicher Netshautablosung. Alb v. Graefes Arch Ophthalmol. 1932;128:513-73.
- Niedermeier S. Tierexperimenteller Untersuchungen zur Frage chorioretinaler Gefasstorungen nach Netzhautlochentstehung. Alb v Grefes Arch Ophthalmol. 1964;167:201-207.
- Abrams GW, Topping T, Machemer R. An improved method for practice vitrectomy. Arch Ophthalmol. 1978;96:521-525.
- Burk SE, Da Mata AP, Snyder ME, et al. Indocyanine green-assisted peeling of the retinal internal limiting membrane. Ophthalmology. 2000;107:2010-2014.
- Da Mata AP, Burk SE, Riemann CD, et al. Indocyanine green-assisted peeling of the retinal internal limiting membrane during vitrectomy surgery for macular hole repair. Ophthalmology. 2001;108:1187-1192.
- Ando F, Sasano K, Ohba N, et al. Anatomic and visual outcomes after indocyanine green-assisted peeling of the retinal internal limiting membrane in idiopathic macular hole surgery. Am J Ophthalmol. 2004;137:609-614.
- Green WR, Sebag J: Vitreous and the vitreo-retinal interface. In: Ryan SJ, ed. Retina, Voll 3. St. Louis, MO: Mosby; 2001:1882-1960.
- Ducourneau D: Macular hole surgery. Paper presented at: 11th Vitreo-Retinal Symposium, May 2008; Marburg, Germany.
- Gass CA, Haritoglou C, Schaumberger M, Kampik A. Functional outcome of macular hole surgery with and without indocyanine green-assisted peeling of the internal limiting membrane. Graefes Arch Clin Exp Ophthalmol. 2003;241:716-720.
- Haritoglou C, Gandorfer A, Gass CA, et al. Indocyanine green-assisted peeling of the internal limiting membrane in macular hole surgery affects visual outcome: a clinicopathologic correlation. Am J Ophthalmol. 2002;134:836-841.
- Wollensak G, Spoerl E, Wirbelauer C, Pham DT. Influence of indocyanine green staining on the biomechanical strength of porcine internal limiting membrane. Ophthalmologica. 2004;218:278-282.
- Sebag J. Indocyanine green-assisted macular hole surgery: too pioneering? Am J Ophthalmol. 2004;137:744-746.
- Sebag J. Let green lead not astray. Br J Ophthalmol. 2005;89:790-792.
- Tadayoni R, Paques M, Girmens JF, et al. Persistence of fundus fluorescence after use of indocyanine green for macular surgery. Ophthalmology. 2003;110:604-608.
- Iriyama A, Uchida S, Yanagi Y, et al. Effects of indocyanine green on retinal ganglion cells. Invest Ophthalmol Vis Sci. 2004;45:943-947.
- Ho JD, Tsai RJ, Chen SN, Chen HC. Cytotoxicity of indocyanine green on retinal pigment epithelium: implications for macular hole surgery. Arch Ophthalmol. 2003;121:1423-1429.
- Rezai KA, Farrokh-Siar L, Ernest JT, van Seventer GA. Indocyanine green induces apoptosis in human retinal pigment epithelial cells. Am J Ophthalmol. 2004;137:931-933.
- Grisanti S, Szurman P, Gelisken F, et al. Histological findings in experimental macular surgery with indocyanine green. Invest Ophthalmol Vis Sci. 2004;45:282-286.
- Da Mata AP, Burk SE, Foster RE, et al. Long-term follow-up of indocyanine green-assisted peeling of the retinal internal limiting membrane during vitrectomy surgery for idiopathic macular hole repair. Ophthalmology. 2004;111:2246-2253.
- Ando F, Sasano K, Suzuki F, Ohba N. Indocyanine green-assisted ILM peeling in macular hole surgery revisited. Am J Ophthalmol. 2004;138:886-887.
- Rodrigues EB, Meyer CH, Kroll P. Chromovitrectomy: a new field in vitreoretinal surgery. Graefes Arch Clin Exp Ophthalmol. 2005;243:291-293.
- Teba FA, Mohr A, Eckardt C, et al. Trypan blue staining in vitreoretinal surgery. Ophthalmology. 2003;110:2409-2412.
- Li K, Wong D, Hiscott P, et al. Trypan blue staining of internal limiting membrane and epiretinal membrane during vitrectomy: visual results and histopathological findings. Br J Ophthalmol. 2003;87:216-219.
- Lee KL, Dean S, Guest S. A comparison of outcomes after indocyanine green and trypan blue assisted internal limiting membrane peeling during macular hole surgery. Br J Ophthalmol. 2005;89:420-424.
- Perrier M, Sebag M. Epiretinal membrane surgery assisted by trypan blue. Am J Ophthalmol. 2003;135:909-911.
- Feron EJ, Veckeneer M, Parys-Van Ginderdeuren R, et al. Trypan blue staining of epiretinal membranes in proliferative vitreoretinopathy. Arch Ophthalmol. 2002;120:141-144.
- Cacciatori M, Chadha V, Bennett HG, Singh J. Trypan blue to aid visualization of the vitreous during anterior segment surgery. J Cataract Refract Surg. 2006;32:389-391.
- Verma L, Prakash G, Tewari HK. Trypan blue enhanced vitrectomy in clear gel vitrectomy. Indian J Ophthalmol. 2003;51:106.
- Jackson TL, Kwan AS, Laidlaw AH, Aylward W. Identification of retinal breaks using subretinal trypan blue injection. Ophthalmology. 2007;114:587-590.
- Vlckova A, Gasparic J, Horakova K. Investigation of the cytotoxicity of different trypan blue commercial products. Bull Acad Pol Sci Biol. 1971;19:763-770.
- Chung KT. The significance of azo-reduction in the mutagenesis and carcinogenesis of azo dyes. Mutat Res. 1983;114:269-281.
- Narayanan R, Kenney MC, Kamjoo S, et al. Trypan blue: effect on retinal pigment epithelial and neurosensory retinal cells. Invest Ophthalmol Vis Sci. 2005;46:304-309.
- Luke C, Luke M, Sickel W, Schneider T. Effects of patent blue on human retinal function. Graefes Arch Clin Exp Ophthalmol. 2006;244:1188-1190.
- Veckeneer M, van Overdam K, Monzer J, et al. Ocular toxicity study of trypan blue injected into the vitreous cavity of rabbit eyes. Graefes Arch Clin Exp Ophthalmol. 2001;239:698-704.
- Gandorfer A, Rohleder M, Charteris DG, et al. Staining and peeling of the internal limiting membrane in the cat eye. Curr Eye Res. 2005;30:977-987.
- Jin Y, Uchida S, Yanagi Y, et al. Neurotoxic effects of trypan blue on rat retinal ganglion cells. Exp Eye Res. 2005;81:395-400.
- Balayre S, Boissonnot M, Curutchet L, Dighiero P. [Role of trypan blue in epiretinal membrane surgery]. J Fr Ophtalmol. 2005;28:290-297.
- Haritoglou C, Gandorfer A, Schaumberger M, et al. Trypan blue in macular pucker surgery: an evaluation of histology and functional outcome. Retina. 2004;24:582-590.
- Vote BJ, Russell MK, Joondeph BC. Trypan blue-assisted vitrectomy. Retina. 2004;24:736-738.
- Beutel J, Dahmen G, Ziegler A, Hoerauf H. Internal limiting membrane peeling with indocyanine green or trypan blue in macular hole surgery: a randomized trial. Arch Ophthalmol. 2007;125:326-332.
- Kodjikian L, Richter T, Halberstadt M, et al. Toxic effects of indocyanine green, infracyanine green, and trypan blue on the human retinal pigmented epithelium. Graefes Arch Clin Exp Ophthalmol. 2005;243:917-925.
- Kwok AK, Yeung CK, Lai TY, et al. Effects of trypan blue on cell viability and gene expression in human retinal pigment epithelial cells. Br J Ophthalmol. 2004;88:1590-1594.
- Hirasawa H, Yanagi Y, Tamaki Y, et al. Indocyanine green and trypan blue: intracellular uptake and extracellular binding by human retinal pigment epithelial cells. Retina. 2007;27:375-378.
- Jackson TL, Hillenkamp J, Knight BC, et al. Safety testing of indocyanine green and trypan blue using retinal pigment epithelium and glial cell cultures. Invest Ophthalmol Vis Sci. 2004;45:2778-2785.
- Stalmans P, Van Aken EH, Melles G, et al. Trypan blue not toxic for retinal pigment epithelium in vitro. Am J Ophthalmol. 2003;135:234-236.
- Tokuda K, Tsukamoto T, Fujisawa S, Matsubara M. Evaluation of toxicity due to vital stains in isolated rat retinas. Acta Ophthalmol Scand. 2004;82:189-194.
- Luke C, Luke M, Dietlein TS, et al. Retinal tolerance to dyes. Br J Ophthalmol. 2005;89:1188-1191.
- Maia M, Penha F, Rodrigues EB, et al. Effects of subretinal injection of patent blue and trypan blue in rabbits. Curr Eye Res. 2007;32:309-317.
- Mennel S, Meyer CH, Schmidt JC, et al. Trityl dyes patent blue V and brilliant blue G - clinical relevance and in vitro analysis of the function of the outer blood-retinal barrier. Dev Ophthalmol. 2008;42:101-114.
- Hiebl W, Gunther B, Meinert H. [Substances for staining biological tissues: use of dyes in ophthalmology]. Klin Monatsbl Augenheilkd. 2005;222:309-311.
- Hisatomi T, Enaida H, Matsumoto H, et al. Staining ability and biocompatibility of brilliant blue G: preclinical study of brilliant blue G as an adjunct for capsular staining. Arch Ophthalmol. 2006;124:514-519.
- Ueno A, Hisatomi T, Enaida H, et al. Biocompatibility of brilliant blue G in a rat model of subretinal injection. Retina. 2007;27:499-504.
- Haritoglou C, Schuttauf F, Gandorfer A, Thaler S. An experimental approach towards novel dyes for intraocular surgery. Dev Ophthalmol. 2008;42:141-152.
- Schuettauf F, Haritoglou C, May CA, et al. Administration of novel dyes for intraocular surgery: an in vivo toxicity animal study. Invest Ophthalmol Vis Sci. 2006;47:3573-3578.
- Peyman GA, Cheema R, Conway MD, Fang T. Triamcinolone acetonide as an aid to visualization of the vitreous and the posterior hyaloid during pars plana vitrectomy. Retina. 2000;20:554-555.
- Burk SE, Da Mata AP, Snyder ME, et al. Visualizing vitreous using Kenalog suspension. J Cataract Refract Surg. 2003;29:645-651.
- Kumagai K. Introduction of a new method for the preparation of triamcinolone acetonide solution as an aid to visualization of the vitreous and the posterior hyaloid during pars plana vitrectomy. Retina. 2003;23:881-882.
- Mankowska A, Rejdak R, Nowomiejska K, Zagorski Z. [Efficacy of intravitreal triamcinolone acetonide in the visualization of the vitreous during pars plana vitrectomy]. Klin Oczna. 2006;108(1-3):24-27.
- Schmidt JC, Chofflet J, Horle S, et al. Three simple approaches to visualize the transparent vitreous cortex during vitreoretinal surgery. Dev Ophthalmol. 2008;42:35-42.
- Tognetto D, Zenoni S, Sanguinetti G, et al. Staining of the internal limiting membrane with intravitreal triamcinolone acetonide. Retina. 2005;25:462-467.
- Yamamoto N, Ozaki N, Murakami K. Triamcinolone acetonide facilitates removal of the epiretinal membrane and separation of the residual vitreous cortex in highly myopic eyes with retinal detachment due to a macular hole. Ophthalmologica. 2004;218:248-256.
- Stalmans P, Feron EJ, Parys-Van Ginderdeuren R, et al: Double vital staining using trypan blue and indocyanine gree in macualr pucker surgery. Brit J Ophthalmol. 2003;87:713-716.
- Yamamoto N, Ozaki N, Murakami K: Double visualization using triamcinolone acetonide and trypan blue during stage 3 macular hole surgery. Ophthalmologica. 2004;218:297-305.
- Shah GK, Rosenblatt BJ, Smith M. Internal limiting membrane peeling using triamcinolone acetonide: histopathologic confirmation. Am J Ophthalmol. 2004;138:656-657.
- Yamaguchi T, Inoue M, Ishida S, Shinoda K. Detecting vitreomacular adhesions in eyes with asteroid hyalosis with triamcinolone acetonide. Graefes Arch Clin Exp Ophthalmol. 2007;245:305-308.
- Tewari A, Almony A, Shah GK. Macular Hole Closure with Triamcinolone-Assisted Internal Limiting Membrane Peeling. Retina. 2008, Jul 10. Epub ahead of print.
- Hida T, Chandler D, Arena JE, Machemer R. Experimental and clinical observations of the intraocular toxicity of commercial corticosteroid preparations. Am J Ophthalmol. 1986;101:190-195.
- Yeung CK, Chan KP, Chiang SW, et al. The toxic and stress responses of cultured human retinal pigment epithelium (ARPE19) and human glial cells (SVG) in the presence of triamcinolone. Invest Ophthalmol Vis Sci. 2003;44:5293-5300.
- Sebag J. Pharmacologic vitreolysis. Retina. 1998;18:1-3.
- Sebag J. Is pharmacologic vitreolysis brewing? Retina. 2002;22:1-3.
- Sebag J. The molecular biology of pharmacologic vitreolysis. Trans Am Ophthalmol Soc. 2005;103:473-494.
- Sebag J: Pharmacologic vitreolysis – premise and promise of the first decade. Retina. in press.
- Wang ZL, Zhang X, Xu X, Sun XD, Wang F: PVD following plasmin but not hyaluronidase – implications for combination pharmacologic vitreolysis therapy. Retina. 2005;25:38-43.
- Sheidow TG, Blinder KJ, Holekamp N, Joseph D, Shah G, Grand MG, Thomas MA, Bakal J, Sharma S: Outcome results in macular hole surgery: an evaluation of internal limiting membrane peeling with and without indocyanine green. Ophthalmology. 2003;110:1697-1697.
- Wolf S, Reichel MB, Wiedemann P, Schnurrbusch UE: Clinical findings in macular hole surgery with indocyanine green-assisted peeling of the internal limiting membrane. Graefes Arch Clin Exp Ophthalmol. 2003;241:589-592.
- Lai MM, Williams GA: Anatomical and visual outcomes of idiopathic macular hole surgery with internal limiting membrane removal using low-concentration indocyanine green. Retina. 2007;27:477-482.
- Schumann RG, Gandorfer A, Priglinger SG, Kampik A, Haritoglou C: Vital dyes for macular surgery: A comparative electron microscopy study of the internal limiting membrane. Retina. Jan 26, 2009; Epub ahead of print.







