Retinal astrocytic hamartoma (RAH) and retinal capillary hemangioblastoma (RCH) are typical features of tuberous sclerosis complex (TSC) and von Hippel-Lindau disease (VHL), respectively.1 Although benign RAH can be observed in most cases, some cases require treatment due to vision-threatening growth or exudation. RCH is generally treated early before complications arise. Traditional ablative therapies include laser photocoagulation, photodynamic therapy (PDT), cryotherapy, and radiation. Intravitreal
anti–vascular endothelial growth factor (anti-VEGF) therapy may help to control exudation in some cases.2,3 Emerging systemic therapies, such as mechanistic target of rapamycin (mTOR) inhibitors for aggressive RAH and hypoxia-inducible factor-2 alpha (HIF-2α) inhibitors for RCH may provide potential alternatives for achieving tumor control.
mTOR Inhibitors for RAH
The rationale for using mTOR inhibitors to treat aggressive RAH stems from the fact that mutations in the TSC1 and TSC2 genes lead to constitutive activation of the mTOR pathway and subsequent development of TSC-related tumors. Inhibition of this pathway has evolved as first-line therapy for several TSC-related tumors, such as subependymal giant cell astrocytoma (SEGA), renal angiomyolipoma, and lymphangioleiomyomatosis.1,4-6 Indeed, 14% to 25% regression in RAH thickness has been observed in patients taking mTOR inhibitors for other TSC-related tumors.7-11 Furthermore, the histopathology from enucleated eyes with aggressive RAH is nearly identical to that of SEGA, a tumor for which mTOR inhibitors are already approved.12,13
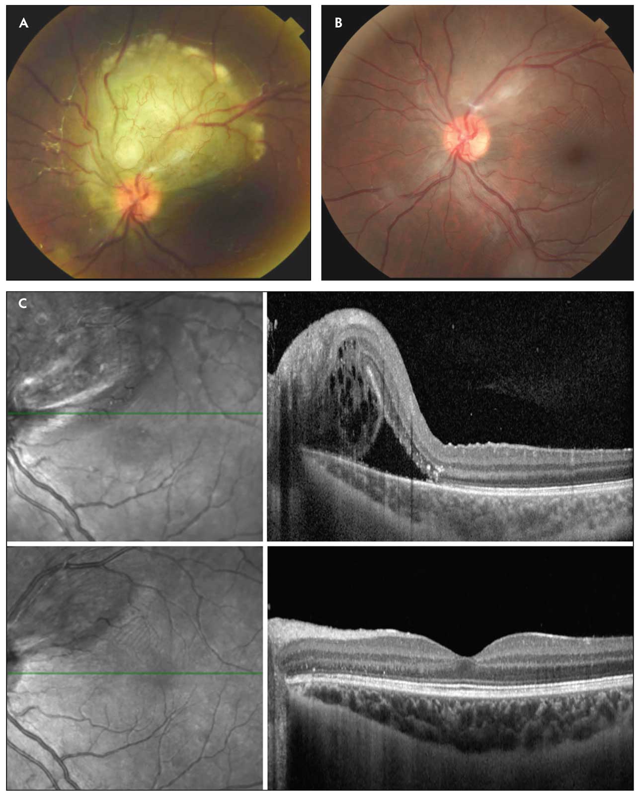
Figure 1. A 16-year-old female with tuberous sclerosis complex presented with an aggressive, rapidly growing retinal astrocytic hamartoma despite 6 intravitreal anti-VEGF treatments administered monthly (A). Sirolimus (2 mg/day) was initiated. At 20 months follow-up, near complete regression of the tumor was observed (B). The initial exudation present on optical coherence tomography (C, top panel) completely resolved with mTOR therapy (C, lower panel). The patient’s visual acuity improved from 20/30 at baseline to 20/20 with treatment. Image courtesy Mary E. Aronow, MD.
Early Clinical Observations
Most RAH exhibit minimal to no growth over time and therefore do not require treatment. For aggressive RAH, mTOR inhibitors offer an attractive, noninvasive alternative to traditional ablative therapies.1,14-16 Early evidence using mTOR inhibitors to treat aggressive RAH is encouraging.17,18 A 13-month male with TSC-related RAH with serous retinal detachment initially failed treatment with intravitreal anti-VEGF therapy and 810 nm diode laser.17 Everolimus was initiated at 2 mg/day (3.3 mg/m2/day) and titrated to 5 mg/day. After 13 months, the largest basal tumor dimension decreased from 8.1 mm to 5.9 mm (26.9%) and thickness decreased from 4.5 mm to 2.7 mm (39.6%).17 Another 5 patients with aggressive TSC-related RAH also demonstrated response to mTOR inhibitors (Figure 1).18
HIF-2α Inhibitors for Retinal Capillary Hemangioblastoma
In VHL disease, HIF-2α accumulates, moves into the nucleus, and interacts with HIF-1β, forming a complex that induces cellular proliferation, angiogenesis, and tumor growth. Belzutifan, a small molecule inhibitor of HIF-2α acts by binding to HIF-2α and preventing the interaction of HIF-2α with HIF-1β, resulting in reduced expression of HIF-2α target genes and VHL-related tumors. Belzutifan is currently approved for VHL-related renal cell carcinoma (RCC), central nervous system (CNS) hemangioblastoma, and pancreatic neuroendocrine tumor. The rationale for using a HIF-2α inhibitor for RCH is based on the strong histopathologic correlation with CNS hemangioblastoma and observed efficacy in many other VHL-related tumors.19,20
Figure 2. Color fundus photograph of the right eye demonstrating large retinal capillary hamartoma with exudative retinal detachment (A, B). After 7 months following initiation of belzutifan, the tumor decreased in size and degree of exudative retinal detachment (C, D). Reprinted with permission from Ercanbrack CW, Elhusseiny AM, Sanders RN, Santos Horta E, Uwaydat SH. Belzutifan-induced regression of retinal capillary hemangioblastoma: a case-series. Am J Ophthalmol Case Rep. 2024;33:102011. doi:10.1016/j.ajoc.2024.102011.
Early Clinical Observations
Early evidence suggests a beneficial effect of belzutifan for RCH.21-30 In the phase 2 clinical trial (NCT03401788), patients with RCC received belzutifan dosed at 120 mg per day. Color fundus photography was obtained in 16 patients (29 eyes) with at least 1 RCH. After a median follow-up of 69 weeks, 16 of 29 eyes (55%) were improved, 12 of 29 eyes (41%) were stable, and 1 of 29 eyes (3%) could not be evaluated due to image quality. No progression or new RCH developed on study.31,32 In another case series of 3 patients with RCH, belzutifan resulted in size reduction allowing for consolidation with laser photocoagulation in 2 patients. The third patient had no light perception vision and a large RCH occupying an area of 10.3 mm2. After 7 months, the tumor area decreased to 5.5 mm2 (Figure 2).33 Similar favorable response has been reported in additional cases.34-36
Although most RCH can be managed with currently available therapies, treatment with belzutifan offers several advantages. It is a noninvasive oral therapy and, when initiated for other VHL-related tumors, it may be useful for inducing RCH regression and therefore reducing the amount of laser energy or subsequent degree of other ablative treatment required to achieve tumor consolidation. Currently, obtaining belzutifan on a compassionate use basis solely for the treatment of RCH in the absence of another FDA-approved indication remains a challenge and limits its utility as a primary therapy. Further evidence is needed in this area as more experience is gained with belzutifan use in this patient population.
Conclusions and Future Directions
Newer systemic therapies including mTOR inhibitors and HIF-2α inhibitors have emerged as potential treatment options for benign retinal tumors. As our understanding of these tumors continues to evolve, newer targets will be identified. Ultimately, the goal is to develop precision-based and noninvasive therapies, which will be transformational in the field of ocular oncology. RP
References
1. Northrup H, Aronow ME, Bebin EM, et al. Updated international tuberous sclerosis complex diagnostic criteria and surveillance and management recommendations. Pediatr Neurol. 2021;123:50-66. doi:10.1016/j.pediatrneurol.2021.07.011
2. Ahmad KT, Mansour HA, Rollins BT, Oviedo SP, Phillips PH, Uwaydat SH. Long-term outcome and histologic findings of a retinal astrocytic hamartoma treated with intravitreal injection of anti-VEGF: a case report. Case Rep Ophthalmol Med. 2021;2021:7500791. doi:10.1155/2021/7500791
3. Allan KC, Hua HU, Singh AD, Yuan A. Rapid symptomatic and structural improvement of a retinal astrocytic hamartoma in response to anti-VEGF therapy: a case report. Am J Ophthalmol Case Rep. 2022;27:101606. doi:10.1016/j.ajoc.2022.101606
4. Franz DN, Belousova E, Sparagana S, et al. Efficacy and safety of everolimus for subependymal giant cell astrocytomas associated with tuberous sclerosis complex (EXIST-1): a multicentre, randomised, placebo-controlled phase 3 trial [published correction appears in Lancet. 2013;381(9861):116]. Lancet. 2013;381(9861):125-132. doi:10.1016/S0140-6736(12)61134-9
5. Pollack SF, Geffrey AL, Thiele EA, Shah U. Primary intestinal lymphangiectasia treated with rapamycin in a child with tuberous sclerosis complex (TSC). Am J Med Genet A. 2015;167A(9):2209-2212. doi:10.1002/ajmg.a.37148
6. Aronow ME, Nakagawa JA, Gupta A, Traboulsi EI, Singh AD. Tuberous sclerosis complex: genotype/phenotype correlation of retinal findings. Ophthalmology. 2012;119(9):1917-1923. doi:10.1016/j.ophtha.2012.03.020
7. Zhang ZQ, Shen C, Long Q, et al. Sirolimus for retinal astrocytic hamartoma associated with tuberous sclerosis complex. Ophthalmology. 2015;122(9):1947-1949. doi:10.1016/j.ophtha.2015.03.023
8. Marciano S, Mutolo MG, Siracusano M, Moavero R, Curatolo P, Emberti Gialloreti L. Everolimus for retinal astrocytic hamartomas in tuberous sclerosis complex. Ophthalmol Retina. 2018;2(3):257-260. doi:10.1016/j.oret.2017.08.005
9. Zipori AB, Tehrani NN, Ali A. Retinal astrocytoma regression in tuberous sclerosis patients treated with everolimus. J AAPOS. 2018;22(1):76-79. doi:10.1016/j.jaapos.2017.08.009
10. Vorobichik Berar O, Tzadok M, Zloto O, et al. Mammalian target of rapamycin inhibitors for the treatment of astrocytic hamartoma in tuberous sclerosis complex (TSC). Graefes Arch Clin Exp Ophthalmol. 2022;260(9):3061-3068. doi:10.1007/s00417-022-05585-x
11. Zhang CX, Xu KF, Long Q, et al. Long-term efficacy and safety of sirolimus for retinal astrocytic hamartoma associated with tuberous sclerosis complex. Front Cell Dev Biol. 2022;10:973845. doi:10.3389/fcell.2022.973845
12. Margo CE, Barletta JP, Staman JA. Giant cell astrocytoma of the retina in tuberous sclerosis. Retina. 1993;13(2):155-159. doi:10.1097/00006982-199313020-00013
13. Shields JA, Eagle RC Jr, Shields CL, Marr BP. Aggressive retinal astrocytomas in four patients with tuberous sclerosis complex. Trans Am Ophthalmol Soc. 2004;102:139-148.
14. Krueger DA, Care MM, Holland K, et al. Everolimus for subependymal giant-cell astrocytomas in tuberous sclerosis. N Engl J Med. 2010;363(19):1801-1811. doi:10.1056/NEJMoa1001671
15. McCormack FX, Inoue Y, Moss J, et al. Efficacy and safety of sirolimus in lymphangioleiomyomatosis. N Engl J Med. 2011;364(17):1595-1606. doi:10.1056/NEJMoa1100391
16. Kaplan B, Qazi Y, Wellen JR. Strategies for the management of adverse events associated with mTOR inhibitors. Transplant Rev (Orlando). 2014;28(3):126-133. doi:10.1016/j.trre.2014.03.002
17. Nallasamy N, Seider MI, Gururangan S, Mruthyunjaya P. Everolimus to treat aggressive retinal astrocytic hamartoma in tuberous sclerosis complex. J AAPOS. 2017;21(4):328-331. doi:10.1016/j.jaapos.2017.04.012
18. Wu F, McGarrey MP, Geenen KR, et al. Treatment of aggressive retinal astrocytic hamartoma with oral mechanistic target of rapamycin inhibition. Ophthalmol Retina. 2022;6(5):411-420. doi:10.1016/j.oret.2022.01.003
19. Singh AD, Nouri M, Shields CL, Shields JA, Smith AF. Retinal capillary hemangioma: a comparison of sporadic cases and cases associated with von Hippel-Lindau disease. Ophthalmology. 2001;108(10):1907-1911. doi:10.1016/s0161-6420(01)00758-8
20. Aronow ME, Wiley HE, Gaudric A, et al. Von Hippel-Lindau disease: update on pathogenesis and systemic aspects. Retina. 2019;39(12):2243-2253. doi:10.1097/IAE.0000000000002555
21. Singh AD, Shields CL, Shields JA. von Hippel-Lindau disease. Surv Ophthalmol. 2001;46(2):117-142. doi:10.1016/s0039-6257(01)00245-4
22. Schmidt-Erfurth UM, Michels S, Kusserow C, Jurklies B, Augustin AJ. Photodynamic therapy for symptomatic choroidal hemangioma: visual and anatomic results. Ophthalmology. 2002;109(12):2284-2294. doi:10.1016/s0161-6420(02)01454-9
23. Singh AD, Nouri M, Shields CL, Shields JA, Perez N. Treatment of retinal capillary hemangioma. Ophthalmology. 2002;109(10):1799-1806. doi:10.1016/s0161-6420(02)01177-6
24. Wong WT, Liang KJ, Hammel K, Coleman HR, Chew EY. Intravitreal ranibizumab therapy for retinal capillary hemangioblastoma related to von Hippel-Lindau disease. Ophthalmology. 2008;115(11):1957-1964. doi:10.1016/j.ophtha.2008.04.033
25. Sachdeva R, Dadgostar H, Kaiser PK, Sears JE, Singh AD. Verteporfin photodynamic therapy of six eyes with retinal capillary haemangioma. Acta Ophthalmol. 2010;88(8):e334-e340. doi:10.1111/j.1755-3768.2010.02008.x
26. Turell ME, Singh AD. Vascular tumors of the retina and choroid: diagnosis and treatment. Middle East Afr J Ophthalmol. 2010;17(3):191-200. doi:10.4103/0974-9233.65486
27. Gaudric A, Krivosic V, Duguid G, Massin P, Giraud S, Richard S. Vitreoretinal surgery for severe retinal capillary hemangiomas in von Hippel-Lindau disease. Ophthalmology. 2011;118(1):142-149. doi:10.1016/j.ophtha.2010.04.031
28. Papastefanou VP, Pilli S, Stinghe A, Lotery AJ, Cohen VM. Photodynamic therapy for retinal capillary hemangioma. Eye (Lond). 2013;27(3):438-442. doi:10.1038/eye.2012.259
29. Huntoon K, Shepard MJ, Lukas RV, McCutcheon IE, Daniels AB, Asthagiri AR. Hemangioblastoma diagnosis and surveillance in von Hippel-Lindau disease: a consensus statement. J Neurosurg. 2021;136(6):1511-1516. doi:10.3171/2021.3.JNS204203
30. Wolters WPG, Dreijerink KMA, Giles RH, et al. Multidisciplinary integrated care pathway for von Hippel-Lindau disease. Cancer. 2022;128(15):2871-2879. doi:10.1002/cncr.34265
31. Jonasch E, Donskov F, Iliopoulos O, et al. Belzutifan for renal cell carcinoma in von Hippel-Lindau disease. N Engl J Med. 2021;385(22):2036-2046. doi:10.1056/NEJMoa2103425
32. Cotton CC, Chandrabhatla AS, Andrews PH, Purrow BW, Shildkrot YE. Belzutifan for treatment of giant retinal hemangioblastoma with extrascleral extension associated with von Hippel-Lindau syndrome. Retin Cases Brief Rep. doi:10.1097/ICB.0000000000001516
33. Ercanbrack CW, Elhusseiny AM, Sanders RN, Santos Horta E, Uwaydat SH. Belzutifan-induced regression of retinal capillary hemangioblastoma: a case series. Am J Ophthalmol Case Rep. 2024;33:102011. doi:10.1016/j.ajoc.2024.102011
34. Grimes JM, Gershkovich A, Bogomolny D, Marr BP. Two cases of Von Hippel-Lindau syndrome-associated retinal hemangioblastoma treated with belzutifan. Retin Cases Brief Rep. 2024;18(3):319-322. doi:10.1097/ICB.0000000000001376
35. Fairbanks AM, Hoyek S, Patel NA. Systemic treatment reduces von Hippel-Lindau–associated retinal capillary hemangioblastoma. Ophthalmology. 2023;130(5):524. doi:10.1016/j.ophtha.2022.07.007
36. Jones AA, Schloemer NJ, Wirostko WJ. Successful treatment of von Hippel-Lindau (VHL) disease–associated retinal capillary hemangioblastoma (RCH) with belzutifan in a pediatric patient. Retin Cases Brief Rep. doi:10.1097/ICB.0000000000001452







