Understanding Retinitis Pigmentosa
Diagnosis and treatment of this genetic cause of photoreceptor degeneration
HUY V. NGUYEN, BA • THARIKARN SUJIRAKUL, MD • NINA KULKARNI • STEPHEN H. TSANG, MD, PhD
|
Huy V. Nguyen, BA, is a research fellow in the Bernard and Shirlee Brown Glaucoma Laboratory in the Edward S. Harkness Eye Institute of the College of Physicians and Surgeons at Columbia University in New York. Tharikarn Sujirakul, MD, is a retinal research fellow at Columbia. Nina Kulkarni is a research assistant in the Brown Glaucoma Laboratory. Stephen H. Tsang, MD, PhD, is an ophthalmic geneticist and electroretinography attending at Columbia. None of the authors reports any financial interest in any of the products mentioned in this article. Dr. Tsang can be reached via e-mail at phosphodiesterase.gamma@gmail.com. |
Retinitis pigmentosa (RP) is a group of inherited retinal degenerations characterized by photoreceptor dysfunction. RP primarily affects the rods, followed by cones. This condition can lead to blindness in the advanced stages of disease, when it involves the central retina.1 Usually considered a bilateral disease that affects both eyes in a highly symmetrical fashion, RP may also rarely present unilaterally.2,3
The worldwide prevalence of RP is approximately one in 3,000-4,000 for a total of 1 million affected individuals all over the world, including 100,000 people in the United States.1
Patients can inherit RP in an autosomal-dominant (ADRP), autosomal-recessive (ARRP), or X-linked recessive pattern. Approximately 50% of RP patients have no family history, and we assume these patients to have ARRP, except for de novo mutant ADRP in a few instances.4
VARIETIES OF RP
Usually RP is confined to the eye (typical RP). However, 20% to 30% of patients also have nonocular manifestations, termed syndromic RP.
In more than 30 identified syndromes, RP occurs as a component of a multisystem disorder. The most common syndromic form of RP, Usher syndrome, consists of hearing loss with or without vestibular dysfunction, accompanied by visual loss from RP.
Other well-known syndromes include Bardet-Biedl syndrome, Alstorm syndrome, and Cockayne syndrome. In addition to these, four notable syndromes exist, in which visual loss can be saved if detection and treatment is begun early:
- Bassen-Kornzweig syndrome (abetalipoproteinemia), characterized by ataxia, peripheral neuropathy, and steatorrhea;
- Refsum disease (phytanic acid oxidase deficiency), characterized by ataxia, polyneuropathy, deafness, anosmia, and dry skin;
- familial isolated vitamin E deficiency (beta-tocopherol transport protein deficiency), characterized by ataxia, dysarthria, reduced touch, and reduced position sense; and
- gyrate atrophy (ornithine aminotransferase deficiency), which has no systemic abnormalities, except for mild proximal muscle weakness.
CLINICAL FEATURES OF RP
Two classical symptoms of RP exist: nyctalopia and peripheral visual field constriction.4,5
Nyctalopia (Night Blindness)
Patients with RP usually have difficulty with orientation and tasks in dark environments, such as finding seats in movie theaters or identifying stars in the night sky.
Certain affected individuals, especially city inhabitants, may be unaware of this condition because sufficient artificial light during the nighttime usually allows for normal cone function. Truly dark environments, which rely only on rod function, rarely occur.
Peripheral Visual Field Constriction
Patients classically have symmetrical ring scotomas at the midperiphery in both eyes, which continue to progress outward and inward. Some patients may not notice vision loss until the progression to a tubular field of vision in the advanced stage, because daily activities usually require only the central 30-50° of the visual field (normal visual field is 150-160°).
| Table. Conditions Mimicking RP With Diagnostic Findings | ||||||
|---|---|---|---|---|---|---|
|
RP |
Congenital Rubella |
Old Infection, eg, Syphilis, Lyme |
Inflammation |
Autoimmune Retinopathy |
Drug toxicity |
|
|
Symptoms |
Nyctalopia |
Usually incidental findings |
Blurring of vision |
Blurring of vision |
Nyctalopia |
Blurring of vision, nyctalopia |
|
Onset |
Varies |
Congenital |
Adulthood to old age |
Middle age |
Adulthood |
After a period of drug use |
|
History |
Family history of AD or X-linked RP |
Maternal infection |
Genital ulcer, tick bite |
+/- previous ocular inflammation |
May have autoimmune disease, eg, thyroid disease |
CQ/HCQ, thioridazine, chlo-paramazine |
|
Progression |
Slowly (years) |
Nonprogressive |
Stable |
Subacute |
Rapid, in months to a year |
Slowly progressive |
|
Systemic involvement |
+ in syndromic RP |
Congenital deafness Heart disease |
+/- |
+/- depending on disease |
Need workup to rule out cancer |
No |
|
VA and anterior segment |
Retaining of good central VA |
Good VA unless a congenital cataract, microphthalmos, or neovascularization is present |
Varies depends on involved area |
Decrease in VA to variable degrees +/- cell |
Remaining good central VA |
Decreased VA |
|
Fundus findings |
Bony spicules, vessel attenuation, and waxy pallor disc |
Normal vessels |
May have sectorial or generalized pigmentation |
Cell in posterior vitreous, hyperemic disc |
Normal/vessel attenuation |
Bull’s eye in CQ/HCQ |
|
Autofluorescence (AF) |
+/- Ring of hyper-AF |
No ring |
No ring |
No ring |
+/- ring of hyper-AF |
No ring |
|
OCT |
Loss of ellipsoid line and thinning of ONL sparing central region |
Normal |
Mostly normal except in RPE atrophy area |
May have thicker choroid and CME |
Loss of ellipsoid line and thinning of ONL sparing central region |
General, abnormal in advanced stage |
|
ERG |
Rods are more affected than cones |
Normal |
Usually normal, may have some degree of amplitude reduction corresponding to affected area |
Delayed implicit time, decreased b:a ratio |
Non recordable/ decrease in amplitude and prolonged implicit time, rod > cone |
Subnormal, may have non-recordable ERG in advance stage |
|
Adjunct testing |
Phenotype-directed candidate gene screening or exome sequencing |
VDRL, FTA-ABS |
Cones are more affected than rods. |
Cancer workup Antibodies to recoverin, α-enolase, transducin-α, and carbonic anhydrase II |
||
| VF = visual field, VA = visual acuity, PSC = posterior subcapsular cataract, AF = autofluorescence, ONL = outer nuclear layer, FFA = fundus fluorescein angiography, ICG = indocyanine green angiography, CME = cystoid macular edema, EOG = electrooculography
|
||||||
Other Symptoms
Loss of central visual field and visual acuity.
These losses usually develop during the advanced stage, when the disease finally affects the central cones, or as a complication of cystoid macular edema.
Photopsia. Photopsia affects 35% of patients at some point of their disease progression. It usually appears in areas adjacent to scotomas, where photoreceptors are dying.
Onset of RP Symptoms
The typical age of onset of RP is in the teenage or young adult years, but it may range from the first decade of life to the fifth to sixth decade. This variation is mainly due to the severity and molecular biology of the disease. For example, mutations that affect the visual cycle or cause severe photoreceptor structural abnormalities usually cause early-onset RP.
The age of onset does not always accurately predict the severity of the disease, because some patients may detect visual abnormalities early, while others remain asymptomatic despite having advanced-stage RP.
Course of Disease
Retinitis pigmentosa is a progressive disease with a wide variation in the rate of decline, even among affected members within the same family with the same mutation. Most RP patients are legally blind by age 40 years, due to severely constricted visual fields despite good central VA.
The literature has reported rates of visual field constriction of 2.6% to 13.5% annually, as well as decreases in electroretinogram (ERG) amplitude of 8.7 to 18.5% per year.4, 6
In general, patients who have more severe disease at younger ages have worse prognoses. Dominant inherited RP tends to have a milder phenotype and a slower natural course of disease. It also presents later in life, compared to X-linked and recessive RP, which tend to progress more quickly and which carry a worse prognosis.6,7
Clinical Assessment and Evaluation
Visual acuity usually remains normal unless complicated by cystoid macular edema.
OCULAR FINDINGS
The classic triad of fundus findings in RP includes bone-spicule pigment deposits (intraretinal pigmentary migration), vessel attenuation, and waxy pallor of the optic disc in advanced cases (Figure 1).
Vessel attenuation is the earliest feature seen clinically. Although intraretinal pigmentary migration is relatively easy to observe, it requires years to develop, so early RP may only exhibit vessel attenuation without pigmentation (previously known as RP sine pigmento).
Figure 1. Classical fundus findings of retinitis pigmentosa. Vessel attenuation and waxy pallor optic disk are present, and bony spicules are visible throughout the midperiphery.
Other findings associated with RP are diffuse RPE atro-phy with relative macular sparing, cystoid macular edema, epiretinal membrane, optic disc drusen, vitreous condensation, and anterior-segment abnormalities, such as posterior subcapsular cataract.
MULTIMODALITY IMAGING FINDINGS
The two most common and useful imaging techniques used in RP diagnosis and work-up are fundus autofluorescence (FAF) and OCT.
Fundus Autofluorescence
The origin of the FAF signal remains uncertain, but we believe that accumulation of lipofuscin due to the phagocytosis of photoreceptor outer segments in the RPE causes it. It is likely that the abnormal hyperautofluorescence in RP comes from the increased accumulation of lipofuscin related to increased outer-segment dysgenesis.
Researchers have described several patterns of AF in RP patients, but the most characteristic form is the presence of a hyperautofluorescent ring, which represents the transitional zone between healthy and dying photoreceptors.8-10 This ring constricts over time and disappears as the disease progresses to the end stage. The physician can use the rate of ring constriction as a disease progression indicator.11,12
Optical Coherence Tomography
Ophthalmologists can use OCT to assess the integrity of retinal structures. In RP patients whose photoreceptor cells have deteriorated from the periphery toward the center of the retina, OCT shows disruption of the ellipsoid band and thinning of the retina, especially in the outer nuclear layer, which corresponds to photoreceptor cell loss.
The ellipsoid band becomes shorter, and the retina becomes thinner over time as the disease progresses, with the rate of constriction corresponding to disease progression. Moreover, doctors can use OCT to confirm diagnosis and conduct follow-up treatment of CME complicating RP.7,13
Functional Tests
Full-field electroretinography (ffERG) is the gold standard for diagnosing RP. ERG provides a generalized assessment of rod, cone, and combined rod and cone (maximal ERG) function.
Electroretinography can detect abnormality at any stage of the disease, including in asymptomatic patients without visible fundus abnormalities. We use ffERG to measure the electrical responses from whole retina, as opposed to multifocal ERG, which focuses on activity around the macular area.
ffERG is characterized by a-waves (negative responses), representing photoreceptor cells, and b-waves (positive responses), representing inner retina cells, including bipolar and Müller cells.
RP requires years to develop so it may only exhibit vessel attentuation without pigmentation.
ERG Interpretation
The interpretation of ERG results focuses on the evaluation of amplitude (reflex amount of responding cells) and of implicit time (how well the cells respond). In normal individuals, both the amplitude and implicit time will be normal, but these waveforms are generally nonrecordable in RP patients.
If these waveforms are present, such as in milder disease, the amplitude will decrease, and the implicit time will extend, signifying greater involvement of rods over cones. In rare instances, usually in early stages of disease, a negative waveform (in which the b-wave is more significantly affected than the a-wave) can also appear.
Even with these amplitudes decreasing exponentially over time, patients with higher amplitudes at baseline have better prognoses with regard to remaining years of useful vision. We also use ffERG to differentiate conditions that result in pigmentary retinopathies mimicking RP.
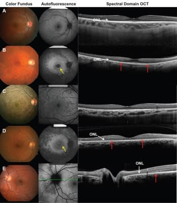
Figure 2. Color fundus, autofluorescence (AF), and SD-OCT. A) Normal control. B) Autosomal-dominant retinitis pigmentosa. Fundus shows vessel attenuation and waxy pallor disc. A ring of hyperautofluorescence (yellow arrow) is visible on AF. OCT shows loss of the ellipsoid line (red arrows) and thinning of the outer nuclear layer. C) Congenital rubella. Fundus image shows the characteristic “salt and pepper” pattern at the RPE level, with no intraretinal pigmentary migration. Speckled appearance of hyper- and hypoautofluorescence is visible on AF. OCT findings are normal. D) Autoimmune retinopathy. Fundus findings show vessel attenuation with no intraretinal pigmentary migration. AF and OCT show findings undistinguishable from RP. E) AZOOR. Fundus findings show pigmentary disturbance around the optic disc. The typical zone of hypo- and hyperautofluorescence can be seen on AF. OCT reveals peripapillary losses of the ellipsoid line, outer nuclear layer, and RPE.
Other Tests
Other functional tests that the doctor can use to support the diagnosis of RP are visual field tests, such as Goldmann perimetry, the Humphrey field analyzer, and microperimetry.
These visual field tests typically show a midperipheral ring scotoma or central tubular field. Dark adaptometry will show large increases in the photoreceptor threshold in RP patients, compared to normal patients.4-6
DIFFERENTIAL DIAGNOSIS OF RP (PHENOCOPIES OF RP)
Many etiologies can cause retinopathy phenocopying RP (pseudoretinitis pigmentosa). Correctly differentiating these conditions from RP is imperative because these conditions are generally treatable, unlike RP.
Physicians should have high clinical suspicion for these phenocopies of RP, especially when dealing with unilateral pigmentary retinopathy.2,14-19
Pseudoretinitis Pigmentosa: Conditions Mimicking RP
The causes of pseudoretinitis pigmentosa, based on etiology, include:
- infection, eg, congenital rubella, syphilis, Lyme disease;
- inflammation, eg, retinal vasculitis, old posterior uveitis;
- autoimmunity, eg, autoimmune retinopathy, cancer-associated retinopathy, acute zonal occult outer retinopathy (AZOOR);
- trauma, eg, intraocular foreign bodies, such as siderosis, or blunt trauma, such as severe commotion retinae; and
- drug toxicity, eg, to chloroquine/hydroxychloro-quine, phenothiazides, or thioridazine.
While detailed history taking and systematic review are very helpful in differentiating these conditions, multiple imaging modalities (Figure 2) and diagnostic tests are often also required (Table).
A GENETIC DISORDER
A diagnosis of RP implies a genetic disease. A thorough family history and pedigree are crucial for establishing the mode of inheritance. Examination of all family members is essential because variable expression and incomplete pen-etrance patterns may exist in the family.
For example, in autosomal-dominant disease, the affected member may remain asymptomatic. In X-linked RP, the affected patient’s mother and female siblings may have no visual symptoms despite carrying the gene and having a typical RP fundus appearance.
Genetic Testing and Counseling
Once testing has established the mode of inheritance, the physician should offer genetic counseling to calculate the risk of disease transmission to the patient’s offspring.
In cases in which no other family members have the disease, we consider RP to be recessive, although exceptions exist in rare instances for de novo dominant mutations.
Due to the substantial allelic and genetic heterogeneity of the disease, no phenotype-genotype correlations exist to guide the testing of specific genes. A few exist, however, such as NR2E3, CRB1, and MFRP mutations.
Testing Options
Many options are available for genetic testing, with patients opting for progressively more comprehensive techniques if previous attempts at identifying their mutations have failed:20,21
- The hybridization array technique is the least expensive of all options, but it only detects known mutations in known genes.
- The retinal exonic panel uses next-generation sequencing (NGS), which sequences all protein-coding parts of the genetic code, allowing for an increase in the rate of mutation detection. NGS tests not only known mutations but also new mutations from all of the genes known to cause RP. However, the doctor should interpret the results carefully to distinguish pathogenic mutations from normal variations accurately.
- Whole exome sequencing uses NGS to sequence all of the encoding regions of the entire genome, allowing us to identify not only new mutations from known genes but also to discover new genes responsible for RP.
PROMISING TREATMENTS IN DEVELOPMENT
Gene- and mechanism-based therapies are currently in development for RP. Although the discovered genes responsible for RP account for roughly 50% to 60% of cases, no treatment is yet available in this kind of disease. Genetic testing is still preferable whenever available, for two reasons.
First, genetic testing may determine the causative gene of the patient’s disease, which is important both for counseling on prognosis and for future gene therapy trials.
Second, it may confirm the mode of inheritance. For example, some dominant genes, such as PRPF31, may not manifest in some individuals while causing disease in others. Such discrepancies may mislead providers to believe the resulting RP has a recessive mode of inheritance, because it does not match the typical autosomal-dominant pattern.
CONCLUSION
Despite advances in imaging and testing, RP remains a diagnostic challenge due to its substantial pleiotropism and genetic heterogeneity. The same genetic mutation may result in different manifestations in different individuals, while the same phenotype can arise from different mutations.
It is critical to consider RP when evaluating mimicking conditions, because the patient will benefit from genetic testing and counseling. RP
REFERENCES
1. Bird AC. Retinal photoreceptor dystrophies LI. Edward Jackson Memorial Lecture. Am J Ophthalmol. 1995;119:543-562.
2. Marsiglia M, Duncker T, Peiretti E, Brodie SE, Tsang SH. Unilateral retinitis pigmentosa: a proposal of genetic pathogenic mechanisms. Eur J Ophthalmol. 2012;22:654-660.
3. Mukhopadhyay R, Holder GE, Moore AT, Webster AR. Unilateral retinitis pigmentosa occurring in an individual with a germline mutation in the RP1 gene. Arch Ophthalmol. 2011;129:954-956.
4. Hartong DT, Berson EL, Dryja TP. Retinitis pigmentosa. Lancet. 2006;368:1795-1809.
5. Heckenlively JR, Yoser SL, Friedman LH, Oversier JJ. Clinical findings and common symptoms in retinitis pigmentosa. Am J Ophthalmol. 1988;105:504-511.
6. Birch DG, Anderson JL, Fish GE. Yearly rates of rod and cone functional loss in retinitis pigmentosa and cone-rod dystrophy. Ophthalmology. 1999;106:258-268.
7. Birch DG, Locke KG, Wen Y, Locke KI, Hoffman DR, Hood DC. Spectral-domain optical coherence tomography measures of outer segment layer progression in patients with x-linked retinitis pigmentosa. JAMA Ophthalmol. 2013;131:1143-1150.
8. Greenstein VC, Duncker T, Holopigian K, et al. Structural and functional changes associated with normal and abnormal fundus autofluorescence in patients with retinitis pigmentosa. Retina. 2012;32:349-357.
9. Lee TJ, Hwang JC, Chen RW, et al. The role of fundus autofluorescence in late-onset retinitis pigmentosa (LORP) diagnosis. Ophthalmic Gen. 2013 Jul 30. [Epub ahead of print]
10. Lima LH, Cella W, Greenstein VC, et al. Structural assessment of hyperautofluo-rescent ring in patients with retinitis pigmentosa. Retina. 2009;29:1025-1031.
11. Lima LH, Burke T, Greenstein VC, et al. Progressive constriction of the hyperau-tofluorescent ring in retinitis pigmentosa. Am J Ophthalmol. 2012;153:718-727, 727.e711-712.
12. Robson AG, Tufail A, Fitzke F, et al. Serial imaging and structure-function correlates of high-density rings of fundus autofluorescence in retinitis pigmentosa. Retina. Sep 2011;31:1670-1679.
13. Mitamura Y, Mitamura-Aizawa S, Nagasawa T, Katome T, Eguchi H, Naito T. Diagnostic imaging in patients with retinitis pigmentosa. J Med Invest. 2012;59:1-11.
14. Monson DM, Smith JR. Acute zonal occult outer retinopathy. Surv Ophthalmol. 2011;56:23-35.
15. Cogan DG. Pseudoretinitis pigmentosa. Report of two traumatic cases of recent origin. Arch Ophthalmol. 1969;81:45-53.
16. Lotery AJ, McBride MO, Larkin C, Sharkey JA. Pseudoretinitis pigmentosa due to sub-optimal treatment of neurosyphilis. Eye. 1996;10:759-760.
17. Sekimoto M, Hayasaka S, Noda S, Setogawa T. Pseudoretinitis pigmentosa in patients with systemic lupus erythematosus. Ann Ophthalmol. 1993;25:264-266.
18. Braithwaite T, Vugler A, Tufail A. Autoimmune retinopathy. Ophthalmologica. 2012;228:131-142.
19. Heckenlively JR, Ferreyra HA. Autoimmune retinopathy: a review and summary, Sem Immunopathol. 2008;30:127-134.
20. Shanks ME, Downes SM, Copley RR, et al. Next-generation sequencing (NGS) as a diagnostic tool for retinal degeneration reveals a much higher detection rate in early-onset disease. Eur J Hum Genet. 2013;21:1031.
21. Bowne SJ, Sullivan LS, Koboldt DC, et al. Identification of disease-causing mutations in autosomal dominant retinitis pigmentosa (adRP) using next-generation DNA sequencing. Invest Ophthalmol Vis Sci. 2011;52:494-503.







