A CARL ZEISS MEDITEC CASE REPORT SERIES
Presented by Jay S. Duker, M.D., professor and chair of the New England Eye Center, Tufts-New England Medical Center, Tufts University School of Medicine, Boston
Detecting an Elusive Cause For Macular Edema
The patient
A 76-year-old woman with a 15-year history of Type 2 diabetes was referred for evaluation for macular edema OU. Her best-corrected visual acuity was 20/200 OD and 20/400 OS. Clinical examination showed moderate background diabetic retinopathy with an epiretinal membrane (ERM) OD. Macular edema without ERM or exudate was seen OS. In addition, few microaneurysms were apparent OS (Figure 1).
Fluorescein angiography (FA) showed mild late leakage in the macula OS (Figure 2). Neither the clinical exam nor the fluorescein angiogram offered an explanation for the macular edema OS.
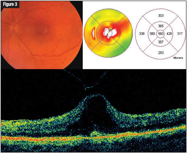
Stratus OCT diagnosis
To determine the cause of the macular edema, we used the Stratus OCT. The results showed that the patient had vitreomacular traction syndrome OS (Figure 3).
Treatment and outcome
We performed a pars plana vitrectomy with peeling of the adherent posterior hyaloid and the secondary underlying ERM in her left eye. At the patient's 1-year follow-up visit, her visual acuity had improved to 20/40 OS. OCT showed complete resolution of the vitreomacular traction (Figure 4), although a lamellar hole was present OS.
Discussion
This case demonstrates how critical OCT is in diagnosing a clinical condition that otherwise may have gone undetected using standard diagnostic tools. OCT identified the patient's problem quickly and guided our treatment decision, which ultimately led to a successful visual outcome.







