Epiretinal membrane (ERM) has become a more widespread retinal disease in recent years. The incidence of ERM is 1.1% per eye-year, with estimated prevalence in some populations as high as 28.9%.1,2 Epiretinal membranes occur at higher rates in the elderly population (>65 years of age). The number of people affected by ERM is increasing due to the growth of aging populations, and retina specialists will likely have more opportunity to treat patients who have ERM in coming years.
Optical coherence tomography (OCT) has great sensitivity, and it is able to detect even subtle changes in eyes with ERM, helping retina specialists determine the optimal timing for ERM surgery. However, it is difficult to predict postoperative visual prognosis because vision changes, including decreased visual acuity, visual distortion, and metamorphopsia are caused by several complicated and intangible factors. Therefore, postoperative visual function may not live up to preoperative expectations. This article presents a relatively simple and useful method of determining prognosis for ERM surgery utilizing OCT findings.
CHANGES IN CONFIGURATION OF INNER AND OUTER RETINAL LAYERS
Optical coherence tomography has become the most important imaging tool for diseases of the vitreoretinal interface, including ERM. Spectral-domain OCT enables a precise visualization of the retina from the inner surface to the most outer parts. Consequently, not only can superficial changes, such as the ERM, folds in the ILM, or vitreomacular traction, be seen but also associated changes in the more outer layers, such as intraretinal cystoid spaces, disruption of ellipsoid line, disruption of the cone outer-segment tips, flattening of the foveal depression, and formation of full-thickness, pseudo- and incomplete macular holes recognized as lamellar macular hole.3-5
PREDICTIVE FACTORS FOR VISUAL OUTCOME FROM OCT ANALYSIS FOR ERM
Disorganization of Inner Retinal Layer
Epiretinal membrane can cause distortion and disorganization of inner retinal layers (DRIL).6 The extent of DRIL is associated with preoperative and postoperative visual function in eyes with ERM. Eyes with severe DRIL aren’t expected to obtain significant improvement of visual function. It is known that appropriate organization of the inner retinal layer such as the inner nuclear layer (INL) is vital to essential visual functions such as visual clarity.7 Therefore, DRIL is recognized as a predictive factor in determining postoperative visual function.
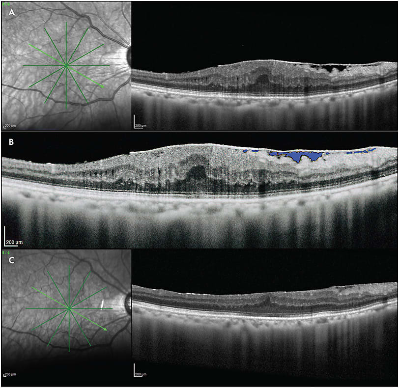
Space Between Epiretinal Membrane and Retinal Surface
Epiretinal membrane is located on the surface of the retina, and it tends to spread and become contracted, causing deformation of the inner and outer retinal cells. There are various patterns of membranes seen in OCT findings of eyes with ERM. In the space between the ERM and the retinal surface, a small, detached and separated space between them can be seen, which is called “sukima” in Japanese (Figure 1). Spaces like this show how firmly the epiretinal membrane is attached to the surface of the retina. Overall, it is simpler to identify the sukima than other known factors, such as DRIL, ellipsoid zone (EZ), and cone outer-segment tips seen in OCT.
Based on our research, the pocket of space between the ERM and the ILM is significantly associated with baseline visual distortion and improvements in visual acuity after surgery.8 For example, after ERM surgery on an eye with a small sukima, there is not significant improvement of visual acuity (Figure 2). However, following surgery for an eye with ERM with a pronounced sukima, there is the possibility of obtaining improved visual function (Figure 3). Based on our results, we concluded that the presence of sukima may allow us to predict postoperative visual function in eyes with ERM. We believe there are 2 main reasons for this, the effect on the performance of membrane peeling and the strong correlation with disruption of the EZ.
It is more difficult to remove membranes in an eye with small sukima where the ERM is firmly attached to the ILM (Figure 2), while it is easier to peel membrane in eyes with a large sukima where the 2 layers are loosely attached. Furthermore, disruption of EZ is more likely to be seen in eyes with small sukima than those with large sukima, suggesting that persistent traction of the ERM might cause damage to the outer retina including the EZ, cone outer-segment tips, and foveal bulge.
SUMMARY
The separated space between the ERM and the ILM (sukima), allows us to determine the feasibility of membrane peeling because the presence of sukima is significantly associated with improved postoperative visual outcomes in eyes with ERM. RP
REFERENCES
- Mitchell P, Smith W, Chey T, Wang JJ, Chang A. Prevalence and associations of epiretinal membranes. The Blue Mountains Eye Study, Australia. Ophthalmology. 1997;104(6):1033-40. doi: 10.1016/s0161-6420(97)30190-0. PMID: 9186446.
- Shimizu H, Asaoka R, Omoto T, et al. Prevalence of epiretinal membrane among subjects in a health examination program in Japan. Life (Basel). 2021;11(2):93. doi:10.3390/life11020093
- Mathews NR, Tarima S, Kim DG, Kim JE. Foveal contour changes following surgery for idiopathic epiretinal membrane. Invest Ophthalmol Vis Sci. 2014;55(12):7754-60. doi: 10.1167/iovs.14-15075. PMID: 25395487; PMCID: PMC4541481.
- Shimozono M, Oishi A, Hata M, Matsuki T, Ito S, Ishida K, Kurimoto Y. The significance of cone outer segment tips as a prognostic factor in epiretinal membrane surgery. Am J Ophthalmol. 2012;153(4):698-704, 704.e1. doi: 10.1016/j.ajo.2011.09.011. PMID: 22245463.
- Govetto A, Lalane RA 3rd, Sarraf D, Figueroa MS, Hubschman JP. Insights into epiretinal membranes: presence of ectopic inner foveal layers and a new optical coherence tomography staging scheme. Am J Ophthalmol. 2017;175:99-113. doi: 10.1016/j.ajo.2016.12.006. PMID: 27993592.
- Zur D, Iglicki M, Feldinger L, Schwartz S, Goldstein M, Loewenstein A, Barak A. Disorganization of retinal inner layers as a biomarker for idiopathic epiretinal membrane after macular surgery-the DREAM study. Am J Ophthalmol. 2018;196:129-135. doi: 10.1016/j.ajo.2018.08.037. PMID: 30179599.
- Okamoto F, Sugiura Y, Okamoto Y, Hiraoka T, Oshika T. Associations between metamor phopsia and foveal microstructure in patients with epiretinal membrane. Invest Ophthalmol Vis Sci. 2012;53(11):6770-5. doi: 10.1167/iovs.12-9683. PMID: 22969078.
- Murase A, Asaoka R, Inoue T, Nagura K, Arasaki R, Nakamura K, Okawa K, Tanaka S, Yanagi Y, Maruyama-Inoue M, Kadonosono K. Relationship between optical coherence tomography parameter and visual function in eyes with epiretinal membrane. Invest Ophthalmol Vis Sci. 2021;62(6):6. doi: 10.1167/iovs.62.6.6. PMID: 33944891; PMCID: PMC8107485.







