PEER REVIEWED
Treatment of Dry AMD: The Next Frontier
AZIZ A. KHANIFAR, MD · SRILAXMI BEARELLY, MD · SCOTT W. COUSINS, MD
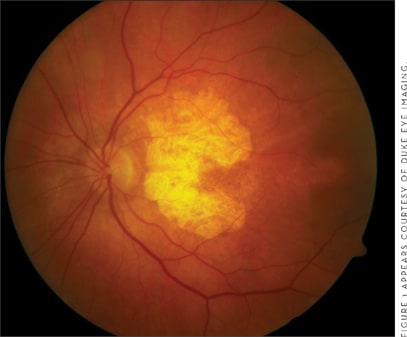
Approximately 90% of patients with age-related macular degeneration (AMD) have the non-neovascular, or dry, form, of the disease. However, the neovascular (wet) form of the disease accounts for most of the severe vision loss from AMD, and thus the vast majority of technological advances to date have been for the diagnosis and treatment of choroidal neovascularization (CNV). Much less attention has been paid to investigating the treatment of dry AMD, which can progress to either CNV or geographic atrophy (GA) (Figure 1) in its late stages. Both of these advanced stages are associated with severe vision loss.
The prevalence of GA and neovascular AMD are similar. In the United States, approximately 1.2 million individuals manifest neovascular AMD in at least 1 eye, while approximately 973,000 individuals exhibit GA in at least 1 eye.1 These prevalence rates are likely to double by 2030. Only recently has there been a shift in research focus, with more attention being given to prevention of the dry form. In this article, we review investigational treatments for late stages of dry AMD, or geographic atrophy, as well as treatment of early dry AMD to reduce the risk of progression.
TREATMENT OF LATE-STAGE AMD: GEOGRAPHIC ATROPHY
Fenretinide (Compound ST-602)
Fenretinide, or (N-[4-hydroxyphenyl]retinamide), is an oral compound that decreases serum retinol by binding to retinol-binding protein, and promotes renal clearance of retinol. This in turn decreases the bioavailability of retinol for the retinal pigment epithelium (RPE) and photoreceptors. A2E (N-retinylidene-N-retinylethanolamine), a retinoid byproduct, is a major fluorophore in lipofuscin and a significant source of RPE cytotoxicity.2 It is hypothesized that by reducing toxic retinoid byproducts of visual cycling, there will be a slowing of GA progression.
| Aziz A. Khanifar, MD, is a clinical associate of the Duke Center for Macular Diseases in Durham, NC. Srilaxmi Bearelly, MD, is assistant professor of ophthalmology at the Duke Eye Center. Scott W. Cousins, MD, is professor of ophthalmology and immunology at Duke University and director of the Duke Center for Macular Diseases. Dr. Cousins has served as a consultant for Alcon, Allergan, Genentech, and (OSI) Eyetech; and a speaker for (OSI) Eyetech/Pfizer; and he has received grant and research support from Carl Zeiss Meditec. Drs. Khanifar and Bearelly have no financial interests. Dr. Cousins can be reached at scottficousins@duke.edu. |
Figure 1. Color photograph of geographic atrophy.
Sirion Therapeutics, Inc. (Tampa, FL), is sponsoring a phase 2 trial to assess the benefit of fenretinide in the treatment of GA.3 The study group is actively recruiting patients aged 50 to 89 years with unilateral or bilateral GA from AMD who meet specific fundus autofluorescence criteria(Figure 2). Patients are being randomized to 1 of 2 doses (100 mg or 300 mg) or placebo, and they are being followed for 2 years. The primary endpoint will be the change from baseline of the total aggregated area of GA measured with color fundus photographs and fluorescein angiograms (FAs). Secondary endpoints will include the deterioration of scotoma size or depth (defined as at least 5 points/loci losing light sensitivity from baseline by a clinically significant amount as measured by microperimetry), visual acuity (VA), contrast sensitivity, reading speed, change from baseline in the area and intensity of fundus autofluorescence, and change from baseline in central retinal thickness (CRT) measured by optical coherence tomography (OCT). Target enrollment is 225 patients. Results are expected in 2009.
OT- 551
Othera Pharmaceuticals, Inc. (Exton, PA) has developed the only topical investigational therapy for dry AMD thus far.4 This eyedrop contains OT-551, a small molecule that downregulates the overexpression of the protein complex nuclear factor (NF)- B. NF- B is a transcription factor that is highly activated in times of oxidative stress, inflammation, and angiogenesis. There are 2 phase 2 2-year trials planned for patients with GA secondary to AMD.5,6 One study, sponsored by the National Eye Institute (NEI), is enrolling 50 patients aged 60 years or older with bilateral GA to receive the 0.45% dose of OT-551 3 times daily in 1 eye. The untreated fellow eye will serve as the control.5 The other study, the OMEGA (OT-551 Multicenter Evaluation of Geographic Atrophy) Study, is sponsored by Othera and is enrolling 198 patients with unilateral or bilateral GA. Subjects will receive 1 of 2 doses of OT-551 or placebo. The primary outcome measure for both studies will be change in area of GA.6
Ciliary Neurotrophic Factor
There are 2 phase 2 trials involving ciliary neurotrophic factor (CNTF) in the treatment of AMD.7,8 CNTF has been shown to slow photoreceptor degeneration in animal models of retinal degenerations9 and thus may be effective in protecting photoreceptors in AMD. The phase 2 trials utilize encapsulated cell technology (ECT) to deliver CNTF to the retina. The ECT implant has a semipermeable membrane protecting the genetically engineered cells that produce CNTF. The cells can survive for approximately 18 months following implantation into the vitreous cavity with a single scleral suture.10 Subjects are being randomized to either a "high-output," "low-output," or sham implant. The implant will be removed after 12 months, and the patients will be followed for 6 more months. One trial, sponsored by the NEI, has completed enrollment of 36 patients with GA and evaluation is ongoing. The primary outcome measure will be best corrected visual acuity (BCVA), and secondary outcome measures will be changes in GA and drusen areas.7 The other trial, sponsored by Neurotech Pharmaceuticals USA (Lincoln, RI),8 is similar to the NEI study in study design and is recruiting up to 48 patients with GA aged at least 50 years of age.
Selective RPE Laser Treatment
With regard to dry AMD, the selective RPE laser treatment (SRT) for macular diseases trial (sponsored by University of Regensburg, Germany) is investigating whether laser can slow or reverse the progression of dry AMD (as well as diabetic macular edema [DME] and central serous retinopathy [CSR]). The study group hypothesizes that this selective RPE laser will cause death of only the RPE and will be sublethal to the neighboring photoreceptors and choroid. Following the laser, it is proposed that a replenished, healthy layer of RPE will cover the atrophic area, starting in the treated spot. FA will be used to document laser absorption. They propose this treatment for both GA and drusen reduction.
Figure 2. Same eye as in Figure 1, but imaged with fundus autofluorescence. Hyperautofluorescence corresponds to areas of increased lipofuscin.
For patients with GA, an Nd:YLF (neodymium: yttrium lithium fluoride) laser is being used to apply a train of pulses of 1.7 St (100 pulses, 100 and 500 Hz) to the rim of GA in 1 eye, and the fellow eye serves as a control. To be included in the GA treatment arm of the study, patients need to have bilateral GA and VA worse than 0.1 LogMAR. The primary and secondary outcome measures will be change in VA and change in area of GA, respectively.
Patients need to have bilateral, soft, confluent drusen to be included in the drusen-reduction arm of the study. The laser is applied with similar settings as for the GA patients; however, it is applied to an area of 270° encompassing the temporal fovea, not necessarily directly to the drusen. Outcome measures will be VA and change in the amount of drusen. Recruitment of up to 60 patients (total for all maculopathies) is ongoing.11
Retinal Transplantation
Perhaps the most aggressive approach in the treatment of dry AMD is transplantation of fetal retinal tissue. At least 1 patient with retinitis pigmentosa has received a transplantation of fetal neurosensory retina and RPE subfoveally with objective visual improvement and without signs of rejection.12 This patient had an initial VA of 20/800, which reportedly improved to 20/160 after 1 year. Ocular Transplantation (Louisville, KY) is sponsoring a phase 2 trial with a target enrollment of 10 patients.13
Patients must be at least 55 years old and have a VA worse than 20/200 in the worse-seeing eye (the eye to receive the transplantation) secondary to dry AMD. Patients cannot have a history of prior CNV. Primary outcome measures will include VA, visual fields, and results of microperimetry, FA, and OCT testing. The secondary outcome measure will be the absence of signs of rejection.
Macular Translocation
A retrospective review of all patients with GA who underwent macular translocation with 360° retinectomy in 1 institution recently demonstrated the postoperative recurrence of GA. Three out of 4 patients redeveloped central GA with an outline similar to the preoperative GA.14 While these results are not encouraging, they could suggest an interesting potential retinal contribution to GA onset and progression.
PREVENTION OF ADVANCED AMD AREDS and AREDS2
The Age-Related Eye Disease Study (AREDS) Research Group reported the protective effect of vitamin supplementation with high-dose antioxidants and zinc in 2001. This study concluded that patients with either (1) extensive intermediate size drusen, (2) at least 1 large druse, (3) noncentral GA in 1 or both eyes, or (4) those with advanced AMD (central GA and/or signs of CNV) in the fellow eye (the nonstudy eye) would benefit from a supplementation consisting of vitamin C (500 mg), vitamin E (400 IU), beta carotene (15 mg), zinc oxide (80 mg), and cupric oxide (2 mg). These patients were less likely to develop advanced AMD when treated with antioxidants plus zinc, compared to those randomized to placebo (odds ratio [OR] 0.66, 99% confidence interval [CI] 0.47-0.91). However, when analyzing GA specifically, this treatment did not provide a statistically significant benefit. The lack of benefit was seen in both central (OR 0.75, 99% CI 0.45-1.24) and noncentral GA (OR 1.08, 99% CI 0.70-1.65).15 However, this formulation is now considered standard of care because it decreases the risk of progression to advanced AMD in patients with the above high-risk characteristics.
The AREDS Research Group now is enrolling patients for the AREDS2 Study.16 This a multicenter randomized trial that will assess the effect of oral supplementation of high doses of macular xanthophylls (lutein and zeaxanthin) and omega-3 long-chain polyunsaturated fatty acids (docosahexaenoic acid [DHA] and eicosapentaenoic acid [EPA]) in the prevention of advanced AMD. In addition, all subjects will either be treated with the original AREDS vitamin formulation or 3 variations of it: (1) one without beta carotene, (2) one with less zinc (25 mg), or (3) no betacarotene and less zinc. The study will enroll patients 50 to 85 years of age based on risk categories for developing advanced AMD as defined by the AREDS Simplified Severity Scale.17 Included are patients with (1) bilateral large drusen or (2) large drusen in 1 eye with advanced AMD in the fellow eye. Follow-up will be a minimum of 5 years, and total enrollment is 4000 patients. The primary outcome measure will be the incidence of progression to advanced AMD.
Anecortave Acetate
Anecortave acetate is an angiostatic cortisene administered as a posterior juxtascleral depot. This has been evaluated in the treatment of wet AMD; however, it did not meet its noninferiority endpoint when compared with photodynamic therapy (PDT) with verteporfin (Visudyne, QLT/Novartis).18 A 4-year, phase 3 trial is currently ongoing to assess the benefit of anecortave acetate in the prevention of dry AMD progression to wet AMD in those who are at high risk of progressing. Patients must have dry AMD in the study eye and wet AMD in the nonstudy eye. Eyes are randomized to 15 mg, 30 mg, or sham injection. Results for this study, to include 2500 patients, are expected in 2010.19
Laser to Drusen
The Complications of Age-Related Macular Degeneration Prevention Trial (CAPT) Research Group showed that eyes treated with laser did not benefit compared to controls in 2006. Low-intensity laser was applied in an annulus centered at the fovea without regard to drusen (ie, the laser was applied in a predetermined pattern that may or may not have included direct laser to drusen) at baseline and then again at 12 months if necessary (at which time laser was applied directly to the drusen). Both groups had the same number of eyes with vision loss at 5 years (20.5%). Similar numbers of patients in both groups developed CNV (13.3% of both groups) and GA (7.4% treated and 7.8% untreated, P=.64). Although the treated eyes did have more reduction of total drusen area than control eyes, there was no benefit found with laser treatment in the prevention of advanced AMD.20
Rheopheresis
Rheopheresis is a form of therapeutic plasma apheresis designed to remove species circulating in the blood that are larger than 25 nm (about 500 kilodaltons) using a doublestaged membrane filtration system. The intended targets include immune complexes, immunoglobulin M, beta 2-macroglobulin, fibrinogen, von Willebrand factor, lowdensity lipoprotein cholesterol, and others.21 This procedure has been proposed as a possible treatment to prevent the progression of dry AMD by improving the retinal and choroidal microcirculation. The largest study performed to assess the effectiveness of rheopheresis in dry AMD is the Multicenter Investigation of Rheopheresis for Age-related macular degeneration (MIRA-1) trial. Study patients had at least 10 soft drusen within 2 disc diameters from the foveal center and/or GA. Interpretation of the results from the MIRA-1 trial has been controversial. The sole outcome measure was LogMAR VA. At 1 year, the treated group had a LogMAR VA of 0.02 ±0.213, and the placebo patients had a VA of 0.02 ±0.20 (P=.977). This may have implied that the treatment was not effective in improving VA. However, a post hoc analysis showed that a large proportion of the subjects (37% of treated and 29% of placebo) were mistakenly included in the trial and that a number of the subjects did not receive the required number of rheopheresis treatments. When reanalyzed, the treatment arm of this "modified per protocol" group of subjects did have a statistically significant improvement in visual acuity (treated improved 0.08 ±0.166, placebo decreased 0.01 ±0.164, P=.001). Furthermore, a larger proportion of treated subjects experienced an adverse event requiring intervention (24.0%) compared to those receiving placebo (5.8%).21 Occulogix (Waltham, MA) is now recruiting patients aged 50 to 85 years for a phase 3 trial to assess the potential benefit and risk of rheopheresis for the treatment of dry AMD.22 Inclusion criteria include dry AMD with numerous soft drusen and elevation of serum cholesterol, fibrinogen, and/or serum immunoglobulin IgA. BCVA can be between 20/32 and 20/125 in the study eye. The primary outcome measure will be BCVA, and the proposed trial size is 325 subjects.
Glatiramer Acetate
Another proposed new treatment of dry AMD is a subcutaneous injection of glatiramer acetate (Copaxone, Teva Pharmaceutical Industries). This medication, commonly used in multiple sclerosis, increases the proportion of T helper 2 lymphocytes, which in contrast to T helper 1 cells, are anti-inflammatory in nature.23 It has been proposed that these glatiramer–acetate-specific T helper 2 cells would produce cytokines such as interleukin (IL)-4 and reduce amyloid-induced retinal microglial cytotoxicity in AMD. A clinical trial is actively recruiting patients aged older than 50 years with bilateral dry AMD.24
CONCLUSION
Achieving successful treatment of dry AMD at the level seen in wet AMD will be challenging. However, these new investigational medical and surgical treatments for dry AMD offer hope to many patients who suffer from this disease. In the meantime, it has to be emphasized that visual rehabilitation with a trained professional can significantly improve visual function. Appropriate lighting and magnification can potentially be of immense help with performing activities of daily living. RP
REFERENCES
- Friedman DS, O'Colmain BJ, Munoz B, et al; Eye Diseases Prevalence Research Group. Prevalence of age-related macular degeneration in the United States. Arch Ophthalmol. 2004;122:564-572.
- Radu RA, Han Y, Bui TV, et al. Reductions in serum vitamin A arrest accumulation of toxic retinal fluorophores: a potential therapy for treatment of lipofuscinbased retinal diseases. Invest Ophthalmol Vis Sci. 2005;46:4393-4401.
- Study of fenretinide in the treatment of geographic atrophy associated with age-related macular degeneration. ClinicalTrials.gov Web site. http://www.clinicaltrials.gov/ct/show/NCT00429936?order=1. Accessed October 3, 2007.
- Mechanism of action. Othera Pharmaceuticals Inc. Web site. http://www.othera.com/technology.html. Accessed October 3, 2007.
- OT-551 antioxidant eye drops to treat geographic atrophy in age-related macular degeneration. ClinicalTrials.gov Web site. http://www.clinicaltrials.gov/ct/show/NCT00306488?order=1. Accessed October 3, 2007.
- The OMEGA Study: Use of eye drops to treat geographic atrophy associated with age-related macular degeneration (dry AMD). ClinicalTrials.gov Web site. http://www.clinicaltrials.gov/ct/show/NCT00485394?order=1. Accessed October 3, 2007.
- A phase II study of implants of encapsulated human NTC-201 cells releasing ciliary neurotrophic factor (CNTF) in participants with visual acuity impairment associated with atrophic macular degeneration. ClinicalTrials.gov Web site. http://www.clinicaltrials.gov/ct/show/NCT00277134?order=2. Accessed October 3, 2007.
- A study of an encapsulated cell technology (ECT) implant for patients with atrophic macular degeneration. ClinicalTrials.gov Web site. http://www.clinicaltrials.gov/ct/show/NCT00447954?order=1. Accessed October 3, 2007.
- LaVail MM, Yasumura D, Matthes MT, et al. Protection of mouse photoreceptors by survival factors in retinal degenerations. Invest Ophthalmol Vis Sci. 1998;39:592-602.
- ECT Technology. Neurotech Web site. http://www.neurotechusa.com/product_tech.asp. Accessed on October 3, 2007.
- Selective RPE laser treatment (SRT) for various macular diseases. ClinicalTrials.gov Web site. http://www.clinicaltrials.gov/ct/show/NCT00403884?order=1. Accessed October 3, 2007
- Radtke ND, Aramant RB, Seiler MJ, Petry HM, Pidwell D. Vision change after sheet transplant of fetal retina with retinal pigment epithelium to a patient with retinitis pigmentosa. Arch Ophthalmol. 2004;122:1159-1165.
- Safety study in retinal transplantation for dry age related macular degeneration. ClinicalTrials.gov Web site. http://www.clinicaltrials.gov/ct/show/NCT00346060?order=2. Accessed October 3, 2007.
- Cahill MT, Mruthyunjaya P, Bowes Rickman C, Toth CA. Recurrence of retinal pigment epithelial changes after macular translocation with 360 degrees peripheral retinectomy for geographic atrophy. Arch Ophthalmol. 2005; 123:935-938.
- Age-related eye disease study research group. A randomized, placebo-controlled, clinical trial of high-dose supplementation with vitamins C and E, beta carotene, and zinc for age-related macular degeneration and vision loss: AREDS report no. 8. Arch Ophthalmol. 2001;119:1417-1436.
- Age-related eye disease study 2 (AREDS2). ClinicalTrials.gov Web site. http://www.clinicaltrials.gov/ct/show/NCT00345176?order=1. Accessed October 3, 2007.
- Ferris FL, Davis MD, Clemons TE, et al. A simplified severity scale for agerelated macular degeneration: AREDS Report No. 18. Arch Ophthalmol. 2005; 123:1570-1574.
- Slakter JS, Bochow TW, D'Amico DJ, Marks B, Jerdan J, Sullivan EK; Anecortave Acetate Clinical Study Group. Anecortave acetate (15 milligrams) versus photodynamic therapy for treatment of subfoveal neovascularization in age-related macular degeneration. Ophthalmology. 2006;113:3-13.
- Anecortave acetate risk-reduction trial (AART). ClinicalTrials.gov Web site. http://www.clinicaltrials.gov/ct/show/NCT00307398?order=2. Accessed October 3, 2007.
- Complications of Age-Related Macular Degeneration Prevention Trial Research Group. Laser treatment in patients with bilateral large drusen: the complications of age-related macular degeneration prevention trial. Ophthalmology. 2006;113:1974-1986.
- Pulido JS, Winters JL, Boyer D. Preliminary analysis of the final multicenter investigation of rheopheresis for age related macular degeneration (AMD) trial (MIRA-1) results. Trans Am Ophthalmol Soc. 2006;104:221-231.
- Safety and effectiveness investigation for dry, non-exudative age related macular degeneration (AMD) using rheopheresis (RHEO-AMD). ClinicalTrials.gov Web site. http://www.clinicaltrials.gov/ct/show/NCT00460967?order=1. Accessed October 3, 2007.
- Yong VW. Differential mechanisms of action of interferon-beta and glatiramer acetate in MS. Neurology. 2002;59:802-808.
- Copaxone in age-related macular degeneration. ClinicalTrials.gov Web site. http://www.clinicaltrials.gov/ct/show/NCT00466076?order=1. Accessed October 3, 2007.







