New Spectral Imaging Enhances Patient Management
Adding laser angiography creates a multipurpose technology for private practice and research.
ROCHELLE NATALONI, CONTRIBUTING EDITOR
The Spectralis HRA+OCT retinal imaging system (Heidelberg Engineering, Vista, CA), which combines spectral domain optical coherence tomography (OCT) with laser angiography, represents a milestone in imaging technology, according to the retinal imaging experts interviewed for this article. The Spectralis scans the retina at 40 000 scans per second — or 100 times faster than time-domain systems — creating highly detailed images of the structure of the retina. Because the OCT and fluorescein angiography (FA) images are captured simultaneously, clinicians can be assured of the exact location of the area of interest and can correlate the outer visible retina structure with the internal structure. The Food and Drug Administration (FDA) granted clearance just a few months ago and widespread distribution will follow its formal introduction at the American Academy of Ophthalmology meeting in November of this year.
CLINICAL RELEVANCE
Scott Cousins, MD, director of the Duke Center for Macular Diseases at Duke University, says the system represents a dramatic leap forward in imaging complex macular disease. "The fact that you can get accurate and reproducible quantitative measures and cross-sections is a huge benefit," he says. "Looking at the exact same position in the retina on repeated studies over repeated visits is the most important benefit that this system affords."
| Dirk-Uwe Bartsch, PhD, has received support software and discounted hardware from Heidelberg Engineering. Scott Cousins, MD, states that he has no financial relationship with Heidelberg. Jeffrey S. Heier, MD, is a paid consultant to Heidelberg Engineering and a member of the company's scientific advisory board. |
The faster scan speeds and an eye-tracking system called TruTrack enable precise alignment of images. Also, precise alignment allows the software to average multiple images acquired during the exam, thereby improving signal:noise and resolution of the images. "With a time-domain system, OCT is reliant upon patient fixation and the intersection of 6 radial scans at a point in the central fovea, which is an assumption that's not true in the majority of patients." Dr. Cousins continues, "Therefore, on any repeated measurement, if you are looking at both the quantitative measures or a specific cross-section, it may be off due to fixation errors or other artifacts. So if you are, for instance, trying to assess sub-retinal fluid volume in 1 particular slice of the retina [a time-domain system] may be 25 μm to the left or right of that obtained on any prior measurement because of the patient's fixation. With the Spectralis spectral-domain OCT, the slices are registered to landmarks on the retina, so you will have that exact position — exact slice — each and every visit. You can say, 'I want to see slice 256,' and that slice is going to be registered against a retinal landmark and slice 256 will show the exact same area as at the prior visit," says Dr. Cousins.
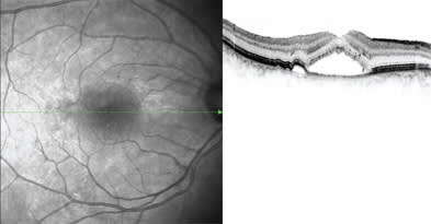
Figure 1. The Spectralis HRA+OCT captures images simultaneously. Here, a diagnosis of central serous retinopathy (CSR) is shown. The image on the left shows the infrared view through the HRA2 SLO. The image on the right shows the OCT cut at the location of the vertical green line on the HRA2 SLO.
Imaging expert Dirk-Uwe G. Bartsch, PhD, is an adjunct associate professor at the University of California San Diego's Jacobs Retina Center; his area of expertise is scanning laser and OCT imaging. He also points to the Spectralis' ability to enable the physician to better identify the exact location of pathology and track it over time as a major benefit of the new multi-functional imaging system. "With the time-based systems, we never knew exactly where the scan was recorded because it took up to 2 seconds to record 1 scan line, and after the actual B-scan was recorded, it would record the fundus image, which could take as long as 16 seconds," he says. "The [technician] may have an idea of how much eye movement there was in that time frame, but the physician who reviews the scan afterward never does, so the data were never really reliable," Dr. Bartsch explains.
With the Spectralis, cross-sectional images are simultaneously registered to any of the following reference images: FA, indocyanine green angiography (ICG), autofluorescence, red-free or infrared; and dual-beam imaging captures the reference scan and cross section simultaneously, creating an accurate and reliable reference point (Figures 1-3). Dr. Bartsch explains that while he and his colleagues knew that spectral-domain OCT was going to significantly improve diagnostic capability in comparison to time-domain OCT, they did not foresee how beneficial some of the other assets of the Spectralis would be. "For instance, we can get a side-by-side infrared image and OCT image of the exact same spot on the retina," says Dr. Bartsch. "That's possible with auto-fluorescence, as well, so we can get an image and pinpoint the pathology and then view the OCT image that corresponds directly with that image." Dr. Bartsch says that another useful feature is the volume scan capability. "There are times where you might be looking at an image, and you might see a very small abnormality, and wonder if that abnormality is significant, such as when you see a tiny spot of blood in a patient with non-exudative AMD," he explains.
Figure 2. A horizontal view of the HRA+OCT images showing CSR in the same patient.
While other systems may not give you the certainty that you were really capturing the anomaly, with the Spectralis' volume scan, "you can be absolutely sure because you are seeing the 2-D picture of the infrared at the same time as you are seeing what is, in essence, a look at the thickness imaging, or the depth imaging of the OCT," Dr. Bartsch adds.
DAY-TO-DAY PRACTICE
Jeffrey S. Heier, MD, of Ophthalmic Consultants of Boston, also points to volume scans as a significant advantage. "The volume scans enable us to pick up subtle disease and smaller areas of abnormality," he says. "While this may not be critical for run-of-the-mill cases, it is a tremendous advantage in the evaluation of patients with decreased vision of unknown etiology in whom small abnormalities are often missed with the [time-domain] Stratus (Carl Zeiss Meditec, Dublin, CA), but easily detected with review of the volume scan. Once detected, TruTrack allows the clinician to focus in on the same area exam after exam." Thus, doctors can be confident that treatment responses or disease progression are accurately monitored.
Dr. Heier notes that while the Spectralis will not make time-domain systems obsolete, spectral-domain systems are likely to become indispensable to the average retina practice. "Years ago, I thought that OCT would be strictly a research and clinical trial tool, and now you would be hard pressed to find a retina specialist who could function adequately without OCT. I think that spectral domain, with the ability to track exact areas from exam to exam, is going to be similar," he says. "We have a time-domain system and we have several fluorescein cameras in our clinic, but whenever I have complicated disease or questions about what the true etiology is, I routinely request the Spectralis even though it typically overloads that area of the clinic and leaves others relatively open. The more I use spectral-domain imaging, and the dual imaging of the Spectralis, the more I have come to rely on it."
Dr. Heier says that he has also been very impressed with the benefit of the autofluorescence in the evaluation of AMD patients, as well as patients with less-than-expected visual acuity relative to the apparent retinal disease. "Autofluorescence has revealed damage beyond the ophthalmoscopic or angiographic findings in several patients with whom I had not been comfortable with the apparent lack of findings and vision. The Stratus system is an outstanding tool for diagnosing retinal diseases and for managing patients when we know what the disease is and we're monitoring treatment responses, but for subtle or complicated cases it is beneficial to have a spectral-domain system," Dr. Heier says.
Figure 3. Left: HRA2 infrared view of a pigment epithelium detachment. Right: The OCT cut at the location of the green line on the HRA2 SLO showing the same pathology at the exact same location.
The information provided by the Spectralis essentially takes the guesswork out of evaluating severity of disease and identifying who is responding to therapy, its proponents say. "For the first time, we'll have quantitative maps of drusen thickness," says Dr. Cousins. "Instead of counting drusen we'll actually be able to quantify the thickness of the drusen, which will enable us to dissect the retina into RPE, Bruch's membrane, and neuro-sensory retina. When the study shows that the central thickness is less, we'll be able to tell if it is less in the retina or less in the RPE and sub-RPE," he says. In addition to the clinical benefits, Dr. Cousins says this feature will be helpful in terms of designing clinical trials to evaluate the efficacy of drugs that block atrophy and thinning of the retina.
Additionally, Dr. Cousins maintains that the Spectralis will improve the clinician's ability to correlate imaging with function. "We might be able to ascertain to what extent loss of vision is due to permanent damage to the retina, or perhaps observe that different retinal layers are intact and vision loss is possibly caused by reversible functional changes," he says. He adds that the technology may also benefit the trial design of many drugs currently in development.
GETTING A BETTER READING
Nearly 20 years' experience in imaging has provided Dr. Bartsch with some perspective on the topic of incorporating new imaging equipment in a medical practice. "I always teach my students that they need to be able to relay the critical information to the physician in about 1 to 2 minutes, because that's all the time that a physician typically has to review the data in a busy practice," he says. "The volume rendering images are very complex and I think it will take a few years for these spectral-domain OCT images to move fully from the research stage to the clinical stage. During that interim, general ophthalmologists and retinal specialists will flesh out which of the system's imaging capabilities are the ones that are most helpful."
From a practical perspective, the ability to have a patient sit at 1 station for all testing and imaging is valuable, especially with elderly patients. "The one thing that OCT does not allow you to do is dynamic studies because an OCT takes structural assessments of the eye, but it doesn't allow you to see if a region of the eye is being perfused because it doesn't do flow analysis. So, there is still a need for FA; with other systems, if you want to do a FA and an ICG, you have to have the patient physically move their head from one instrument to the other. With elderly patients that takes at least a minute," Dr. Bartsch says.
AS A RESEARCH TOOL
While the Spectralis is equally useful in private practice and academic institutions, the experts interviewed for this article say its relevance to retinal research and clinical trials is paramount. "Right now, the benefit is that you can get reproducible, quantitative measures of retinal thickness and drusen thickness, and get reproducible slices through the exact same portion of the retina," Dr. Cousins says. "So, when you're looking at a cross-section, you can be sure that if there is less fluid there, it's not an artifact because you're cutting the lesion 25 μm away from the previous cross-section. In terms of monitoring responsive therapy, the Spectralis is going to provide more accuracy, which will give you more confidence in your treatment effect," he says.
Where the real promise lies, however, is in clinical trials, according to Dr. Cousins. "Over the next 5 years, this system will revolutionize our approach to clinical trials. It will impact how the FDA evaluates endpoints," he predicts. RP







