In November 2024, the US Food and Drug Administration (FDA) authorized the marketing of the Valeda Light Delivery System (LumiThera/Alcon) for the treatment of patients with dry age-related macular degeneration (AMD) using photobiomodulation (PBM). The authorization followed the results of the LIGHTSITE III randomized clinical trial,1 which showed a statistically significant improvement in best-corrected visual acuity (BCVA) in the PBM group vs sham at 13 months.
Theoretically, during PBM, the absorption of photon light energy by chromophores within cells stimulates mitochondria, increasing mitochondrial ATP production, and modulates reactive oxygen species, reducing inflammation. Based on this, PBM has historically been used to accelerate wound healing and promote pain relief. PBM is also being explored for treatment of neurodegenerative diseases.
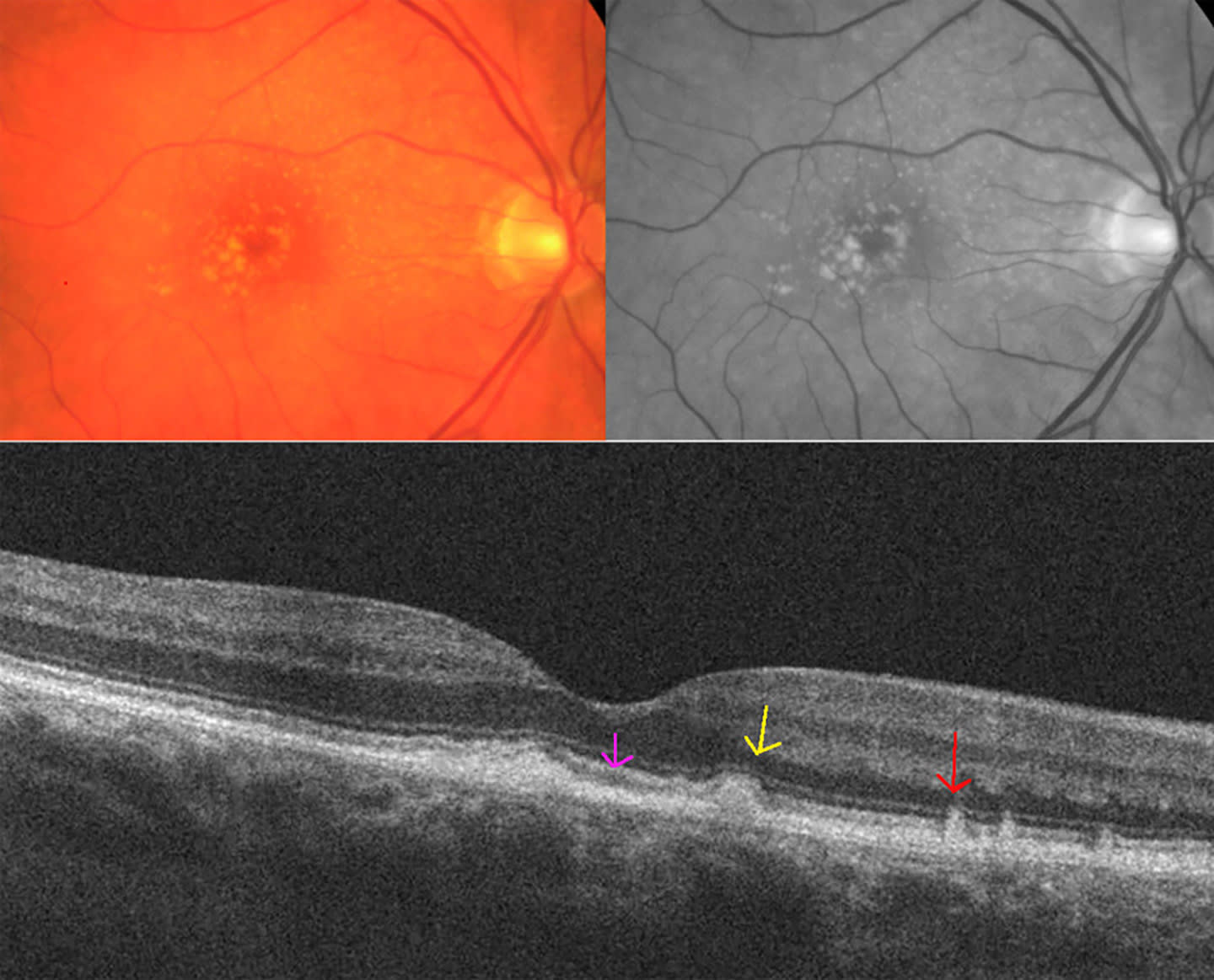
Figure 1. Intermediate age-related macular degeneration. Color (A) and red-free (B) macular images of the right eye showing large macular drusen and reticular pseudodrusen (subretinal drusenoid deposits), without evidence of atrophy or macular neovascularization. Optical coherence tomography (C) demonstrates large drusen beneath the retinal pigment epithelium (yellow arrow) and subretinal drusenoid deposits above the retinal pigment epithelium (red arrow). The foveal ellipsoid zone (purple arrow) is intact, with no signs of complete retinal pigment epithelium and outer retinal atrophy (cRORA), incomplete retinal pigment epithelium and outer retinal atrophy (iRORA), or macular neovascularization.
In the retina, mitochondria play a critical role in normal vision physiology. Therefore, PBM-stimulated mitochondrial ATP production in the retina may be beneficial. The mitochondrial-rich region between the inner segment and outer segment of the photoreceptors is the ellipsoid zone. The integrity of the ellipsoid zone, demonstrable on macular optical coherence tomography (OCT), is an important biomarker reflecting the health of the photoreceptors.
In the study tailored for FDA authorization of ocular PBM for dry AMD, the LIGHTSITE III trial, intermediate AMD study patients received treatment consisting of ocular exposure to yellow (590 nm; 4 mW/cm2; 2×35 seconds), red (660 nm; 65 mW/cm2; 2×90 seconds), and near-infrared (850 nm; 0.6 mW/cm2; 2×35 seconds) light in a series of 9 sessions over 3 to 5 weeks. In the 24-month study, 6 treatment series were delivered every 4 months.
The LIGHTSITE III trial was a double-masked, sham-controlled study enrolling patients with intermediate dry AMD with or without nonfoveal geographic atrophy (GA). One-hundred forty-eight eyes (54 sham, 91 PBM) in 100 patients were included. At the 13-month prespecified primary analysis point (after 4 series of treatments), the PBM arm gained a mean of 5.4 ETDRS letters, whereas the sham arm gained 3.0 letters (P=.02). The 24-month data showed the PBM group gained a mean of 5.9 letters while the sham group gained a mean of 1.0 letters.
In terms of anatomy, no change in subretinal pigment epithelial macular drusen volume was seen in PBM-treated eyes (0.006 mm3). However, an increase was seen in the sham group (0.049 mm3). The occurrence of new GA was significantly higher in the sham vs PBM group. New GA was seen in only 1 of 87 PBM-treated eyes vs 5 of 50 in the sham-treated eyes (P=.024).
These results are encouraging, but there are some important issues to consider before drawing definitive conclusions. Nearly half of the gains in both groups occurred in the first month, raising the question as to whether the overall gains represented a true treatment effect.2 In addition, although statistically significant, these absolute improvements are small, considering that 5 letters equals a Snellen line. In addition, the sham group was older than the treatment group on average (77 years vs 74 years) and baseline vision was slightly worse (20/40) than would be expected (20/25) in this group. Could the results simply have represented regression to the mean?
Regarding safety, a favorable safety profile was reported in LIGHTSITE III. In other studies, PBM used for myopia in younger individuals has been reported to be associated with phototoxicity, although rarely.3 The few numbers of patients in the LIGHTSITE III study may not have been sufficient to expose the toxicity issue.
Subsequently, LIGHTSITE IIIB was an open-label, prospective extension study on the continued usage of PBM in 36 patients (63 eyes in 3 groups: 39 previously treated, 15 previous sham, and 9 “nonstudy” eyes) that had previously participated in the 24-month LIGHTSITE III study. There was a long interval between the end of LIGHTSITE III and this extension study: an average of 599 days. Each group experienced vision loss (2 to 6 letters) between LIGHTSITE III and LIGHTSITE IIIB. Then, interestingly, at month 5, following 2 PBM treatment series, all groups gained vision (between 0.5 and 5 letters). After 8 series of PBM treatment, and 3.7 years after treatment initiation, the PBM group had a mean gain of 5.5 letters.4
These issues raise the question: can PBM deliver on the promising results seen in LIGHTSITE III and LIGHTSITE IIIB? Should retina specialists plan to incorporate this FDA-authorized PBM into their treatment paradigm for dry AMD? If so, given the frequency of treatment, how should the treatment be delivered? For this installment of Controversies in Care, we are fortunate to have commentary regarding PBM from a pair of respected retina specialists: Tiago Rassi, MD, and Daniel M. Berinstein, MD.
More Data Are Needed Before Adoption of Photobiomodulation
Tiago Rassi, MD
Major systematic reviews have contributed to answering the question of whether PBM should be employed for treating drusen (intermediate AMD). There are 5 core points in this discussion: efficacy, clinical relevance, study size, endpoint adequacy, and study quality.
Three systematic reviews have now synthesized the results of the randomized controlled trials (RCTs) evaluating efficacy of PBM for intermediate AMD.5-7 Together, they highlight a recurring pattern of fragile data and limited reproducibility. Across studies, PBM has failed to demonstrate meaningful anatomic improvement in drusen volume or progression of geographic atrophy (GA). Concerning BCVA, our meta-analysis was the only 1 out of the 3 that reported a statistically significant mean difference in BCVA (+1.76 ETDRS letters vs sham); however, it was below the accepted minimal clinically important difference (MCID) of 5 letters.5
When assessing the clinical relevance of the findings, the apparent improvement in vision shown by PBM trials loses strength. In intermediate AMD, visual acuity naturally fluctuates. A landmark study by Patel et al demonstrated that even in untreated eyes, BCVA can vary by as much as 9 ETDRS letters over a 3-month interval, which is significantly higher than the 5-letter gain observed in the LIGHTSITE III trial.8 Such inherent variability raises doubts about whether the small visual gains attributed to PBM reflect a genuine therapeutic effect or merely noise within the expected intersession variability.
Equally important is the limited statistical power of the available studies. All PBM trials enrolled relatively small cohorts, and most were underpowered to detect clinically significant differences. This weakness was further confirmed by the trial sequential analysis (TSA) employed in our meta-analysis. For instance, we found that the number of eyes required for statistical inference in the BCVA outcome was 555 eyes, significantly higher than the number of eyes available in the literature (in total, the 3 PBM trials included 241 eyes).5 The trials were also short in duration, providing little insight into durability or long-term structural protection. This limitation makes it difficult to draw confident conclusions or to generalize the results to the broader population of patients with intermediate AMD.
Beyond sample size, questions arise regarding the adequacy of the primary endpoints themselves. Most PBM studies have used visual acuity as the primary measure of efficacy. While BCVA is a well-established endpoint in exudative AMD, its sensitivity and reliability in drusen-predominant disease are limited. Drusen load and early atrophic changes often produce subtle, nonlinear changes in function that BCVA cannot capture. Moreover, as shown in natural history data, patients with large drusen may retain 20/25 vision for a decade if they do not progress to advanced AMD. Thus, relying on BCVA to assess a treatment aimed at modifying drusen biology may not accurately reflect efficacy. Future studies should prioritize more sensitive endpoints, such as dark adaptation, microperimetry, or validated structural biomarkers, over standard visual acuity measures.
The quality of evidence further tempers enthusiasm. Two of the 3 meta-analyses rated all included RCTs as high risk of bias using the Cochrane RoB-2 tool.7 Masking integrity, incomplete data, and deviations from intended interventions were frequent concerns. Additionally, several trials were sponsored by industry, featuring overlapping investigator teams and manufacturer involvement in study design and data analysis. The Cochrane review explicitly cited potential conflicts of interest between principal investigators and the device manufacturer, raising legitimate concerns about objectivity. These issues collectively diminish the credibility of the reported outcomes and underscore the need for independent replication.
Taken together, these factors suggest that the current body of evidence does not yet support PBM as an evidence-based treatment for dry AMD. The therapy appears safe in the short term, but its efficacy remains unproven. The FDA’s 2024 de novo authorization for the Valeda Light Delivery System should not be interpreted as clinical validation. FDA 510(k) clearance indicates safety and technical innovation, not demonstration of therapeutic benefit.
At present, the efficacy of PBM treatment remains to be confirmed by large, independent, high-quality RCTs with appropriate endpoints. Until such data emerge, retina specialists should exercise caution when incorporating PBM into clinical practice or promoting it to patients, particularly given its high cost. The scientific rigor that has guided modern retinal therapeutics must also guide the evaluation of novel technologies.
PBM Merits Thoughtful Use and Further Study
Daniel M. Berinstein, MD
Over the years, many innovations in retina have fundamentally transformed patient care, whereas others that initially appeared promising were later found to have limited clinical benefit or raised safety concerns. PBM is a well-established therapeutic modality in medicine9 that received FDA authorization in 2024 for the treatment of dry AMD. The results of the LIGHTSITE III trial are encouraging,1,2 but also raise important questions regarding treatment efficacy and safety.
We don’t yet have definitive answers as to whether PBM will ultimately deliver on these early LIGHTSITE III results. However, this absence of certainty should not deter continued investigation and usage of this technology. Currently, there are no effective treatments for intermediate dry AMD. The LIGHTSITE III study results indicated improvement in vision and a reduced incidence of GA in PBM-treated eyes compared to sham controls. Other observational reports have suggested a reduction in drusen size and changes in drusen morphology on posttreatment OCT imaging.2 More recently, a report suggested PBM may improve choriocapillaris perfusion, with a 3.1% decrease in flow deficit percentage correlating with visual improvement.10 Although the clinical relevance of these anatomic changes and their translation to visual outcomes remain uncertain, these findings support the need for continued investigation.
FDA authorization indicates that the device underwent a formal regulatory review for a defined indication, permitting retina specialists to offer this novel, nonexperimental therapy to select patients with dry AMD. With these considerations in mind, how should the retina specialist incorporate this therapy into the treatment paradigm for dry AMD? One approach is to use the LIGHTSITE III inclusion criteria as a practical framework to guide clinicians in patient selection. These criteria include:
- Visual acuity between 20/30 and 20/70;
- Presence of ≥3 medium drusen or 1 large drusen, or noncentral GA; and
- Absence of choroidal neovascularization or central GA.
In our practice, we use these criteria to integrate PBM into the management of dry AMD. Patients undergo a comprehensive examination—including OCT, fundus photography, fundus autofluoresence, and vision-related quality of life assessment—prior to their first treatment cycle, and additionally between cycles. Our objective is to collect sufficient real-world data and share these findings with the retina community to advance broader understanding of PBM.
The time commitment required to complete a full treatment cycle is substantial, with 9 treatment visits over a 5-week period. Nevertheless, eligible patients are often highly motivated, particularly those who are symptomatic or who have more advanced disease in one eye. Patients should be counseled that intermittent dry AMD is a chronic, progressive disease and that, similar to complement inhibitors used to slow GA progression, PBM may potentially require ongoing treatment, with benefits becoming more apparent over time compared with observation alone.
To conclude, not all advancements follow a straightforward path to acceptance. When macular hole surgery was introduced in the early 1990s, it was met with considerable skepticism and frequent criticism. With continued investigation and a deeper understanding of the underlying pathophysiology, macular hole surgery ultimately emerged as an established treatment for a previously untreatable, blinding condition. Although the full story of PBM has yet to be written, current evidence is sufficiently promising to justify its continued investigation to determine its viability as a long-term therapy for a chronic condition in which no effective treatments currently exist. RP
References
1. Boyer D, Hu A, Warrow D, et al. LIGHTSITE III: 13-month efficacy and safety evaluation of multiwavelength photobiomodulation in nonexudative (dry) age-related macular degeneration using the Lumithera Valeda light delivery system. Retina. 2024;44(3):487-497. doi:10.1097/IAE.0000000000003980
2. Sadda SR. Photobiomodulation for age-related macular degeneration. JAMA Ophthalmol. 2025;143(3):195-196. doi:10.1001/jamaophthalmol.2025.0077
3. Liu H, Yang Y, Guo J, Peng J, Zhao P. Retinal damage after repeated low-level red-light laser exposure. JAMA Ophthalmol. 2023;141(7):693-695. doi:10.1001/jamaophthalmol.2023.1548
4. Do DV, Nguyen QD, Rosen R, et al. LIGHTSITE IIIB: An open-label, prospective, multi-center extension study to assess the long-term safety and efficacy of photobiomodulation in dry age-related macular degeneration. Invest Ophthalmol Vis Sci. 2025;66(6):4589.
5. Rassi TNO, Barbosa LM, Pereira S, et al. Photobiomodulation efficacy in age-related macular degeneration: a systematic review and meta-analysis of randomized clinical trials. Int J Retina Vitreous. 2024;10(1):54. doi:10.1186/s40942-024-00569-x
6. Chen KY, Lee HK, Chan HC, Chan CM. Is multiwavelength photobiomodulation effective and safe for age-related macular degeneration? a systematic review and meta-analysis. Ophthalmol Ther. 2025;14(5):969-987. doi:10.1007/s40123-025-01119-w
7. Henein C, Steel DH. Photobiomodulation for non-exudative age-related macular degeneration. Cochrane Database Syst Rev. 2021;5(5):CD013029. doi:10.1002/14651858.CD013029.pub2
8. Patel PJ, Chen FK, et al. Intersession repeatability of visual acuity in age-related macular degeneration. Invest Ophthalmol Vis Sci. 2008;49(9):4347-4351.
9. Hamblin MR. Photobiomodulation or low-level laser therapy. J Biophotonics. 2016;9(11-12):1122-1124. doi:10.1002/jbio.201670113
10. Viggiano P, Boscia G, Clemente A, et al. Photobiomodulation-induced choriocapillaris perfusion enhancement and outer retinal remodelling in intermediate age-related macular degeneration: a promising therapeutic approach with short-term results. Eye (Lond). 2025;39(10):2057-2063. doi:10.1038/s41433-025-03805-2







