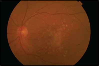
The classification of age-related macular degeneration (AMD) is based on the phenotype characteristics assessed within 2 disc diameters of the fovea in people aged more than 55 years. In early AMD, only medium drusen (diameter between 63 µm and 125 µm) are present, while in intermediate AMD the typical findings are large drusen (diameter larger than 125 µm) and/or pigmentary abnormalities (Figure 1). Progression of the disease to geographic atrophy (GA) and/or neovascular AMD defines late AMD.1,2 The present article focuses on intermediate AMD and its treatment options.
PATHOPHYSIOLOGY
In intermediate AMD, Bruch’s membrane is altered and less permeable, leading to a dysfunction of nutrient transportation to the retina and waste removal to the choroid, thus resulting in retinal pigment epithelium (RPE) and photoreceptor degeneration.3 In some cases, subretinal drusenoid deposits, also called reticular pseudodrusen, are present.4 Despite their etiology still being unknown, it is thought that they reflect dysfunction of the RPE and dysregulation of retinal lipid and retinoid metabolism.5,6 It would be advisable to increase the knowledge on the different subtypes of intermediate AMD, since the presence of reticular pseudodrusen also represents the highest risk phenotype for progression to late AMD.7
Intermediate AMD is usually oligosymptomatic. The most common symptoms are distorted vision or visual loss in the center of the visual field.8 Rod recovery time from a bright flash is more severely delayed in eyes with AMD, especially in the presence of reticular pseudodrusen, than in normally aging eyes.4,9 Because the rate of progression to late AMD is given at 28% in 5 years, there is particular interest in developing new therapies to prevent the progression toward GA or neovascular AMD.10,11
MONITORING AND SUPPLEMENTS
Follow-up controls should be scheduled at 6 months intervals and the patient should be instructed to perform a self-assessment with an Amsler grid on a black background. In case of stability, the interval between 2 consecutive visits may be extended to 12 months. Recommendations for patients affected by intermediate AMD are focused on the correction of risk factors, especially quitting smoking, following a healthy diet, and treating concomitant diseases such as hypertension, obesity, and atherosclerosis. Several studies have shown the benefits of high intake of food rich in omega-3 long-chain polyunsaturated fatty acids in reducing the risk of AMD and the progression of the disease, even if the underlying mechanism remains unclear.1
The AREDS (Age-Related Eye Disease Study) and AREDS 2 trials showed that, in patients with intermediate AMD, the nutritional supplementation of antioxidants, vitamins, and minerals is protective against progression to late AMD and should therefore be considered.1,10,12 Apart from these measures, there is no specific validated treatment that slows or prevents progression of the disease.
LASER
An intervention reducing the pathologically increased accumulation of debris in the outer retina may effectively slow AMD progression.13 It has been observed that conventional laser photocoagulation of the retina induces drusen regression with an uncertain mechanism.14 After laser treatment, a prolonged increase in choroidal blood flow has been observed. This may play a role in drusen reabsorption, because choroidal circulation provides metabolic support of the outer retina and is responsible for waste product removal.15 Overall, despite photocoagulation causing drusen disappearance, related studies have failed to show a reduction in progression to late AMD.11,13,16
Recently, Ellex developed a retinal rejuvenation therapy laser device called 2RT. It consists of a short-pulse subthreshold nanosecond laser, and its use leads to the reduction in drusen load after a single application in patients affected by AMD, without damaging the overlying photoreceptors.17,18 In an animal model with thickened Bruch’s membrane, laser application led to a reduction in its thickness and to an upregulation of genes involved in extracellular matrix turnover.18 The efficacy and safety of this technology have been investigated by the LEAD (Laser Intervention in Early Stages of Age-Related Macular Degeneration) trial.11,13 It revealed that when the laser is used on patients affected by intermediate AMD, it does not reduce the rate of progression to late AMD.11,13 A post-hoc analysis showed a potentially beneficial effect in eyes without reticular pseudodrusen at baseline, but at the same time the disease actually progresses faster in cases of reticular pseudodrusen.8,13 Therefore, at present, it is not recommended to perform retinal laser therapy in intermediate AMD in routine clinical practice, but more research on the subject is needed.8,19
PHOTOBIOMODULATION
Another recently developed therapy is photobiomodulation, or the application of selected wavelengths of visible light to near-infrared light (wavelength between 500 nm and 1,000 nm) on tissues. The precise mechanism of action is still unclear; however, mitochondrial activity is likely to be involved.4,20 Indeed, a decline in membrane potential and function of mitochondria is observed with aging, reducing the production of adenosine triphosphate (ATP). The retina has the highest energy demand with respect to body tissues, and therefore it is especially vulnerable to mitochondrial dysfunction, leading to cell death.4 Photobiomodulation wavelengths likely increase the mitochondrial membrane potential, ATP production, and the activity of cytochrome c oxidase, an enzyme involved in mitochondrial respiration.4,21 The therapy works well in animal models with normal aging and induced pathology, and results in human trials are promising.4
Some studies have been conducted to evaluate the role of photobiomodulation in the treatment of dry AMD. They showed improvements in best corrected visual acuity (BCVA) and contrast sensitivity, as well as reduction in drusen volume, after treatment.20,22 These studies used the Valeda Light Delivery System (Lumithera), which delivers 3 distinct wavelengths in the yellow (590 nm), red (660 nm), and near-infrared (850 nm) range. It has been suggested that, to maintain continuous benefits, treatment needs to be repeated every 4 to 6 months. This finding is consistent with the mechanisms underlying the efficacy of photobiomodulation.20 These studies, however, involved subjects affected by nonexudative AMD in various stages of gravity. The LIGHTSITE trial found that a group of high-responding subjects, who gained more than 8 letters from the baseline, presented an earlier stage of the disease.20 It has also been found that 670 nm light exposure had no effect on eyes with intermediate AMD in terms of rod-recovery time on dark adaptometry, while rod-recovery time improved in normally aging eyes.4 Therefore, further studies are needed and it would be useful to identify an optimal age window where scotopic thresholds of rods may be successfully enhanced.4 It would also be interesting to study the efficacy of this treatment on different stages of the disease, to define at which point, in the natural history of the disease, the patient is most likely to benefit from this treatment.
INTEGRIN INHIBITORS
A promising new therapy, which has recently completed a phase 2a trial in the United States, is risuteganib (Luminate; Allegro Ophthalmics). It is a small peptide integrin regulator protecting cells of the human RPE against dysfunction related to oxidative stress.23 With age, decreased mitochondrial oxidative phosphorylation increases the generation of reactive oxygen species and decreased metabolic activity, thus negatively affecting cellular bioenergetics and mitochondrial functioning.24,25 It is also known that RPE mitochondrial dysfunction contributes to the oxidative stress causing AMD.26 Risuteganib 1.0 mg/0.05 mL is administered via intravitreal injection; it is likely to be localized mainly in the RPE cells, with cytoprotective, anti-inflammatory, and promitochondria properties. The phase 2a clinical trial met the primary endpoint, showing a significant improvement in BCVA in almost half of the subjects affected by intermediate AMD, who received 2 intravitreal doses with a 12-week interval.23
ADDITIONAL PATHWAYS
Other therapies are currently under study to target mitochondrial dysfunction. It is known that aging alters the composition of cardiolipin, a phospholipid essential to normal mitochondrial dynamics and stability. Its deficit disrupts and destabilizes the respiratory complexes, increases the production of reactive oxygen species, and impairs ATP synthesis. Elamipretide (Stealth Biotherapeuthics) is a mitochondria-targeting antioxidant peptide that reversibly binds to cardiolipin at the level of the inner mitochondrial membrane. It prevents the accumulation of reactive oxygen species, reduces apoptosis, prevents mitochondrial dysfunction, and promotes retinal function.27 The ReCLAIM study, a phase 1 clinical trial, has assessed safety and tolerability of daily subcutaneous elamipretide (40 mg) in a population of patients affected by intermediate AMD. Data on efficacy showed an improvement in terms of BCVA and low-luminance visual acuity in the subgroup presenting with high-risk drusen. At present, a phase 2 trial is ongoing.28
CONCLUSION
Several therapies for intermediate AMD are currently under study. Further research is needed to better define their role in the everyday management of the pathology. At present, medical treatment is only available for late AMD in the neovascular form, while several trials are ongoing to find an effective therapy for GA. There is no curative therapy. No treatment is yet available for intermediate AMD, and only a few trials are ongoing.8 Some interesting studies have identified phenotypic features distinctive for a high risk of progression toward late AMD, such as RPE abnormalities, drusenoid pigment epithelial detachment, and hyperreflective foci. It is likely that the probability of progression further increases in presence of genetic risk factors, such as variants of the complement factor H gene.29 Early detection and effective treatment of AMD at an intermediate stage would preserve good and functional vision, because it would prevent the progression to the late stages of the disease, which are associated with a profound and mostly irreversible vision loss.8
The lack of standardization and validation of related clinical trial endpoints remains an issue. Various composite measures have been used, but there is no gold standard. Composite endpoints and combined outcome measures are being increasingly used in longitudinal and interventional studies. There is no consensus on the best approach to implement combined endpoints in clinical trials on intermediate AMD, and further analysis is needed in this area as well.30 RP
REFERENCES
- García-Layana A, Cabrera-López F, García-Arumí J, Arias-Barquet L, Ruiz-Moreno JM. Early and intermediate age-related macular degeneration: update and clinical review. Clin Interv Aging. 2017;12:1579-1587. doi:10.2147/CIA.S142685
- Ferris FL, Wilkinson CP, Bird A, et al. Clinical classification of age-related macular degeneration. Ophthalmology. 2013;120(4):844-851. doi:10.1016/j.ophtha.2012.10.036
- Booij JC, Baas DC, Beisekeeva J, Gorgels TGMF, Bergen A a. B. The dynamic nature of Bruch’s membrane. Prog Retin Eye Res. 2010;29(1):1-18. doi:10.1016/j.preteyeres.2009.08.003
- Grewal MK, Sivapathasuntharam C, Chandra S, et al. A pilot study evaluating the effects of 670 nm photobiomodulation in healthy ageing and age-related macular degeneration. J Clin Med. 2020;9(4):E1001. doi:10.3390/jcm9041001
- Greferath U, Guymer RH, Vessey KA, Brassington K, Fletcher EL. Correlation of histologic features with in vivo imaging of reticular pseudodrusen. Ophthalmology. 2016;123(6):1320-1331. doi:10.1016/j.ophtha.2016.02.009
- Spaide RF, Ooto S, Curcio CA. Subretinal drusenoid deposits AKA pseudodrusen. Surv Ophthalmol. 2018;63(6):782-815. doi:10.1016/j.survophthal.2018.05.005
- Theodore Smith R. Sub-threshold nanosecond laser (Snl) treatment in intermediate AMD (Iamd). Ann Eye Sci. 2019;4:2. doi:10.21037/aes.2018.12.04
- Stahl A. The diagnosis and treatment of age-related macular degeneration. Dtsch Arztebl Int. 2020;117(29-30):513-520. doi:10.3238/arztebl.2020.0513
- Sivaprasad S, Bird A, Nitiahpapand R, et al. Perspectives on reticular pseudodrusen in age-related macular degeneration. Surv Ophthalmol. 2016;61(5):521-537. doi:10.1016/j.survophthal.2016.02.005
- Age-Related Eye Disease Study Research Group. A randomized, placebo-controlled, clinical trial of high-dose supplementation with vitamins C and E, beta carotene, and zinc for age-related macular degeneration and vision loss: AREDS report no. 8. Arch Ophthalmol. 2001;119(10):1417-1436. doi:10.1001/archopht.119.10.1417
- Querques G, Cicinelli MV, Rabiolo A, et al. Laser photocoagulation as treatment of non-exudative age-related macular degeneration: state-of-the-art and future perspectives. Graefes Arch Clin Exp Ophthalmol. 2018;256(1):1-9. doi:10.1007/s00417-017-3848-x
- Age-Related Eye Disease Study 2 Research Group. Lutein + zeaxanthin and omega-3 fatty acids for age-related macular degeneration: the Age-Related Eye Disease Study 2 (AREDS2) randomized clinical trial. JAMA. 2013;309(19):2005-2015. doi:10.1001/jama.2013.4997
- Guymer RH, Wu Z, Hodgson LAB, et al. Subthreshold nanosecond laser intervention in age-related macular degeneration: the lead randomized controlled clinical trial. Ophthalmology. 2019;126(6):829-838. doi:10.1016/j.ophtha.2018.09.015
- Gass JD. Photocoagulation of macular lesions. Trans Am Acad Ophthalmol Otolaryngol. 1971;75(3):580-608.
- Figueroa M, Schocket LS, DuPont J, Metelitsina TI, Grunwald JE. Long-term effect of laser treatment for dry age-related macular degeneration on choroidal hemodynamics. Am J Ophthalmol. 2006;141(5):863-867. doi:10.1016/j.ajo.2005.11.049
- Virgili G, Michelessi M, Parodi MB, Bacherini D, Evans JR. Laser treatment of drusen to prevent progression to advanced age-related macular degeneration. Cochrane Database Syst Rev. 2015;(10):CD006537. doi:10.1002/14651858.CD006537.pub3
- Guymer RH, Brassington KH, Dimitrov P, et al. Nanosecond-laser application in intermediate AMD: 12-month results of fundus appearance and macular function. Clin Exp Ophthalmol. 2014;42(5):466-479. doi:10.1111/ceo.12247
- Jobling AI, Guymer RH, Vessey KA, et al. Nanosecond laser therapy reverses pathologic and molecular changes in age-related macular degeneration without retinal damage. FASEB J. 2015;29(2):696-710. doi:10.1096/fj.14-262444
- Rosenfeld PJ, Feuer WJ. Warning: do not treat intermediate AMD with laser therapy. Ophthalmology. 2019;126(6):839-840. doi:10.1016/j.ophtha.2018.12.016
- Markowitz SN, Devenyi RG, Munk MR, et al. A double-masked, randomized, sham-controlled, single-center study with photobiomodulation for the treatment of dry age-related macular degeneration. Retina. 2020;40(8):1471-1482. doi:10.1097/IAE.0000000000002632
- Karu TI, Pyatibrat LV, Kolyakov SF, Afanasyeva NI. Absorption measurements of a cell monolayer relevant to phototherapy: reduction of cytochrome c oxidase under near IR radiation. J Photochem Photobiol B. 2005;81(2):98-106. doi:10.1016/j.jphotobiol.2005.07.002
- Merry GF, Munk MR, Dotson RS, Walker MG, Devenyi RG. Photobiomodulation reduces drusen volume and improves visual acuity and contrast sensitivity in dry age-related macular degeneration. Acta Ophthalmol. 2017;95(4):e270-e277. doi:10.1111/aos.13354
- Boyer DS, Gonzalez VH, Kunimoto DY, et al. Safety and efficacy of intravitreal risuteganib for non-exudative amd: a multicenter, phase 2a, randomized, clinical trial. Ophthalmic Surg Lasers Imaging Retina. 2021;52(6):327-335. doi:10.3928/23258160-20210528-05
- Eells JT. Mitochondrial dysfunction in the aging retina. Biology (Basel). 2019;8(2):E31. doi:10.3390/biology8020031
- Datta S, Cano M, Ebrahimi K, Wang L, Handa JT. The impact of oxidative stress and inflammation on RPE degeneration in non-neovascular AMD. Prog Retin Eye Res. 2017;60:201-218. doi:10.1016/j.preteyeres.2017.03.002
- Brown EE, Lewin AS, Ash JD. Mitochondria: potential targets for protection in age-related macular degeneration. Adv Exp Med Biol. 2018;1074:11-17. doi:10.1007/978-3-319-75402-4_2
- Nashine S. Potential therapeutic candidates for age-related macular degeneration (AMD). Cells. 2021;10(9):2483. doi:10.3390/cells10092483
- Allingham MJ, Mettu PS, Cousins SW. Phase 1 clinical trial of elamipretide in intermediate age-related macular degeneration and high-risk drusen: reclaim hrd study. Ophthalmology Science. Published online December 2021:100095. doi:10.1016/j.xops.2021.100095
- Sitnilska V, Kersten E, Altay L, et al. Major predictive factors for progression of early to late age-related macular degeneration. Ophthalmologica. 2020;243(6):444-452. doi:10.1159/000507196
- Terheyden JH, Schmitz-Valckenberg S, Crabb DP, et al. Use of composite end points in early and intermediate age-related macular degeneration clinical trials: state-of-the-art and future directions. Ophthalmologica. 2021;244(5):387-395. doi:10.1159/000513591







